Emphysematous pyelonephritis and emphysematous cystitis: case report
- Authors: Doronin A.B.1, Zipunnikov V.P.1, Kuznetsov A.A.1, Shchelkov S.V.1, Kapenkin A.V.1
-
Affiliations:
- Volgograd State Medical University
- Issue: Vol 20, No 3 (2023)
- Pages: 153-159
- Section: Original Researches
- URL: https://journal-vniispk.ru/1994-9480/article/view/165536
- DOI: https://doi.org/10.19163/1994-9480-2023-20-3-153-159
- ID: 165536
Cite item
Full Text
Abstract
Emphysematous pyelonephritis (EP) is a special form of acute pyelonephritis caused by gas-forming bacteria, leading to necrotic damage to kidney tissue and paranephral fiber. The process is more often one-sided, but about 10 % of the EP cases described in the literature were bilateral in nature. The article describes a clinical case of bilateral emphysematous pyelonephritis in combination with emphysematous cystitis.
Full Text
ВВЕДЕНИЕ
Эмфизематозный цистит (ЭЦ) – редкая инфекция мочевого пузыря, характеризующаяся наличием газа в стенке или полости мочевого пузыря. У большинства пациентов с ЭЦ наблюдаются типичные симптомы цистита (например, частое мочеиспускание, срочное мочеиспускание и дизурия), но другие признаки включают вздутие и боль в нижней части живота, барабанные звуки при перкуссии и большое количество газа в мочевом пузыре. Могут быть другие осложнения, такие как сепсис [1]. Однако обычно он характеризуется типичными симптомами инфекции в сочетании с пневматурией, выделением газа, смешанного с мочой. Ранняя стадия ЭЦ в основном ограничивается подслизистой оболочкой, и симптомы инфекции могут быть умеренными. У некоторых пациентов могут отсутствовать явные клинические симптомы. Если инфекция становится тяжелой, это может привести к затруднению мочеиспускания и нарушению функции почек.
Эмфизематозный пиелонефрит (ЭП) является редким и опасным для жизни заболеванием, вызванным тяжелой некротизирующей инфекцией почечной паренхимы и паранефральной клетчатки. ЭП является редкой формой острого гнойного пиелонефрита, для которой характерно стремительное и тяжелое течение, обусловленное патогенным действием газообразующей бактериальной флоры [2]. Развитие ЭП возможно как в молодом, так и в пожилом возрасте. Однако большинство пациентов с ЭП находятся в возрасте от 30 до 50 лет. Процесс чаще всего носит односторонний характер.
У мужчин ЭП развивается реже, что объясняется более высоким риском развития у них инфекции мочевых путей, чем у женщин. По литературным данным, большинство больных ЭП страдают сахарным диабетом (СД), при этом зависимости от потребности в инсулинотерапии выявлено не было. Пациенты, не страдающие сахарным диабетом, имели хроническую обструкцию мочевыводящих путей. Во многих исследованиях у пациентов в анамнезе отмечалось злоупотребление алкоголем, наркомания, табакокурение. ЭП – это смертельно опасное заболевание, требующее немедленного начала лечения. Тяжелым осложнением и основной причиной смерти является уросепсис. Отмечается также стремительное развитие синдрома системной воспалительной реакции и сепсиса. Показатель смертности при ЭП достигает 80 %.
Предполагается, что главным патогенетическим аспектом развития ЭП у пациентов без сахарного диабета является нарушение уродинамики. Однако, несмотря на обструкцию, выраженность деструктивного процесса у пациентов без сахарного диабета меньше, чем у пациентов больных СД [1]. Помимо сахарного диабета, предрасполагающими факторами в развитии ЭП могут являться алкоголизм, наркомания, поликистоз почек, мочекаменная болезнь и различные иммуносупрессивные состояния [1, 2, 3].
Эмфизематозный пиелонефрит – заболевание, сопровождающееся высоким уровнем смертности, причиной которой является быстрое и прогрессивное развитие уросепсиса и декомпенсации функции органов. Смертность от данной патологии, в зависимости от своевременности начала терапии, выбора правильной тактики терапии, составляет около 80 %. Сегодня, в связи с усовершенствованием подходов к диагностике и лечению, а также при своевременной и адекватной антибиотикотерапии смертность приближается к значениям 20–30 %.
Впервые инфекционное поражение почки, вызванное газообразующими штаммами микроорганизмов, было описано H.A. Kelly и W.G. MacCullum в 1898 г. [4]. В различных публикациях XX века упоминались термины: «эмфизема почки», «пневмонефрит» и т. п. Термин «эмфизематозный пиелонефрит», используемый в настоящее время, появился в публикации E.H. Schultz и E.H. Klorfein в 1962 году и описывал патологический процесс, приводящий к деструкции почечной паренхимы с образованием газа, вызванный персистенцией газообразующих микроорганизмов [5]. Начиная с конца XIX века, в литературе описано всего несколько сотен клинических случаев ЭП. Крупных литературных обзоров, которые обобщали бы всю информацию о данной нозологии, в настоящее время не существует. Ввиду разнящихся подходов к диагностике и лечению данной патологии, высокой смертности, спорадичного распределения случаев анализ крупных выборок и когорт не представляется возможным. Небольшое количество литературных данных оправдывается низким уровнем заболеваемости ЭП. При этом случаи ЭП в странах Азии регистрируются чаще, что может быть обосновано более низким уровнем доступности здравоохранения [2].
Бактериальные агенты, которые являются главным этиологическим факторам развития ЭП, представлены факультативными анаэробными грамотрицательными бактериями, способными ферментировать глюкозу и лактат, с образованием углекислого газа и водорода. Гипергликемия в сочетании с повышенным уровнем лактата в плазме крови и снижение защитных сил организма у больных, страдающих сахарным диабетом, формируют благоприятные условия для персистенции бактерий. Чаще всего, возбудителями ЭП являются Escherichia coli (60 %), Klebsiella pneumoniae (26 %), бактерии рода Рroteus и Pseudomonas [3]. Смешанные бактериальные комплексы встречаются в 10 % случаев [6].
КЛИНИЧЕСКИЙ СЛУЧАЙ
Мужчина, 58 лет, поступил в гастроэнтерологическое отделение в экстренном порядке с диагнозом: Хронический панкреатит, стадия обострения. Цирроз печени токсико-алиментарного генеза класс В по Чайлд-Пью, декомпенсация. Хроническая алкогольная интоксикация в анамнезе. При осмотре пациент предъявлял жалобы на слабость, тошноту. Перед госпитализацией пациент отметил резкое ухудшение самочувствия, потерю сознания, падение с высоты собственного роста. Экстренно был доставлен в стационар и госпитализирован в гастроэнтерологическое отделение. Назначено лечение.
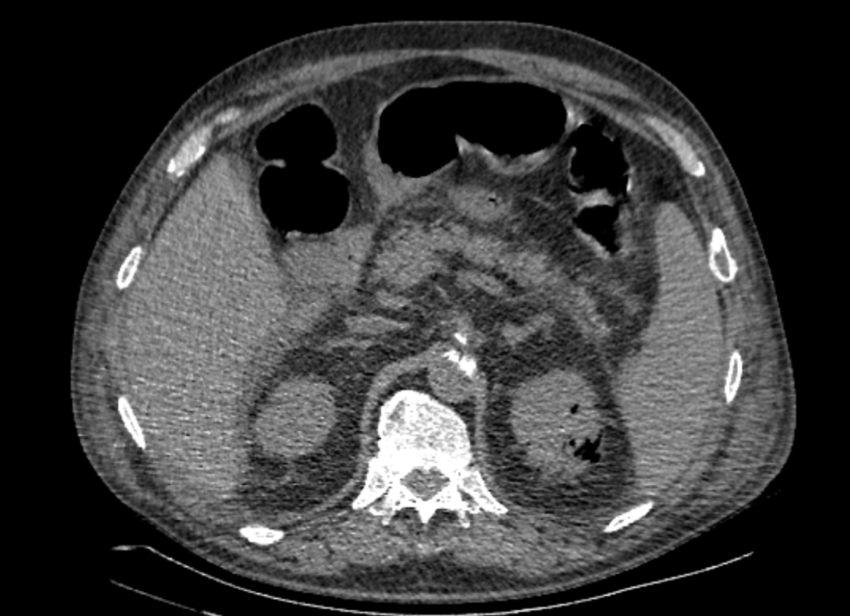
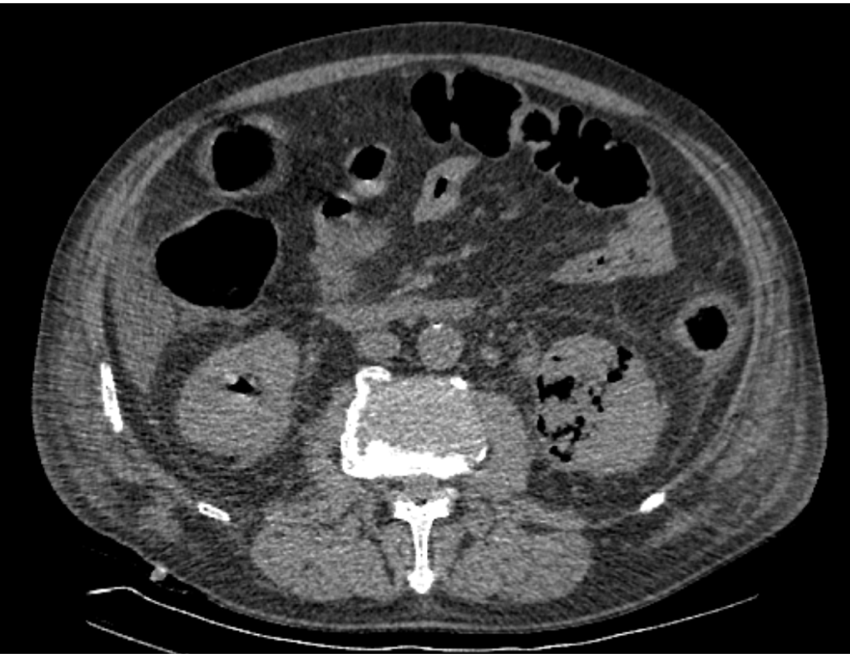
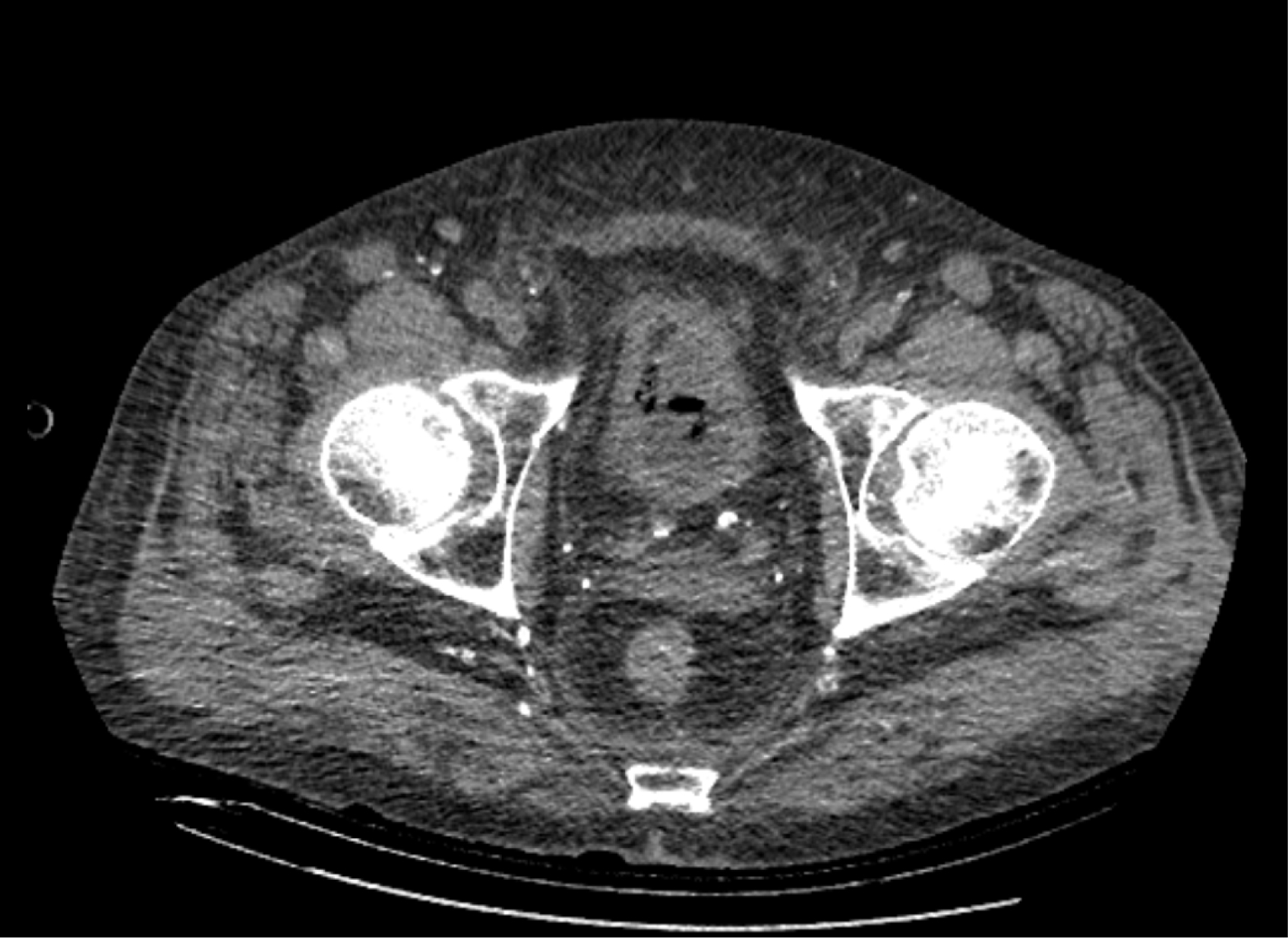
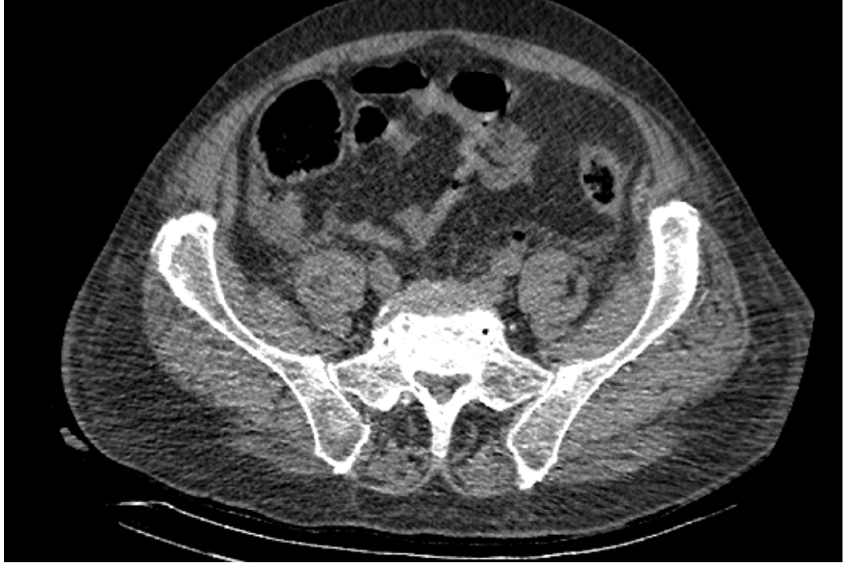
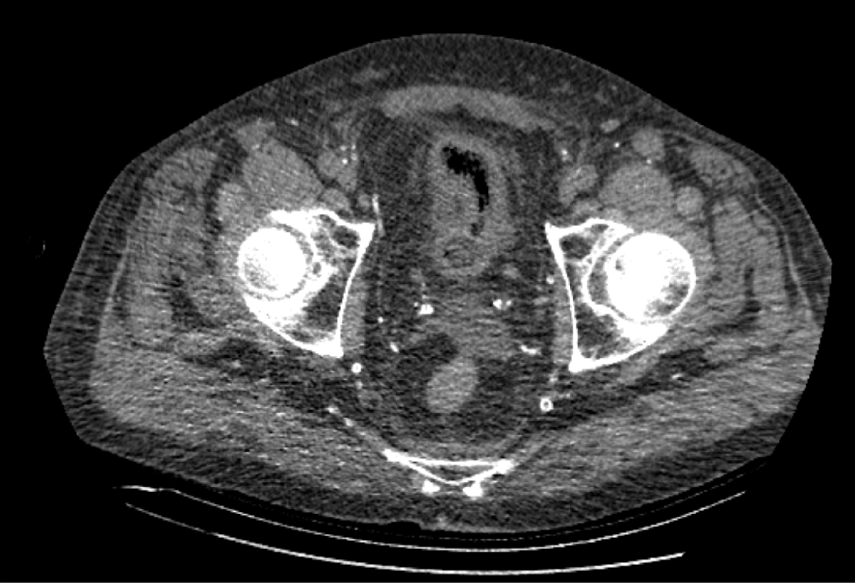
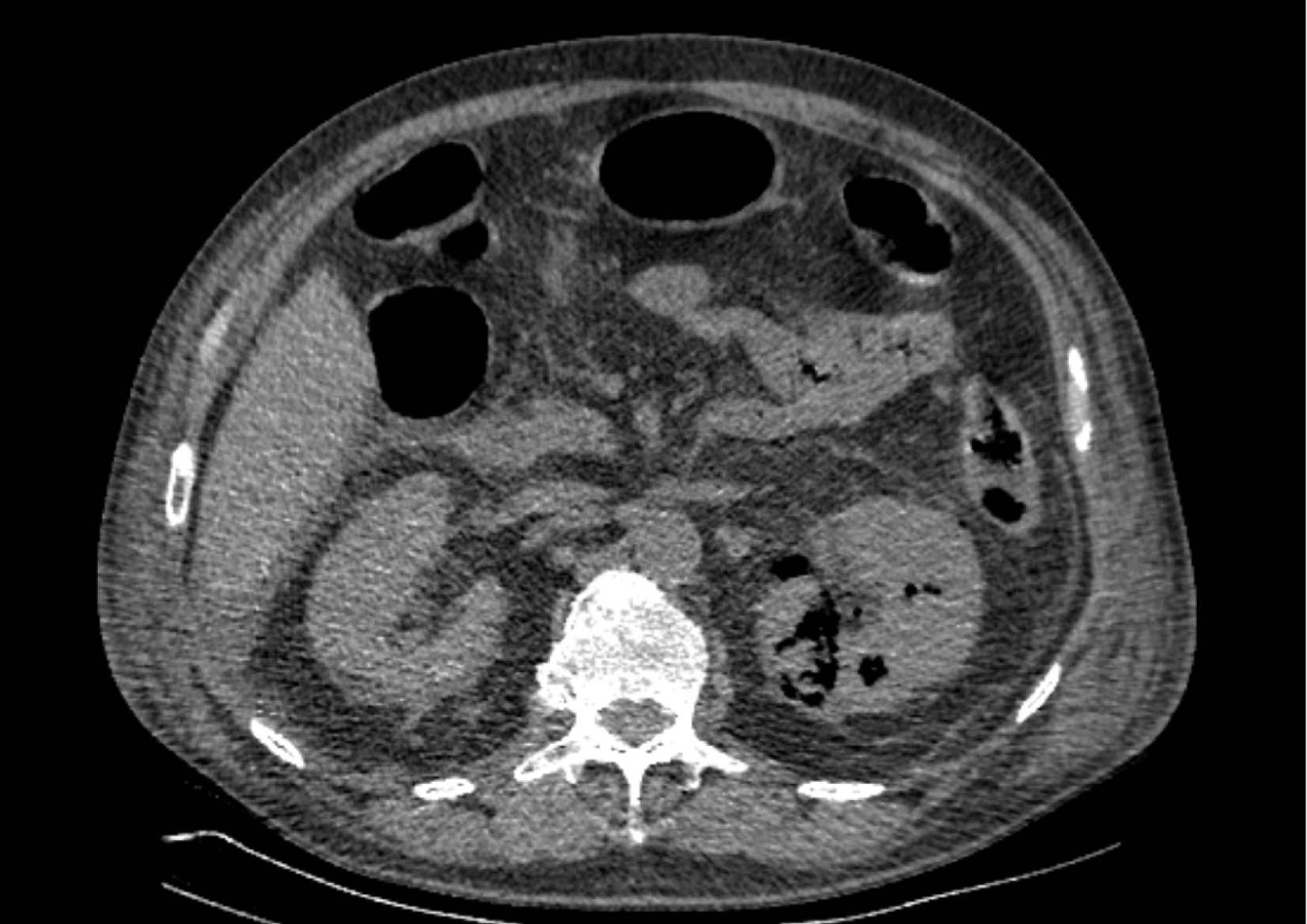
На следующий день состояние пациента оставалось тяжелым, с отрицательной динамикой, креатинин сыворотки возрос до 735,2 ммоль/л, Появились жалобы на слабость, тошноту. При осмотре: живот мягкий, вздут по всем отделам, при пальпации болезненный. Область почек не изменена, при пальпации безболезненна, патологических изменений в области почек не выявлено. Симптом поколачивания отрицательный билатерально. При УЗИ были обнаружены плевральный выпот по 300–400 мл с каждой стороны, гепатомегалия, увеличение размеров селезенки, асцит. Кроме того, в обеих почках были визуализированы тени, характерные для конкрементов. По данным компьютерной томографии (КТ) конкрементов не обнаружено, но в лоханке, на всем протяжении левого мочеточника и, частично, в правом мочеточнике, а также в мочевом пузыре визуализировался газ (рис. 1–6).
В связи со стремительным прогрессированием полиорганной недостаточности, несмотря на комбинированную антибактериальную, инфузионную и симптоматическую терапию, органоуносящую операцию выполнить не представлялось возможным. Обе почки были дренированы ретроградно наружными стентами. Тем не менее явления сердечно-сосудистой недостаточности нарастали и через несколько часов наступила смерть пациента. Бактериологический посев мочи на флору выявил Escherichia coli.
Рис. 1. Компьютерная томография органов брюшной полости, забрюшинного пространства, органов малого таза. Газ в мочевом пузыре
Рис. 2. Компьютерная томография органов брюшной полости, забрюшинного пространства, органов малого таза. Газ в мочевом пузыре
Рис. 3. Компьютерная томография органов брюшной полости, забрюшинного пространства, органов малого таза. Газ в левом мочеточнике
Рис. 4. Компьютерная томография органов брюшной полости, забрюшинного пространства, органов малого таза. Газ в почках
Рис. 5. Компьютерная томография органов брюшной полости, забрюшинного пространства, органов малого таза. Газ в левой почке
Рис. 6. Компьютерная томография органов брюшной полости, забрюшинного пространства, органов малого таза. Газ в верхнем полюсе левой почки
В представленном клиническом случае поздняя диагностика была обусловлена стертостью клинической картины и отсутствием «урологических» симптомов вплоть до обнаружения роста креатинина плазмы. Даже ультразвуковое исследование органов брюшной полости не позволило поставить правильный диагноз, что может свидетельствовать о его низкой специфичности в таком случае.
Безусловно, пациент относился к группе риска развития генерализованной инфекции: цирротические изменения печени (по данным аутопсии) на фоне хронического алкоголизма (в анамнезе). Трудно сказать, повышенный уровень глюкозы в течение всего короткого периода госпитализации (15–18 ммоль/л) был обусловлен сахарным диабетом, впервые обнаруженным, либо генерализацией инфекции. Летальный исход в данном наблюдении связан с молниеносным развитием крайне тяжелого септического состояния и нарушения витальных функций пациента вследствие коморбидности и развития синдрома полиорганной недостаточности.
Возможности лечения стремительно развивающегося эмфизематозного пиелонефрита ограничены скоростью генерализации инфекции, нередко, прогрессии полиорганной недостаточности. Уже при постановке диагноза чаще всего необходима экстренная нефрэктомия. Уровень смертности при этой операции остается довольно высоким. У представленного пациента было выявлено значительное поражение обеих почек и мочевого пузыря, а также наличие коморбидности, обусловленной сопутствующей патологией, что привело к молниеносному развитию инфекции и, как следствие, к летальному исходу. В связи с быстро прогрессирующим септическим состоянием и нестабильностью гемодинамики, несмотря на интенсивную терапию, нарушением витальных функций, выполнить пациенту нефрэктомию после постановки диагноза оказалось невозможным.
Некоторые литературные данные свидетельствуют о том, что консервативный подход, состоящий из антибактериальной терапии в сочетании с чрескожным или трансуретральным дренированием, становится эффективной альтернативой нефрэктомии у отдельных пациентов [4]. В нескольких небольших описанных ранее случаях было продемонстрировано успешное лечение, позволяющее избежать нефрэктомии, сочетающее чрескожное или трансуретральное дренирование с антибактериальной терапией [5, 6]. Роль прямой инстилляции антибиотиков в коллекторную систему почки остается неясной [7]. В нашем случае ретроградное дренирование почек оказалось, по-видимому, запоздалым, и не повлияло на развитие осложнений. Тем не менее, при развитии признаков бактериотоксического шока нефрэктомия может играть роль «спасительной» операции.
ЗАКЛЮЧЕНИЕ
Эмфизематозный пиелонефрит и эмфизематозный цистит – редко встречаемое патологическое состояние, являющееся опасным системным поражением мочевыделительной системы. В то же время своевременное лечение может быть затруднено отсутствием специфических симптомов и поздним появлением характерных признаков даже при инструментальном обследовании.
Определенную настороженность должны вызывать пациенты с наличием системных факторов риска, таких как сахарный диабет, длительные хронические интоксикации, мочекаменная болезнь, иммунодефицитные состояния. Своевременное проведение компьютерной томография органов мочевыделительной системы может способствовать ранней диагностике и тем самым повлиять на исход заболевания. Выбор между органосохраняющей терапией и «спасительной» нефрэктомией остается предметом обсуждения в каждом конкретном случае.
Подобные клинические наблюдения являются основой для разработки алгоритмов диагностики лечения, необходимых для снижения летальности.
About the authors
Andrey B. Doronin
Volgograd State Medical University
Email: andrey@doronin34.ru
Candidate of Medical Sciences, Associate Professor of the Department of Urology
Russian Federation, VolgogradVasily P. Zipunnikov
Volgograd State Medical University
Email: vzipunnikov@yandex.ru
Candidate of Medical Sciences, Associate Professor of the Department of Urology
Russian Federation, VolgogradAlexander A. Kuznetsov
Volgograd State Medical University
Email: kouznetsov23@gmail.com
Candidate of Medical Sciences, Associate Professor of the Department of Urology
Russian Federation, VolgogradSergey V. Shchelkov
Volgograd State Medical University
Email: doc.dexter34@gmail.com
Candidate of Medical Sciences, Associate Professor of the Department of Urology
Russian Federation, VolgogradAlexander V. Kapenkin
Volgograd State Medical University
Author for correspondence.
Email: kapyonkinalexander@gmail.com
Resident of the Department of Urology
Russian Federation, VolgogradReferences
- Laletin D.I., Kapsargin F.P., Firsov M.A. et al. Emphysematous pyelonephritis and emphysematous cystitis. Urologiya. Materialy XX kongressa Rossiiskogo obshchestva urologov = Urology. Materials of the XX Congress of the Russian Society of Urologists. November 26–29, 2020. 2020;5(App.):100. (In Russ.).
- Novinsky A.A., Zinukhov A.F. Emphysematous pyelonephritis: epidemiology, modern approaches to diagnosis and treatment. Eksperimental’naya i klinicheskaya urologiya = Experimental and Clinical Urology. 2020;13(5):100–105. (In Russ.) doi: 10.29188/2222-8543-2020-13-5-100-105.
- Protoshchak V.V., Sivakov A.A., Babkin P.A. et al. Emphysematous pyelonephritis: a case of successful conservative treatment. Urologiia. 2020;6:118–121. (In Russ.) doi: https://dx.doi.org/10.18565/urology.2020.6.118-121.
- Stus V.P., Moiseenko M.M., Dubovs’ka N.V. Emphy-sematous pyelonephritis. Urologiya = Urology. 2016;20(4): 49–54. EDN: XCGSUZ (In Russ.).
- Alsharif M., Mohammedkhalil A., Alsaywid B. et al. Emphysematous pyelonephritis: Is nephrectomy warranted? Urology Annals. 2015;7(4):494–498. doi: 10.4103/0974-7796.158503.
- Chávez-Valencia V., Orizaga-de-La-Cruz C., Aguilar-Bixano O., Lagunas-Rangel F.A. Coexistence of emphysematous cystitis and bilateral emphysematous pyelonephritis: a case report and review of the literature. Clinical and Experimental Nephrology Case Reports. 2020;9(4):313–317. doi: 10.1007/s13730-020-00479-5.
- Kangjam S.M., Irom K.S., Khumallambam I.S., Sinam R.S. Role of conservative management in emphysematous pyelonephritis – A retrospective study. Journal of Clinical and Diagnostic Research. 2015;9(11):PC09–PC11.
Supplementary files








