Spatial distribution proteoglycans articular cartilage of femoral condyles and tibial plateau in experimental osteoarthritis in rats
- Authors: Krylov P.A.1, Romanova I.M.1, Velikanova E.D.1, Zybinskaya P.A.1, Abdulova A.A.1, Zagrebin V.L.2, Novochadov V.V.1
-
Affiliations:
- Volgograd State University
- Volgograd State Medical University
- Issue: Vol 20, No 4 (2023)
- Pages: 147-151
- Section: Original Researches
- URL: https://journal-vniispk.ru/1994-9480/article/view/250027
- DOI: https://doi.org/10.19163/1994-9480-2023-20-4-147-151
- ID: 250027
Cite item
Full Text
Abstract
Currently, worldwide research is being conducted on the development of new drugs for viscosupplementation therapy. However, there are a very few studies dedicated to the spatial distribution of proteoglycans in articular cartilage after the use of these drugs. Pulmonary surfactant proteins, which have lubricative functions similar to those of articular cartilage proteoglycans, are possible promising substances for viscosupplementation therapy. The aim of this study is to investigate the effect of a mixture of allogenic surfactant proteins (MASP) on the spatial distribution of proteoglycans and the expression of IL-1 in articular cartilage after their intra-articular injection. Morphological and immunohistochemical studies were conducted using antibodies to aggrecan and lubricin to assess the spatial distribution of proteoglycans, and antibodies to IL-1 were used to identify potential pro-inflammatory processes. Three weeks after intra-articular injection of MASP, the thickness of the articular cartilage and the relief of the joint surface did not change compared to intact rats. However, a decrease in the number of immunopositive chondrocytes to aggrecan in the intermediate zone of the articular cartilage and an increase in IL-1 were observed after MASP injection. The obtained data during the study can be used for further research on MASP in the conditions of experimental osteoarthritis.
Keywords
Full Text
Остеоартроз (ОА) – одно из самых распространенных заболеваний в мире [1, 2]. На развитие ОА влияет большое число разных факторов, одним из которых является высокая физическая нагрузка на опорно-двигательную систему [3]. В клинической практике широкое распространение при лечении ОА получила вискосапплементарная терапия [4]. В данной работе уделяется внимание белкам сурфактанта, выполняющим лубрикативную функцию в легочных альвеолах. Выбор этих белков был основан на биомиметическом принципе по отношению к лубрицину. В состав легочного сурфактанта человека входят 4 белка: SP-A, SP-B, SP-C, SP-D. Согласно нашим предыдущим исследованиям, на основе анализа структурной гомологии, было определено, что на лубрикативные свойств синовиальной жидкости могут оказывать влияние только SP-B, SP-C, SP-D [5]. Также особенности строения суставного хряща и наличие протеогликанов обеспечивают ему определенную защиту к избыточным механическим нагрузкам [6]. Среди протеогликанов особый интерес представляют такие белки, как лубрицин и аггрекан, поскольку именно их баланс, по современным представлениям, определяет прочностные и трибологические свойства суставного хряща [7].
Исходя из вышесказанного, открытым остается вопрос, могут ли аллогенные белки сурфактанта привести к развитию воспалительного процесса, в частности, к экспрессии ИЛ-1, а также привести к изменению пространственного распределения лубрицина и аггрекана в суставном хряще при их внутрисуставном введении.
ЦЕЛЬ РАБОТЫ
Изучить влияние аллогенных белков сурфактанта на пространственное распределение лубрицина, аггрекана и экспрессию ИЛ-1 в суставном хряще.
МЕТОДИКА ИССЛЕДОВАНИЯ
Образцы суставного хряща были взяты у 12 самцов белых крыс линии Wistar, массой 150–200 г. Все манипуляции проводили в соответствии с этическими нормами, изложенных в «Правилах проведения работ с использованием экспериментальных животных» и Директиве 2010/63/EU Европейского парламента и Совета Европейского Союза по охране животных, используемых в научных целях. Выведение животных осуществляли с помощью внутрибрюшинного введения десятикратной дозы препарата «Рометар», Россия (200 мг/кг массы).
У шести крыс контрольной группы были взяты 12 коленных суставов для исследования в интактном состоянии. В первой экспериментальной группе, состоящей из шести крыс, также были взяты 12 коленных суставов, где внутрисуставно вводилась смесь аллогенных белков (САБС), состоящая из SP-D (RPB039Hu01, Cloud-Clone, Китай), SP-B (RPB622Hu01, Cloud-Clone, Китай) и SP-С человека (RPB623Hu01, Cloud-Clone, Китай) в концентрации 1 мкг/мл. Животных из каждой группы выводили спустя 3 недели.
Материал фиксировали в 10%-м растворе забуференного формалина и декальцинировали по стандартной методике с помощью раствора трилона Б. Срезы коленного сустава толщиной 3–5 мкм были получены с помощью ротационного микротома Leica RM 2125 RTS (Leica, США) и помещены на предметные стекла, предварительно обработанные адгезивом (БиоВитрум, Россия). Окраску препаратов осуществляли сафранином О.
Выявление протеогликанов и ИЛ-1 в суставном хряще проводили с помощью иммуногистохимического исследования. В работе были использованы первичные антитела кролика к лубрицину 1:50 (DF13331, Affinity Biosciences, Китай [RRID: AB_2846350]), аггрекану (DF7561 Affinity Biosciences, Китай [RRID: AB_2841055]) и ИЛ-1 (DF6893 Affinity Biosciences, Китай [RRID: AB_2838852]) крысы. Также использовались вторичные антитела козы против антител кролика с пероксидазной меткой (S0001, Affinity Biosciences, Китай [RRID: AB_2839429]) в разведении 1:50 для всех антител. Набор DAB Chromogen (IS046, Cloud-Clone Corp., Китай) использовался для визуализации иммунопозитивного материала.
Анализ полученных изображений гистологических препаратов с помощью цифровой камеры для микроскопа ToupCam (ToupTek, Китай) осуществлялся с использованием программы в свободном доступе ImageJ v. 1.53t (National Institutes of Health, США). Морфометрия суставного хряща включала измерение радиальной толщины хряща (мкм), рельефа суставной поверхности (усл. ед.), численной плотности хондроцитов (1/мм3) поверхностной зоны. Иммуногистохимическую реакцию с аггреканом, лубрицином и ИЛ-1 в цитоплазме, межклеточном пространстве и ЭЦМ оценивали путем расчета доли иммунопозиитивных клеток (%). Количественные данные обрабатывали с помощью программы Statistica 12.0 (StatSoftInc., США). Для доказательства достоверности различий был применен критерий Манна – Уитни для двух независимых выборок (p < 0,05).
РЕЗУЛЬТАТЫ ИССЛЕДОВАНИЯ И ИХ ОБСУЖДЕНИЕ
У интактных крыс при окраске сафранином О не было выявлено элементов разрушения суставного хряща. Суставная поверхность имела гладкий рельеф и наблюдалась типичная локализация хондроцитов, согласно зональной структуре суставного хряща (рис. 1А). На третьей неделе после внутрисуставного введения САБС каких-либо повреждений суставного хряща выявлено не было, как и у интактной группы (рис. 1Б).
Результаты морфометрии суставного хряща до и после внутрисуставного введения САБС представлены в таблице. У крыс через три недели после введения САБС толщина суставного хряща была выше на 5 % по сравнению с величиной показателя у интактных животных (p > 0,05). При анализе рельефа суставной поверхности не было выявлено различий между исследуемыми группами (p > 0,05). В экспериментальной группе численная плотность клеток поверхностной зоны суставного хряща была в 1,4 раза меньше в сравнении с величиной показателя у интактных крыс (p > 0,05).
Рис. 1. Суставной хрящ: А – интактное состояние; Б – через три недели после внутрисуставного введения САБС. Окрашивание сафранином О, ×40
Анализ морфометрических параметров суставного хряща до и после внутрисуставного введения САБС
Морфологические параметры | Интактная группа | Через 3 недели после введения САБС |
Радиальная толщина хряща, мкм | 122 [105 ÷ 148] | 135 [119 ÷ 163] |
Рельеф суставной поверхности, безразмерная величина | 1,02 [1,01 ÷ 1,04] | 1,02 [1,02 ÷ 1,03] |
Численная плотность хондроцитов поверхностной зоны, 1/мм3 | 291* [208 ÷ 439] | 205* [170 ÷ 314] |
Доля иммунопозитивных хондроцитов к аггрекану, % | 41* [33 ÷ 56] | 27* [19 ÷ 34] |
Доля иммунопозитивных хондроцитов к лубрицину, % | 18 [10 ÷ 31] | 18 [6 ÷ 32] |
Доля иммунопозитивных хондроцитов к ИЛ-1, % | 2* [1 ÷ 3] | 15* [9 ÷ 19] |
* Cтатистически значимые отличия параметров суставного хряща между группами, критерий Манна – Уитни (p > 0,05).
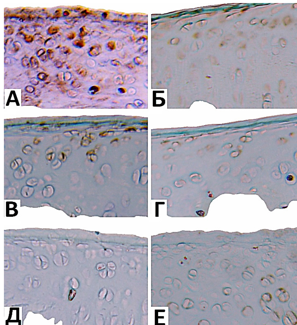
В результате исследования пространственного распределения аггрекана, лубрицина и ИЛ-1 было выявлено, что введение САБС приводит к изменению доли иммунопозитивных хондроцитов в суставном хряще (рис. 2, табл.). Через три недели после внутрисуставного введения САБС выявлялась слабая окраска на аггрекан в поверхностной и промежуточной зонах суставного хряща (рис. 2Б). При этом доля иммунопозитивных хондроцитов была меньше в 1,5 раза по сравнению с интактным суставным хрящом (p < 0,05).
Пространственное распределение лубрицина в суставном хряще и доля иммунопозитивных хондроцитов не различались между интактной и экспериментальной группами (p > 0,05) (рис. 2В, Г), хотя интенсивность окраски хондроцитов и ЭЦМ была ниже через три недели после внутрисуставного введения САБС.
После введения САБС значительно (в 8 раз) возросла доля иммунопозитивных клеток к ИЛ-1 (p < 0,05) (рис. 2Д, Е), в то время как в интактном суставном хряще его экспрессия не наблюдалась. Стоит отметить, что иммунопозитивные хондроциты к ИЛ-1 локализовались преимущественно в промежуточной зоне.
Полученные данные указывают, прежде всего, на закономерное пространственное распределение аггрекана, лубрицина и ИЛ-1. В частности, ожидаемо, что в интактном состоянии экспрессия ИЛ-1 должна отсутствовать, что в итоге и подтвердили наши результаты иммуногистохимического исследования. Интересный факт, который был нами обнаружен, – внутрисуставное введение САБС не привело к нарушению целостности суставной поверхности, но вызвало снижение численной плотности хондроцитов поверхностной зоны, а также появление иммуннопозитивных хондроцитов к ИЛ-1 в промежуточной зоне. В то же время мы зафиксировали уменьшение экспрессии аггрекана после введения САБС. Такие неоднозначные результаты эффективности и безопасности САБС могут быть связаны с тем, что экспрессия ИЛ-1 и гибель хондроцитов могли быть вызваны комплексным ответом на повреждение сустава за счет прокола иглой шприца [8].
Рис. 2. Интактный суставной хрящ, окраска DAB-хромогеном: А – аггрекан, В – лубрицин, Д – ИЛ-1. Суставной хрящ через 3 недели после внутрисуставного введения, окраска DAB-хромогеном: Б – аггрекан, Г – лубрицин, Е – ИЛ-1, х200
Безусловно, полученные результаты могут быть использованы для дальнейшего изучения САБС при ремоделировании суставного хряща в условиях ОА коленного сустава, а также в перспективе для вискосапплементарной терапии [9, 10].
ЗАКЛЮЧЕНИЕ
Таким образом, в ходе исследования пространственного распределения аггрекана и лубрицина в норме и после внутрисуставного введения САБС было выявлен интересный факт. В суставном хряще после внутрисуставного введения САБС не изменяется пространственное распределение протеогликанов, но снижается доля иммунопозитивных хондроцитов к аггрекану в промежуточной зоне и возрастает доля к ИЛ-1. При этом экспрессия лубрицина хондроцитами поверхностной зоны суставного хряща не изменяется.
Полученные данные в дальнейшем можно будет использовать для расширения представлений о структурно-функциональных особенностях суставного хряща в условиях моделируемого экспериментального остеоартроза и изучения эффективности модификатора синовиальной жидкости на основе белков сурфактанта.
Финансирование. Исследование выполнено при поддержке гранта Президента РФ для молодых ученых кандидатов наук МК-199.2022.1.4.
Funding. The study was supported by a grant from the President of the Russian Federation for young scientists candidates of sciences MK-199.2022.1.4.
About the authors
Pavel A. Krylov
Volgograd State University
Author for correspondence.
Email: krylov.pavel@volsu.ru
Candidate of Biological Sciences, Associate Professor of the Department of Biology and Bioengineering
Russian Federation, VolgogradIrina M. Romanova
Volgograd State University
Email: romanova-i@vfanc.ru
student of the Department of Biology and Bioengineering
Russian Federation, VolgogradEkaterina D. Velikanova
Volgograd State University
Email: velikanova-e@vfanc.ru
student of the Department of Biology and Bioengineering
Russian Federation, VolgogradPolina A. Zybinskaya
Volgograd State University
Email: zybinskaya-pa@vfanc.ru
student of the Department of Biology and Bioengineering
Russian Federation, VolgogradAliya A. Abdulova
Volgograd State University
Email: abdulova-aa@vfanc.ru
student of the Department of Biology and Bioengineering
Russian Federation, VolgogradValery L. Zagrebin
Volgograd State Medical University
Email: vlzagrebin@gmail.com
Candidate of Medical Sciences, Associate Professor, Head of the Department of Histology, Embryology, Cytology
Russian Federation, VolgogradValery V. Novochadov
Volgograd State University
Email: novovv@rambler.ru
Doctor of Medical Sciences, Professor of the Department of Biology and Bioengineering
Russian Federation, VolgogradReferences
- Портянникова О.О., Цвингер С.М., Говорин А.В., Романова Е.Н. Анализ распространенности и факторов риска развития остеоартрита в популяции. Современная ревматология. 2019;13(2):105–111. (In Russ.) doi: 10.14412/ 1996-7012-2019-2-105-111.
- Boer C.G., Hatzikotoulas K., Southam L. et al. Deciphering osteoarthritis genetics across 826,690 individuals from 9 populations. Cell. 2021;184(18):4784–818. doi: https://doi.org/10.1016/j.cell.2021.07.038.
- Abujaber S., Altubasi I., Hamdan M., Al-Zaben R. Impact of end-stage knee osteoarthritis on perceived physical function and quality of life: a descriptive study from Jordan. PloS One. 2023;18(6):e0286962. doi: 10.1371/journal.pone.0286962.
- De Marziani L., Sangiorgio A., Bensa A. et al. Intra-articular injections in sport-active patients with degenerative cartilage lesions or osteoarthritis of the knee: a systematic review. Journal of experimental orthopaedics. 2023;10(1):112. doi: 10.1186/s40634-023-00674-0.
- Krylov P.A., Tretyakova A.V., Gerasimova E.O. et al. Evaluation of structural homology between functionally simil-ar proteins of highly specialized tissues on the example of proteoglycans and surfactant proteins. Journal of Bioinformatics and Genomics. 2023;1(19):1-12. doi: 10.18454/ jbg.2023.3.19.001
- Li Z., Lu J. CircRNAs in osteoarthritis: research status and prospect. Front Genet. 2023;14:1173812. doi: https://doi.org/10.3389/fgene.2023.1173812.
- Knudson W., Ishizuka S., Terabe K.,et al. The pericellular hyaluronan of articular chondrocytes. Matrix Biol. 2019;78–79:32–46. doi: https://doi.org/10.1016/j.matbio.2018.02.005.
- Huang L., Zhang S., Wu J. et al. Immunity-and-matrix-regulatory cells enhance cartilage regeneration for meniscus injuries: a phase I dose-escalation trial. Signal transduction and targeted therapy. 2023;8(1):417. doi: 10.1038/s41392-023-01670-7.
- De Leon-Oliva D., Boaru D.L., Perez-Exposito R.E. et al. Advanced Hydrogel-Based Strategies for Enhanced Bone and Cartilage Regeneration: A Comprehensive Review. Gels (Basel, Switzerland). 2023;9(11):885. doi: 10.3390/gels9110885.
- Lu Z., Xie L., Liu W. et al. A bibliometric analysis of intra-articular injection therapy for knee osteoarthritis from 2012 to 2022. Medicine. 102(46):e36105. doi: 10.1097/MD.0000000000036105.
Supplementary files




