A shirt for the brain, or a scientific modern view of the dura mater (literature review)
- Authors: Balandin A.A.1, Pankratov M.K.1, Balandina I.A.1
-
Affiliations:
- Perm State Medical University named after academician E.A. Wagner
- Issue: Vol 22, No 2 (2025)
- Pages: 21-30
- Section: Review Articles
- URL: https://journal-vniispk.ru/1994-9480/article/view/310127
- DOI: https://doi.org/10.19163/1994-9480-2025-22-2-21-30
- ID: 310127
Cite item
Full Text
Abstract
This review highlights and systematizes knowledge about the features of the structure and functional properties of the dura mater. Modern ideas about embryogenesis, structure, innervation, blood supply, lymphatic system, age-related features of the dura mater are extremely important for specialists in the field of neurosurgery, neurology, oncology, as well as traumatology and rehabilitation.
Full Text
ВВЕДЕНИЕ
«Нескладно скроен, да крепко сшит» – так гласит русская народная мудрость, и эта фраза наилучшим образом подходит к характеристике твердой мозговой оболочки (ТМО) – на первый взгляд, простому соединительнотканному мешку, который является наружной оболочкой головного мозга. Головной мозг совершенно неслучайно с давних времен привлекал внимание ученых еще античной эпохи, так как этот орган не имеет аналогов по своей сложнейшей трехмерной организации собственных тканей на макро- и микроанатомическом уровнях. Как отмечают современные исследователи, понимание специфики функционирования различных анатомических структур мозга и алгоритмов их взаимодействия является важной центральной задачей современной нейронауки [1, 2, 3]. Однако, наряду с этим, такая уникальная внутричерепная структура как ТМО незаслуженно обделена вниманием. Представление об эмбриогенезе, строении, структуре и морфофункциональных особенностях внутричерепной твердой мозговой оболочки крайне важно для таких специалистов, как нейрохирурги, неврологи, онкологи, а также травматологи и реабилитологи. Так, в обзоре Francesca M. Cozzi и соавт. (2023) авторы приходят к выводу, что морфологическая уникальность ТМО и особая популяция иммунных клеток, локализующихся в ткани этой оболочки, играют ключевую роль при поражении головного мозга метастазами, а дальнейшее изучение особенностей ее тканевого строения может сделать прорыв в области нейроонкологии [4]. В публикации Leonel Ampie and Dorian B. McGavern (2022) особое внимание уделяется тому, что незаурядная анатомическая структура микроциркуляторного русла ТМО выполняет функцию не только биомеханического барьера, но и представляет собой целую локальную иммунную подсистему из сложного конгломерата активных иммунных клеток, которые хорошо реагируют на различные бактериальные возбудители для предотвращения их проникновения в ткани мозга [5]. Так что же делает ТМО уникальной структурой, переводя ее из обычной «оболочки для мозга» в полноценного участника поддержания гомеостатического баланса при множестве патологических состояний? В данном научном обзоре литературы мы постараемся ответить на этот вопрос.
Эмбриогенез ТМО. Становление первичных примитивных оболочек мозга начинается с единичных клеток нервного гребня. Уже в самом начале образования своей структуры в полости черепа мозговые оболочки закладываются между формирующимся мозгом и костями будущего черепа, а их тесное взаимодействие между собой в процессе развития эмбриона обуславливает «футлярное» формирование структур головного и спинного мозга в соответствии с принципом симметрии по лево-правой оси. Субстратом становления мозговых оболочек черепа является мезенхимальная оболочка на поверхности развивающегося мозга, которую исследователи называют «первичной мозговой оболочкой». Согласно данным научной литературы, примерно на 38–39-е сутки эмбриогенеза возникает ключевой момент в процессе завершения формирования цитоархитектоники ТМО, так как в этом периоде происходит дифференцировка общего тканевого листа вокруг головного мозга на три слоя, согласно его гистологической неоднородности. Так, единая первичная мозговая оболочка превращается в твердую мозговую оболочку (dura mater), паутинную оболочку (tunica arachnoidea) и мягкую мозговую оболочку (pia mater). Затем паутинная и мягкая оболочки образуют единую функциональную систему, называемую лептоменинкс (leptomeninx), задачей которой является способствование быстрому и правильному формированию структур будущего мозга, а именно, благодаря этим оболочкам более качественно и быстро происходит нейрогенез, миграция созревших нейронов, создание нейронных сетей и образование складчатости коры большого мозга для возможности размещения большего объема нейронной массы в ограниченном объеме черепа. Кроме того, паутинная и мягкая оболочки служат своеобразной «нишей» для стволовых клеток мозга в послеродовом периоде. Что касается ТМО, то ее задачей является непрерывное взаимодействие с костями формирующегося черепа для активного и правильного остеосинтеза и создание правильной конфигурации мозгового отдела черепа, а также контроль состояния межкостных швов для подготовки к родам и дальнейшему их окостенению в позднем послеродовом периоде [6, 7, 8, 9, 10].
Морфологические характеристики ТМО. ТМО представляет собой белого цвета блестящую пластинку внутри и матово-серую снаружи. Она достаточно гладкая на ощупь и состоит из рыхло спаянных между собой двух листков, которые легко отделяются друг от друга – это надкостничная часть оболочки и менингеальная часть (рис. 1, 2) [11].
Рис. 1. ТМО мужчины 56 лет после извлечения головного мозга из полости черепа
Рис. 2. Фотоизображение ТМО мужчины 40 лет с экрана микроскопа при оперативном вмешательстве с целью удаления мешотчатой аневризмы
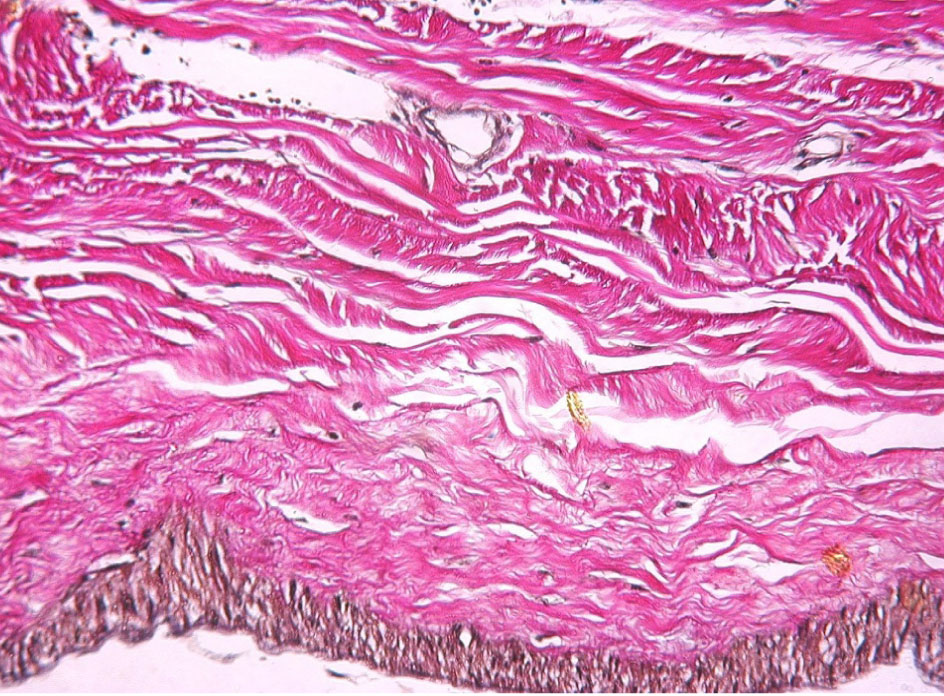
По своей структуре ТМО представляет собой плотную неоформленную соединительную ткань, которая содержит сосуды микроциркуляторного русла. ТМО имеет четкую стратификацию своей гистоархитектоники и состоит из трех слоев – периостального, менингеального и погранично-клеточного (рис. 3) [7, 11].
Рис. 3. Фрагмент ТМО мужчины 30 лет. Окраска по Ван Гизону. Увеличение ×80
Каждый слой имеет определенную гистологическую специфику, которая делает его по своему уникальным. Самый наружный – это периостальный слой, прикрепленный к внутренней части черепа с богатым микроциркуляторным руслом и хорошо выраженной иннервацией. Он состоит из удлиненных фибробластов, формирующих скопления, с большими межклеточными пространствами. Средний слой – менингеальный, представлен большим количеством фибробластов и небольшим составом коллагена, в сравнении с периостальным слоем. Самым внутренним слоем ТМО является слой погранично-клеточный, который иногда величают внутренним слоем клеток, мезотелиальным слоем или нейротелием [7, 12, 13, 14]. Этот слой гораздо тоньше, нежели периостальный и менингеальный, граничит с паутинной оболочкой. Он представлен несколькими слоями клеток, имеющих некоторые особенности эпителия (десмосомы и тонофиламенты), и практически лишен соединительнотканных волокон во внеклеточном пространстве. Поскольку погранично-клеточный слой хрупкий и легко разрывается, он, вероятно, играет ключевую роль при возникновении субдуральной гематомы [13, 14].
Иннервация ТМО. ТМО имеет сложную систему иннервации. С одной стороны, супратенториально, ТМО иннервируется обильно афферентными нервными волокнами, большинство из которых берут начало в гомолатеральном узле тройничного нерва, и симпатическими волокнами, преимущественно идущими из гомолатерального верхнего шейного нервного узла. С другой стороны, в области задней черепной ямки обеспечивают иннервацию ветви подъязычного нерва и возвратные ветви блуждающего нерва. Кроме того, была описана сравнительно слабая парасимпатическая иннервация ТМО, исходящая преимущественно от ипсилатерального клиновидно-небного узла [15]. Симпатические волокна верхнего шейного нервного узла при их активации выделяют норадреналин, который способствует сужению просвета сосудов и ограничивает проницаемость их стенки. Напротив, парасимпатические волокна из клиновидно-небного и ушного ганглиев повышают проницаемость сосудов и способствуют их расширению под воздействием нейромедиатора ацетилхолина. Ветви тройничного нервного узла, которые также иннервируют мягкую мозговую оболочку, могут как высвобождать нейропептиды через эфферентные волокна, так и воспринимать различные ноцицептивные стимулы, такие как температура, кислотность среды или механическое воздействие [16].
Кровоснабжение ТМО. Сосудистая сеть мозга и черепа уникальна как по своей структуре, так и по функции, потому что гемодинамика внутри полости черепа неразрывно связана с поддержанием определенного внутричерепного давления за счет циркуляции спинномозговой и межтканевой жидкостей. Все это представлено очень мощной анастомозной сетью, включающей, в частности, поверхностные артерии, которые также обеспечивают васкуляризацию внутреннего отдела костей свода черепа. Такая сеть не прерывается ни на стенках венозных пазух, ни на перегородках твердой мозговой оболочки. Внутримозговая артериальная система ТМО состоит из ветвей внутренней и наружной сонных артерий, а также позвоночных артерий. Наиболее крупным бассейном менингеальных артерий является система средней менингеальной артерии. Этот сосуд, являющийся ответвлением от верхнечелюстной артерии, отходит непосредственно от наружной сонной артерии и обеспечивает основное кровоснабжение ТМО. Данная артерия входит в полость черепа через остистое отверстие клиновидной кости, проходит переднелатерально по дну средней черепной ямки и крылу клиновидной кости, а затем делится на две ветви: лобную и теменную. Лобная в дальнейшем образует углубление во внутренней поверхности черепа и разделяется, кровоснабжая внешнюю поверхность твердой мозговой оболочки от лобно-теменной выпуклости до затылочной области.
Теменная ветвь, которая меньше по размеру, имеет локальное значение: она приносит кровь к участкам, находящимся в проекции теменно-височных регионов ТМО. Дополнительная менингеальная артерия берет начало либо от верхнечелюстной, либо от средней менингеальной артерии. Она входит в полость черепа через овальное отверстие и питает ТМО в параселлярной области, а также частично нервный узел тройничного нерва. Ветви внутренней сонной артерии, питающие твердую мозговую оболочку, отходят в основном от пещеристой части сонной и глазной артерий. Ветви пещеристой части сонной артерии включают менингеальную ветвь и гипофизарную артерию, берущую начало из заднего пещеристого сегмента. Его три ветви снабжают ТМО спинки седла и ската, внутренний слуховой проход, намет мозжечка и гипофиз [16, 17, 18, 19, 20, 21, 22].
Система синусов ТМО. Вся венозная система головы, включая внечерепную сеть сосудов, а также диплоические и эмиссарные вены, синусы ТМО и головного мозга, функционирует как большая единая система. Значительный как теоретический, так и практический интерес представляет исследование роли этой системы в возникновении различных острых нарушений мозгового кровообращения, особенно в случаях, связанных с затруднением оттока крови от головного мозга [23].
Различают следующие синусы ТМО:
- Верхний сагиттальный синус, который чаще всего впадает в правый поперечный синус.
- Нижний сагиттальный синус, сбрасывающий кровь в прямой синус в районе нижнего края серпа мозга.
- Прямой синус, идущий от заднего края нижнего сагиттального синуса к внутреннему затылочному выступу и переходящий в поперечный синус.
- Поперечный синус – парный, переходящий в сигмовидный синус.
- Затылочный синус, продолжающийся в сигмовидный и иногда непосредственно сбрасывающий кровь во внутреннюю яремную вену.
- Пещеристый синус, имеющий общий континуум с клиновидно-теменным синусом и верхней глазной веной.
- Межпещеристые синусы (sinus intercavernosi), соединяющие между собой пещеристые синусы.
- Клиновидно-теменной синус (sinus sphenopari-etalis), впадающий в пещеристый синус.
- Верхний и нижний каменистые синусы (sinus petrosus superior et inferior), принимающие участие в образовании одного из оттоков крови между сигмовидным и пещеристым синусами [6].
Синусы ТМО не являются самостоятельными анатомическими образованиями, они сформировались за счет расщепления оболочки на два листка и имеют ряд особенностей в строении. Во-первых, в синусах нет клапанов, что обеспечивает свободный ток крови. Во-вторых, они треугольной формой, вершина этого треугольника направлена к веществу мозга, а основание представлено надкостницей. В-третьих, синусы не имеют мышечного слоя в своей стенке, вследствие чего при различных повреждениях они не спадаются. Дополнительную механическую прочность синусам придает их «стратегически важное» расположение возле основания борозд костей черепа [6, 23, 24, 25, 26].
Коммуникация синусов ТМО и мозговых вен выглядит следующим образом: вены височной и затылочной долей мозга перебрасывают кровь в поперечные синусы, а вены мозжечка и вены мозжечкового намета – в верхний каменистый синус. Как правило, таких «вен-притоков» насчитывается в среднем по 2–4 с каждой стороны. Чаще всего вены впадают в синус на его границе с сигмовидной пазухой [25].
Лимфатическая система ТМО. Особенности лимфатической системы ТМО достаточно полно описаны в работах César Luis Vera Quesada и соавт. (2023). Вопросы изучения лимфатических сосудов как самого головного мозга, так и его оболочек имеют долгую и богатую историю. Уже в конце XVIII века итальянский анатом Джованни Паоло Масканьи впервые описал лимфатические сосуды в ТМО человека в своих трудах, посвященных особенностям лимфатической системы человека. У современных ученых интерес к изучению особенностей лимфатической системы головного мозга значительно возрос, когда появились первые сообщения об особых функционирующих лимфатических сосудах в ТМО грызунов. Результаты проведенных исследований продемонстрировали, что лимфатические протоки, расположенные вблизи синусовых вен ТМО грызунов, способны переносить жидкость и иммунные клетки из спинномозговой жидкости. Более того, дисфункция сосудов ТМО прерывает транспорт макромолекул к глубоким шейным лимфатическим узлам. В дальнейшем исследователи получают все больше данных, указывающих на ключевую роль менингеальных лимфатических сосудов в выводе токсичных веществ из центральной нервной системы, а также на их значение в иммунных реакциях в тканях мозга. В образцах ТМО человека менингеальные лимфатические сосуды обнаружены на всей оболочке, но, по предположениям исследователей, их количество преобладает в глубоких слоях ТМО, ближе к паутинной оболочке [27, 28].
Венгерские ученые László Bálint и соавт. (2019) выявили, что лимфатические сосуды, локализующиеся в ТМО, участвуют в транспортировке «отработанных» макромолекул из тканей головного мозга. Менингеальные лимфатические сосуды активно развиваются в послеродовом периоде, и этот процесс совпадает с формированием функциональных лимфатических сосудов в ткани мозга. Зрелые менингеальные лимфатические сосуды обеспечивают увеличение оттока макромолекул из мозга в глубокие шейные лимфатические узлы. Было установлено, что структурное ремоделирование и созревание менингеальных лимфатических сосудов нарушается у лабораторных мышей в связи со сниженным лимфотоком. Таким образом, ученые пришли к выводу, что механическое воздействие, индуцируемое током лимфы, необходимо для постнатального формирования нормальных функциональных лимфатических сосудов головного мозга. Определение взаимосвязи развития и функционирования менингеальных лимфатических сосудов с качеством оттока лимфы может привести к лучшему пониманию патогенеза неврологических заболеваний, включая болезнь Альцгеймера и рассеянный склероз [29].
Иммунная подсистема ТМО. Головной и спинной мозг представляют собой иммунологически специализированную ткань, надежно защищенную гематоэнцефалическим барьером [5, 16, 30, 31, 32, 33]. Мозговые оболочки обеспечивают дополнительный барьер для структур мозга, они содержат различные группы иммунных клеток и служат важным посредником между внутренним гомеостазом мозга и периферическими структурами. Исследования последних лет значительно углубили знания ученых о менингеальном иммунитете, продемонстрировав влияние сложного иммунного ландшафта на функции центральной нервной системы в норме и при различных патологических состояниях [16].
Сначала стоит обратить внимание на интересное исследование бразильских ученых Emanuela P. Rosas и соавт. (2022), которые оценивали гистоморфометрические параметры тучных клеток, расположенных в ткани твердой мозговой оболочки головного мозга человека. Они оценивали следующие параметры: плотность тучных клеток, их процентное содержание с дегрануляцией, а также расстояние от тучных клеток до сосудов. В результате исследования было установлено, что более высокая плотность расположения тучных клеток наблюдается вблизи кровеносных сосудов (как артериальных, так и венозных), на расстоянии менее 150 мкм. Вблизи сосудов венозного русла в периостальном слое обнаруживается большее количество тучных клеток, чем в менингеальном слое (р < 0,05). Тучные клетки в области верхнего сагиттального синуса преобладают вблизи венозных сосудов в сравнении с артериальными [34].
Отдельно выделено влияние Т-клеток на менингеальный гомеостаз. Для начала стоит отметить тот факт, что Т-клетки, как правило, отсутствуют в паренхиме мозга и являются там «редкими гостями». Это обусловлено в первую очередь тем, что физический барьер на пути миграции Т-клеток в мозг и специализированные антигенпрезентирующие клетки сосудов возле него создают уникальную и сложную среду для доступа к тканям центральной нервной системы активированных системных Т-клеток [16, 35]. Однако особая роль Т-клеток в гомеостазе головного мозга стала очевидной отчасти после исследований, в которых у мышей с дефицитом Т-клеток была нарушена способность к пространственному обучению и тестам на память, таким как водный лабиринт Морриса [16].
Последние исследования в этой области наталкивают ученых на рассуждения, что существуют две автономные субпопуляции менингеальных Т-лимфоцитов. Такое разделение основано на миграционных свойствах клеток. Первая популяция постоянно локализуется в тканях ТМО, вторая, меньшая по численности субпопуляция, представляет собой циркулирующие Т-клетки в капиллярном русле как вблизи самого мозга, так и возле его оболочек. По мнению ученых, полученные результаты указывают на то, что мозговые оболочки осуществляют непрерывный иммунный надзор над циркулирующими в крови активными лимфоцитами, которые, в свою очередь, контролируют ткани паренхимы головного мозга. Их депо находится в глубоких шейных лимфатических узлах. Миграция Т-клеток регулируется многогранным процессом, включающим привязывание, свертывание, остановку и последующую адгезию к эндотелию перед экстравазацией в тканевую паренхиму [33, 36].
Возрастные особенности ТМО. К сожалению, будучи частью живого, архитектоника ТМО не является статичной биологической структурой и изменяется со временем, поскольку исследователи, изучающие морфофункциональные аспекты физиологического старения организма, давно доказали, что этот процесс является всеобщим и системным. Происходит он одновременно во всех тканях организма, от костной до нервной. Точки приложения интенсивности процесса старения разные, и ткани организма стареют «каждая по-своему». Все сводится к единому результату: к пожилому и старческому возрасту «биохимический маховик» ломает молекулярно-клеточный баланс тканевого гомеостаза, приводя к неэффективности компенсаторных механизмов и возраст-ассоциированным трансформациям в органах [37, 38, 39, 40].
Установлено, что в молодом возрасте в периостальном и менингеальном слоях ТМО коллагеновые волокна в большей мере компактно упакованы, при этом они имеют четкое направление и единую структуру. В пожилом и старческом возрасте, напротив, наблюдается «разволокнение» ткани оболочки при ее гистологическом исследовании. Такая картина является признаком «некачественной упаковки» соединительной ткани ТМО [11, 12]. Данное «разволокнение» ТМО негативно влияет на ее механическую прочность, что доказано в совместном исследовании новозеландских и немецких ученых. Johann Zwirner и соавт. (2019) изучали изменение биомеханической прочности ТМО у человека при ее растяжении, начиная с младенческого возраста и завершая долгожителями. Они установили, что динамика прочности ТМО практически не зависит от стороны (правой/левой) тела и пола индивида, при этом определили, что прочность ТМО с возрастом снижается. Исследователи пришли к выводу, что снижение биомеханической прочности ТМО происходит из-за повышения анизотропности ее ткани, возникшей как следствие «разволокнения» коллагеновых волокон [41]. Такие изменения могут объяснить тот факт, что при нейротравмах пожилой и старческий возраст пострадавшего (наряду с антиагрегантной терапией в его в анамнезе) является способствующим фактором к возникновению посттравматических субдуральных гематом и снижающим эффективность дальнейшей реабилитации пациента [42, 43, 44].
Сравнительная анатомия ТМО. Видовые различия ТМО детально описаны в исследовании Ahmet Kinaci и соавт. (2020). Автор подмечает, что в практике оказания медицинской помощи пациентам нейрохирургического профиля для обеспечения непроницаемости ТМО обычно применяются заменители биологической оболочки и различные герметики [7]. Эффективность и биосовместимость таких медицинских изделий оцениваются в различных исследованиях, для проведения которых также необходимо получение одобрения определенных регулирующих организаций. Важность качественного устранения дефекта ТМО при хирургическом лечении и дальнейшей профилактике множества внутричерепных осложнений подчеркивает немалое количество научных работ [7, 45, 46, 47].
В исследовании Ahmet Kinaci и соавт. (2020) изучались морфологические особенности свиной, лошадиной, овечьей, мышиной ТМО, а также ТМО кроликов, собак и кошек, при этом результаты каждого вида сравнивались с ТМО человека. По итогам исследования выявили, что у человека ТМО была самая толстая (564 мкм), за ней следует толщина ТМО лошади (313 мкм), крупного рогатого скота (311 мкм) и свиньи (304 мкм). У всех изучаемых видов ТМО состоит из двух слоев: фиброваскулярного, содержащего коллаген, фибробласты и кровеносные сосуды, и погранично-клеточного слоя, расположенного ниже. Различия в твердой мозговой оболочке у разных видов заключаются в количестве фиброваскулярных слоев, толщине ТМО и расположении фибробластов. У людей, коров, кошек, собак, свиней и кроликов в фиброваскулярном слое различимы два слоя (периостальный и менингеальный), разделенные четкой границей. У трех видов животных – коз, крыс и овец – наблюдается лишь единый однородный фиброваскулярный слой без четкой стратификации. В заключение авторы приходят к выводу, что, принимая во внимание множество факторов, таких как морфологические особенности, осуществимость забора материала, относительно неприхотливые условия содержания животных и этические аспекты, исследователи рекомендуют использовать свиную ТМО для исследований как максимально близкую к человеческой [7].
ЗАКЛЮЧЕНИЕ
Твердая мозговая оболочка, представляющая собой, на первый взгляд, обычную соединительнотканную оболочку, является сложной целостной системой, необходимой в роли барьера для внутренней среды головного мозга и выполняющей множество функций. Знания о ТМО имеют богатую историю исследований, ее эмбриология сложна, а понимание клинической анатомии этого соединительнотканного образования важно для таких специалистов, как нейрохирурги, неврологи, травматологи, трансплантологи и в других медицинских сферах.
About the authors
Anatoly A. Balandin
Perm State Medical University named after academician E.A. Wagner
Author for correspondence.
Email: balandinnauka@mail.ru
ORCID iD: 0000-0002-3152-8380
Candidate of Medical Sciences, Associate Professor of the Department of Normal, Topographic and Clinical Anatomy, Operative Surgery
Russian Federation, PermMikhail K. Pankratov
Perm State Medical University named after academician E.A. Wagner
Email: mischa280798@gmail.com
ORCID iD: 0000-0001-6556-6644
Senior Laboratory Assistant at the Department of Normal, Topographic and Clinical Anatomy, Operative Surgery
Russian Federation, PermIrina A. Balandina
Perm State Medical University named after academician E.A. Wagner
Email: balandina_ia@mail.ru
ORCID iD: 0000-0002-4856-9066
MD, Professor, Head of the Department of Normal, Topographic and Clinical Anatomy, Operative Surgery
Russian Federation, PermReferences
- Kutya S.A., Аvabde D.S., Nikolaeva N.G., Еrmo-shin А.V., Yarovaya О.Ya. Etymology of terms in the anatomy of the central nervous system. Zhurnal nevrologii i psihiatrii im. S.S. Korsakova = S.S. Korsakov Journal of Neurology and Psychiatry. 2021:121(10):101–104. (In Russ.).
- Serra C., Guida L., Staartjes V.E., Krayenbühl N., Türe U. Historical controversies about the thalamus: from etymology to function. Neurosurg Focus. 2019;47(3):E13. doi: 10.3171/2019.6.FOCUS19331.
- Efimova O.I., Balaban P.M., Hajtovich F.E. New approaches to molecular brain mapping: three-dimensional cyclic immunohistochemistry and optical illumination. Zhurnal vysshej nervnoj deyatel’nosti im. I.P. Pavlova = Journal of Higher Nervous Activity named after I.P. Pavlov. 2018;68(6):747–758. (In Russ.) doi: 10.1134/S0044467718060059.
- Cozzi F.M., Ampie L., Laws M.T., Brown D.A. The role of the dura mater in cerebral metastases. Neurosurg Focus. 2023;55(2):E17. doi: 10.3171/2023.5.FOCUS23229.
- Ampie L., McGavern D.B. Immunological defense of CNS barriers against infections. Immunity. 2022;55(5):781–799. doi: 10.1016/j.immuni.2022.04.012.
- Aliev М.А. Architectonics of the dura mater. Mezhdu-narodnyj studencheskij nauchnyj vestnik = International Student Scientific Bulletin. 2019;1. (In Russ.) URL: https://eduherald.ru/ru/article/view?id=19460.
- Kinaci A., Bergmann W., Bleys R.L., van der Zwan A., van Doormaal T.P. Histologic Comparison of the Dura Mater among Species. Comparative medicine. 2020;70(2):170–175. doi: 10.30802/AALAS-CM-19-000022.
- Dasgupta K., Jeong J. Developmental biology of the meninges. Genesis. 2019;57(5):e23288. doi: 10.1002/dvg.23288.
- Fernández V., Llinares-Benadero C., Borrell V. Cere-bral cortex expansion and folding: what have we learned? The EMBO Journal. 2016;35(10):1021–1044. doi: 10.15252/embj.201593701.
- Cooper G.M., Durham E.L., Cray J.J. Jr., Siegel M.I., Losee J.E., Mooney M.P. Tissue interactions between craniosynostotic dura mater and bone. Journal of Craniofacial Surgery. 2012;23(3):919–924. doi: 10.1097/SCS.0b013e31824e645f.
- Balandin A.A., Pankratov M.K., Balandina I.A. Histological characteristics and changes in the thickness of the dura mater in men and women in the first period of adulthood and in old age. Nauka i innovacii v medicine = Science and Innovation in medicine. 2022;7(3);155–159. (In Russ.) doi: 10.35693/2500-1388-2022-7-3-155-159.
- Balandin A.A., Pankratov M.K., Balandina I.A. Morphological features of the human dura mater in the elderly and senile age. Sibirskij nauchnyj medicinskij zhurnal = Siberian Scientific Medical Journal. 2023;43(3):50–56. (In Russ.) doi: 10.18699/SSMJ20230305.
- Lin M.S. Subdural Lesions Linking Additional Intracranial Spaces and Chronic Subdural Hematomas: A Narrative Review with Mutual Correlation and Possible Mechanisms behind High Recurrence. Diagnostics (Basel). 2023;13(2):235. doi: 10.3390/diagnostics13020235.
- Rascol M.M., Izard J.Y. The subdural neurothelium of the cranial meninges in man. The Anatomical Record. 1976;186(3):429–436. doi: 10.1002/ar.1091860308.
- Lv X., Wu Z., Li Y. Innervation of the cerebral dura mater. The Neuroradiology Journal. 2014;27(3):293–238. doi: 10.15274/NRJ-2014-10052.
- Rua R., McGavern D.B. Advances in Meningeal Immunity. Trends in Molecular Medicine. 2018;24(6):542–559. doi: 10.1016/j.molmed.2018.04.003.
- Lyun’kova R.N. The dural architecture of the cavernous sinus. The structure of the dura mater of the cellular region. Vestnik medicinskogo instituta “REAVIZ”: reabilitaciya, vrach i zdorov’e = Bulletin of the medical institute “REAVIZ”: rehabilitation, doctor and health. 022;4(58):24–47. (In Russ.) doi: 10.20340/vmi-rvz.2022.4.MORPH.1.
- Drandrova E.G., Merkulova L.M. Functional anatomy of cerebral vessels and their role in cerebrospinal fluid circulation. Sovremennye problemy nauki i obrazovaniya = Modern problems of science and education. 2022;6(2):5. (In Russ.) doi: 10.17513/spno.32114.
- Woldenberg R.F., Kohn S.A. Dura Mater. Encyclopedia of the Neurological Sciences (Second Edition). 2014:1039–1042. doi: 10.1016/B978-0-12-385157-4.01143-X.
- Jijeh A.M.Z., Fatima A., Faraji M.A., Hamadah H.K., Shaath G.A. Intracranial Pressure and Cerebral Hemodynamics in Infants Before and After Glenn Procedure. Critical Care Exploration. 2024;6(5):e1083. doi: 10.1097/CCE.0000000000001083.
- Mecheri B., Paris F., Lübbert H. Histological investigations on the dura mater vascular system of mice. Acta Histochem. 2018;120(8):846–857. doi: 10.1016/j.acthis.2018.09.009.
- Roland J., Bernard C., Bracard S., Czorny A., Floquet J., Race J.M. et al. Microvascularization of the intracranial dura mater. Surgical and Radiologic Anatomy. 1987; 9(1):43–49. doi: 10.1007/BF02116853.
- Fominyh T.A., D’yachenko A.P., Vinogradov A.A. Morphology of venous tributaries of the large sinuses of the dura mater. Nauchnyj rezul’tat. Medicina i farmaciya = The scientific result. Medicine and pharmacy. 2016;2(4):30–36. (In Russ.) doi: 10.18413/2313-8955-2016-2-4-30-36.
- Kaplunova O.A., Chaplygina E.V., Kuznetsov I.I., Sapiev A.A., Filippov P.V. The results of craniometric examination of sinus furrows of the dura mater and jugular foramen. Sovremennye problemy nauki i obrazovaniya = Modern problems of science and education. 2018;3:46. (In Russ.) URL: https://science-education.ru/ru/article/view?id=27642.
- Fominyh T.A., D’yachenko A.P., Malov A.E. Mor-phological features of the superficial veins of the brain and large sinuses of the dura mater. Morfologicheskij al’manah imeni V.G. Koveshnikova = Morphological almanac named after V.G. Koveshnikov. 2019;17(4):88–90. (In Russ.).
- Çavdar S., Solmaz B., Taniş Ö., Guler O.U., Dalçık H., Aydoğmuş E. et al. Anatomic variations of the human falx cerebelli and its association with occipital venous sinuses. British Journal of Neurosurgery. 2021;35(3):306–312. doi: 10.1080/02688697.2020.1793907.
- Vera Quesada C.L., Rao S.B., Torp R., Eide P.K. Widespread distribution of lymphatic vessels in human dura mater remote from sinus veins. Frontiers in Cell and Developmental Biology. 2023;11:1228344. doi: 10.3389/fcell.2023.1228344.
- Vera Quesada C.L., Rao S.B., Torp R., Eide P.K. Immunohistochemical visualization of lymphatic vessels in human dura mater: methodological perspectives. Fluids and Barriers of the CNS. 2023;20(1):23. doi: 10.1186/s12987-023-00426-3.
- Bálint L., Ocskay Z., Deák B.A., Aradi P., Jakus Z. Lymph Flow Induces the Postnatal Formation of Mature and Functional Meningeal Lymphatic Vessels. Frontiers in Immunology. 2020;10:3043. doi: 10.3389/fimmu.2019.03043.
- Belyh D.A., Vafina A.I., Vetrova M.A., Averina Yu.M. A cellular model of the human blood-brain barrier in a microfluidic device. Uspekhi v himii i himicheskoj tekhnologii = Advances in chemistry and chemical technology. 2018;32(14):67–69. (In Russ.).
- Balandin A.A., Timganova G.S., Balandina I.A. The blood-brain barrier on guard of the youth of the brain (lecture). Regionarnoe krovoobrashchenie i mikrocirkulyaciya = Regional blood circulation and microcirculation. 2024;23(2):90–96. (In Russ.) doi: 10.24884/1682-6655-2024-23-2-84-90.
- Hladky S.B., Barrand M.A. Elimination of substances from the brain parenchyma: efflux via perivascular pathways and via the blood-brain barrier. Fluids and Barriers of the CNS. 2018;15(1):30. doi: 10.1186/s12987-018-0113-6.
- Alves de Lima K., Rustenhoven J., Kipnis J. Meningeal Immunity and Its Function in Maintenance of the Central Nervous System in Health and Disease. Annual Review of Immunology. 2020;38:597–620. doi: 10.1146/annurev-immunol-102319-103410.
- Rosas E.P., Paz S.T., Costa R.F., da Silva A.A., da Silva R.L., da Silva A.P.F. et al. Histomorphometry of mast cells in the convexity of human intracranial dura mater. Journal of Anatomy. 2022;240(4):724–734. doi: 10.1111/joa.13585.
- Congdon K.L., Sanchez-Perez L.A., Sampson J.H. Effective effectors: How T cells access and infiltrate the central nervous system. Pharmacology & Therapeutics. 2019;197:52–60. doi: 10.1016/j.pharmthera.
- Yağmurlu K., Sokolowski J.D., Çırak M., Urgun K., Soldozy S., Mut M. et al. Anatomical Features of the Deep Cervical Lymphatic System and Intrajugular Lymphatic Vessels in Humans. Brain Sciences. 2020;10(12):953. doi: 10.3390/brainsci10120953.
- Balandina I.A., Nekrasova A.M., Balandin A.A. Morphological differences between ampoules of the fallopian tube in young and old age. Uspekhi gerontologii = The successes of gerontology. 2021;34(6):857–862. (In Russ.) doi: 10.34922/AE.2021.34.6.006.
- Bednov I.A., SHur V.YU., Trizno E.V., Davydova D.R., Trizno M.N., Rstakyan A.R. Pathophysiological mechanisms of age-related vascular changes and possible ways of correction. International Journal of Medicine and Psychology. 2023;6(2):54–67. (In Russ.).
- Isaev N.K., Stelmashook E.V., Genrikhs E.E. Neurogenesis and brain aging. Reviews in the Neurosciences. 2019; 30(6):573–580. doi: 10.1515/revneuro-2018-0084.
- Romero-Márquez J.M., Varela-López A., Navarro-Hortal M.D., Badillo-Carrasco A., Forbes-Hernández T.Y., Giampieri F. et al. Molecular Interactions between Dietary Lipids and Bone Tissue during Aging. International Journal of Molecular Sciences. 2021;22(12):6473. doi: 10.3390/ijms22126473.
- Zwirner J., Scholze M., Waddell J.N., Ondruschka B., Hammer N. Mechanical Properties of Human Dura Mater in Tension – An Analysis at an Age Range of 2 to 94 Years. Scientific Reports. 2019;9(1):16655. doi: 10.1038/s41598-019-52836-9.
- Balandin A.A., Balandina I.A., Pankratov M.K. The effectiveness of treatment of elderly patients with traumatic brain injury complicated by subdural hematoma. Uspekhi gerontologii = The successes of gerontology. 2021;34(3):461–465. (In Russ.) doi: 10.34922/AE.2021.34.3.017.
- Alagoz F., Yildirim A.E., Sahinoglu M., Korkmaz M., Secer M., Celik H. et al. Traumatic Acute Subdural Hematomas: Analysis of Outcomes and Predictive Factors at a Single Center. Turkish Neurosurgery. 2017;27(2):187–191. doi: 10.5137/1019-5149.JTN.15177-15.2.
- Shin D.S., Hwang S.C. Neurocritical Management of Traumatic Acute Subdural Hematomas. Korean Journal of Neurotrauma. 2020;16(2):113–125. doi: 10.13004/kjnt.2020.16.e43.
- Sahovskij E.S., SHabarov I.A., Korolev I.A. Plasty of the dura mater with bioresorbable materials in an experiment. Forcipe. 2020;3(S1):925–926. (In Russ.).
- Shkarubo A.N., CHernov I.V., Andreev D.N. A method for plasticizing and sealing a defect of the dura mater in the area of a bone defect at the base of the skull. The patent № 2655784 C1 Russian Federation, МPК A61B 17/00. № 2018100139: statement 09.01.2018: publ. 29.05.2018 (In Russ.).
- Banashek-Meshcheryakova T.V., Semenov F.V. The use of allogeneic dura mater (dura mater tissue) in the surgical treatment of retraction pockets of the eardrum. Vestnik otorinolaringologii = Russian Bulletin of Otorhinolaryngology. 2023;88(3): 4–7. (In Russ.) doi: 10.17116/otorino2022880314.
Supplementary files





