Morphofunctional changes in the primary somatosensory cortex of the brain in experimental type 1 diabetes mellitus
- Authors: Smirnov A.V.1,2, Bisinbekova A.I.1,2, Bakulin D.A.1, Tyurenkov I.N.1
-
Affiliations:
- Volgograd State Medical University
- Volgograd Medical Research Center
- Issue: Vol 21, No 1 (2024)
- Pages: 146-152
- Section: Original Researches
- URL: https://journal-vniispk.ru/1994-9480/article/view/315954
- DOI: https://doi.org/10.19163/1994-9480-2024-21-1-146-152
- ID: 315954
Cite item
Full Text
Abstract
Morphological characteristics of the internal pyramidal layer of the primary somatosensory cortex of the brain under conditions of experimental type 1 diabetes mellitus (DM) and with pharmacological correction using a cyclic GABA derivative – succicard, were studied. DM was induced in white non-breed laboratory rats by administering streptozotocin (60 mg/kg, i.p.). Six months post-induction, the animals were divided into three groups: intact (no DM), a group with DM without treatment, and a group with DM that received succicard. Treatment lasted for 30 days. Subsequent morphometric analysis of the brain cortex in rats with untreated DM revealed pathomorphological changes in the structures of the primary somatosensory cortex, most pronounced in the external granular and external pyramidal layers, accompanied by an increase in the number of damaged hyperchromic and shrunken hyperchromic neurons. In the group treated with the studied compound, these alterations were less pronounced, indicating a partial restoration of the structural characteristics of neurons and neuropil in the brain cortex.
Keywords
Full Text
Сахарный диабет (СД) является одним из числа самых распространенных хронических заболеваний в мире. В РФ на 01.01.2023 г. общая численность пациентов с СД составила 4 962 762 человека – это 3,31 % населения РФ. СД является одной из основных причин сокращения продолжительности жизни и инвалидизации, так как приводит к развитию многочисленных осложнений, в том числе связанных с центральной нервной системой (ЦНС) [1].
Считается, что сенсомоторные нарушения являются следствием как периферической, так и центральной нейродегенерации. Имеются данные о том, что люди, страдающие СД, не осложнившимся диабетической полиневропатией (ДПН), все равно имеют такие двигательные нарушения, как нарушение равновесия, походки, нарушение контроля хвата. Это связано с нейродегенеративными процессами в проекции сенсомоторной коры и, как следствие, с нарушением проведения импульсов по кортикоспинальному тракту (CST). Это подтверждено замедлением скорости проведения импульсов по CST у людей с СД и при экспериментальном СД у грызунов [2].
Первичная соматосенсорная кора обеспечивает активацию моторной коры у крыс. Данные, полученные с помощью различных методов, указывают на то, что диабет влияет как на структуру, так и на функцию сенсомоторного серого вещества коры головного мозга (ГМ) и проекционных волокон, связанных с подкорковыми и спинномозговыми структурами. Дегенерация сенсомоторной коры ГМ, в том числе связанная с диабетом, может повлиять на поведение, поддерживаемое этими областями во время осуществления сенсомоторной функции [3, 4].
ГАМК-ергическая система рассматривается как перспективная мишень для поиска подходов к профилактике осложнений СД, поскольку у гамма-аминомасляной кислоты (ГАМК) отмечена способность снижать повышенную при длительной гипергликемии экспрессию провоспалительных цитокинов посредством модуляции ряда сигнальных белков (белок Клото, SIRT, PI3K/Akt, CREB-IRS2, NF-kB, Nrf2 и др) [5]. По ранее проведенным исследованиям производное циклической ГАМК – сукцикард, оказывая влияние на регуляцию тормозных нейронов ЦНС, стимулирует метаболизм в ГМ, улучшает кровоснабжение и утилизацию глюкозы, а также оказывает антиоксидантное действие [6], что указывает на целесообразность исследования его церебропротекторного потенциала в условиях длительной гипергликемии.
ЦЕЛЬ РАБОТЫ
Оценить морфологические особенности внутреннего пирамидного слоя первичной соматосенсорной коры ГМ в условиях экспериментального СД 1-го типа и при фармакологической коррекции сукцикардом.
МЕТОДИКА ИССЛЕДОВАНИЯ
Экспериментальное исследование проведено на 15 белых беспородных лабораторных крысах-самках, в возрасте 12 мес. Животные были разделены на 3 группы по 5 животных в каждой группе: группа интакта, группа СД без лечения, группа фармкоррекции. Животные содержались в условиях вивария (ГОСТ Р 51849-2001) со свободным доступом к питьевой воде и пище (ООО «Лабораторкорм», Москва). Дизайн исследования был одобрен этическим комитетом ВолгГМУ, протокол № 2022/116 от 04.03.2022 г.
В качестве патологии была выбрана экспериментальная модель, рекомендованная для изучения отдаленных последствий СД, в которой с целью формирования его осложнений используют крыс со стрептозотоциновым диабетом длительностью 6 месяцев. Стрептозотоцин-индуцированный СД моделировали однократным внутрибрюшинным введением растворенного в цитратном буфере (0,1 М, рН 4,5) стрептозотоцина (Sigma, США) в дозе 60 мг/кг после пищевой депривации. В исследование брали животных с уровнем тощаковой (забор корма за 4 часа до измерения) гликемии ≥ 11,1 ммоль/л через 3 дня и 6 месяцев после инъекции. Для измерения уровня гликемии использовали глюкометр Contour TS и соответствующие тест-полоски (Bayer). Забор крови производили из подъязычной вены [7]. Лечение начинали через 6 месяцев после моделирования СД. Группе негативного контроля вводили физиологический раствор (крысы с СД без лечения). Исследуемое вещество, сукцикард, вводили перорально в течение 30 дней в дозе 50 мг/кг. В качестве позитивного контроля использовали крыс без СД (группа интакта) той же партии животных.
После курсового 30-дневного лечения проводили эвтаназию (декапитация под хлоралгидратным наркозом, 450 мг/кг) с последующим забором образцов тканей ГМ. Материал фиксировали в течение 24 часов в 10%-м растворе нейтрального забуференного формалина (pH 7,4), обезвоживали и заливали в парафин по общепринятой гистологической методике. На роторном микротоме изготавливали срезы толщиной 4–5 мкм. Окрашивали парафиновые срезы тионином по методу Ниссля.
Расположение теменной коры в гистологических препаратах ГМ крыс определяли с помощью стepeoтаксического атласа. У каждого животного оценивали не менее 200 нейронов ганглионарного слоя первичной сенсомоторной коры ГМ, то есть в каждой экспериментальной группе оценивали не менее 1000 нейронов, что обеспечивало достаточный объем выборки для анализа.
Гистологические срезы фотографировали цифровой камерой AxioCam 305 color (Carl Zeiss Microscopy GmbH, Германия) на базе микроскопа AxioImager A2 (Carl Zeiss Microscopy GmbH, Германия) с использованием объективов х40. Для анализа абсолютных и относительных морфометрических показателей производили измерения показателей в первичной соматосенсорной коре в рандомном порядке.
Среди нейронов дифференцировали клетки по интенсивности окраски цитоплазмы (хроматофилии): нормохромные нейроны – умеренно окрашенные; гиперхромные нейроны – темные; гиперхромные сморщенные нейроны – очень темные, с деформированными перикарионами; гипохромные нейроны – светло окрашенные; клетки-тени – почти прозрачные, а также гиперхромные сморщенные с перицеллюлярным отеком [8].
Статистическую обработку результатов проводили методами описательной и аналитической статистики с применением Prism 6 (GraphPad Software Inc., США). Распределение количественных показателей оценивали с использованием критерия Шапиро – Уилка. Меж-групповые различия оценивали при помощи анализа непараметрических данных с использованием критерия Манна – Уитни. Результаты представлены в виде Me (LQ; UQ), где Me – медиана, LQ – значение нижнего квартиля; UQ – значение верхнего квартиля. Различия признавались значимыми при p < 0,05.
РЕЗУЛЬТАТЫ ИССЛЕДОВАНИЯ И ИХ ОБСУЖДЕНИЕ
В нормальных условиях в ГМ человека и животных встречаются единичные «темные» гиперхромные и гиперхромные сморщенные нейроны. При патологических состояниях их количество может увеличиваться. Гиперхромные нейроны нужно рассматривать как нейроны с увеличенным содержанием рибосом и как следствие с высоким синтезом белка. Это можно рассматривать как гиперфункцию нейронов и их обратимое состояние. Сморщивание нейронов возникает в результате нарушения водно-солевого обмена, в результате чего происходит дегидратация клетки, увеличение плотности рибосом в нейроне и их гиперхроматоз. Сморщивание нейронов следует рассматривать как патологическое необратимое состояние нейронов, ведущее к их гибели [8].
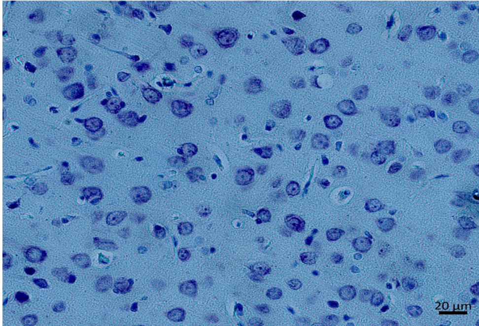
При гистологическом исследовании первичной соматосенсорной коры интактных крыс встречались единичные гиперхромные и единичные гиперхромно-сморщенные нейроны во всех слоях (рис. 1).
Рис. 1. Группа интакта. Внутренний пирамидный слой представлен крупными нейронами (клетки Беца, клетки Мейнерта) и небольшим количеством звездчатых клеток
В группе крыс с СД без лечения во всех слоях наблюдается гиперхромия и изменение формы нейронов от слабой до выраженной. Также встречаются гипохромные нейроны и клетки-тени. Местами обнаруживается сателлитоз (глиальные элементы расположены на теле нейрона) и локусы выпадения нейронов. Наиболее выражены патологические изменения в наружном зернистом и наружном пирамидном слоях бочковой зоны в первичной соматосенсорной коре (рис. 2).
Рис. 2. Группа крыс с СД, не получавших лечение. Внутренний пирамидный слой первичной соматосенсорной коры. Наличие в пирамидном слое значительного количества сморщенных нейронов с гиперхроматозом цитоплазмы
В коре ГМ крыс, получавших сукцикард, обнаружена слабовыраженная гиперхромия в стволовой и бочковой области во 2–3 слоях, отсутствуют зоны выпадения. Во внутреннем пирамидном слое – единичные гиперхромные нейроны (рис. 3).
Рис. 3. Группа фармкоррекции сукцикардом. Внутренний пирамидный слой представлен крупными нейронами преимущественно овальной формы. Встречаются единичные гиперхромные нейроны
При исследовании внутреннего пирамидного слоя первичной соматосенсорной коры в группе интакта было обнаружено удельное количество обратимо поврежденных нейронов, среднее значение которого равно 6,4 %, Ме 0 % [0; 10], необратимо поврежденных 4,9 %, Ме 0 % [0; 10], в группе животных без лечения – соответственно гиперхромных 13,8 % Ме 10 [0; 20], ГХС 14,2 % Ме 10 % [0; 20], в группе фармакоррекции среднее значение относительного количества ГХ нейронов было равно 5,7 % , Ме 0 % [0; 10], ГХС соответственно 2,3 % (р < 0,001), Ме [0; 10]. Таким образом, в группе СД без лечения по сравнению с группой интакта количество ГХ нейронов возросло на 7,4 % (р < 0,001), ГХС на 9,3 % (р < 0,001). В группе фармкоррекции в сравнении с СД без лечения количество ГХ нейронов уменьшилось на 8,1 %, ГХС на 11,9 % (р < 0,001) (рис. 4).
Рис. 4. Удельное количество гиперхромных нейронов во внутреннем пирамидном слое первичной сенсомоторной коры
При мoрфометрии нейронов внутреннего пирамидного слоя первичной соматосенсорной кopы у животных группы с СД без лечения наблюдалось значительное снижение размеров их перикарионов, они становились более вытянутыми и менee округлыми. Оценка абсолютных морфометрических показателей во внутреннем пирамидном слое в первичной соматосенсорной коре продемонстрировала уменьшение площади ядер нейронов на 56,6 % (при р < 0,001) (рис. 5), площади перикарионов на 51,5 % (при р < 0,001) (рис. 6), и цитоплазмы нейронов на 31,3 % (при р < 0,001) группы СД без лечения в сравнении с интактом. При сравнении абсолютных морфометрических показаний во внутреннем пирамидном слое в первичной соматосенсорной группы фармкоррекции и группы СД без лечения наблюдались следующие изменения: увеличение площади ядер нейронов на 42,2 % (при р < 0,001), площади перикарионов на 33,1 % (при р < 0,001), и цитоплазмы нейронов на 12,3 % (при р < 0,001) в группе фармкоррекции.
Достоверные различия относительных морфометрических показателей обнаруживались при сравнении группы интакта и СД без лечения: относительная площадь ядер нейронов снизилась на 52 % (при р < 0,001), относительная площадь перикарионов нейронов снизилась на 43,5 % (при р < 0,001), относительная площадь цитоплазмы перикарионов нейронов – на 20,6 % (при р < 0,001), отношение относительной площади перикарионов нейронов к нейропилю снизилось на 53,8 % (при р < 0,001), снижение ядерно-цитоплазматического соотношения – на 19 % (при р < 0,001).
Рис. 5. Удельное количестве гиперхромно-сморщенных нейронов во внутреннем пирамидном слое первичной сенсомоторной коры
Рис. 6. Площадь перикарионов нейронов во внутреннем пирамидном слое первичной соматосенсорной коры в исследуемых группах
Также достоверные различия наблюдались при сравнении относительных показателей в группе фармкоррекции и контроля: увеличение относительной площади ядер нейронов снизилось на 52 % (при р < 0,001), относительной площади перикарионов нейронов – на 48,25 % (при р < 0,001), относительной площади цитоплазмы перикарионов нейронов – на 20,6 % (при р < 0,001), отношение относительной площади перикарионов нейронов к нейропилю увеличилось на 53,8 % (при р < 0,001), увеличение ядерно-цитоплазматического соотношения – на 19 % (при р < 0,001) (таблица).
Морфометрические изменения во внутреннем пирамидном слое первичной соматосенсорной коры при моделировании СД
Морфометрические показатели | Интакт | СД без лечения | Сукцикард |
Площадь ядер нейронов, мкм2 | 102,7 (80,25–132,18) | 44,54 (22,22–65,97) *** | 78,36 (61,42–96,49) ### |
Площадь перикарионов нейронов, мкм2 | 150,04 (119,12–191,53) | 72,72 (37,59–100,46) *** | 108,19 (85,137) ### |
Площадь цитоплазмы перикарионов нейронов, мкм2 | 37 (24,53–55,26) | 25,41(14,6–37,82) *** | 29,19 (20,67–43,68) ### |
Относительная площадь ядер нейронов, % | 8,59 (7,29–10,63) | 3,84 (3,22–4,78) *** | 8,35 (6,94–9,65) ### |
Относительная площадь перикарионов нейронов, % | 11,57 (10,58–14,89) | 6,21 (5,15–7,51) *** | 12,04 (9,71–13,86) ### |
Относительная площадь цитоплазмы перикарионов нейронов, % | 3,37 (2,89–4,20) | 2,38 (1,92–2,8) *** | 3,73 (2,76–4,4) ### |
Относительная Площадь нейропиля, % | 88,31 (85,04–89,22) | 93,78 (92,48–94,84) *** | 87,95 (86,13–90,28) ### |
Ядерно-цитоплазматическое отношение, число | 2,64 (1,93–3,81) | 1,62(1,14–2,23) *** | 2,45 (1,81–3,44) ### |
Отношение относительной площади перикарионов нейронов к нейропилю, число | 0,13 (0,11–0,17) | 0,06 (0,05–0,08) *** | 0,13 (0,10–0,16) ### |
*** р < 0,001 – различия достоверны по сравнению с группой интакта; ### р < 0,001 – различия достоверны по сравнению с экспериментальной группой (использован критерий Манна – Уитни).
Цитопатологические изменения нейронов при СД 1-го типа имеют два патогенетически различных проявления – гиперхроматоз и гиперхроматоз с деформацией нейрона и с деструкцией ядра [8]. Обнаруженные нами морфологические изменения в первичной соматосенсорной коре ГМ крыс при экспериментальном СД (модель СД 1-го типа) были наиболее выражены в наружном зернистом и наружном пирамидном слоях и сопровождались увеличением количества поврежденных гиперхромных и гиперхромных сморщенных нейронов. По-видимому, эти изменения могут быть основой нарушения сенсорной интеграции и снижения когнитивных функций.
При изучении абсолютных и относительных показателей площадей ядра, перикарионов, цитоплазмы, нейропиля, ядерно-цитоплазматического отношения внутреннего пирамидного слоя первичной соматосенсорной коры, наблюдались достоверные различия между исследуемыми группами, которые свидетельствуют о развитии атрофических процессов в первичной соматосенсорной коре ГМ крыс при экспериментальном СД.
Известно, что при сахарном диабете производные ГАМК положительно влияют на структуру ГМ путем подавления Fas-зависимого и митохондриально-зависимого пути апоптоза [9]. Полученные нами результаты согласуются с данными литературы о том, что производные ГАМК оказывают нейропротекторное действие на кору ГМ, выражающееся в уменьшении удельного количества нейронов в состоянии дистрофии и гиперхроматоза [10].
По данным нашего исследования в коре ГМ в группе животных с СД при фармакологической коррекции сукцикардом наиболее выраженные признаки повреждения нейронов обнаружены в наружном зернистом и наружном пирамидном слоях первичной соматосенсорной коры. При этом в группе животных с СД при фармакологической коррекции сукцикардом изменения вышеуказанных абсолютных и относительных показателей были менее выражены по сравнению с группой СД без лечения, что свидетельствует о частичном восстановлении структурных характеристик нейронов и нейропиля в коре ГМ.
ЗАКЛЮЧЕНИЕ
Таким образом, производное циклической ГАМК – сукцикард в монотерапии проявил выраженные нейропротекторные свойства и может представлять интерес в рамках разработки нового терапевтического подхода для профилактики диабетической энцефалопатии и полинейропатии.
About the authors
Alexey V. Smirnov
Volgograd State Medical University; Volgograd Medical Research Center
Author for correspondence.
Email: alexeysmirnov.volggmu@gmail.com
ORCID iD: 0000-0001-5351-6105
Doctor of Medical Sciences, Professor, Head of the Department of Pathological Anatomy, Volgograd State Medical University; Head of the Laboratory of Pathomorphology, Volgograd Medical Research Center
Russian Federation, Volgograd; VolgogradAislu I. Bisinbekova
Volgograd State Medical University; Volgograd Medical Research Center
Email: aandm08@mail.ru
Assistant, Department of Pathological Anatomy, Volgograd State Medical University; Junior Researcher, Volgograd Medical Research Center
Russian Federation, Volgograd; VolgogradDmitry A. Bakulin
Volgograd State Medical University
Email: mbfdoc@gmail.com
ORCID iD: 0000-0003-4694-3066
Candidate of Medical Sciences, Senior Researcher, Laboratory of Pharmacology of Cardiovascular Drugs
Russian Federation, VolgogradIvan N. Tyurenkov
Volgograd State Medical University
Email: fibfuv@mail.ru
ORCID iD: 0000-0001-7574-3923
Doctor of Medical Sciences, professor, corresponding member of the Russian Academy of Sciences, Head of the Laboratory of Pharmacology of Cardiovascular Drugs
Russian Federation, VolgogradReferences
- Dedov I.I., Shestakova M.V., Vikulova O.K. et al. Diabetes mellitus in the Russian Federation: dynamics of epidemiological indicators according to the Federal Register of Diabetes Mellitus for the period 2010–2022. Saharnyj diabet = Diabetes mellitus. 2023;26(2):104–123. (In Russ.) doi: 10.14341/DM13035.
- Ferris J.K., Inglis J.T., Madden K.M., Boyd L.A. Brain and Body: A Review of Central Nervous System Contributions to Movement Impairments in Diabetes. Diabetes. 2020;69(1):3–11. doi: 10.2337/db19-0321.
- Halley A.C., Baldwin M.K.L., Cooke D.F. et al. Distributed Motor Control of Limb Movements in Rat Motor and Somatosensory Cortex: The Sensorimotor Amalgam Revisited. Cerebral Cortex. 2020;30(12):6296–6312. doi: 10.1093/cercor/bhaa186.
- Antoshkin O.N., Zagrebin V.L., Volotova E.V. et al. Amyloidogenesis and apoptosis of cerebral neurons under experimental neurodegeneration in rats. Vestnik Volgogradskogo gosudarstvennogo meditsinskogo universiteta = Journal of Volgograd State Medical University. 2015;1(53):122–124. (In Russ.).
- Tyurenkov I.N., Faibisovich T.I., Dubrovina M.A. et al. Gabaergic System in the Regulation of the Functioning of Pancreas Beta-Cells in Normal Physiological Conditions and in Diabetes. Uspekhi fiziologicheskikh nauk. 2023;54(2):86–104. (In Russ.) doi: 10.31857/S030117982302008X.
- Smirnov A.V., Tyurenkov I.N., Zamlelov A.A. et al. Morphological transformations in rats CA2 and CA4 hippocampa of rats at modeling of chronic alcohol i ntoxication and pharmacological correction by succicard and citrocard compounds. Volgogradskij nauchno-medicinskij zhurnal = Scientific and medical journal. 2019;3:8–14. (In Russ.).
- Tyurenkov I.N., Kurkin D.V., Bakulin D.A. et al. Chemistry and hypoglycemic activity of GPR119 agonist ZB-16. Frontiers in Endocrinology. 2018;9:543. doi: 10.3389/fendo. 2018.00543
- Zimatkin S.M., Bonh E.I. Zimatkin S.M. Structure and development of rat cortex: monograph. Grodno; GrGMU, 2019. 156 p. (In Russ.).
- Ngo D.H., Vo T.S. An Updated Review on Pharmaceutical Properties of Gamma-Aminobutyric Acid. Molecules. 2019;24(15):2678. doi: 10.3390/molecules24152678.
- Tyurenkov I.N., Borodkina LE, Voronkov A.V. et al. The prospect of finding neuroprotective agents for the treatment of ischemic stroke in a series of novel GABA derivatives. Uspehi sovremennogo estestvoznanija = Advances in current natural sciences. 2004;12:79–79. (In Russ.).
Supplementary files








