Gossipiboma in a young woman (clinical case)
- Authors: Sasin A.N.1, Klimova E.D.1, Romanovsky R.G.1, Ramazanova T.R.1, Onopchenko V.D.1, Kosik G.E.1, Blokhin M.A.1, Ushakov E.A.1
-
Affiliations:
- Volgograd State Medical University
- Issue: Vol 21, No 1 (2024)
- Pages: 183-185
- Section: Guide for General Practitioners
- URL: https://journal-vniispk.ru/1994-9480/article/view/315960
- DOI: https://doi.org/10.19163/1994-9480-2024-21-1-183-185
- ID: 315960
Cite item
Full Text
Abstract
A clinical observation of gossypiboma in a young woman who underwent surgical treatment for a pelvic mass is presented. During the control examination, a similar neoplasm was verified, initially regarded as a relapse of the disease. During the in-depth examination, the nature of the alleged early recurrence was not established.
Keywords
Full Text
Госсипибома (от латинского слова gossypium – хлопок и boma – «место сокрытия») – термин, используемый в ситуациях, когда хирургический материал случайно остается в операционном поле. Точная частота встречаемости этого редкого хирургического осложнения неизвестна, так как такие случаи, порой, скрываются, дабы избежать негативных последствий для лечебного учреждения [1, 2, 3, 4, 5, 6, 7]. По данным научных исследований, частота возникновения госсипибомы варьирует от 1/100 до 1/3000 при всех хирургических вмешательствах и от 1/1000 до 1/1500 при внутрибрюшных операциях [1, 2, 3, 4]. Наиболее распространенными факторами риска являются экстренные операции, чрезмерная кровопотеря у пациентов во время операции, операции у пациентов с ожирением, интраоперационное изменение тактики хирургической операции, смена операционных бригад в ходе операции, неправильный подсчет губок во время операции [1, 5].
ЦЕЛЬ РАБОТЫ
Определить особенности клинического течения госсипибомы, для своевременной диагностики и хирургического вмешательства, учитывая факторы риска развития этого состояния.
МЕТОДИКА ИССЛЕДОВАНИЯ
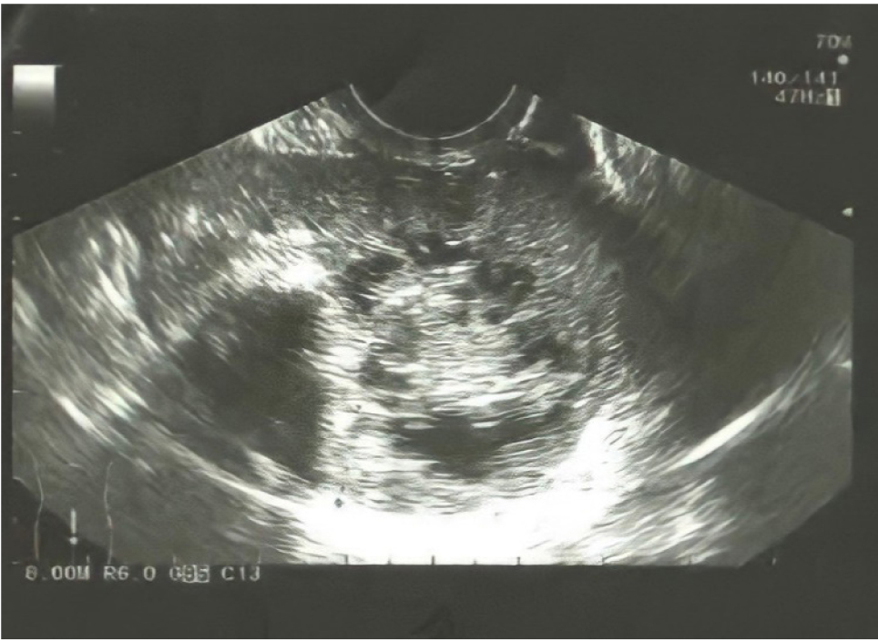
Пациентка К., 20 лет, обратилась к врачу-гинекологу с жалобами на боль во время полового акта и менструации. По результатам УЗИ (рис. 1): патологическое гетерогенное образование с ровными контурами и гипоэхогенным содержимым в позадиматочном пространстве, кровоток не регистрировался.
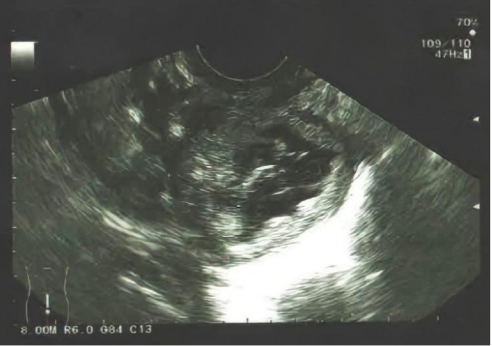
При МРТ: картина кистозно-солидного внеорганного гиповаскулярного объемного новообразования в позадиматочном пространстве, диаметром до 5 см. В марте 2021 года было проведено оперативное вмешательство: удаление объемного жидкостного образования в плотной капсуле. Гистологическое исследование: гранулема полости малого таза. На контрольном УЗИ в августе 2021 года (рис. 2) вновь выявлены признаки объемного образования малого таза, кровоток достоверно не визуализирован. Пациентка направлена на дальнейшее лечение в хирургическую клинику.
Рис. 1. Патологическое гетерогенное образование с ровными контурами и гипоэхогенным содержимым в позадиматочном пространстве, кровоток не регистрируется
Рис. 2. Объемное образование позадиматочного пространства, принятое за рецидив гранулемы, кровоток достоверно не визуализирован
При КТ с внутривенным контрастированием: кистозно-солидное образование Дугласова пространства без четкой дифференциации границ, интенсивно неравномерно накапливающее контраст. При МРТ: образование овальной формы с ровными контурами неоднородной кистозно-солидной структуры.
В апреле 2022 г. было выполнено хирургическое лечение: гистероскопия, раздельное диагностическое выскабливание цервикального канала и стенок полости матки, лапароскопия, адгезиолизис, удаление объемного образования малого таза, шейвинг сигмовидной кишки. При гистологическом исследовании образования были обнаружены волокна хирургической салфетки. Послеоперационный период протекал без осложнений, клинический эффект достигнут.
РЕЗУЛЬТАТЫ ИССЛЕДОВАНИЯ И ИХ ОБСУЖДЕНИЕ
Вследствие госсипибомы могут возникнуть два типа реакций организма на инородные тела. Первый тип – это асептическая фиброзная реакция на инородный материал, которая приводит к адгезии и инкапсуляции. Возникает из-за низкой антигенности инородного тела при слабовыраженной воспалительной реакции. В результате образуется гранулема инородного тела, которая может не вызывать никаких клинических проявлений. Второй тип реакции на инородное тело носит экссудативный характер. Экссудативная реакция возникает из-за высокой антигенности инородного тела, что приводит к более тяжелой форме воспаления и абсцедированию. Организм пытается выдавить инородный материал, что может привести к послеоперационным осложнениям, таким как образование наружного свища или эрозии, перфорация в соседние органы. Это может привести к кишечной непроходимости, миграции инородного тела по нижним отделам ЖКТ или экструзии губки через прямую кишку. Экссудативный тип реакции часто вызывает симптомы в раннем послеоперационном периоде, у пациентов возникают боли в животе, лихорадка, анорексия, тошнота, рвота [2, 4, 5, 6].
Оставленные хирургические салфетки сложны в плане диагностики, так как зачастую тканевые предметы не являются рентгенконтрастными, что не позволяет обнаружить госсипибому методом рентгенографии. На УЗИ были описаны три отчетливых проявления: а) эхогенная область с интенсивным затемнением; б) четко очерченная кистозная масса с отчетливым внутренним гиперэхогенным рисунком в случаях, когда есть экссудативная реакция; в) неспецифическая гипоэхогенная масса. На КТ чаще всего сообщается о гетерогенной губчатой гипоплотной массе, содержащей пузырьки воздуха с толстой стенкой. На МРТ внешний вид варьируется в зависимости от состава, содержания жидкости и газа, а также от времени нахождения госсипибомы в брюшной полости. Типичная картина – образование мягких тканей с толстой четко очерченной гипоинтенсивной капсулой, имеющей завитую внутреннюю конфигурацию [2, 3, 4, 7].
Время обнаружения госсипибомы колеблется в широком диапазоне: от нескольких дней до нескольких десятков лет. Госсипибомы следует удалять сразу после постановки диагноза. Хирургическое лечение является предпочтительным. Выбор оперативного доступа для хирургического вмешательства также является не простым, что обусловлено наличием спаечного и инфильтративного процессов в брюшной полости, необходимостью адгезиолизиса и прецизионной мобилизации органов и тканей. Предпочтение при этом отдают малоинвазивным технологиям [1–4].
Существует множество способов и современных технологий для снижения частоты госсипибом. Так, во время операции ведется тщательный подсчет тампонов и исследование послеоперационной полости перед закрытием, а также могут быть использованы рентгеноконтрастные тканевые материалы [1, 5, 6].
ЗАКЛЮЧЕНИЕ
Описанный клинический случай показывает, что госсипибома маскируется симптомами других состояний, диагностика затруднена, поэтому необходимо учитывать факторы риска, которые могут привести к госсипибоме, чтобы предотвратить это нежелательное последствие хирургических вмешательств.
About the authors
Alexander N. Sasin
Volgograd State Medical University
Author for correspondence.
Email: sasin2001@bk.ru
ORCID iD: 0000-0003-3959-5825
Laboratory assistant at the Department of Pathological Anatomy
Russian Federation, VolgogradElizaveta D. Klimova
Volgograd State Medical University
Email: 10liza02@mail.ru
ORCID iD: 0009-0001-3891-2924
6th year student of the Faculty of Medicine
Russian Federation, VolgogradRoman G. Romanovsky
Volgograd State Medical University
Email: boomshakalaka1703@gmail.com
ORCID iD: 0009-0000-9573-1671
6th year student of the Faculty of Medicine
Russian Federation, VolgogradTatyana R. Ramazanova
Volgograd State Medical University
Email: Kar4taevaa@yandex.ru
ORCID iD: 0009-0003-2006-8264
6th year student of the Faculty of Medicine
Russian Federation, VolgogradVasily D. Onopchenko
Volgograd State Medical University
Email: VasiliiOnopchenko@yandex.ru
ORCID iD: 0009-0004-7616-1203
6th year student of the Faculty of Medicine
Russian Federation, VolgogradGleb E. Kosik
Volgograd State Medical University
Email: kosikgleb@yandex.ru
ORCID iD: 0009-0002-7287-456X
6th year student of the Faculty of Medicine
Russian Federation, VolgogradMaxim A. Blokhin
Volgograd State Medical University
Email: maksimka235m@gmail.com
ORCID iD: 0009-0001-0198-6145
6th year student of the Faculty of Medicine
Russian Federation, VolgogradEgor A. Ushakov
Volgograd State Medical University
Email: ush-egor@yandex.ru
ORCID iD: 0009-0003-0429-662X
6th year student of the Faculty of Medicine
Russian Federation, VolgogradReferences
- Alemu B.N., Tiruneh A. G. Gossypiboma: A Case Series and Literature Review. Ethiopian journal of health sciences. 2020;30(1):147–149. doi: 10.4314/ejhs.v30i1.19.
- Mejri A., Arfaoui K., Aloui B. et al. Gossypiboma: the failure of a successful intervention. The Pan African medical journal. 2020;36:335. doi: 10.11604/pamj.2020.36.335.25464.
- Kanat B.H., Kutluer N., Bozan M.B. et al. A forgotten status: gossypiboma. Brazilian archives of digestive surgery. 2021;34(1):1571. doi: 10.1590/0102-672020190004e1571.
- Obeidat K.A., Aleshawi A.J., Alebbini M.M. et al. Abdominal Intraluminal Gossypiboma: Demographics, Predictors of Intraluminal Site, Diagnostic and Treatment Measures. Clinical and experimental gastroenterology. 2020;13:65–72. doi: 10.2147/CEG.S236179.
- Khan A. Z., Fatima T., Kafeel U. et al. Preventable morbidities of a successful intervention, Textiloma/Gossypiboma: A case series. The Journal of the Pakistan Medical Association. 2023;73(4):888–891. doi: 10.47391/JPMA.6199.
- Ryan G., Kawka M., Gnananandan J. et al. Presentation and surgical management of a gossypiboma presenting with small bowel obstruction. Clinical journal of gastroenterology. 2021;14(4):1067–1070. doi: 10.1007/s12328-021-01400-y.
- Fatima K. Intraabdominal Gossypibomas with variable CT appearance: A case report. The Journal of the Pakistan Medical Association. 2019;69(1):123–126.
Supplementary files




