Clinical manifestations and management tactics of patients with complications of combined and complex treatment of malignant neoplasms in the oral cavity
- Авторлар: Makedonova Y.A.1, Afanaseva O.Y.1, Agaeva S.S.1, Makedonova D.M.1, Afanaseva E.Y.1
-
Мекемелер:
- Volgograd State Medical University
- Шығарылым: Том 22, № 3 (2025)
- Беттер: 80-87
- Бөлім: Original Researches
- URL: https://journal-vniispk.ru/1994-9480/article/view/348357
- DOI: https://doi.org/10.19163/1994-9480-2025-22-3-80-87
- ID: 348357
Дәйексөз келтіру
Толық мәтін
Аннотация
The manifestation of oncological alertness of a dentist is a priority task at a dental appointment. Due to the variety of manifestations in the oral cavity, clinicians have certain difficulties verifying the final diagnosis. The article is devoted to one of the most difficult issues of managing patients with complications of complex and combined treatment of malignant tumors at outpatient appointments of dentists of all specialties. The authors analyzed and demonstrated the clinical manifestations of these complications in the oral cavity and proposed tactical and therapeutic measures based on specific examples.
Негізгі сөздер
Толық мәтін
Трудности ведения пациентов с осложнениями комплексного и комбинированного лечения пациентов со злокачественными новообразованиями для врачей-стоматологов заключаются в большинстве случаев не столько в диагностике, а сколько в выборе правильной тактики лечения осложнений на амбулаторном этапе, правильном взаимодействии с врачами-онкологами, врачами челюстно-лицевыми хирургами, правильном объеме динамического наблюдения и ограничениями хирургического лечения, обоснованного особенностями патогенеза этих осложнений [1].
По данным литературы, выделяют местные гнойно-некротические послеоперационные осложнения, встречающиеся гораздо чаще и связанные как с проведенным ранее хирургическим лечением, так и с лучевой терапией, химиотерапией и/или их комбинации. Частота послеоперационных осложнений зависит от объема хирургической операции, составляет при типичных вариантах операций до 20 %, а при расширенно-комбинированных операциях до 73 % [2].
В зависимости от продолжительности времени после лучевой терапии и химиотерапии местные осложнения комбинированного и комплексного лечения злокачественных новообразований делятся на ранние и поздние [3]. Ранние повреждения развиваются в процессе проведения курсов лучевой терапии или в ближайшие 3 месяца после ее завершения (крайний срок восстановления сублетального повреждения клеток). Поздними осложнениями считают химиолучевые повреждения, развившиеся после 3 месяцев, чаще могут возникать через несколько лет.
ЦЕЛЬ РАБОТЫ
Провести анализ наиболее часто встречающихся осложнений комплексного и комбинированного лечения злокачественных опухолей с проявлениями в полости рта, разработать тактический подход к ведению пациентов и лечебные мероприятия.
МЕТОДИКА ИССЛЕДОВАНИЯ
Клиническое обследование пациентов проводилось в течение 2022–2024 гг. на клинических базах кафедры стоматологии Института НМФО ФГБОУ ВО ВолгГМУ Минздрава России. Обследование пациентов включало в себя объем основных и дополнительных методов обследования, совместные консультации с врачами-онкологами, врачами челюстно-лицевыми хирургами [4]. Объем лечебных мероприятий, выполненных пациентам с осложнениями комплексного и комбинированного лечения злокачественных новообразований, включал в себя: частичную некроэктомию при лечении мукозитов и остеонекрозов, санацию хронических очагов одонтогенной инфекции, антисептические перевязки ран, озонотерапию, адекватную медикаментозную терапию и другие необходимые манипуляции.
Собственные исследования. Сотрудниками кафедры стоматологии Института НМФО ФГБОУ ВО ВолгГМУ Минздрава России за период с 2022 по 2024 г. было обследовано и проведено лечение 9 пациентам с бисфосфонатным остеонекрозом челюстей, мукозитами после химио- и лучевой терапии, лучевым остеонекрозом челюстей (БФОНЧ).
Согласно современным данным, бисфосфонатный остеонекроз челюстей (БФОНЧ) – осложнение антирезорбтивной терапии, характеризующееся омертвением и оголением участка кости, которое сохраняется более 8 недель, с последующим прогрессированием процесса, при условии отсутствия лучевой терапии на область головы в анамнезе [5]. Первичная диагностика БФОНЧ проводится на основании клинических и анамнестических данных, к которым относятся: наличие обнаженного участка измененной в цвете костной ткани челюсти, определяющегося в течение 8 недель и более; лечение бисфосфонатами в настоящее время или в анамнезе; отсутствие лучевой терапии в челюстно-лицевой области; гистологическое подтверждение некроза челюсти; исключение метастазов первичной злокачественной опухоли.
РЕЗУЛЬТАТЫ ИССЛЕДОВАНИЯ И ИХ ОБСУЖДЕНИЕ
Клинический случай 1
Пациент Р., 82 года, обратился в кабинет хирургической стоматологии с жалобами на острый край нижней челюсти. В ходе осмотра полости рта обнаружено нарушение целостности слизистой оболочки с субтотальным остеонекрозом альвеолярной части нижней челюсти во фронтальном отделе.
Из анамнеза заболевания выяснено, что зубы были удалены несколько лет назад, длительность возникновения язвы в полости рта и остеонекроза нижней челюсти не определяет. За медицинской помощью ранее не обращался.
Из анамнеза жизни. Находится на диспансерном учете по поводу злокачественного образования мочеполовой системы. Неоднократно проводились курсы химиотерапевтического лечения бисфосфонатными препаратами.
Объективные данные обследования. Общее состояние на момент осмотра удовлетворительное. Конфигурация лица не изменена, кожные покровы имеют бледный оттенок, тургор кожи снижен. Региональный лимфатический аппарат без особенностей. Открывание рта в полном объеме, безболезненное.
В полости рта: нарушение целостности слизистой оболочки полости рта, субтотальный остеонекроз альвеолярной части нижней челюсти слева. Вид костной тканей серо-коричневого цвета, пальпация безболезненная. На ортопантомограмме отмечается ограниченный участок деструкции костной ткани нижней челюсти с поражением тела нижней челюсти. Одонтогенной причины заболевания нет (рис. 1).
Рис. 1. Клинические проявления бисфосфонатного остеонекроза нижней челюсти во фронтальном отделе
Клинический случай 2
Пациентка Б., 63 года, обратилась в кабинет хирургической стоматологии с жалобами на боли в области лунок ранее удаленных 4.7, 4.5 зубов. В ходе осмотра полости рта обнаружено нарушение целостности слизистой оболочки полости рта с субтотальным остеонекрозом фрагмента альвеолярной части нижней челюсти справа.
Из анамнеза заболевания выяснено, что 4.7, 4.5 зубы были удалены более двух месяцев назад, длительность возникновение язвы в полости рта и остеонекроза нижней челюсти не определяет. За медицинской помощью ранее не обращалась.
Из анамнеза жизни. Находится на диспансерном учете по поводу злокачественного образования почек. Неоднократно проводились курсы химиотерапевтического лечения бисфосфонатными препаратами.
Объективные данные обследования. Общее состояние на момент осмотра удовлетворительное. Конфигурация лица не изменена, кожные покровы имеют бледный оттенок, тургор кожи снижен. Региональный лимфатический аппарат без особенностей. Открывание рта в полном объеме, безболезненное.
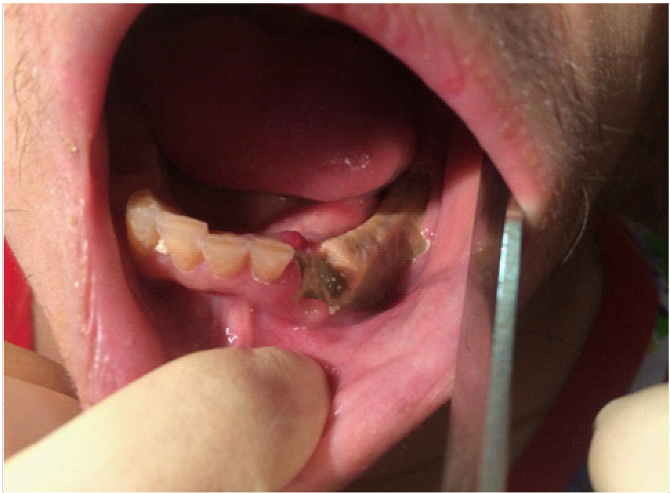
В полости рта: лунки 4.7, 4.5 зубов выполнены рыхлыми грануляциями с субтотальным остеонекрозом альвеолярной части нижней челюсти справа (рис. 2).
Рис. 2. Клинические проявления бисфосфонатного остеонекроза нижней челюсти справа у пациентки Б. в 2022 г.
Пальпация безболезненная. На ортопантомограмме определяются лунки зубов 4.7, 4.5 без явных признаков секвестрирования (рис. 3).
Рис. 3. Ортопантомограмма на этапе лечения остеонекроза нижней челюсти справа у пациентки Б. в 2022 г.
Пациентка находилась на лечении в период с 2022 по 2024 г.
В настоящее время выделяют два основных подхода к лечению БФОНЧ, к ним относятся консервативный и хирургический подход. Выбор тактики лечения пациента зависит от стадии заболевания. Консервативное лечение предусматривает назначение пациентам курсовой антибактериальной, симптоматической терапии препаратов для улучшения микроциркуляции, ежедневной обработки очагов поражения костной ткани растворами антисептиков, частичная некроэктомия, удаление подвижных секвестров, а также тщательное соблюдение гигиены полости рта (рис. 4).
Рис. 4. Компьютерно-томографическое исследование на этапе лечения остеонекроза нижней челюсти справа у пациентки Б. в 2023 г.
За период лечения пациентки Б. было выполнено хирургическое лечение в следующем объеме: кюретаж лунок удаленных зубов, частичная секвестрэктомия, резекция альвеолярной части нижней челюсти справа, вскрытие и дренирование гнойных очагов в стадии обострения патологического процесса. Отмечалось улучшение клинической и рентгенологической картины в полости рта (рис. 5, 6).
Рис. 5. Клинические проявления бисфосфонатного остеонекроза нижней челюсти справа у пациентки Б. в 2024 году
Рис. 6. Ортопантомограмма на этапе лечения остеонекроза нижней челюсти справа у пациентки Б. в 2024 г.
Клинический случай 3
Пациентка С., 59 лет, обратилась в кабинет хирургической стоматологии с жалобами на самостоятельное удаление 3.2, 3.3 зубов. В ходе осмотра полости рта обнаружена язва на слизистой оболочке полости рта с субтотальным остеонекрозом фрагмента альвеолярной части нижней челюсти слева.
Из анамнеза заболевания выяснено, что 3.2, 3.3 зубы самостоятельно удалились пациенткой, длительность возникновение язвы в полости рта и остеонекроза нижней челюсти не определяет. За медицинской помощью ранее не обращалась.
Из анамнеза жизни. Находится на диспансерном учете по поводу злокачественного образования почек. Неоднократно проводились курсы химиотерапевтического лечения бисфосфонатными препаратами.
Объективные данные обследования. Общее состояние на момент осмотра удовлетворительное, адинамична. Конфигурация лица не изменена, кожные покровы имеют бледный оттенок, тургор кожи снижен. Региональный лимфатический аппарат без особенностей. Открывание рта в полном объеме, безболезненное.
В полости рта: лунки 3.2, 3.3 зубов в субтотальном остеонекрозе альвеолярной части нижней челюсти слева. На слизистой оболочке альвеолярной части нижней челюсти справа определяется язва размером до 1,0 см с инфильтрированными краями, дно язвы выполнено некротическими массами (рис. 7).
Рис. 7. Клинические проявление бисфосфонатного остеонекроза нижней челюсти слева
Пальпация безболезненная. В связи с отказом от проведения рентгенологического исследования нижней челюсти предоставить данные не представляется возможным.
С 1940 г. после появления химиотерапии увеличилось количество побочных эффектов этого метода лечения в виде «мукозита», который в целом называют стоматитом. Только в 2007 г. термин «мукозит» был принят для описания поражений, связанных с цитотоксическим действием химио- и/или радиотерапии. Воспалительная реакция эпителиальной слизистой оболочки на цитотоксическое воздействие химио- и радиотерапии приводит к мукозиту – болезненному побочному эффекту противоопухолевого лечения [6]. Мукозит поражает весь желудочно-кишечный тракт и полость рта, вызывая у пациентов боль, невозможность принимать пищу, потерю веса и местные инфекции. Кроме того, пациентам с выраженным мукозитом приходится сокращать курс химиотерапии, что приводит к отсрочке лечения рака и ухудшению прогноза. Примерно у 30–40 % онкологических больных, проходящих химиотерапию, развивается мукозит [7].
Клинический случай 4
Пациентка З., 38 лет, обратилась в кабинет хирургической стоматологии с жалобами на незначительную сухость полости рта, изменение состояния слизистой оболочки. В ходе осмотра полости рта обнаружена измененная слизистая оболочка полости рта в виде мукозита, без язвенных проявлений.
Из анамнеза заболевания выяснено, что проявления на слизистой полости рта появились около двух месяцев назад. Что пациентка связывает с проведением курса химиотерапии. За медицинской помощью ранее не обращалась.
Из анамнеза жизни. Находится на диспансерном учете по поводу злокачественного образования молочных желез.
Объективные данные обследования. Общее состояние на момент осмотра удовлетворительное. Конфигурация лица не изменена, кожные покровы в цвете не изменены. Региональный лимфатический аппарат без особенностей. Открывание рта в полном объеме, безболезненное.
В полости рта: слизистая оболочка полости рта имеет незначительную шероховатую поверхность, увлажненность несколько снижена, имеет неоднородный белесоватый рисунок, пальпация безболезненная, элементы изъязвления отсутствуют (рис. 8).
Рис. 8. Клинические проявления мукозита полости рта у пациентки, находящейся на химиотерапевтическом лечении
Для лечения мукозита и восстановления нормального состояния слизистой оболочки полости рта нами проводилось распыление озонсодержащего лекарственного вещества на слизистую полости рта струйно-аэрозольным факелом озонированной 10–20%-й масляной эмульсии типа «масло в воде» один раз в день в течение 14 дней. Озонирование проводилось аппаратом для газовой озонотерапии «Озотрон» [8]. Пациентке в домашних условиях было рекомендовано выполнение ротовых ванночек раствором «Бишофит», разработанного учеными Волгоградского государственного медицинского университета [9]. На протяжении всего курса лечения со стороны пациентки отмечалась положительная динамика, снижение сухости полости рта, восстановление целостности слизистой оболочки и снижение проявлений мукозита на фоне химиотерапевтического лечения.
Использование высокоэнергетических источников излучения, облучающих большие площади головы и шеи, наряду с увеличением числа клинических выздоровлений приводит к росту частоты лучевых осложнений – различных изменений со стороны окружающих здоровых тканей и органов [10]. Проявления лучевых реакций и повреждений различают на местные и общие, а также они могут быть острыми и отстроченными. К острым проявлениям можно отнести мукозит, потерю вкусовых ощущений, ксеростомию. К отсроченным реакциям и повреждениям относятся тризм, лучевой кариес и лучевой остеонекроз. Лучевой остеонекроз является наиболее серьезным осложнением лучевой терапии злокачественных новообразований челюстно-лицевой области и представляет собой гибель костной ткани челюстей. Лучевой остеонекроз встречается в 3 раза чаще у пациентов мужского пола и преимущественно локализуется в теле нижней челюсти.
Клинический случай 5
Пациент Л., 66 лет, был направлен на амбулаторное лечение к врачу – стоматологу-хирургу.
Из анамнеза жизни. Находится на диспансерном учете по поводу злокачественного образования челюстно-лицевой области. Неоднократно проводились курсы лучевой терапии, проведено хирургическое лечение.
Объективные данные обследования. Общее состояние на момент осмотра удовлетворительное. Конфигурация лица изменена за счет послеоперационных явлений. Определяется послеоперационная рана с гнойно-воспалительными явлениями. Определяются явления лучевого остеонекроза нижней челюсти справа (рис. 9–11). Открывание рта ограничено, умеренно болезненное. Лечение на амбулаторном этапе заключалось в активной санации гнойно-некротических проявлений в раневой поверхности, активное орошение антисептическими растворами, протеолитическими ферментами. Активная антибактериальная, противовоспалительная, симптоматическая терапия.
Рис. 9. Клинические проявления лучевого остеонекроза нижней челюсти справа
Рис. 10. Клинические проявления лучевого остеонекроза нижней челюсти справа на этапе лечения
Рис. 11. Клинические проявления лучевого остеонекроза нижней челюсти с развитием патологического перелома нижней челюсти справа
На 10-е сутки от начала лечения пациента на амбулаторном этапе на фоне снижения гнойно-некротических явлений в ране пациент обратился к врачу – стоматологу-хирургу с жалобами на патологическую подвижность нижней челюсти справа в проекции очага лучевого остеонекроза. При осмотре диагностирован патологический перелом нижней челюсти справа, пациент госпитализирован в отделение челюстно-лицевой хирургии для дальнейшего лечения.
ЗАКЛЮЧЕНИЕ
При возникновении БФОНЧ пациент должен находиться на динамическом наблюдении одновременно у врача-онколога, врача – стоматолога-хирурга и врача – челюстно-лицевого хирурга. На начальных этапах развития БФОНЧ хирургическое лечение должно быть ограничено удалением острых краев лунки и явно нежизнеспособных тканей. При затяжном течении процесса желательно сделать перерыв в приеме бисфосфонатного препарата на 2–4 месяца по согласованию с врачом-онкологом. В комплексное лечение пациента с БФОНЧ должна входить санация полости рта, санация гнойно-некротических осложнений, адекватная медикаментозная терапия.
Применение озонотерапии путем аппликаций озонированного масла на слизистую оболочку полости рта при лечении мукозитов на фоне химио-радиотерапевтического лечения злокачественных новообразований позволяет стимулировать регенераторный потенциал и способствовать скорейшему заживлению и восстановлению целостности эпителия слизистой полости рта.
Знание врачами-стоматологами клинических проявлений осложнений комплексного и комбинированного лечения злокачественных новообразований, тактики и методов лечения имеет первостепенное значение в профилактике развития более тяжелых осложнений, снижения степени инвалидизации пациентов и повышения качества жизни.
Авторлар туралы
Yulia Makedonova
Volgograd State Medical University
Хат алмасуға жауапты Автор.
Email: mihai-m@yandex.ru
ORCID iD: 0000-0002-5546-8570
Institute of Continuing Medical and Pharmaceutical Education, MD, Professor, Head of the Department of Dentistry
Ресей, VolgogradOlga Afanaseva
Volgograd State Medical University
Email: afanaseva-olga75@mail.ru
ORCID iD: 0000-0001-8577-2939
Institute of Continuing Medical and Pharmaceutical Education, Candidate of Medical Sciences, Associate Professor, Associate Professor of the Department of Dentistry
Ресей, VolgogradSabina Agaeva
Volgograd State Medical University
Email: sabina.agaeva.9898@mail.ru
ORCID iD: 0009-0003-3547-8354
student at the Faculty of Dentistry
Ресей, VolgogradDiana Makedonova
Volgograd State Medical University
Email: dianamakedonova@gmail.com
ORCID iD: 0009-0005-3291-9526
student at the Faculty of Dentistry
Ресей, VolgogradEva Afanaseva
Volgograd State Medical University
Email: olga.afanaseva@volgmed.ru
ORCID iD: 0009-0000-7045-5076
student at the Faculty of Dentistry
Ресей, VolgogradӘдебиет тізімі
- Makedonova Yu.A., Afanasyeva O.Yu., Alexandrina E.S., Vargina S.A. Formation of principles of oncological alertness among dentists at a dental appointment. Cathedra – stomatologicheskoe obrazovanie = Cathedra – dental education. 2021;76:46–50. (In Russ.).
- Sikorsky D.V. Postoperative complications in the combined treatment of locally advanced and recurrent oropharyngeal cancer. Opuholi golovy i shei = Tumors of the head and neck. 2014;3:40–46. (In Russ.).
- Shkarin V. V., Makedonova J.A., Shulman I.D., Alexandrina E.U., Filimonova O.N. Screening-diagnosis of diseases of the oral mucosa from the perspective of cancer awareness. Parodontologiya. 2023;28(2):107–113. (In Russ.) doi: 10.33925/1683-3759-2023-28-2-000-000.
- Shkarin V.V., Makedonova Yu.A., Dyachenko S.V. Aspects of monitoring, treatment and routing of patients with diseases of the oral mucosa from the perspective of cancer awareness. Certificate of registration of the database № RU 2024620858, 22.02.2024.
- Fomichev E.V., Yarygina E.N., Kirpichnikov M.V., Podolsky V.V. Bisphosphonate osteonecrosis of the jaws. Vestnik Volgogradskogo gosudarstvennogo meditsinskogo universiteta = Journal of Volgograd State Medical University. 2019;1(69):3–8. (In Russ).
- Shkarin V.V., Makedonova Yu.A., Afanasyeva O. Yu., Poroshin A.V., Devyatchenko L.A. Onco-caution in the practice of a primary care dentist. Endodontiya Today = Endodontics Today. 2023;21(1):23–28. (In Russ.) doi: 10.36377/1683-2981-2023-21-1-0-0.
- Pulito C. Oral mucositis: the hidden side of cancer therapy. Journal of Experimental & Clinical Cancer Research. 2020;39:210.
- Makedonova Yu.A., Poroisky S.V., Gavrikova L.M., Afanasyeva O.Yu., Dyachenko S.V. Comparative analysis of the effectiveness of treatment of traumatic lesions of the oral mucosa in patients with concomitant pathology. Parodontologiya. 2021;26(3): 229–233. (In Russ.) doi: 10.33925/1683-3759-2021-26-3-229-233.
- Maltsev D.V., Babkov D.A., Yakovlev D.S., Taran A.S., Litvinov R.A., Kalitin K.Yu. et аl. Methodology of preclinical drug research. The training manual. Volgograd, 2023. 84 p. (In Russ.).
- Zurnachyan A.A. Radiation damage to the oral mucosa after radiotherapy:approaches to prevention and treatment. Kazanskij medicinskij zhurnal = Kazan Medical Journal. 2015;96(3):397–400. (In Russ.).
Қосымша файлдар













