Pars plana vitrectomy as a treatment for mixed etiology acute uveitis (clinical case)
- Authors: Chernakov A.S.1, Arzhimatova G.S.1,2, Sonin D.V.1, Alipov D.G.1, Shirshova E.V.1
-
Affiliations:
- Moscow Multidisciplinary Scientific and Clinical Center named after S.P. Botkin
- Russian Medical Academy of Continuing Professional Education
- Issue: Vol 22, No 3 (2025)
- Pages: 159-164
- Section: Guide for General Practitioners
- URL: https://journal-vniispk.ru/1994-9480/article/view/348367
- DOI: https://doi.org/10.19163/1994-9480-2025-22-3-159-164
- ID: 348367
Cite item
Full Text
Abstract
This article describes a clinical case of treatment of mixed etiology acute uveitis in a 36-year-old patient with a history of penetrating eye injury, complicated by an intraocular metallic foreign body. Hypopyon and aphakia were detected with biomicroscopy. Diagnostics confirmed the presence of intraocular foreign body (IOFB) in the anterior chamber and luxation of the lens into the vitreous cavity, as well as fluid level in the left maxillary sinus. The patient underwent puncture of the maxillary sinus and pars plana 25G vitrectomy with removal of the foreign body, lens extraction, intravitreal and intracameral injection of an antibiotic. An old macular hole was detected intraoperatively. Cultures from the anterior chamber and vitreous cavity revealed Acinetobacter baumani, Klebsiella pneumoniae and Escherichia coli. After the operation, there was a decrease in inflammation, an increase in the transparency of optical media, and a moderate increase in visual acuity.
Vitrectomy reduced inflammation and prepared the eye for further reconstructive surgery (iridoplasty, IOL implantation). The discussion highlights the role of modern methods, including metagenomic sequencing, for vitreous microbiome analysis.
Full Text
Увеиты представляют собой группу заболеваний, объединенных общим признаком, − воспалением сосудистой оболочки глаза (радужки, цилиарного тела, хориоидеи), которое может быть обусловлено воздействием инфекционных, травматических, аутоиммунных, неопластических факторов. Экзогенные агенты проникают внутрь глаза при нарушении целостности глазной стенки (при травме, хирургическом вмешательстве) либо при контактном распространении инфекции из соседних областей (пазухи носа, полость рта, орбита). Эндогенные агенты попадают в сосудистую оболочку глаза гематогенным путем из любого инфекционного очага в организме. Среди офтальмологических заболеваний увеиты составляют 5–15 % случаев. Анатомические изменения при увеитах могут приводить к необратимому снижению зрительных функций, в связи чем актуальна проблема поиска методов эффективных методов лечения и реабилитации этих заболеваний [1, 2].
Витрэктомия как метод лечения факогенных увеитов была предложена J.G. Diamond и H.J. Kaplan еще в 1978 г. [3]. С тех пор витреоретинальная хирургия совершила переход к малоинвазивным методам (25G, 27G), которые привели к уменьшению диаметра инструментов, сокращению послеоперационого дискомфорта и времени восстановления, а также к снижению риска ятрогенных осложнений. Инновации в хирургии, включая клапанные канюли, бипланарные разрезы, высокоскоростные пневматические витреотомы (до 20 000 разрезов/мин) и четырехпортовые системы с применением шандельера, позволили безопасно оперировать даже самую сложную витреоретинальную патологию – гигантские разрывы сетчатки, выраженную пролиферативную витреоретинопатию, диабетическую отслойку сетчатки, проникающие ранения с внутриглазными инородными телами (ВГИТ).
При увеитах проведение витрэктомии возможно с диагностической и с лечебной целью. Материал, полученный при диагностической витрэктомии, возможно подвергнуть различным методам исследования (посев на микрофлору, ПЦР, цитологическое исследование, проточная цитометрия, иммуногистохимическое исследование, определение антител, цитокинов), что может помочь определить этиологию увеита. Показаниями к хирургическому лечению увеитов являются: отсутствие эффекта от медикаментозной терапии, стойкие помутнения в стекловидном теле, гемофтальм, наличие хрусталиковых масс в витреальной полости, отслойка сетчатки, кистозный макулярный отек, эпиретинальные мембраны, хроническая гипотония [4, 5].
Витрэктомия может привести к снижению активности заболевания и количества рецидивов воспаления, регрессу кистозного макулярного отека, снижению потребности в противовоспалительных препаратах, а также к повышению прозрачности оптических сред и остроты зрения в послеоперационном периоде [5, 6, 7]. Наглядным примером хирургического лечения острого увеита смешанной этиологии при помощи витрэктомии может служить следующий клинический случай.
КЛИНИЧЕСКИЙ СЛУЧАЙ
Пациент Т., 36 лет, обратился в приемное отделение с оказанием неотложной офтальмологической помощи Московского городского офтальмологического центра ММНКЦ им. С.П. Боткина с жалобами на снижение зрения, боль, слезотечение из левого глаза в течение недели. В анамнезе − проникающее ранение левого глазного яблока в 2007 году. Со слов пациента, он работал в одной из стран СНГ на стройке, другой работник ударил молотком по металлу, осколок отскочил Т. в левый глаз. В местной больнице инородное тело удалили, была произведена первичная хирургическая обработка раны, в дальнейшем у офтальмолога не наблюдался.
Максимально корригированная острота зрения (МКОЗ) правого глаза составляла 1.0, левого – соответствовала правильной светопроекции, пневмотонометрия OD – 19 мм рт. ст., офтальмотонус OS пальпаторно соответствовал норме. Данные биомикроскопии OD соответствовали норме. Биомикроскопия OS: отмечалась смешанная инъекция, определялись отечность роговицы и запотелость эндотелия, по меридиану 5 часов рубец, непрокрашивающийся флюоресцеином, влага передней камеры с гипопионом, в ткани радужки по меридиану 4–5 часов определялось объемное образование, реакция зрачка на свет отсутствовала (рис. 1). Визуализировалась афакия, в стекловидном теле – воспалительные клетки, детали глазного дна были трудноразличимы.
Рис. 1. Фото левого глаза на момент осмотра в приемном отделении
Пациенту был проведен комплекс инструментальных исследований, включающий в себя ультразвуковое исследование (УЗИ) и ультразвуковую биомикроскопию (УБМ), рентгенографию глазниц (РГ) с локализацией инородного тела по методу Комберга – Балтина, компьютерную томографию (КТ) головы. Эхографическая картина заднего сегмента OS имела следующие особенности: витреоретинальные тяжи, мелкодисперсная взвесь – выпот, хрусталик люксирован в стекловидное тело, нельзя исключить ВГИТ на глазном дне. УБМ выявила инородное тело в передней камере по меридиану 4–5 часов (рис. 2). При рентгенографии OS по Комбергу – Балтину определялось ВГИТ размерами 2 × 1 × 1 мм, по меридианам 4 часа 10 минут – 4 часа 40 минут, на расстоянии 4 мм от анатомической оси глаза, на расстоянии 1–2 мм от плоскости лимба (3–4 мм при пересчете на склеру) (рис. 3).
Рис. 2. УЗИ и УБМ левого глаза
Рис. 3. Рентгенография по методу Комберга – Балтина. ВГИТ указано стрелкой
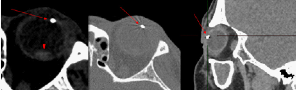
На компьютерной томограмме в передней камере глаза отмечалась структура диаметром 3,7 мм, металлической плотности до 3000 HU (Hounsfield Units) (рис. 4).
Рис. 4. Компьютерная томограмма области орбиты. ВГИТ указано стрелкой, хрусталик на глазном дне – наконечником стрелки
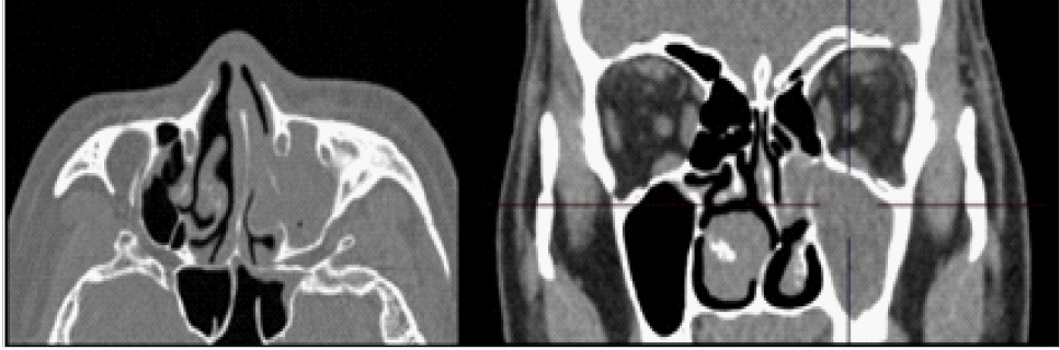
В заднем сегменте глазного яблока отмечалась дополнительная структура диаметром 8,5 мм, плотность 92 HU. В области сканирования левая верхнечелюстная пазуха тотально заполнена содержимым, ячейки решетчатой кости с субтотальным заполнением просвета (рис. 5).
Рис. 5. Компьютерная томограмма области околоносовых пазух
С учетом состояния верхнечелюстной пазухи и ячеек решетчатой кости пациент был направлен на консультацию к оториноларингологу, который выполнил лечебно-диагностическую пункцию левой верхнечелюстной пазухи, при которой получено слизистое отделяемое в объеме 2 мл. В лабораторных исследованиях отмечался лейкоцитоз (12,067 х 10^9/л), остальные показатели клинического анализа крови, а также СОЭ, С-реактивный белок, фибриноген, ревматоидный фактор соответствовали норме.
Пациент был госпитализирован в стационар для проведения курса противовоспалительной терапии, решения вопроса о хирургическом лечении. Учитывая признаки обострения воспалительного процесса в глазном яблоке, наличие хрусталика в витреальной полости, наличие предположительно металлического инородного тела радужки, было принято решение о проведении хирургического вмешательства в объеме – малоинвазивная субтотальная 25G витрэктомия, экстракция хрусталика, удаление ВГИТ, интравитреальное введение антибиотика.
Во время операции взято содержимое передней камеры для посева, камера заполнена вискоэластиком. С помощью витреотома выполнена колобома по меридиану 4 часа в проекции инородного тела, инородное тело извлечено при помощи внутриглазного магнита и корнеосклерального пинцета (рис. 6). Установлены ирис-ретракторы. Установлены 25G порты, взято содержимое для посева из витреальной полости. На средней периферии сетчатки в нижней половине визуализировались витреоретинальные тракции, в макулярной области – хрусталик черного цвета. После витрэктомии и тампонады витреальной полости ПФОС хрусталик был выведен в переднюю камеру и удален с помощью хрусталиковой петли через разрез роговицы, далее разрез ушит швом по Пирсу (рис. 7). В макулярной зоне после удаления хрусталика обнаружен старый обширный макулярный разрыв. В витреальную полость и в переднюю камеру введен раствор антибиотика. По результатам бактериологического исследования в посевах из передней камеры и витреальной полости были обнаружены Acinetobacter baumani (101 КОЕ/тампон), Klebsiella pneumoniae (101 КОЕ/тампон), Escherichia coli (101 КОЕ/тампон).
Рис. 6. Извлечение ВГИТ
Рис. 7. Введение ПФОС; извлечение хрусталика; фото извлеченных хрусталика и ВГИТ
При послеоперационном осмотре левого глаза отмечался умеренный десцеметит, роговичные швы чистые, состоятельные, влага передней камеры прозрачная, афакия, авитрия, сетчатка прилежит (рис. 8). Острота зрения OS – правильная светопроекция, с коррекцией sph.+10,0 D составляла счет пальцев у лица на расстоянии 10 см. Пациенту рекомендовано снятие швов с роговицы в плановом порядке, а также повторный осмотр хирурга для решения вопроса о пластике радужки и вторичной имплантации ИОЛ с шовной фиксацией.
Рис. 8. Послеоперационный осмотр левого глаза
У данного пациента отмечался смешанный характер воспалительного процесса – риносинусогенный, что часто бывает обусловлено наличием фокальных очагов инфекции в верхнечелюстной пазухе и ячейках решетчатой кости [8], факогенный, посттравматический. Современные методы исследования, например, такие как метагеномное секвенирование (mNGS), позволяют обнаружить микроорганизмы в стекловидном теле здоровых людей. К обнаруженным в норме микроорганизмам относятся фирмикуты (Bacillus, Paenibacillus, Clostridium), протеобактерии (Enterobacter, Acinetobacter, Klebsiella), актиномицеты (Propionibacterium) [9, 10]. Учитывая длительность и степень воспаления, а также состояние оболочек глазного яблока, роль данных микроорганизмов в развитии воспаления у пациента сомнительна.
В настоящее время актуальной проблемой остаются проникающие ранения ВГИТ, до 90 % которых имеют металлическую природу. Металлические осколки, попадающие в глаз, являются токсичными и могут вызывать металлоз, а также являться причиной посттравматического увеита, в связи с чем необходимо их своевременное удаление [11, 12]. На примере данного случая удаление ВГИТ было выполнено одномоментно с витрэктомией с целью профилактики металлоза глазного яблока.
ЗАКЛЮЧЕНИЕ
Витрэктомия в данном клиническом случае позволила уменьшить степень воспалительных изменений и подготовить пациента к проведению плановой реконструктивной хирургии с целью дальнейшего повышения остроты зрения и улучшения косметического состояния глазного яблока.
About the authors
Alexander S. Chernakov
Moscow Multidisciplinary Scientific and Clinical Center named after S.P. Botkin
Author for correspondence.
Email: doctor-chernakov@yandex.ru
ORCID iD: 0009-0008-8536-0553
ophthalmologist
Russian Federation, MoscowGulzhiyan Sh. Arzhimatova
Moscow Multidisciplinary Scientific and Clinical Center named after S.P. Botkin; Russian Medical Academy of Continuing Professional Education
Email: argimatova@gmail.com
ORCID iD: 0000-0001-9080-3170
Candidate of Medical Sciences, Head of the Moscow City Ophthalmological Center, Associate Professor of the Department of Ophthalmology
Russian Federation, Moscow; MoscowDmitry V. Sonin
Moscow Multidisciplinary Scientific and Clinical Center named after S.P. Botkin
Email: dson95@gmail.com
ORCID iD: 0009-0004-4463-2023
ophthalmologist
Russian Federation, MoscowDmitrii G. Alipov
Moscow Multidisciplinary Scientific and Clinical Center named after S.P. Botkin
Email: ne2483@yandex.ru
ORCID iD: 0000-0002-7353-6805
Candidate of Medical Sciences, Ophthalmologist
Russian Federation, MoscowElena V. Shirshova
Moscow Multidisciplinary Scientific and Clinical Center named after S.P. Botkin
Email: evchirchova@gmail.com
ORCID iD: 0009-0006-0189-8600
ophthalmologist, Head of Ophthalmology Department No. 64
Russian Federation, MoscowReferences
- Lisitsyna T.A., Alekberova Z.S., Davydova G.A., Reshetnyak T.M., Katargina L.A., Nasonov E.L. Current approaches to treatment of uveitis in immune-mediated inflammatory rheumatic disease. Nauchno-prakticheskaja revmatologija = Rheumatology Science and Practice. 2020;58(4):428–436. (In Russ). doi: 10.47360/1995-4484-2020-428-436.
- Avetisov S.E. Ophthalmology (“National Guidelines” Series). 3rd Ed. Edited by S.E. Avetisov, E.A. Egorov, L.K. Moshetova, V.V. Neroev, H.P. Tahchidi. Moscow; GEOTAR-Media Publ., 2024 952 p. (In Russ.). doi: 10.33029/9704-8572-9-OFT-2024-1-952.
- Diamond J.G., Kaplan H.J. Lensectomy and vitrectomy for complicated cataract secondary to uveitis. Archives of Ophthalmology. 1978;96(10):1798–1804. doi: 10.1001/archopht.1978.03910060310002.
- Sallam A.B., Kuhn F., Gini G. Adelman R.A. Practical manual of vitreoretinal surgery. Cham: Springer Nature Switzerland AG, 2024. 477 с. doi: 10.1007/978-3-031-47827-7.
- Bansal R., Dogra M., Chawla R., Kumar A. Pars plana vitrectomy in uveitis in the era of microincision vitreous surgery. Indian Journal of Ophthalmology. 2020;68(9):1844–1851. doi: 10.4103/ijo.IJO_1625_20
- El Faouri M., Ally N., Lippera M., Subramani S., Moussa G., Ivanova T. et al. Long-term safety and efficacy of pars plana vitrectomy for uveitis: experience of a tertiary referral centre in the United Kingdom. Journal of Clinical Medicine. 2023;12(9):3252. doi: 10.3390/jcm12093252.
- Buriy V.V., Senchenko N.Ya., Malyshev V.V. Clinical efficiency of microinvasive vitrectomy in rehabilitation of patients with posterior uveitis complications. Bjulleten' Vostochno-Sibirskogo nauchnogo centra Sibirskogo otdelenija Rossijskoj akademii medicinskih nauk (Acta Biomedica Scientifica) = Bulletin of the East Siberian Scientific Center SBRAMS (Acta Biomedica Scientifica). 2011;6(82):14–16 (In Russ.).
- Kasparova E.A., Kasparov A.A., Levitsky Yu.V., Tsipurskaya O.I. The role of infection foci in the onset and sustenance of inflammatory diseases of the eye. Vestnik oftal'mologii = Russian Annals of Ophthalmology. 2019;135(6):124–133 (In Russ.). doi: 10.17116/oftalma2019135061124.
- Arunasri K., Mahesh M., Sai Prashanthi G., Jayasudha R., Kalyana Chakravarthy S., Tyagi M. et al. Comparison of the vitreous fluid bacterial microbiomes between individuals with post fever retinitis and healthy controls. Microorganisms. 2020;8(5):751. doi: 10.3390/microorganisms8050751.
- Aragona P., Baudouin C., Benitez Del Castillo J.M., Messmer E., Barabino S., Merayo-Lloves J. et al. The ocular microbiome and microbiota and their effects on ocular surface pathophysiology and disorders. Survey of Ophthalmology. 2021;66(6):907–925. doi: 10.1016/j.survophthal.2021.03.010
- Petrayevsky A.V., Gndoyan I.A., Trishkin K.S., Vinogradov A.R.. Ocular traumatism in russian federation. Vestnik Oftalmologii = The Russian Annals of Ophthalmology. 2018;134(4):80–83. (In Russ.). doi: 10.17116/oftalma201813404180.
- Mete G., Turgut Y., Osman A., Gülşen U., Hakan A. Anterior segment intraocular metallic foreign body causing chronic hypopyon uveitis. Journal of ophthalmic inflammation and infection. 2011;1(2):85–87. doi: 10.1007/s12348-010-0011-9.
Supplementary files










