Early diagnosis and treatment of aseptic bone necrosis amid COVID-19 consequences
- Authors: Glukhov A.V.1, Lapukhin A.O.1, Gusev S.S.2
-
Affiliations:
- Rostov Regional Clinical Hospital
- Clinical Hospital N 1 of the Administration of the President of Russia
- Issue: No 3 (2023)
- Pages: 29-37
- Section: Медицинские проблемы
- URL: https://journal-vniispk.ru/1995-4441/article/view/260708
- DOI: https://doi.org/10.25016/2541-7487-2023-0-3-29-37
- ID: 260708
Cite item
Full Text
Abstract
Introduction. Avascular necrosis (M87 according to ICD-10) occurs in young, able-bodied people. Clinical practice has revealed an increase in cases of avascular necrosis in patients who have suffered new coronavirus infection (COVID-19).
The objective is to describe clinical symptoms and treatment strategies in patients with aseptic bone necrosis (osteonecrosis), including those with a history of COVID-19.
Methods. In 2016–2023 132 cases of aseptic bone necrosis were treated, including 115 patients (87.1 %) admitted to the department in 2021–2023 having suffered moderate to severe SARS-CoV-2 infection. International studies were referred to regarding the development of osteonecrosis, including post COVID-19.
Results and analysis. Clinical treatment analysis of patients with a history of COVID-19 was carried out. Most cases showed bilateral aseptic necrosis of the femoral head and condyles. The analysis included 34 (29.6 %) patients over 50 years of age with an average age of 56 years, and 81 (70.4 %) patients under 50 years of age with an average age of 33 years. Clinical observations in patients with identified aseptic necrosis after COVID-19 are considered.
Conclusion. At present, it is impossible to accurately verify the frequency rate of post COVID-19 aseptic bone necrosis, since in Russia aseptic necrosis is not classified as an independent nosological group. Another difficulty is the fact that at this stage there is not enough information about patients who suffered isolated mild COVID-19 with further development of osteonecrosis. There is not sufficient evidence regarding the incidence of osteonecrosis in population and occupational groups. In most cases, osteonecrosis is a caused by multifactorial effects.
Full Text
Введение
Асептический некроз кости или остеонекроз (M87 по МКБ-10) – тяжелое полиэтиологическое заболевание, связанное с гибелью костных клеток и разрушением костной ткани, чаще в субхондральной зоне (близкой к суставу), с нарушением кровоснабжения, быстро приводящее к развитию вторичного артроза/ артрита прилежащего сустава [2, 3].
Наиболее частой локализацией остеонекроза являются головка бедренной кости, мыщелки бедренной и большеберцовой костей, реже головка плечевой кости, таранная кость и т.д. [15].
Выделяют первичный (спонтанный, идиопатический) остеонекроз, причина которого часто не известна, и вторичный, причиной возникновения которого могут быть прием глюкокортикоидов, алкогольная интоксикация, лучевая или химиотерапия, различные коагулопатии (ДВС-синдром, тромбофилия), системные заболевания (васкулиты), серповидно-клеточная анемия, вирус иммунодефицита человек, гиперлипидемии, болезни печени и печеночная недостаточность, дайвинг и другие гипербарические состояния, беременность и травмы, особенно с нарушением целостности сосудов (перелом шейки бедренной кости, травматический вывих бедра, импрессионный перелом мыщелков бедренной и большеберцовой костей) [14].
Асептический некроз костей представляет определенную медико-социальную проблему. Особенностью данной патологии является то, что она поражает молодых работоспособных людей. По данным различных авторов, средний возраст составляет около 32 лет, соотношение заболеваемости мужчин и женщин – 3:1.
В России асептический некроз костей в структуре заболеваемости костно-мышечной системы взрослого населения не выделен, хотя по расчетам и экстраполяции зарубежных данных ежегодно должно выявляться от 5 до 8 тыс. новых случаев заболевания [2].
Эпидемиологические исследования распространенности остеонекроза в мире приведены в публикации D. Zhao и соавт. [24]. Считается, что заболеваемость асептическим некрозом в индустриальных странах находится в диапазоне от 1,4 до 3,0 на 100 тыс. человек населения.
В статье [1] указывается на случаи остеонекроза у пожарных относительно молодого возраста. Вероятно, это были случаи, не выходящие за рамки статистических наблюдений этой патологии у населения России. Профессиональных факторов риска возникновения остеонекроза не установлено. Исследования не выявили статистически значимых различий при компьютерной томографии костей у дайверов, хотя в некоторых исследованиях дисбарический остеонекроз могут относить к профессионально обусловленным заболеваниям у кессонных рабочих, коммерческих и военных водолазов [21]. Распространенность характерных для остеонекротических поражений костей у высококвалифицированных военных водолазов была не выше, чем у лиц сопоставимого возраста, которые не занимались дайвингом [5]. Риск дисбарического остеонекроза оказался очень низким для военных водолазов, строго соблюдающих правила декомпрессии и проходящих периодический медицинский осмотр [20].
Широкомасштабные исследования, проведенные в Вооруженных силах США с 2005 по 2014 г., выявили 2671 случай остеонекроза среди группы риска из 13 млн 820 тыс. 906 военнослужащих. Риск остеонекроза у военнослужащих составил 0,19 · 10–3 травм/ (человек·год) [13], что оказалось значительно меньше, чем в общей популяции населения США.
В последние годы после перенесенного COVID-19 участились случаи поступления в стационары пациентов с асептическим некрозом костей [4].
Цель – представить описание клинических симптомов и тактики лечения пациентов с остеонекрозом, перенесших COVID-19.
Материал и методы
Изучены 132 случая асептического некроза (остеонекроза) костей у пациентов, пролеченных в травматолого-ортопедическом отделении Ростовской областной клинической больницы (г. Ростов-на-Дону) в период 2016– 2023 гг. Соотношение мужчин и женщин – 3 : 1.
В 2016–2020 гг. в отделение поступили 17 пациентов с остеонекрозом головок бедренных костей, средний возраст – 48 лет.
С декабря 2021 г. по апрель 2023 г. в отделение обратились уже 115 пациентов с различной локализацией остеонекроза. В анамнезе пациенты отмечали перенесенный COVID-19. Известно, что перенесенная инфекция SARS-CoV-2 протекала у них в среднетяжелой или тяжелой форме с приемом глюкокортикостероидов. Длительное время (от 3 до 6 мес) пациенты лечились консервативно у терапевтов, неврологов, ортопедов – без положительного эффекта.
Пациентов старше 50 лет было 34 в возрасте от 52 до 60 лет, средний возраст – 56 лет, моложе 50 лет – 81 человек в возрасте от 25 до 48 лет, средний возраст – 33 года.
У пациентов старше 50 лет остеонекроз головки бедренной кости был в 34 (100 %) случаях. По локализации у 48 (53,9 %) пациентов молодой группы отмечался двусторонний асепти-
ческий некроз головки бедренной кости, у 20 (24,7 %) – асептический некроз мыщелка бедра, у 5 (6,2 %) – асептический некроз мыщелка бедра и проксимального эпиметафиза большеберцовой кости, у 4 (4,9 %) – асептический некроз надколенника, у 3 (3,7 %) – асептический некроз пяточной кости, у 1 (1,2 %) – асептический некроз дистального эпиметафиза большеберцовой кости, таранной кости и пяточной кости.
Проведен обзор клинических случаев в зарубежной печати по влиянию COVID-19 на формирование остеонекроза.
Результаты и их анализ
Пациентам назначено консервативное лечение: разгрузка суставов нижних конечностей на 2,5 мес, обезболивающая (нестероидные противовоспалительные препараты), базисная патогенетическая (остеотропная) (кальций, витамин D, оссеин-гидроксиапатитный комплекс), антирезорбтивная (бисфосфонаты), анаболическая (терипаратид), сосудистая терапия (дезагреганты, вазодилататоры).
Положительная динамика на контрольной магнитно-резонансной томографии (МРТ) была у 48 пациентов, а 84 пациентам без улуч-
шения на МРТ выполнены органосохраняющие декомпрессивные операции, после чего положительная динамика на контрольной МРТ отмечена у 33 пациентов. У 50 пациентов без положительной динамики выполнено эндопротезирование суставов. 1 пациент с асептическим некрозом дистального эпиметафиза большеберцовой, таранной и пяточной кости находится под динамическим наблюдением.
Важными задачами являлись сохранение работоспособности у молодого населения и профилактика стойких функциональных нарушений (перекос таза, относительное укорочение конечности, контрактура суставов), приводящих к нарушению позвоночного столба и усугублению функциональных нарушений. Органосохраняющие оперативные вмешательства (декомпрессивные операции, костно-пластические методы лечения, корригирующие остеотомии, остеохондральная аллопластика) были целесообразны в зонах с хорошим эпиметафизарным кровотоком (коленный сустав, голеностопный сустав и стопа), поскольку нет убедительных данных об эффективности фармакотерапии и оперативных методах лечения (декомпрессивные операции, костно-пластические методы лечения, корригирующие остеотомии, остеохондральная аллопластика).
Первичное эндопротезирование сустава было методом выбора при лечении асептического некроза кости до развития вертебральных нарушений и ишемического некроза контралатерального сегмента [2]. Показаниями к эндопротезированию являлись:
- пожилой возраст;
- стадия остеонекроза головки бедренной кости по классификации Association Research Circulation Osseuos (ARCO), IIB–IIIC;
- остеонекроз мыщелков бедра, голени и головки плечевой кости от 50 % и более и/или больше 5 см².
У молодых пациентов с изолированным поражением головки бедренной кости рекомендуется устанавливать имплантаты: pесурфейсинг, короткая ножка с поражением шейки бедренной кости, в том числе, пожилым пациентам – стандартная ножка.
Протезы коленного сустава имеют различную степень связанности. Рекомендуется выполнять индивидуальный подбор имплантатов в зависимости от возраста, локализации, вовлеченности связочного аппарата. Одномыщелковое эндопротезирование было при условии: соседний отдел сустава оказался в хорошем состоянии с сохраненным мени-
ском и полной толщиной суставных хрящей; неглубокое разволокнение и ограниченные эрозии хрящA, Eдиничные краевые остеофиты не являются противопоказанием; передняя крестообразная, задняя крестообразная и боковые связки должны быть целыми; ограничение разгибания не превышало 15°; варусные/вальгусные деформации – не более 15°. В остальных случаях выполняли тотальное эндопротезирование коленного сустава.
Клинические случаи.
- Женщина А., 27 лет. При обращении жалобы на распирающую, пульсирующую боль в области медиального мыщелка левой бедренной кости и ночную боль (интенсивность – 7 баллов по визуально-аналоговой шкале боли, ВАШ) в левой ноге. Отмечается нарушение опороспособности на левую нижнюю конечность. Соматический и наследственный анамнез не отягощен. В мае 2021 г. перенесла острую респираторную вирусную инфекцию в легкой форме. 06.10.2021 г. выполнена спиральная компьютерная томография (СКТ) левого коленного сустава, обнаружен асептический некроз медиального мыщелка левой бедренной кости (рис. 1А). 25.11.2021 г. выполнены артроскопия левого коленного сустава, декомпрессия очага некроза. Назначено консервативное лечение. 16.01.2022 г. проведена контрольная МРТ – асептический некроз медиального мыщелка левой бедренной кости (см. рис. 1Б).
Рис. 1. СКТ левого коленного сустава у пациентки А. Диагноз: асептический некроз медиального мыщелка левой бедренной кости: 06.10.2021 г. (А), 25.11.2021 г. (Б), эндопротез левого коленного сустава (В).
На контрольном осмотре пациентка отмечает постоянную боль тянущего характера по медиальной поверхности левого коленного сустава, резкую боль (7 баллов по ВАШ) в области медиального мыщелка левой бедренной кости при попытке активного и пассивного сгибания коленного сустава и в области медиального мыщелка левой бедренной кости при осевой нагрузке на левую нижнюю конечность. Отсутствуют улучшения по данным МРТ, увеличивается функциональная недостаточность по клиническим данным.
11.02.2022 г. выполнена имплантация эндопротеза левого коленного сустава с одновременной реконструкцией биологической оси конечности (см. рис. 1В). В послеоперационном периоде на 7-е сутки пациентка отмечает восстановление функции коленного сустава, отсутствие болевого синдрома (1 балл по ВАШ).
- Женщина Б., 31 год. В сентябре 2021 г. перенесла COVID-19 средней степени тяжести. В процессе стационарного лечения пациентка получала антикоагулянты (эноксопарин натрия 1,6 мл/сут) весь период и дексаметазон в суммарной дозе 108 мг (в пересчете на преднизолон – 720 мг). После выписки из стационара принимала ривароксобан 15 мг/сут.
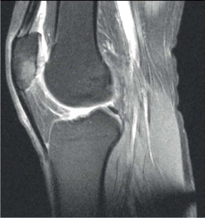
Спустя 6 мес стала отмечать боль (8 баллов по ВАШ) в области нижнего полюса надколенника в покое и при нагрузке, резкую боль – в нижнем полюсе надколенника при активном и пассивном сгибании в коленном суставе. Обратилась в травматолого-ортопедическое отделение. Семейный и соматический анамнез не отягощен. В феврале 2022 г. провели МРТ коленного сустава, обнаружен асептический некроз нижнего полюса надколенника (рис. 2). Выполнена артроскопия коленного сустава с декомпрессией очага некроза.
Рис. 2. МРТ коленного сустава у пациентки Б. Диагноз – асептический некроз нижнего полюса надколенника.
В раннем послеоперационном периоде пациентка отмечала снижение боли (интенсивность – 3 балла по ВАШ). Назначены терипаратид подкожно 20 мкг 1 раз в сутки в течение 2 мес и ношение ортеза на коленный сустав. На контрольный осмотр не явилась.
- Мужчина В., 36 лет, без отягощенного соматического и семейного анамнеза в августе 2021 г. перенес тяжелую форму COVID-19. Находился на стационарном лечении 17 дней. Пациенту назначали антикоагулянты (эноксапарин натрия 1,6 мл/сут на весь период лечения), противовирусный препарат фавипиравир (3600 мг – 1 сут, затем 1600 мг – 6 сут). В стационаре терапия дексаметазоном продолжена в дозировке 20 мг ежедневно с последующим снижением до 4 мг к моменту выписки – 272 мг (в пересчете на преднизолон – 1813 мг). После выписки из стационара принимал ривароксабан 15 мг/сут.
В декабре 2021 г. стала беспокоить боль распирающего характера в обоих тазобедренных суставах в покое, интенсивность боли снижалась при нагрузке, и в поясничном отделе позвоночника (6 баллов по ВАШ). Обратился к неврологу, и было начато консервативное лечение люмбалгии. В феврале 2022 г. вследствие неэффективности консервативного лечения и сохранения болевого синдром выполнена СКТ таза. Обнаружены двусторонний коксартроз, асептический некроз головок бедренных костей (рис. 3).
Рис. 3. СКТ таза у пациента В. Диагноз – двусторонний коксартроз, асептический некроз головок бедренных костей.
В связи с наличием субхондрального перелома головки правой бедренной кости пациенту выполнено тотальное эндопротезирование правого тазобедренного сустава.
В позднем послеоперационном периоде пациент отмечал восстановление функции правой нижней конечности, отсутствие болевого синдрома (0 баллов по ВАШ) в правом тазобедренном суставе
- Женщина Г., 48 лет. В мае 2020 г. перенесла тяжелую форму COVID-19. Находилась на стационарном лечении 20 дней. Пациентке назначали антикоагулянты (эноксапарин натрия 1,6 мл/сут на весь период лечения). В процессе стационарного лечения терапия дексаметазоном была продолжена в дозировке 20 мг 2 раза в день ежедневно с последующим снижением до 4 мг к моменту выписки – всего 576 мг (в пересчете на преднизолон – 3840 мг). После выписки из стационара принимала ривароксобан 15 мг/сут.
В мае 2021 г. переболела повторно COVID-19 в легкой форме, самостоятельно принимала жаропонижающие препараты (парацетамол 0, 5 мг/сут) в течение 5 дней. Через 7 дней после перенесенного заболевания стали беспокоить боль распирающего характера (7 баллов по ВАШ) и ночная боль в правой пяточной кости. При опоре на правую нижнюю конечность отмечается выраженный болевой синдром в правой пяточной кости. При пальпации возникает резкая боль по латеральной поверхности в проекции тела пяточной кости.
Лечилась у невролога консервативно с мая по сентябрь 2021 г. без положительной клинической динамики, а с сентября по декабрь 2021 г. – у травматолога по месту жительства по поводу тендопатии. Положительной клинической динамики не было. В марте 2022 г. на приеме у ортопеда выполнена МРТ правой стопы, диагноз – асептический некроз тела пяточной кости (рис. 4А).
Рис. 4. МРТ правой стопы у пациентки Г.
В марте 2022 г. произведена транскутанная остеоперфорация тела правой пяточной кости. Назначен терипаратид 20 мкг подкожно 1 раз в сутки. МРТ-контроль через 1 мес. На контрольном осмотре: пациентка отмечает восстановление функции правой нижней конечности, отсутствие болевого синдрома в правой пяточной кости (0 баллов по ВАШ). По данным контрольной МРТ – положительная динамика, отсутствуют признаки асептического некроза (см. рис. 4Б).
Обсуждение. При изучении публикаций авторами статьи не получены убедительные данные о влиянии COVID-19 на развитие остеонекроза. X.H. Xie и соавт. приводят различные механизмы остеонекроза, включая аномалию
А – асептический некроз тела пяточной кости; Б – отсутствие признаков асептического некроза.
пула стволовых клеток костного мозга, гиперлипидемию, жировую эмболию, состояние гиперкоагуляции, сосудистую эндотелиальную дисфункцию и апоптоз костных тканей. Указывается, что остеонекроз вызывается не одним, а несколькими факторами, и они могут влиять друг на друга [23]. Указанные факторы приводят к ишемии костного мозга и остеонекрозу [6, 7, 22]. В метаанализе Li-Li Gong и соавт. указывают на генетические факторы развития стероид-индуцированного остеонекроза [11].
При лечении пациентов с COVID-19 часто используются системные кортикостероиды. Патогенез стероид-индуцированного остеонекроза до конца не изучен. В научной литературе, по данным разных авторов, на долю стероид-индуцированного остеонекроза отводится до 40 % случаев остеонекроза. Но нет четких данных о длительности и дозе приема кортикостероидов, при которой значительно повышается риск остеонекроза. Наиболее часто поражается головка бедренной кости, на II месте – коленные суставы, далее – головка плечевой кости и голеностопный сустав со стопой [8, 12, 17].
M. McKee и соавт. показали, что чувствительность к дозировке глюкокортикоидов у различных пациентов очень вариабельна: стероид-индуцированный остеонекроз головки бедренной кости клинически манифестировал после приема преднизолона в дозах от 290 до 3300 мг [16]. В нашем исследовании пациенты Б., В. и Г. получали дексаметазон в кумулятивной дозе в пересчете на преднизолон 720, 1813 и 3840 мг соответственно. С учетом приведенных данных литературы можно предположить – у пациентов развился стероид-индуцированный остеонекроз.
В настоящее время в литературе авторами описывается патогенез остеонекроза после перенесенного COVID-19. Считается, что SARS-CoV-2 может напрямую инфицировать эндотелиальные клетки, используя рецептор ангиотензинпревращающего фермента-2, вызывая иммуноопосредованное повреждение эндотелия. Предположено, что это «ангиоцентрическое» воспаление и последующая эндотелиальная дисфункция занимают центральное место в патогенезе COVID-19. Кроме того, SARS-CoV-2 вызывает тяжелый иммунный ответ, приводящий к активации каскада свертывания крови и гиперкоагуляции. Сосудистые изменения при COVID-19 включают эндотелиит, сужение и нарушение целостности сосудов,
тромботическую микроангиопатию, капиллярную дисфункцию и плохую оксигенацию тканей. Комбинация гипервоспалительного и гиперкоагуляционного состояния приводит к широко распространенному нарушению сосудистой функции при COVID-19 [9].
Считается, что сроки развития остеонекроза, вызванного COVID-19, значительно короче по сравнению с данными при приеме кортикостеридов. В пользу остеонекроза после перенесенного COVID-19 свидетельствуют публикации S.M. Ratchford и соавт. о сосудистых изменениях в нижних конечностях у молодых людей с SARS-CoV-2 [18] и I.A. Goldman и соавт. – о тромбозе артерий нижних конечностей, связанных с COVID-19 [10]. В нашем исследовании у пациентки А. также развился остеонекроз медиального мыщелка после перенесенной острой респираторно-вирусной инфекции. Пациентка в анамнезе не принимала кортикостероиды.
В некоторых работах анализируются случаи уменьшения минеральной плотности костей, например у женщин [19], вследствие мер социального дистанцирования при COVID-19 и связанной с этим пониженной физической активностью.
Заключение
В настоящее время невозможно точно верифицировать частоту развития остеонекроза после COVID-19, так как в нашей стране асептический некроз не выделен в отдельную нозологическую группу. Также сложность представляет тот факт, что на данном этапе недостаточно данных о пациентах, перенесших изолированно COVID-19 в легкой форме с развитием остеонекроза. В большинстве случаев остеонекроз является следствием многофакторного воздействия. По данным иностранных публикаций, достаточно убедительных сведений о возникновении остеонекроза в популяционно-профессиональных группах не выявлено.
На основании клинических наблюдений и данных литературы, можно отметить, что асептический некроз не диагностируется на раннем этапе. Как правило, пациенты длительное время наблюдаются у невролога и только после неэффективной длительной терапии обращаются к ортопедам. Можно полагать, что перенесенный COVID-19 должен настораживать врачей на возможное развитие у этих пациентов случаев остеонекроза.
***
Авторы декларируют отсутствие явных и потенциальных конфликтов интересов, связанных с публикацией статьи.
Участие авторов: А.В Глухов – разработка концепции и дизайна исследования, анализ полученных данных, редактирование окончательного варианта статьи; А.О. Лапухин – обзор литературы, анализ полученных данных, написание первого варианта статьи; С.С. Гусев – обзор литературы, редактирование первого варианта статьи.
About the authors
Aleksei V. Glukhov
Rostov Regional Clinical Hospital
Email: avglukhov1@gmail.com
PhD Head of the Traumatology and Orthopedic Department
Russian Federation, 170, Blagodatnaya Str., Rostov-on-Don, 344015Aleksei O. Lapukhin
Rostov Regional Clinical Hospital
Author for correspondence.
Email: lapukhin2014@yandex.ru
PhD Head of the Traumatology and Orthopedic Department
Russian Federation, 170, Blagodatnaya Str., Rostov-on-Don, 344015Sergei S. Gusev
Clinical Hospital N 1 of the Administration of the President of Russia
Email: dr.sergeygusev@gmail.com
ORCID iD: 0009-0007-4387-6431
traumatologist-orthopedist, department of traumatology and orthopedics
Russian Federation, 10, Starovolynskaya Str., Moscow, 121352References
- Aleksanin S.S., Evdokimov V.I., Rybnikov V.Yu. Znacheniya pokazatelei kostno-myshechnoi sistemy i soedinitel’noi tkani dlya sostoyaniya zdorov’ya lichnogo sostava Federal’noi protivopozharnoi sluzhby Gosudarstvennoi protivopozharnoi sluzhby MChS Rossii [Significance of musculoskeletal and connective tissue parameters as health indicators in Federal Fire-Fighting Service officers of the State Fire-Fighting Service of the EMERCOM of Russia]. Mediko-biologicheskie i sotsial’no-psikhologicheskie problemy bezopasnosti v chrezvychainykh situatsiyakh [Medicо-Biological and Socio-Psychological Problems of Safety in Emergency Situations]. 2022; (4):5–30. doi: 10.25016/2541-7487-2022-0-4-05-30. (In Russ.)
- Asepticheskii nekroz kostei (osteonekroz) [англ. перевод]. Zagorodnii N.V., Mironov S.P., Rodionova S.S. [et al.]. Moscow. 2019. 82 p. (In Russ.)
- Il’inykh E.V., Barskova V.G., Lidov P.I., Nasonov E.L. Osteonekroz. Chast’ 1. Faktory riska i patogenez [Osteonecrosis. Part 1. Risk factors and pathogenesis]. Sovremennaya revmatologiya [Modern Rheumatology Journal]. 2003; (1):17–24. (In Russ.)
- Torgashin A.N., Rodionova S.S. Osteonekroz u patsientov, perenesshikh COVID-19: mekhanizmy razvitiya, diagnostika, lechenie na rannikh stadiyakh (obzor literatury) [Osteonecrosis in Patients Recovering from COVID-19: Mechanisms, Diagnosis, and Treatment at Early-Stage Disease (Review)]. Travmatologiya i ortopediya Rossii [Traumatology and Orthopedics of Russia]. 2022; 28(1):128–137. doi: 10.17816/2311-2905-1707. (In Russ.)
- Bolte H, Koch A, Tetzlaff K. [et al.]. Detection of dysbaric osteonecrosis in military divers using magnetic resonance imaging. Eur Radiol. 2005; 15(2):368–375. doi: 10.1007/s00330-004-2452-8.
- Chan M.H., Chan P.K., Griffith J.F. [et al.]. Steroid-induced osteonecrosis in severe acute respiratory syndrome: a retrospective analysis of biochemical markers of bone metabolism and corticosteroid therapy. Pathology. 2006; 38(3):229–235. doi: 10.1080/00313020600696231.
- Chang C., Greenspan A., Gershwin M.E. The pathogenesis, diagnosis and clinical manifestations of steroid-induced osteonecrosis. J. Autoimmun. 2020; 110:102460. doi: 10.1016/j.jaut.2020.102460.
- Couturier S., Gold G. Imaging Features of Avascular Necrosis of the Foot and Ankle. Foot Ankle Clin. 2019; 24(1):17–33. doi: 10.1016/j.fcl.2018.10.002.
- Gautam M. Double Trouble – COVID-19 and the Widespread Use of Corticosteroids: Are We Staring at an Osteonecrosis Epidemic? Shetty Indian J. Orthopaedics. 2022; 56:226–236. doi: 10.1007/s43465-021-00546-8#Sec6.
- Goldman I.A., Ye K., Scheinfeld M.H. Lower-extremity arterial thrombosis associated with COVID-19 is characterized by greater thrombus burden and increased rate of amputation and death. Radiology. 2020; 297(2):E263–E269. DOI: 10.1148/ radiol.2020202348.
- Gong L.-L., Fang L.-H., Wang H.-Ya. [et al.]. Genetic risk factors for glucocorticoid-induced osteonecrosis: a metaanalysis. Steroids. 2013; 78(4):401–408. doi: 10.1016/j.steroids.2013.01.004.
- Griffith J.F., Antonio G.E., Kumta S.M. [et al.]. Osteonecrosis of hip and knee in patients with severe acute respiratory syndrome treated with steroids. Radiology. 2005; 235(1):168–175. doi: 10.1148/radiol.2351040100.
- Gun B.K., Frank R.M., Gratton R.W. [et al.]. Non-modifiable Risk Factors Associated with Avascular Necrosis in the US Military. Mil. Med. 2020; 185(1-2):178–e182. doi: 10.1093/milmed/usz128.
- Malizos K.N., Karantanas A.H., Varitimidis S.E. [et al.]. Osteonecrosis of the femoral head: etiology, imaging and treatment. Eur. J. Radiol. 2007; 63(1):16–28. doi: 10.1016/j.ejrad.2007.03.019.
- Mankin H.J. Nontraumatic necrosis of bone (osteonecrosis). N. Engl J. Med. 1992; 326(22):1473–1479. DOI: 10.1056/ NEJM199205283262206.
- McKee M.D., Waddell J.P., Kudo P.A. [et al.]. Osteonecrosis of the femoral head in men following short-course corticosteroid therapy: a report of 15 cases. CMAJ. 2001; 164(2):205–206.
- Powell Ch. Steroid induced osteonecrosis: An analysis of steroid dosing risk. Autoimmun. Rev. 2010; 9(11):721–743. doi: 10.1016/j.autrev.2010.06.007.
- Ratchford S.M., Stickford J.L., Province V.M. [et al.]. Vascular alterations among young adults with SARS-CoV-2. Am. J. Physiol. 2021; 320(1):H404–H410. doi: 10.1152/ajpheart.00897.2020.
- Sanchez-Trigo H., Rittweger J., Saсudo B. Effects of non-supervised exercise interventions on bone mineral density in adult women: a systematic review and meta-analysis. Osteoporos Int. 2022; 33(7):1415–1427. doi: 10.1007/s00198-02206357-3.
- Uguen M., Pougnet R., Uguen A. [et al.]. Dysbaric osteonecrosis among professional divers: a literature review. Undersea Hyperb Med. 2014; 41(6):579–587.
- Uzun G., Toklu A.S., Yildiz S. [et al.]. Dysbaric osteonecrosis screening in Turkish Navy divers. Aviat. Space Environ. Med. 2008; 79(1):44–46. doi: 10.3357/asem.2183.2008.
- Weinstein R.S. Glucocorticoid-induced osteonecrosis. Endocrine. 2012; 41:183–190. doi: 10.1007/s12020-0119580-0.
- Xie X.H., Wang X.L., Yang H.L. [et al.]. Steroid-associated osteonecrosis: epidemiology, pathophysiology, animal model, prevention, and potential treatments (an overview). J. Orthop. Translat. 2015; 3(2):58–70. doi: 10.1016/j.jot.2014.12.002. Zhao D., Zhang F., Wang B. [et al.]. Guidelines for clinical diagnosis and treatment of osteonecrosis of the femoral head in adults (2019 version). J. Orthop. Translat. 2020; 21:100–110. doi: 10.1016/j.jot.2019.12.004.
Supplementary files







