Ingrown chorionic villi of the first trimester as a result of a non-developing pregnancy in the post-cesarean scar, associated with the development of arteriovenous malformation: а clinical case
- Autores: Kulabukhova P.V.1, Kondrashina O.S.1, Akinfiev D.M.1, Bychenko V.G.1
-
Afiliações:
- National Medical Research Center for Obstetrics, Gynecology and Perinatology named after academician V.I. Kulakov
- Edição: Volume 51, Nº 8 (2023)
- Páginas: 478-484
- Seção: CLINICAL CASES
- URL: https://journal-vniispk.ru/2072-0505/article/view/252241
- DOI: https://doi.org/10.18786/2072-0505-2023-51-048
- ID: 252241
Citar
Texto integral
Resumo
Background: Identification of residual chorionic tissue and ingrowing chorionic villi after uterine cavity curettage due to non-developing pregnancy, spontaneous abortions, and medical abortions has been a poorly studied problem. The most challenging is the differential diagnosis of this condition when the chorion grows into the scar from a caesarean section and is associated with arteriovenous malformations of the uterine wall. Nowadays, ultrasound has been recognized as the primary diagnostic method; however, the absence of specific echo-signs makes magnetic resonance imaging (MRI) and computed tomography (CT) the methods of choice and final diagnosis.
Clinical case: This was a 39-year-old patient with a history of 3 caesarean sections and non-developing pregnancy and complete spontaneous miscarriage at 4 to 5 weeks of gestation in March 2021. Her final diagnosis was “growing of the chorionic villi of the first trimester of gestation into the myometrium to the entire depth of the uterine wall and up to the serous membrane without germination of the latter (placenta increta). At admission to the clinic in April 2021, she complained of pelvic pain, ongoing low intensity intermittent uterine bleeding, weakness, dizziness, and breast pain. The ultrasound revealed a mass in the uterine cavity. The MRI showed an incompetent post-cesarean uterine scar and residual chorionic tissue spreading to the uterine serosa, with peripheral arteriovenous structures of a neoangiogenous type. Multiaxial CT with angiography could not exclude an arteriovenous malformation within the uterine wall and residual chorionic tissue. During embolization, the angiograms showed the arteriovenous malformation in the projection of the uterus, with afferent vessels as bilateral uterine and cervicovaginal arteries and efferent vessels as bilateral parametric veins, internal iliac and ovarian veins.
Based on the clinical and imaging pictures, embolization of the uterine arteries was performed as a first step and laparoscopic clipping of the uterine arteries and hysterectomy with fallopian tubes as a second step. Postoperatively the patient improved and beta-chorionic gonadotropin levels decreased. She was discharged home on the 5th day with no complaints.
The clinical case demonstrates the important role of MRI and CT in the differential diagnosis and assessment of the zone and degree of chorionic villi ingrowth, aimed at determination of the possibility of organ-preserving treatment, or the need to perform a radical surgery should metroplasty be impossible.
Conclusion: If an additional intrauterine mass is visualized by ultrasound examination after pregnancy termination, the method of choice and final diagnosis is MRI, which is performed to exclude the ingrown chorionic villi and to assess the degree of their invasion. MRI also allows for assessment of the viability of the post-cesarean scar and the presence of neoangiogenesis areas at the periphery of the ingrowth zone. CT is a method of clarifying diagnostics used to exclude vascular malformations of the uterine wall.
Palavras-chave
Texto integral
Диагностика остаточной ткани и врастания ворсин хориона после выскабливания полости матки по причине неразвивающейся беременности, самопроизвольных прерываний беременности, медицинских абортов – малоизученная проблема. Особенно сложна дифференциальная диагностика данной патологии с хроническим эндометритом, полипами эндометрия, артериовенозными мальформациями стенки матки. Сегодня методом первичной диагностики беременности и остатков хориона в рубце признано ультразвуковое исследование (УЗИ) [1]. Однако отсутствие специфической ультразвуковой картины делает магнитно-резонансную (МРТ) и компьютерную (КТ) томографию методами выбора и окончательной диагностики, предоперационной подготовки пациенток. Врастание ворсин хориона относится к наиболее частым неопухолевым гестационным заболеваниям матери [1]. В случае несвоевременной диагностики оно может привести к прогрессированию и развитию объемных образований полости матки, таких как хорионэпителиома, хорионкарцинома, становящихся частой причиной материнской заболеваемости, смертности.
Стоит отметить, что наиболее часто врастание ворсин хориона по типу placenta accretа, placenta increta, placenta percreta происходит в случае беременности в рубце от кесарева сечения при его несостоятельности. Согласно определению И. В. Бариновой, морфологическим субстратом в данном случае можно назвать изменение содержания и соотношения таких компонентов стенки матки, встречающихся в норме, как слизистая оболочка, гладкомышечная ткань и сосуды, а также отсутствие или истончение децидуальной ткани и миометрия, рубцовые изменения стенки матки [2].
Помимо УЗИ для установки точного диагноза и планирования дальнейшей лечебной тактики (гистероскопия с выскабливанием полости матки, метропластика с иссечением несостоятельного рубца с вросшим хорионом, гистерэктомия) необходимо выполнение МРТ – с целью топографической оценки зоны врастания, а также дифференциальной диагностики различных степеней врастания плаценты. В случае глубоких вариантов врастания хориона (placenta increta, placenta percreta) характерно появление в миометрии и несостоятельном рубце, а также в параметрии патологически измененных сосудов, с утолщенными стенками, с формированием массивных зон неоангиогенеза по типу гипоинтенсивной ретроплацентарной сосудистой тени, анастомозов, артериовенозных шунтов, интерпретируемых как сосудистые мальформации стенки матки, возникающих в результате патологической плацентации [2].
Мультиспиральная КТ с контрастированием и выполнением ангиографии позволяет выявить наличие артериовенозных сосудистых шунтов, оценить протяженность и локализацию участка сосудистой мальформации для планирования лечебной тактики и определения необходимости привлечения сосудистых и эндоваскулярных хирургов [3, 4]. Выполнение эмболизации маточных артерий – неотъемлемая часть предоперационной подготовки пациенток с целью уменьшения степени кровотечения [5].
Клиническое наблюдение
Пациентка 39 лет. Из анамнеза известно, что всего у пациентки было 5 беременностей, из которых 3 беременности закончились рождением живых доношенных детей путем кесарева сечения, одна беременность была неразвивающаяся с последующим выскабливанием полости матки. В марте 2021 года наступила 5-я беременность и произошел полный самостоятельный выкидыш на сроке 4–5 недель. При поступлении в ФГБУ «НМИЦ АГП им. В. И. Кулакова» Минздрава России в апреле 2021 г. предъявляла жалобы на тазовые боли, продолжающееся слабоинтенсивное периодическое маточное кровотечение, слабость, головокружение, боли в молочных железах. На УЗИ, выполненном по месту жительства, визуализировалось образование в полости матки с развитым периферическим сосудистым кровотоком в режиме ультразвуковой доплерографии и наличием при цветовом доплеровском картировании множественных зон васкуляризации на периферии и в центре образования. В общем и биохимическом анализе крови патологических изменений не выявлялось. Специфические онкомаркеры – альфа-фетопротеин, раково-эмбриональный антиген, CA125, CA19-9, антиген НЕ-4 – в норме. Определялось увеличение бета-хорионического гонадотропина человека (бета-ХГЧ) до 344,6 мМЕд/мл (при норме < 10).
Пациентке выполнено МРТ-исследование на МР-томографе Siemens MAGNETOM Verio с индукцией магнитного поля 3T, с использованием стандартных катушек, в режимах Т1-взвешенного изображения (ВИ), Т2-ВИ, Т2-FS, FIESTA, DWI с получением изображений в сагиттальной, корональной и аксиальной плоскостях, динамическое внутривенное контрастирование (гадопентетовая кислота 0,2 мл/кг массы тела). Матка увеличена в размерах, с признаками снижения зональной дифференциации стенок, усиленным сосудистым компонентом, полость матки расширена с наличием примеси геморрагического содержимого, неравномерным утолщением эндометрия и пристеночными компонентами слизистой. В нижнем маточном сегменте определяется несостоятельный рубец от кесарева сечения, с наличием участка резко истонченной пролабирующей стенки матки слева и наличием дополнительного образования неоднородного сигнала, суммарно до 4,0 × 2,3 × 3,2 см, представленного фрагментами мягкотканного хориона (изоинтенсивного на Т2-ВИ), достигающего серозного покрова матки, и патологического сосудистого компонента в виде расширенных полнокровных сосудов, зон неоангиогенеза (рис. 1). На DWI признаков ограничения диффузии не определялось.
Рис. 1. Остатки вросшего хориона в несостоятельный рубец от кесарева сечения. Магнитно-резонансная томограмма, Т2-взвешенное изображение в сагиттальной (А), корональной (Б), аксиальной (В) плоскостях. Признаки наличия в проекции несостоятельного рубца от кесарева сечения фрагментов ткани вросшего хориона изоинтенсивного сигнала (отмечен звездочкой), с распространением до серозного покрова матки. Стрелками указаны гипоинтенсивные сосуды, зоны неоангиогенеза, артериовенозные сосудистые коллатерали
По наружной поверхности нижнего маточного сегмента и в параметрии определяется наличие полнокровной сосудистой сети с артериовенозными анастомозами. При контрастировании визуализируются фрагментарные участки гиперваскулярного накопления контраста вышеописанным образованием в рубцовой нише, а также определяется наличие артериовенозной сосудистой мальформации (рис. 2).
Рис. 2. Магнитно-резонансная томограмма, динамическое контрастное усиление в режиме Т1-взвешенного изображения FS. До контраста (А), в раннюю артериальную фазу (Б), паренхиматозную фазу (В), выделительную фазу (Г) определяются многочисленные патологические сосуды, зоны неоангиогенеза, сосудистые шунты как в стенке матки, так и в параметрии по типу артериовенозной мальформации
Для детализации сосудистого компонента артериовенозной мальформации, в том числе с целью планирования дальнейшей лечебной тактики, пациентке выполнено КТ-исследование (рис. 3). Обнаружено: тело матки увеличено, определяется образование в полости матки неясного генеза. В стенках матки сосудистая артериальная сеть с ранним сбросом контрастного вещества во внутреннюю подвздошную вену с двух сторон (диаметром 0,7 см справа, 0,8 см – слева), правую яичниковую вену (диаметром до 1,2 см), левую яичниковую вену (диаметром до 0,6 см).
Рис. 3. Компьютерная томограмма органов таза с контрастированием. Тело матки увеличено, в стенках матки сосудистая артериальная сеть (стрелки) с ранним сбросом контрастного вещества во внутреннюю подвздошную вену с двух сторон, правую и левую яичниковые вены (стрелка)
Исходя из клинической и визуальной картины, пациентке выполнено оперативное лечение. Первым этапом проведена эмболизация маточных артерий. Под местной анестезией раствором ропивакаина пунктирована правая лучевая артерия. Установлен интродьюсер 5F. Катетером НН последовательно катетеризированы левая и правая внутренние подвздошные артерии, выполнена ангиография. На ангиограммах: артериовенозная мальформация в проекции матки; афферентные артерии – маточные и цервиковагинальные – с обеих сторон, две ветви 1 мм в диаметре от левой внутренней подвздошной артерии; эфферентные сосуды – вены параметрия, внутренние подвздошные вены и яичниковые вены с обеих сторон (рис. 4).
Рис. 4. Данные рентгеноконтрастной ангиографии. А, Б – ангиограммы бассейнов правой и левой маточных артерий. Зоны патологической васкуляризации в проекции тела матки: массивная сеть измененных артерий и вен, ранний артериовенозный сброс в вены параметрия, внутренние подвздошные вены и яичниковые вены с обеих сторон. В, Г – ангиограммы бассейнов правой и левой цервиковагинальных артерий. Контрастирование зоны патологической васкуляризации в проекции шейки и нижнего отдела тела матки, ранний артериовенозный сброс в вены параметрия преимущественно слева и в левую внутреннюю подвздошную вену (стрелки)
Выполнена эмболизация маточных и цервиковагинальных артерий с обеих сторон материалом PVA (1000 мкм) и эмболами из гемостатической губки. На контрольных ангиограммах патологическое сосудистое сплетение не контрастируется, артериовенозный сброс устранен (рис. 5). Катетеры и интродьюсер удалены, выполнен компрессионный гемостаз, наложена асептическая давящая повязка. Контрастный препарат йодиксанол (320 мг йода/мл) – 300 мл. Эффективная доза – 1,8 мЗв.
Рис. 5. Контрольные снимки после эмболизации маточных и цервиковагинальных артерий. Ангиограммы бассейнов правой и левой внутренних подвздошных артерий. Правая маточная и цервиковагинальная артерии, а также патологическое сосудистое сплетение в их бассейне не контрастируются, ранний артериовенозный сброс устранен. Незначительное контрастирование сегмента патологической сети по единичной мелкой ветви внутренней подвздошной артерии справа, по двум мелким ветвям внутренней подвздошной артерии слева (указано стрелками)
Вторым этапом пациентке выполнена лапароскопия: тело матки увеличено до 14 недель беременности, в проекции рубца на матке от кесарева сечения определяется образование до 7 см, расположенное над мочевым пузырем, с переходом в левый параметрий, мягкой консистенции и легко кровоточащее. Определялась массивная сосудистая сеть в стенке матки и параметрии. Учитывая риск кровопотери, принято решение о невозможности проведения органосохраняющей операции. Пациентке произведено клипирование маточных артерий, гистерэктомия с маточными трубами.
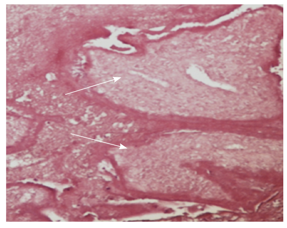
По данным гистологического исследования определялось врастание ворсин хориона первого триместра гестации в миометрий на всю глубину стенки матки до серозного покрова без прорастания последнего (placenta increta) (рис. 6).
Рис. 6. Микропрепарат. Ворсины хориона первого триместра с дистрофическими изменениями (отмечены стрелкой), замурованные в фибриновые массы в толще миометрия. Окраска гематоксилином и эозином; × 200
В послеоперационном периоде наблюдали улучшение состояния пациентки со снижением уровня бета-ХГЧ до 30 МЕ/л. Пациентка была выписана домой на 5-е сутки с полным отсутствием жалоб.
Обсуждение
Патология прикрепления ворсин хориона, включая врастание в рубец на матке от кесарева сечения и в миометрий, остается важной клинической проблемой и причиной повторных и нередко многократных оперативных вмешательств у женщин после прерывания и неразвивающейся беременности в анамнезе. Эта патология играет ведущую роль среди органоуносящих операций у женщин репродуктивного возраста. В ряде случаев она приводит к развитию артериовенозных мальформаций стенки матки и полости таза. Сложность диагностики данной патологии обусловлена тем, что артериовенозные мальформации матки могут иметь как врожденный, так и приобретенный характер [5]. Врожденная, или первичная, форма встречается редко, будучи результатом нарушения дифференцировки и формирования эмбриональных сосудов вследствие неблагоприятных тератогенных воздействий на мать в период формирования тканей плода [6]. Гистологически это подтверждается отсутствием типичных слоев сосудистой стенки с преобладанием глиальных и коллагеновых волокон [7]. Приобретенные, или вторичные, артериовенозные мальформации матки диагностируются чаще и представляют собой артериовенозные шунты между ветвями маточной артерии и венами стенки матки и параметрия [8]. Генез данных изменений изучен недостаточно, однако существует мнение, что эта патология возникает в результате многократного повреждения эндометрия и миометрия при оперативных вмешательствах на матке, кесаревом сечении, выскабливании полости матки, при хроническом эндометрите [9]. В данных случаях возможно внедрение ворсин хориона в патологически измененный рубец или миометрий с последующим формированием артериовенозной мальформации матки, вторичной по отношению к беременности. Наиболее вероятно, это связано с эрозивной трофобластической тканью ввиду эндоваскулярной инвазии трофобласта, обеспечивающей кровоснабжение в пределах дефектной фиброзной ткани в месте рубца от кесарева сечения.
Приобретенные артериовенозные мальформации в основном носят симптоматический характер и обычно возникают у повторнородящих женщин детородного возраста. Маловероятно обнаружение приобретенной артериовенозной мальформации у нерожавших женщин без гинекологического вмешательства в анамнезе [10, 11]. Для данной клинической ситуации характерно формирование анастомозов, артериовенозных шунтов в полости таза, что значительно усложняет ход оперативного вмешательства и сопряжено с привлечением сосудистых хирургов, использованием эндоваскулярных технологий [12].
Таким образом, артериовенозные мальформации стенки матки остаются серьезной клинической проблемой, так как приводят к массивным интраоперационным кровопотерям вплоть до летального исхода [13]. Если у пациентки с кровотечением обнаружена артериовенозная мальформация стенки матки, самое важное при выборе лечебной тактики – решить вопрос, имеется ли в зоне патологических изменений ткань хориона. Ее наличие существенно меняет стратегию ведения пациентки, так как может потребоваться не только привлечение смежных специалистов и кровосберегающих технологий, но и проведение цитостатической терапии [14]. При обнаружении остатков хориона необходимо также иметь четкое представление о степени и глубине его распространения в стенку матки и рубец от кесарева сечения, поскольку при глубокой инвазии хориона до серозного покрова матки и за его пределы, аналогично глубоким вариантам врастания плаценты по типу placenta increta и placenta percreta, пациенткам обычно выполняется гистерэктомия ввиду риска массивного кровотечения и сложности полного удаления остаточной ткани хориона. В случае ее оставления в стенке матки пациентка попадает в группу риска развития трофобластических заболеваний, наиболее опасное из которых – хорионкарцинома, обладающая высокой степенью злокачественности [15].
Наш клинический пример подчеркивает важную роль МРТ и КТ в дифференциальной диагностике и оценке зоны врастания ворсин хориона, определении степени врастания, выявлении особенностей кровоснабжения патологической зоны и демонстрирует возможности каждого из методов.
Заключение
Приведенное клиническое наблюдение иллюстрирует, что в случае наличия в анамнезе пациентки прерывания беременности малого срока, клинических симптомов в виде продолжающегося аномального маточного кровотечения, выявления при УЗИ дополнительных образований в полости матки и рубцовой нише методом диагностического выбора является МРТ. С помощью МРТ можно определить наличие/отсутствие вросшего хориона и степень его инвазии. МРТ также позволяет оценить состоятельность рубца от кесарева сечения, выявить отграничение зон неоангиогенеза по периферии от зоны врастания. КТ представляет собой метод уточняющей диагностики, имеющий целью топографическую визуализацию сосудистых мальформаций стенки матки с дальнейшим планированием акушерами-гинекологами возможности проведения органосохраняющего лечения либо принятием решения о необходимости выполнения гистерэктомии. На данном клиническом примере показаны возможности всех методов лучевой диагностики: КТ, МРТ, рентгеноконтрастной ангиографии.
Дополнительная информация
Согласие пациента
Пациентка добровольно подписала информированное согласие на публикацию персональной медицинской информации в обезличенной форме и фотографий в журнале «Альманах клинической медицины».
Финансирование
Исследование проводилось без дополнительного финансирования.
Конфликт интересов
Авторы декларируют отсутствие явных и потенциальных конфликтов интересов, связанных с публикацией настоящей статьи.
Участие авторов
П.В. Кулабухова – проведение МРТ-исследования, написание протокола и заключения, концепция и дизайн статьи, сбор и обработка материала, анализ полученных данных, написание текста; О. С. Кондрашина – проведение КТ-исследования, написание протокола и заключения, концепция и дизайн статьи, написание текста; Д.М. Акинфиев – проведение эмболизации маточных артерий, анализ полученных данных, написание текста; В.Г. Быченко – концепция и дизайн статьи, редактирование текста. Все авторы прочли и одобрили финальную версию статьи перед публикацией, согласны нести ответственность за все аспекты работы и гарантируют, что ими надлежащим образом были рассмотрены и решены вопросы, связанные с точностью и добросовестностью всех частей работы.
Sobre autores
Polina Kulabukhova
National Medical Research Center for Obstetrics, Gynecology and Perinatology named after academician V.I. Kulakov
Autor responsável pela correspondência
Email: kulpola@mail.ru
ORCID ID: 0000-0002-0363-3669
Radiologist, Junior Research Fellow, Specialist of Magnetic Resonance Imaging, Department of Diagnostic Radiology
Rússia, ul. Akademika Oparina 4, Moscow, 117997Olga Kondrashina
National Medical Research Center for Obstetrics, Gynecology and Perinatology named after academician V.I. Kulakov
Email: oskondrashina@gmail.com
ORCID ID: 0000-0002-9769-5173
Radiologist, Specialist of Computed Tomography, Department of Diagnostic Radiology
Rússia, ul. Akademika Oparina 4, Moscow, 117997Dmitry Akinfiev
National Medical Research Center for Obstetrics, Gynecology and Perinatology named after academician V.I. Kulakov
Email: akinfiev_dmitrii@list.ru
ORCID ID: 0000-0003-4662-6757
X-ray endovascular Surgeon, Department of Diagnostic Radiology
Rússia, ul. Akademika Oparina 4, Moscow, 117997Vladimir Bychenko
National Medical Research Center for Obstetrics, Gynecology and Perinatology named after academician V.I. Kulakov
Email: v_bychenko@oparina4.ru
ORCID ID: 0000-0002-1459-4124
MD, PhD, Radiologist, Head of Department of Diagnostic Radiology
Rússia, ul. Akademika Oparina 4, Moscow, 117997Bibliografia
- Timor-Tritsch IE, Haynes MC, Monteagudo A, Khatib N, Kovács S. Ultrasound diagnosis and management of acquired uterine enhanced myometrial vascularity/arteriovenous malformations. Am J Obstet Gynecol. 2016;214(6):731.e1–731.e10. doi: 10.1016/j.ajog.2015.12.024.
- Barinova IV, Kondrikov NI, Voloshchuk IN, Chechneva MA, Shchukina NA, Petrukhin VA. [Features of the pathogenesis of the placenta growing in the scar after cesarean section]. Arkhiv Patologii [Archive of Pathology]. 2018;80(2):18–23. Russian. doi: 10.17116/patol201880218-23.
- Shafqat G, Khan A, Basharat S. Uterine arteriovenous malformation complicating a scar ectopic pregnancy. Radiol Case Rep. 2022;17(5):1670–1673. doi: 10.1016/j.radcr.2022.02.063.
- Umezu T, Iwase A, Ota T, Suzuki K, Nakagawa A, Nakahara T, Takikawa S, Kobayashi H, Manabe S, Suzuki K, Goto M, Kikkawa F. Three-dimensional CT angiography is useful for diagnosis of postabortion uterine hemorrhage: 3 case reports and review of the literature. J Minim Invasive Gynecol. 2010;17(2):246–251. doi: 10.1016/j.jmig.2009.11.012.
- Beller U, Rosen RJ, Beckman EM, Markoff G, Berenstein A. Congenital arteriovenous malformation of the female pelvis: a gynecologic perspective. Am J Obstet Gynecol. 1988;159(5):1153–1160. doi: 10.1016/0002-9378(88)90435-8.
- Kasznica J, Nisar N. Congenital vascular malformation of the uterus in a stillborn: a case report. Hum Pathol. 1995;26(2):240–241. doi: 10.1016/0046-8177(95)90043-8.
- Vijayakumar A, Srinivas A, Chandrashekar BM, Vijayakumar A. Uterine vascular lesions. Rev Obstet Gynecol. 2013;6(2):69–79.
- O'Brien P, Neyastani A, Buckley AR, Chang SD, Legiehn GM. Uterine arteriovenous malformations: from diagnosis to treatment. J Ultrasound Med. 2006;25(11):1387–1392. doi: 10.7863/jum.2006.25.11.1387.
- Elia G, Counsell C, Singer SJ. Uterine artery malformation as a hidden cause of severe uterine bleeding. A case report. J Reprod Med. 2001;46(4):398–400.
- Ishihara T, Kanasaki H, Oride A, Hara T, Kyo S. Differential diagnosis and management of placental polyp and uterine arteriovenous malformation: Case reports and review of the literature. Womens Health (Lond). 2016;12(6):538–543. doi: 10.1177/1745505717692590.
- Jauniaux E, Ayres-de-Campos D; FIGO Placenta Accreta Diagnosis and Management Expert Consensus Panel. FIGO consensus guidelines on placenta accreta spectrum disorders: Introduction. Int J Gynaecol Obstet. 2018;140(3):261–264. doi: 10.1002/ijgo.12406.
- Vinitsky AA, Shmakov RG, Chuprynin VD. [Comparative evaluation of the efficiency of surgical hemostatic techniques during organ-sparing delivery in patients with placenta increta]. Obstetrics and Gynecology (Moscow). 2017;(7):68–74. Russian. doi: 10.18565/aig.2017.7.68-74.
- Hoffman MK, Meilstrup JW, Shackelford DP, Kaminski PF. Arteriovenous malformations of the uterus: an uncommon cause of vaginal bleeding. Obstet Gynecol Surv. 1997;52(12):736–740. doi: 10.1097/00006254-199712000-00004.
- Kochhar PK, Sarangal M, Gupta U. Conservative management of cesarean scar pregnancy with uterine arteriovenous malformation: a case report. J Reprod Med. 2013;58(1–2):81–84.
- Lurain JR. Gestational trophoblastic disease I: epidemiology, pathology, clinical presentation and diagnosis of gestational trophoblastic disease, and management of hydatidiform mole. Am J Obstet Gynecol. 2010;203(6):531–539. doi: 10.1016/j.ajog.2010.06.073.
Arquivos suplementares












