Комплексный анализ стромальных и сывороточных маркеров при раке желудка
- Авторы: Ковалева О.В.1, Подлесная П.А.1, Чанг В.Л.2, Огнерубов Н.А.2, Грачев А.Н.1, Козлов Н.А.1, Стилиди И.С.1, Кушлинский Н.Е.1
-
Учреждения:
- Национальный медицинский исследовательский центр онкологии им. Н.Н. Блохина Минздрава России
- Тамбовский государственный университет им. Г.Р. Державина Министерства образования и науки
- Выпуск: Том 14, № 4 (2022)
- Страницы: 75-83
- Раздел: Экспериментальные статьи
- URL: https://journal-vniispk.ru/2075-8251/article/view/233382
- DOI: https://doi.org/10.32607/actanaturae.11753
- ID: 233382
Цитировать
Аннотация
Комплексный анализ фенотипа клеток воспалительного инфильтрата опухолевой стромы является перспективным направлением молекулярной онкологии. Также крайне актуальным представляется изучение не только мембраносвязанных форм различных молекул, связанных с иммунной регуляцией, но и их растворимых форм. Проведен комплексный анализ тканевых и циркулирующих форм белков PD-1 и PD-L1, а также макрофагов и В-клеток стромы злокачественных опухолей желудка для оценки их клинической и прогностической значимости. Проведен иммуноферментный и иммуногистохимический анализ 63 образцов опухолей и плазмы крови от больных раком желудка. Показано, что злокачественные опухоли желудка сильно инфильтрированы В-клетками, количество которых сравнимо с содержанием макрофагов. Обнаружена ассоциация экспрессии PU.1 с размером опухоли, а именно, опухоли большего размера содержат меньше PU.1+ инфильтрирующих клеток (p = 0.005). Не выявлено клинической значимости CD20+ и CD163+ клеток, однако их количество в строме было больше на более ранних стадиях заболевания и при отсутствии метастазов. Показано также, что содержание PD-L1 в опухолевых клетках не ассоциировано с клиническими и морфологическими характеристиками рака желудка, в то время как экспрессия PD-L1 в стромальных клетках опухоли ассоциирована с наличием отдаленных метастазов. Анализ прогностической значимости исследованных маркеров показал, что CD163 статистически значимо ассоциирован с неблагоприятным прогнозом данного заболевания (p = 0.019). Отмечена также тенденция к благоприятному прогнозу в случае экспрессии PD-L1 в опухолевых клетках (p = 0.122). Полученные нами результаты свидетельствуют о перспективности изучения растворимых и тканевых маркеров опухолевой стромы для прогнозирования течения рака желудка. Актуальным представляется поиск комбинаций маркеров, комплексный анализ которых поможет персонализировать современную противоопухолевую терапию.
Ключевые слова
Полный текст
ВВЕДЕНИЕ
Рак желудка (РЖ) – одно из наиболее распространенных видов онкологических заболеваний во всем мире и одна из основных причин смертности от онкологических заболеваний. Заболеваемость РЖ у мужчин выше, чем у женщин [1]. К возникновению РЖ приводит большое количество различных факторов, включая инфекцию Helicobacter pylori [2], курение [3], особенности питания [2], генетические нарушения [4] и другие факторы.
Несмотря на известность большинства этиологических факторов возникновения РЖ, раннюю диагностику этого заболевания затрудняет его бессимптомное развитие, что часто приводит к выявлению данной патологии уже на поздних стадиях. При распространенном РЖ применяют стандартные комбинированные схемы терапии, включающие фторпиримидин и препараты платины (а также трастузумаб в случае HER2-положительных опухолей), в качестве препаратов первой линии и паклитаксел с рамуцирумабом или без него в качестве второй линии. Однако медиана выживаемости при распространенном РЖ все еще составляет примерно 12–15 месяцев, поэтому, безусловно, требуется внедрение новых методов лечения [5–7]. В последнее время новым стандартным методом лечения нескольких злокачественных опухолей, включая распространенный РЖ, стали ингибиторы иммунных контрольных точек (ИКИ). Однако успехи иммунотерапии РЖ не очень велики. Проводится большое количество клинических исследований, в которых для достижения максимального эффекта используют различные комбинации иммуно- и химиотерапевтических препаратов. Спорным остается вопрос, влияет ли количество PD-L1+ опухолевых клеток на эффективность терапии и нужно ли учитывать их количество при назначении соответствующего лечения. Кроме того, на успех терапии может повлиять качественный и количественный состав микроокружения опухоли. Например, повышенное количество Th1-клеток способствует воспалению и развитию РЖ [8], а содержание В-клеток, экспрессирующих IL-10, влияет на продукцию цитокинов CD4+ и CD8+ Т-клетками [9].
К основным типам клеток иммунного инфильтрата опухоли относятся макрофаги и Т-клетки, а также В-клетки. Известно, что количество и состав клеток опухолевого микроокружения могут быть как прогностическим фактором течения заболевания, так и маркером ответа на проводимую терапию. Транскрипционный фактор PU.1, играющий важную роль в гемопоэзе, экспрессируется на высоком уровне в макрофагах. Ранее мы показали, что PU.1 можно использовать в качестве маркера макрофагов в строме различных типов солидных опухолей [10]. CD3 является поверхностным маркером зрелых Т-клеток и используется для оценки их содержания в различных типах тканей. Трансмембранный белок CD20 экспрессируется на поверхности B-клеток-предшественников и зрелых B-клеток, что позволяет использовать его в различных клинических исследованиях в качестве общего B-клеточного маркера.
В нашей работе проведен комплексный анализ экспрессии PD-L1 в опухолевых и стромальных клетках РЖ, а также определено содержание растворимой формы PD-L1 в плазме крови пациентов. Проанализировано также содержание макрофагов и ассоциированных с опухолью В-клеток в строме опухолей РЖ.
ЭКСПЕРИМЕНТАЛЬНАЯ ЧАСТЬ
В исследование включены 63 первичных больных РЖ с различными стадиями опухолевого процесса, проходивших обследование и лечение в Национальном медицинском исследовательском центре онкологии им. Н.Н. Блохина, а также 60 здоровых доноров. Все процедуры, выполненные в исследовании с участием больных и здоровых доноров, соответствуют стандартам этического комитета организации и Хельсинкской декларации 1964 года и ее последующим изменениям или сопоставимым нормам. От каждого из включенных в исследование участника получено информированное добровольное согласие. Клинический диагноз «рак желудка» у всех пациентов подтвержден данными морфологического исследования опухоли согласно Международной гистологической классификации опухолей пищеварительной системы (ВОЗ, 2019). Описание выборки представлено в табл. 1.
Таблица 1. Клинико-морфологические характеристики больных раком желудка
Характеристика | Число случаев, % |
Возраст ≤61 >61 | 32 (51) 31 (49) |
Пол Мужской Женский | 35 (56) 28 (44) |
Гистология Аденокарцинома Перстневидноклеточный рак Недифференцированный рак | 52 (82.5) 10 (16) 1 (1.5) |
Стадия I–II III–IV | 25 (40) 38 (60) |
Локализация Дистальный отдел КЭР (кардиоэзофагеальный рак) Проксимальный отдел Тело желудка Тотальное поражение | 14 (22) 3 (5) 16 (25) 26 (42) 4 (6) |
Размер опухоли (Т) T1–T2 T3–T4 | 13 (21) 50 (79) |
Наличие регионарных метастазов (N) N0 N+ | 24 (38) 39 (62) |
Наличие отдаленных метастазов (M) M0 M+ | 54 (86) 9 (14) |
Степень дифференцировки (G) G1–G2 G3 | 19 (30) 44 (70) |
Концентрацию белков sPD-L1 и sPD-1 определяли в плазме крови, полученной по стандартной методике до начала специфического лечения, с помощью наборов реактивов для иммуноферментного анализа: Human PD-L1 Platinum ELISA, Human PD-1 ELISA kit (Affimetrix, eBioscience, США) в соответствии с инструкциями производителя. Измерения проводили на автоматическом иммуноферментном анализаторе BEP 2000 Advance (Siemens Healthcare Diagnostics, Германия). Содержание маркеров выражали в пикограммах (пг) на 1 мл плазмы крови.
Иммуногистохимическое (ИГХ) исследование CD163, PU.1 и CD20 выполнено по стандартной методике на срезах опухолевой ткани. Для демаскировки антигена использовали Tрис-EDTA-буфер pH 9.0 («ПраймБиоМед», Россия). Первичные антитела к PU.1 (4G6; «ПраймБиоМед», разведение 1 : 200), CD163 (10D6; BIOCARE, США, разведение 1 : 100) и CD20 (клон PBM-12F1; «ПраймБиоМед», разведение 1 : 100) инкубировали в течение 30 мин. Использовали систему детекции PrimeVision Ms/Rb HRP/DAB (78-310004, «ПраймБиоМед») согласно инструкциям производителя.
Полученные препараты анализировали с помощью микроскопа OLYMPUS BX53, камеры Lumenera INFINITY2-2C и программного обеспечения Infinity analyze. Оценивали экспрессию CD163, PU.1 и CD20 в строме опухоли. В каждом случае количество CD163, PU.1 и CD20 положительных клеток подсчитывали при увеличении ×200 в пяти независимых полях зрения. Образец считали положительным при наличии хотя бы одной специфически окрашенной клетки. Содержание CD163, PU.1 и CD20 в строме опухоли выражали как среднее значение количества клеток в поле зрения.
Полученные данные обрабатывали с помощью программы GraphPad Prizm 9.0. Для сравнения показателей и анализа их взаимосвязей использовали непараметрический критерий Манна–Уитни и коэффициент ранговой корреляции Спирмена. Для анализа общей выживаемости больных разделили на две группы сравнения в зависимости от медианы содержания исследуемых белков. Общую выживаемость анализировали путем построения кривых дожития по методу Каплана–Майера. Статистическую значимость различий оценивали с использованием логарифмического рангового критерия. Потенциальное влияние различных факторов риска на выживаемость оценивали с помощью многофакторного анализа с использованием непараметрической модели пропорциональных рисков Кокса. Различия и корреляции считали статистически значимыми при p < 0.05.
РЕЗУЛЬТАТЫ
Экспрессию PU.1, CD163 и CD20 выявили в 100% исследованных образцов РЖ. Распределение клеток, содержащих PU.1, CD163 и CD20, в образцах РЖ представлено на рис. 1.
Рис. 1. Распределение PU.1+, CD163+ и CD20+ клеток в строме опухолей больных РЖ (А) и пример иммуногистохимического окрашивания опухолей желудка с использованием антител к PU.1, CD163 и CD20 (×100) (Б)
Анализ результатов исследования показал, что медиана содержания PU.1+ клеток в образце составила 34.8 (0.4–77.8) клеток в поле зрения, CD163+ клеток – 17.6 (0.8–66.4), CD20+ клеток – 32.2 (3.2–91.2). Следует отметить, что в опухолях желудка B-клетки представлены в таком же количестве, как и PU.1+ макрофаги.
Связь количества PU.1+, CD163+ и CD20+ клеток c клинико-морфологическими характеристиками РЖ
На следующем этапе работы сопоставили содержание PU.1+, CD20+ и CD163+ клеток в строме опухоли с клинико-морфологическими характеристиками заболевания (табл. 2).
Таблица 2. Ассоциация PU.1+, CD163+ и CD20+ клеток в строме опухоли с клинико-морфологическими характеристиками заболевания
Характеристика | PU.1 (число клеток) | CD163 (число клеток) | CD20 (число клеток) | |||
Медиана (25–75%) | р | Медиана (25–75%) | p | Медиана (25–75%) | p | |
Возраст ≤61 >61 | 35.8 (23.4–42.7) 34.2 (20.2–42.0) | 0.488 | 17.2 (9.05–22.3) 18.2 (13.2–25.2) | 0.297 | 28.2 (19.4–45.4) 34.4 (20.8–45.2) | 0.418 |
Пол Мужской Женский | 33.6 (20.2–37.6) 37.3 (26.9–44.2) | 0.150 | 16.2 (10.4–24.4) 18.0 (12.9–21.1) | 0.713 | 29.4 (18.8–45.2) 33.9 (22.9–44.9) | 0.403 |
Гистология Аденокарцинома Перстневидноклеточный рак Недифференцированный рак | 35.0 (20.8–41.9) 29.7 (23.3–37.7) 63.4 (63.4–63.4) | 0.216 | 17.6 (11.8–24.1) 17.5 (10.8–19.7) 28.2 (28.2–28.2) | 0.459 | 33.3 (19.9–44.8) 30.5 (22.1–47.8) 19.6 (19.6–19.6) | 0.574 |
Стадия I–II III–IV | 35.8 (27.5–44.8) 33.8 (18.0–39.5) | 0.249 | 17.8 (13.7–20.7) 16.7 (10.1–24.6) | 0.623 | 34.4 (21.6–46.3) 29.4 (19.5–43.9) | 0.424 |
Локализация Дистальный отдел КЭР Проксимальный отдел Тело желудка Тотальное поражение | 34.8 (28.9–44.1) 35.8 (0.4–41.8) 33.6 (12.5–41.2) 33.4 (24.4–39.8) 48.4 (38.1–61.0) | 0.226 | 17.5 (12.4–23.4) 19.4 (14.8–25.2) 17.3 (11.8–24.1) 18.1 (11.6–23.6) 11.1 (7.7–24.5) | 0.824 | 33.8 (24.7–43.1) 23.4 (6.0–24.6) 28.8 (13.3–52.4) 37.7 (22.3–47.3) 26.5 (18.6–41.1) | 0.316 |
Размер опухоли (Т) T1–T2 T3–T4 | 41.8 (35.5–54.4) 32.9 (19.1–38.7) | 0.005* | 17.8 (14.5–23.0) 17.6 (10.1–23.4) | 0.504 | 36.0 (26.1–48.1) 29.4 (19.5–43.9) | 0.277 |
Наличие регионарных метастазов (N) N0 N+ | 35.5 (25.3–42.8) 34.8 (20.2–41.4) | 0.733 | 17.3 (12.9–20.0) 17.8 (11.4–28.2) | 0.437 | 33.3 (19.9–44.4) 29.4 (20.6–45.2) | 0.947 |
Наличие отдаленных метастазов (M) M0 M+ | 34.8 (25.6–41.9) 35.4 (13.6–48.6) | 0.889 | 17.6 (11.2–23.4) 18.4 (12.8–25.4) | 0.598 | 33.3 (21.1–45.3) 29.4 (10.6–40.2) | 0.214 |
Степень дифференцировки (G) G1–G2 G3–G4 | 37.6 (25.0–49.8) 34.2 (18.7–38.9) | 0.131 | 19.0 (13.2–25.8) 16.2 (10.9–21.5) | 0.448 | 33.2 (22.0–43.6) 33.4 (18.6–45.4) | 0.796 |
*Статистически значимо.
Проведенный анализ показал, что содержание PU.1 значимо ассоциировано с размером опухоли, и именно опухоли большего размера содержат меньше PU.1+ инфильтрирующих клеток. Также следует отметить различия в содержании PU.1+ и CD163+ клеток в зависимости от локализации опухоли. Так, наибольшее количество PU.1+ клеток и наименьшее количество CD163+ клеток выявлено при тотальном поражении желудка, однако эти наблюдения не достигали статистической значимости.
Содержание PD-1 и PD-L1 в образцах опухоли больных РЖ
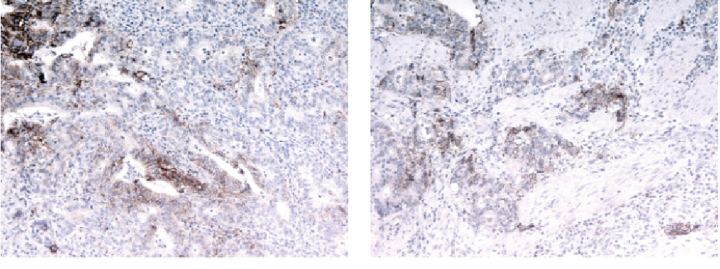
Помимо анализа экспрессии стромальных маркеров, оценили тканевое содержание PD-L1 в образцах РЖ. Примеры иммуногистохимического окрашивания на PD-L1 представлены на рис. 2.
Рис. 2. Экспрессия PD-L1 в образцах РЖ (×100)
Экспрессия PD-L1 в опухолевых клетках отмечена в 35% (22 из 63) образцов. Экспрессию PD-L1 в стромальных клетках выявили в 60% (38 из 63) образцов. Далее проанализировали ассоциацию между содержанием PD-L1 и клинико-морфологическими характеристиками заболевания (табл. 3).
Таблица 3. Ассоциация содержания PD-L1 в опухолевых клетках и в строме опухоли с клинико-морфологическими характеристиками заболевания
Характеристика | PD-L1, опухоль (n) | PD-L1, строма (n) | ||||
+ | - | p | + | - | p | |
Возраст ≤61 >61 | 8 14 | 24 17 | 0.117 | 18 20 | 14 11 | 0.609 |
Пол Мужской Женский | 12 10 | 23 18 | >0.999 | 18 20 | 17 8 | 0.127 |
Гистология Аденокарцинома Перстневидноклеточный рак Недифференцированный рак | 19 3 0 | 33 7 1 | 0.704 | 32 5 1 | 20 5 0 | 0.567 |
Стадия I–II III–IV | 8 14 | 17 24 | 0.790 | 16 22 | 9 15 | 0.793 |
Локализация Дистальный отдел КЭР Проксимальный отдел Тело желудка Тотальное поражение | 3 0 7 11 1 | 11 3 9 15 3 | 0.396 | 8 2 10 16 2 | 6 1 6 10 2 | 0.987 |
Размер опухоли (Т) T1–T2 T3–T4 | 3 19 | 10 31 | 0.515 | 11 27 | 2 23 | 0.058 |
Наличие регионарных метастазов (N) N0 N+ | 7 15 | 17 24 | 0.588 | 13 25 | 11 14 | 0.597 |
Наличие отдаленных метастазов (M) M0 M+ | 21 1 | 33 8 | 0.144 | 36 2 | 18 7 | 0.023* |
Дифференцировка (G) G1–G2 G3 | 7 12 | 12 21 | >0.999 | 14 18 | 5 15 | 0.239 |
*Статистически значимо.
Проведенное исследование показало, что содержание PD-L1 в опухолевых клетках не ассоциировано с клиническими и морфологическими характеристиками РЖ. Экспрессия PD-L1 в стромальных клетках опухоли ассоциирована с отдаленными метастазами, именно при их наличии реже наблюдали экспрессию PD-L1 в строме первичной опухоли.
Растворимые формы PD-1 и PD-L1
Дополнительно проведен анализ содержания растворимых форм (sPD-1, sPD-L1) контрольной точки иммунитета PD-1/PD-L1 в плазме крови больных РЖ для выявления корреляций между их содержанием в плазме крови, тканевой экспрессией и прогностической значимостью.
На первом этапе работы мы оценили диагностический потенциал исследованных белков. Медиана содержания sPD-1 и sPD-L1 в плазме крови здоровых доноров составила 29.25 (14.9–45.5) и 36.23 (9.83–73.1) пг/мл соответственно, в группе больных РЖ – 12.57 (7.7–19.7) и 21.83 (10.1–74.3) пг/мл. Проведение статистического анализа показало, что содержание растворимой формы рецептора sPD-1 у больных РЖ значимо ниже, чем у здоровых доноров. Уровни sPD-L1 в группах здоровых доноров и больных РЖ не различались.
Корреляционный анализ растворимых и тканевых форм исследованных белков
Корреляцию уровней исследуемых белков анализировали с использованием коэффициента ранговой корреляции Спирмена. Результаты представлены на рис. 3.
Рис. 3. Корреляционный анализ тканевых и сывороточных уровней PD-1, PD-L1, PU.1, CD163 и CD20 у больных раком желудка
Показано, что содержание в плазме крови растворимой формы рецептора sPD-1 обратно коррелирует с содержанием в плазме крови sPD-L1 и прямо коррелирует с тканевой экспрессией PD-L1 в стромальных клетках (r = -0.251; p = 0.047 и r = 0.255; p = 0.044 соответственно). Также экспрессия PD-L1 в стромальных клетках опухолей желудка прямо коррелировала с экспрессией PD-L1 в опухолевых клетках и содержанием всех исследованных стромальных маркеров. Аналогичную картину наблюдали и для B-клеток. А именно, содержание CD20+ В-клеток в строме опухолей положительно статистически значимо коррелирует как с содержанием макрофагов, так и с экспрессией PD-L1 и в строме, и в опухолевых клетках.
Прогностическая значимость PD-L1/PD-1 у больных РЖ
Нами проведен анализ прогностической значимости исследованных маркеров и их комбинаций у больных РЖ. Для анализа показателей выживаемости пациентов распределили на две группы: с высоким и низким содержанием растворимых форм маркеров относительно медианы. В случае тканевой экспрессии PD-L1 пациентов распределяли на две группы по наличию/отсутствию этого белка отдельно в опухолевых и стромальных клетках. Дополнительно проанализировали выживаемость в зависимости от комплексного содержания как растворимой sPD-L1, так и тканевой формы PD-L1. Графики выживаемости больных представлены на рис. 4.
Рис. 4. Анализ общей выживаемости больных РЖ в зависимости от содержания растворимых (sPD-L1, sPD-1) и тканевых (PD-L1, PD-1) форм основных компонентов контрольной точки иммунитета PD-1/PD-L1
В данном исследовании не была установлена связь между уровнем sPD-1 и sPD-L1 при РЖ и прогнозом выживаемости. Аналогичную картину наблюдали в случае тканевой формы PD-L1, однако следует отметить тенденцию к прогностической значимости PD-L1, а именно, высокий уровень этого белка в опухолевых клетках РЖ является более благоприятным прогностическим фактором, в отличие от низкой экспрессии маркера (p = 0.122). Проведение комплексного анализа показало, что высокое содержание одновременно тканевой и растворимой форм PD-L1 также не является прогностическим маркером выживаемости при РЖ.
Далее проанализировали прогностическую значимость PU.1, CD20 и CD163 при РЖ. Результаты представлены на рис. 5.
Рис. 5. Анализ общей выживаемости больных РЖ в зависимости от содержания PU.1, CD163 и CD20 в строме опухолей
Как следует из представленных на рис. 5 данных, стромальные маркеры (PU.1, CD163, CD20) не имеют прогностической значимости при РЖ.
Результаты многофакторного статистического анализа прогностической значимости всех исследованных маркеров представлены в табл. 4.
Таблица 4. Статистический анализ прогностической значимости sPD-1, sPD-L1, PD-L1, CD20, CD163 и PU.1 при раке желудка
Показатель | Однофакторный анализ | Многофакторный анализ | ||||
HR | 95% CI | p | HR | 95% CI | p | |
sPD-1 (высокий/низкий) | 1.443 | (0.646–3.226) | 0.366 | 0.971 | (0.915–1.013) | 0.234 |
sPD-L1 (высокий/низкий) | 1.038 | (0.466–2.315) | 0.927 | 0.999 | (0.988–1.008) | 0.780 |
PD-L1 (опухоль) (высокий/низкий) | 0.524 | (0.235–1.167) | 0.122 | 0.480 | (0.150–1.406) | 0.193 |
PD-L1 (строма) (высокий/низкий) | 0.721 | (0.316–1.644) | 0.419 | 0.954 | (0.332–2.564) | 0.927 |
CD20 (высокий/низкий) | 0.876 | (0.393–1.953) | 0.745 | 0.992 | (0.965–1.016) | 0.526 |
CD163 (высокий/низкий) | 1.509 | (0.677–3.361) | 0.316 | 1.053 | (1.007–1.098) | 0.019* |
PU.1 (высокий/низкий) | 0.654 | (0.292–1.466) | 0.319 | 0.991 | (0.963–1.018) | 0.497 |
* Статистически значимо.
С использованием регрессионного анализа Кокса показано, что высокое содержание CD163 при РЖ можно рассматривать как независимый прогностический фактор, ассоциированный со снижением показателей общей выживаемости.
ОБСУЖДЕНИЕ
Клиническая и прогностическая значимость микроокружения опухолей желудка активно изучается в настоящее время. Нами проведен анализ содержания PU.1+, CD163+ и CD20+ в строме опухолей желудка и оценена их клиническая и прогностическая значимость. В контексте солидных опухолей изучена клиническая значимость экспрессии PU.1 у больных раком молочной железы и глиомами [11, 12], причем показана ассоциация его экспрессии с прогрессией и неблагоприятным прогнозом при обеих нозологиях. Экспрессия PU.1 изучена также при немелкоклеточном раке легкого (НМРЛ) [13], раке толстой кишки [14] и пищевода [10]. Изучению экспрессии PU.1 при РЖ посвящено одно исследование, в котором показано, что экспрессия PU.1 значительно повышена в опухолевой ткани желудка по сравнению с относительной нормой и ассоциирована с неблагоприятным прогнозом и прогрессированием заболевания. Более того, высокая экспрессия PU.1 положительно коррелирует с количеством активированных CD4 Т-клеток памяти, покоящихся NK-клеток, макрофагов М2, покоящихся дендритных клеток и нейтрофилов в строме опухоли [15]. Проведенное нами исследование не выявило прогностической значимости этого белка, однако мы наблюдали положительную корреляцию между содержанием PU.1+ клеток, макрофагов и В-клеток, а также PD-L1+ клеток в опухолевой строме, что согласуется с опубликованными данными.
Оценке содержания CD163+ макрофагов в опухолях желудка посвящено большое количество исследований, однако их результаты достаточно противоречивы. Экспрессия CD163 часто ассоциируется с неблагоприятным прогнозом при различных солидных опухолях [16]. Однако CD163 может быть маркером хорошего прогноза при опухолях желудочно-кишечного тракта, в частности при раке пищевода [17] и раке толстой кишки [18]. Согласно данным однофакторного анализа, повышенная плотность CD163+ макрофагов в строме опухоли при РЖ ассоциирована с активацией иммунного ответа и улучшением выживаемости пациентов [19]. Опубликованы и противоположные результаты. По данным исследования 148 образцов опухолевой ткани высокая инфильтрация CD68+/CD163+ может быть маркером неблагоприятного прогноза [20]. Показано также, что повышенное содержание CD163+ клеток ассоциировано с большим размером и низкой дифференцировкой опухоли, метастазами в регионарных лимфоузлах. Более того, плотность CD163 повышалась с увеличением глубины инвазии, стадии заболевания и повышением экспрессии маркеров опухолевых стволовых клеток. Установлено также, что повышенная экспрессия CD163 ассоциирована с рецидивированием заболевания [21, 22]. Полученные нами данные согласуются с результатами, согласно которым именно высокое содержание CD163+ клеток в опухолях является независимым маркером неблагоприятного прогноза при РЖ. Опубликованы также данные, согласно которым повышенная экспрессия CD163 характерна для PD-L1-положительного РЖ в сравнении с PD-L1-отрицательным [23]. Нами показано, что содержание CD163+ клеток в опухолевой строме положительно коррелирует с экспрессией PD-L1 в стромальных, но не в опухолевых клетках при РЖ.
На следующем этапе мы проанализировали содержание CD20+ клеток в строме опухолей больных РЖ. На неоднозначность влияния CD20+ В-лимфоцитов, присутствующих в опухолях разного типа, на прогноз выживаемости и стадию опухоли указывают результаты разных исследований [24]. Так, например, общее число CD20+ В-лимфоцитов ассоциировано с прогрессией рака молочной железы [25], при этом обратная корреляция показана при раке яичников, печени и толстой кишки [26–28]. Показано, что повышенное содержание CD20+ В-лимфоцитов в строме РЖ ассоциировано с лучшим прогнозом, однако не выявлено ассоциации между количеством B-лимфоцитов и клинико-морфологическими характеристиками опухоли [29]. Схожие результаты продемонстрировали и другие исследователи, показавшие, что более высокая плотность CD20+ В-клеток в строме ассоциирована с лучшим прогнозом. По результатам данного исследования показано также, что экспрессия CD20 ассоциирована с CD68 в опухолевой строме. Интересно, что некоторые иммунные клетки стромы экспрессировали Ki-67, причем в основном это были CD20+ клетки. Более того, использование комбинации Ki-67+ и CD20+ показало лучший прогностический потенциал для РЖ [30]. Установленное нами отсутствие прогностической значимости CD20 при РЖ свидетельствует о необходимости использования комбинаций маркеров для повышения эффективности прогнозирования клинического течения заболевания.
Прогностической значимости тканевой экспрессии PD-L1 в настоящее время посвящено около двух десятков исследований. Большинство работ свидетельствует о неблагоприятной прогностической значимости экспрессии данного белка в опухолевых клетках РЖ [31]. Однако некоторые результаты указывают на высокую экспрессию PD-L1 в опухолевых клетках как на маркер хорошего прогноза [32, 33]. Проведенное нами исследование продемонстрировало, что экспрессия PD-L1 в опухолевых клетках ассоциирована с более высокой общей выживаемостью пациентов, в то время как анализ экспрессии PD-L1 в стромальных клетках или его растворимой формы такой закономерности не выявил.
ЗАКЛЮЧЕНИЕ
Полученные нами результаты свидетельствуют о том, что маркеры стромальных клеток при злокачественных опухолях желудка потенциально могут использоваться для определения стратегии лечения и прогноза заболевания. Однако существующие методы, а именно одноцветная иммуногистохимия, не позволяют получить достаточно информативный ответ. Для того, чтобы эффективно использовать стромальные маркеры в случае РЖ, необходимо проведение комплексного анализа, включающего определение нескольких сывороточных маркеров и мультиплексный анализ нескольких маркеров опухолевой стромы.
Конфликт интересов: Авторы заявляют об отсутствии конфликта интересов.
Работа выполнена при финансовой поддержке РФФИ (грант № 20-015-00479).
Об авторах
Ольга В. Ковалева
Национальный медицинский исследовательский центр онкологии им. Н.Н. Блохина Минздрава России
Автор, ответственный за переписку.
Email: ovkovaleva@gmail.com
Россия, Москва, 115552
Полина А. Подлесная
Национальный медицинский исследовательский центр онкологии им. Н.Н. Блохина Минздрава России
Email: polina.pod@yandex.ru
Россия, Москва, 115552
Виктор Л. Чанг
Тамбовский государственный университет им. Г.Р. Державина Министерства образования и науки
Email: ken_baxter@mail.ru
Россия, Тамбов, 392000
Николай А. Огнерубов
Тамбовский государственный университет им. Г.Р. Державина Министерства образования и науки
Email: ognerubovn.a@mail.ru
Россия, Тамбов, 392000
Алексей Н. Грачев
Национальный медицинский исследовательский центр онкологии им. Н.Н. Блохина Минздрава России
Email: alexei.gratchev@gmail.com
Россия, Москва, 115552
Н. А. Козлов
Национальный медицинский исследовательский центр онкологии им. Н.Н. Блохина Минздрава России
Email: ovkovaleva@gmail.com
Россия, Москва, 115552
Иван С. Стилиди
Национальный медицинский исследовательский центр онкологии им. Н.Н. Блохина Минздрава России
Email: ronc@list.ru
Россия, Москва, 115552
Николай Е. Кушлинский
Национальный медицинский исследовательский центр онкологии им. Н.Н. Блохина Минздрава России
Email: biochimia@yandex.ru
Россия, Москва, 115552
Список литературы
- Bray F., Ferlay J., Soerjomataram I., Siegel R.L., Torre L.A., Jemal A. // CA Cancer J. Clin. 2018. V. 68. № 6. P. 394–424.
- Gonzalez C.A., Sala N., Rokkas T. // Helicobacter. 2013. V. 18 Suppl 1. P. 34–38.
- Nomura A., Grove J.S., Stemmermann G.N., Severson R.K. // Cancer Res. 1990. V. 50. № 21. P. 7084.
- Brooks-Wilson A.R., Kaurah P., Suriano G., Leach S., Senz J., Grehan N., Butterfield Y.S., Jeyes J., Schinas J., Bacani J., et al. // J. Med. Genet. 2004. V. 41. № 7. P. 508–517.
- Cunningham D., Starling N., Rao S., Iveson T., Nicolson M., Coxon F., Middleton G., Daniel F., Oates J., Norman A.R., et al. // N. Engl. J. Med. 2008. V. 358. № 1. P. 36–46.
- Bang Y.J., van Cutsem E., Feyereislova A., Chung H.C., Shen L., Sawaki A., Lordick F., Ohtsu A., Omuro Y., Satoh T., et al. // Lancet. 2010. V. 376. № 9742. P. 687–697.
- Wilke H., Muro K., van Cutsem E., Oh S.C., Bodoky G., Shimada Y., Hironaka S., Sugimoto N., Lipatov O., Kim T.Y., et al. // Lancet Oncol. 2014. V. 15. № 11. P. 1224–1235.
- Zhang H., Yue R., Zhao P., Yu X., Li J., Ma G., Tang J., Zhang L., Feng L., Sun L., et al. // Tumour Biol. 2017. V. 39. № 6. P. 1010428317705747. doi: 10.1177/1010428317705747
- Hu H.T., Ai X., Lu M., Song Z., Li H. // Exp. Cell. Res. 2019. V. 384. № 2. P. 111652.
- Kovaleva O.V., Rashidova M.A., Samoilova D.V., Podlesnaya P.A., Mochalnikova V.V., Gratchev A. // Anal. Cell. Pathol. (Amst.). 2020. V. 2020. P. 5424780.
- Xu Y., Gu S., Bi Y., Qi X., Yan Y., Lou M. // Oncol. Lett. 2018. V. 15. № 3. P. 3753–3759.
- Lin J., Liu W., Luan T., Yuan L., Jiang W., Cai H., Yuan W., Wang Y., Zhang Q., Wang L. // Oncol. Lett. 2017. V. 14. № 6. P. 8220–8226.
- Kovaleva O.V., Rashidova M.A., Samoilova D.V., Podlesnaya P.A., Mochalnikova V.V., Gratchev A.N. // Bull. Exp. Biol. Med. 2021. V. 170. № 4. P. 489–492.
- Ковалева О.В., Грачев А.Н., Подлесная П.А., Рашидова М.А., Самойлова Д.В., Соколов Н.Ю., Мамедли З.З., Кудлай Д.А., Кушлинский Н.Е. // Клин. эксп. морфол. 2021. Т. 10. № 2. C. 32–39.
- Huang J., Chen W., Jie Z., Jiang M. // Front. Oncol. 2022. V. 12. P. 820568.
- Mantovani A., Sozzani S., Locati M., Allavena P., Sica A. // Trends Immunol. 2002. V. 23. № 11. P. 549–555.
- Kovaleva O., Podlesnaya P., Rashidova M., Samoilova D., Petrenko A., Mochalnikova V., Kataev V., Khlopko Y., Plotnikov A., Gratchev A. // Biomedicines. 2021. V. 9. № 7. P. 743.
- Koelzer V.H., Canonica K., Dawson H., Sokol L., Karamitopoulou-Diamantis E., Lugli A., Zlobec I. // Oncoimmunology. 2016. V. 5. № 4. P. e1106677.
- Huang Y.K., Wang M., Sun Y., Di Costanzo N., Mitchell C., Achuthan A., Hamilton J.A., Busuttil R.A., Boussioutas A. // Nat. Commun. 2019. V. 10. № 1. P. 3928.
- Svensson M.C., Svensson M., Nodin B., Borg D., Hedner C., Hjalmarsson C., Leandersson K., Jirstrom K. // J. Innate Immun. 2022. № 3. P. 1–14.
- Zhu Q., Wu X., Tang M., Wu L. // Medicine (Baltimore). 2020. V. 99. № 17. P. e19839.
- Zhang W.J., Zhou Z.H., Guo M., Yang L.Q., Xu Y.Y., Pang T.H., Gao S.T., Xu X.Y., Sun Q., Feng M., et al. // J. Cancer. 2017. V. 8. № 3. P. 363–370.
- Harada K., Dong X., Estrella J.S., Correa A.M., Xu Y., Hofstetter W.L., Sudo K., Onodera H., Suzuki K., Suzuki A., et al. // Gastric Cancer. 2018. V. 21. № 1. P. 31–40.
- Sjoberg E., Frodin M., Lovrot J., Mezheyeuski A., Johansson M., Harmenberg U., Egevad L., Sandstrom P., Ostman A. // Br. J. Cancer. 2018. V. 119. № 7. P. 840–846.
- Mahmoud S.M., Lee A.H., Paish E.C., Macmillan R.D., Ellis I.O., Green A.R. // Breast Cancer Res. Treat. 2012. V. 132. № 2. P. 545–553.
- Shi J.Y., Gao Q., Wang Z.C., Zhou J., Wang X.Y., Min Z.H., Shi Y.H., Shi G.M., Ding Z.B., Ke A.W., et al. // Clin. Cancer Res. 2013. V. 19. № 21. P. 5994–6005.
- Lundgren S., Berntsson J., Nodin B., Micke P., Jirstrom K. // J. Ovarian Res. 2016. V. 9. P. 21.
- Berntsson J., Nodin B., Eberhard J., Micke P., Jirstrom K. // Int. J. Cancer. 2016. V. 139. № 5. P. 1129–1139.
- Dong J., Li J., Liu S.M., Feng X.Y., Chen S., Chen Y.B., Zhang X.S. // Med. Oncol. 2013. V. 30. № 1. P. 442.
- Meier A., Nekolla K., Hewitt L.C., Earle S., Yoshikawa T., Oshima T., Miyagi Y., Huss R., Schmidt G., Grabsch H.I. // J. Pathol. Clin. Res. 2020. V. 6. № 4. P. 273–282.
- Gu L., Chen M., Guo D., Zhu H., Zhang W., Pan J., Zhong X., Li X., Qian H., Wang X. // PLoS One. 2017. V. 12. № 8. P. e0182692.
- Kim J.W., Nam K.H., Ahn S.H., Park D.J., Kim H.H., Kim S.H., Chang H., Lee J.O., Kim Y.J., Lee H.S., et al. // Gastric Cancer. 2016. V. 19. № 1. P. 42–52.
- Boger C., Behrens H.M., Mathiak M., Kruger S., Kalthoff H., Rocken C. // Oncotarget. 2016. V. 7. № 17. P. 24269–24283.
Дополнительные файлы







