Современные подходы к de novo синтезу протяженных фрагментов ДНК: сборка широкого репертуара последовательностей
- Авторы: Семашко Т.А.1,2, Фисунов Г.Ю.1,2, Цой Е.А.1,2, Харрасов Д.Р.1, Чудинов И.К.1, Евсютина Д.В.1,2, Шевелёв Г.Ю.3, Говорун В.М.1
-
Учреждения:
- Научно-исследовательский институт системной биологии и медицины Роспотребнадзора
- Федеральный научно-клинический центр физико-химической медицины имени академика Ю.М. Лопухина ФМБА России
- Институт химической биологии и фундаментальной медицины СО РАН
- Выпуск: Том 16, № 1 (2024)
- Страницы: 77-85
- Раздел: Экспериментальные статьи
- URL: https://journal-vniispk.ru/2075-8251/article/view/263362
- DOI: https://doi.org/10.32607/actanaturae.27362
- ID: 263362
Цитировать
Аннотация
Для решения многих задач синтетической биологии, в том числе для синтеза более широкого репертуара последовательностей, а также для дальнейшей автоматизации и миниатюризации таких реакций необходимо иметь стандартизированные методы сборки фрагментов ДНК. В представленной работе предложены условия сборки фрагментов ДНК из химически синтезированных олигонуклеотидов и определены возможные ошибки, возникающие в данных условиях. Предложены также условия дальнейшего объединения синтетических фрагментов в более крупные последовательности ДНК. Показано, что оптимизированные условия подходят для сборки широкого спектра последовательностей.
Полный текст
ВВЕДЕНИЕ
Получать синтетические фрагменты ДНК из химически синтезированных коротких олигонуклеотидов пытались еще в середине 60-х годов XX века. Однако лишь в 1970 году была успешно завершена сборка гена аланиновой тРНК дрожжей длиной 77 п.н. [1]. Развитие методов химического синтеза олигонуклеотидов, а также сборки и клонирования протяженных фрагментов ДНК позволяет в настоящее время создавать целые геномы вирусов [2], прокариот [3, 4] и эукариот [5], в том числе, спроектированные исследователями, – с перекодированием кодонов [6], четырехбуквенным генетическим кодом [7]. Синтетическая биология является быстро развивающейся областью. Для достижения ее амбициозных целей по созданию организмов с заданными свойствами во многих случаях необходим синтез протяженных последовательностей ДНК. Сборка целых геномов рассматривается как достижение современных технологий и не является рутинной практикой. В биотехнологии, медицине, а также в фундаментальных исследованиях синтез фрагментов ДНК de novo (содержащих, как правило, последовательности одного или нескольких генов длиной несколько т.п.н.) c высокой точностью и низкой стоимостью имеет основное значение [8], в частности, для гетерологичной экспрессии генов [9] и их модификации [10]. В настоящее время синтез ДНК in vitro производится иерархически: сначала проводят химический синтез олигонуклеотидов, а затем из них собирают фрагменты ДНК размерами от 0.5 до нескольких т.п.н. При необходимости эти фрагменты объединяют между собой для получения ДНК длиной 2–10 т.п.н. с помощью рестрикции и лигирования, сборки перекрывающихся фрагментов или сайт-специфичной рекомбинации [11].
Химический синтез олигонуклеотидов – автоматизированный, хорошо налаженный процесс. Основными задачами являются получение более длинных последовательностей (более 100 п.н.), увеличение выхода реакции на всех этапах синтетического цикла, снижение количества ошибок за счет улучшения качества химических реагентов [12]. Разработаны три основных стратегии сборки олигонуклеотидов в дцДНК-фрагменты – сборка in vitro с помощью ферментов – лигазная циклическая сборка (ЛЦР) [13, 14], полимеразная циклическая сборка (ПЦР), а также in vivo сборка в клетках дрожжей [15]. Основными преимуществами сборки с помощью ПЦР являются меньшее количество олигонуклеотидов, необходимое для проведения реакции, отсутствие стадии фосфорилирования олигонуклеотидов и меньшая трудоемкость [16, 17]. Предложены различные модификации ПЦР для сборки длинных фрагментов и увеличения точности синтезируемой последовательности [18–20]. При этом, учитывая широкое разнообразие целевых дцДНК, актуальным остается определение оптимальных условий проведения ПЦР, в число которых входят компоненты реакционной смеси (буферная система, концентрации солей, ионов магния, dNTP, олигонуклеотидов, тип ДНК-полимеразы, наличие добавок), а также температура и время на каждом из этапов ПЦР. В качестве присадок используют амиды [21], диметилсульфоксид [22], бетаин [23], глицерин [24], полиэтиленгликоли, полиамины [25], в частности спермидин [26]. Независимо от типа сборки для успешного синтеза требуется рациональный дизайн олигонуклеотидов, учитывающий термодинамические характеристики последовательности, наличие повторяющихся элементов и мотивов, способных образовывать вторичные структуры. Целью данной работы было подобрать универсальные условия сборки фрагментов ДНК, подходящие для большинства подобных задач.
В настоящей работе оптимизирована сборка методом ПЦР фрагментов ДНК из олигонуклеотидов, подобраны условия, в которых эффективно собираются фрагменты ДНК размером до 1.5 т.п.н. с разнообразным репертуаром последовательностей, с учетом выхода продукта и возможных ошибок в последовательности ДНК. Оптимизированы условия объединения нескольких ампликонов во фрагмент до 7.5 т.п.н.
ЭКСПЕРИМЕНТАЛЬНАЯ ЧАСТЬ
Дизайн и синтез олигонуклеотидов для сборки фрагментов ДНК
Дизайн олигонуклеотидов разработан программой SynthBac [27, 28] с использованием термодинамически оптимизированного метода. Синтез олигонуклеотидов для модельного фрагмента 1000 п.н. и гена BseRI проводили на синтезаторе АСМ-800 («Биоссет», Россия), синтез гена транспозазы и фрагментов фага N4 – на синтезаторе Dr. Oligo 768XLc (Biolytic, США).
ПЦР-сборка фрагментов ДНК из олигонуклеотидов
Сборку проводили в две стадии. На первой стадии 2 мкл смеси олигонуклеотидов (концентрация 1000, 100, 10 или 1 нМ каждого) добавляли к реакционной смеси, содержащей 0.5 мкл полимеразы, буфера, соответствующего используемой полимеразе, 0.2 мМ dNTP («Евроген», Россия). Дополнительно в реакцию добавляли MgSO4 (Fermentas, США) до конечных концентраций 5 или 10 мМ, формамид до конечной концентрации 2%, ПЭГ 4000 (50%) (Fermentas) до конечной концентрации 7.5% или спермидин до конечной концентрации 0.5 или 2.5 мМ. Использовали полимеразы Taq (5 ед./мкл, «Литех», Россия), Tersus (50X, «Евроген») с коммерческими буферами или полученную в лаборатории Phusion с 1× реакционным буфером (10 мМ Tris-HCl, pH 8.8, 50 мМ KCl, 2.5 мМ MgSO4, 0.1% Triton X-100, 0.2 мг/мл БСА). Активность полученной Phusion ДНК-полимеразы соответствовала активности коммерческой Phusion Hot Start II DNA Polymerase (2 ед./мкл, Thermo Fisher Scientific). Основная программа для сборки: 95°C, 3 мин, затем 20 циклов – 95°C 30 с, 58°C 30 с и 72°C 1 мин, финальная достройка – 72°C 5 мин. Использовали и другие варианты программы, в которых использовали градиент температуры на стадии отжига (55, 55.9, 57.6, 60.1, 63.2, 65.8, 67.3 либо 68°C), 2 мин элонгации либо 30 циклов реакции.
На второй стадии нарабатывали достроенный фрагмент ДНК. После первой стадии ПЦР 2 мкл реакционной смеси переносили в реакционную смесь, содержащую 20 мМ Тris рН 8.8, 10 мМ KCl, 2 мМ MgSO4, 6 мМ (NH4)2SO4, 0.1% Triton X-100, 0.1 мг/мл БСА, ДНК-полимеразу Phusion, 250 нМ каждого праймера, 0.2 мМ dNTP. Программа наработки: 95°C 3 мин, затем 25 циклов – 95°C 30 с, 58°C 30 с и 72°C 1 мин, финальная достройка – 72°C 5 мин.
Сборка гена транспозазы
Сборку гена проводили в две стадии. На первой стадии 2 мкл смеси олигонуклеотидов (500, 100, 10 или 1 нМ каждого) добавляли в реакционную смесь с 0.5 мкл полимеразы, буфером, соответствующим используемой полимеразе, 0.2 мМ dNTP. Дополнительно в реакции присутствовали 10 мМ MgSO4 либо 2.5 мМ спермидина. Использовали полимеразы Taq (5 ед./мкл, «Литех») или полученную в лаборатории Phusion с 1× реакционным буфером (10 мМ Tris-HCl, pH 8.8, 50 мМ KCl, 0.1% Triton X-100, 0.2 мг/мл БСА). Активность полученной Phusion ДНК-полимеразы соответствовала активности коммерческой Phusion Hot Start II DNA Polymerase (2 ед./мкл, Thermo Fisher Scientific). Основная программа для сборки: 98°C 3 мин, затем 20 циклов – 96°C 15 с, 57°C 20 с и 72°C 1 мин.
На второй стадии 2 мкл полученной реакционной смеси переносили в 25 мкл реакционной смеси с 50 мМ Тris рН 8.8, 100 мМ KCl, 2.5 мМ MgSO4, 0.1% Triton X-100, 0.2 мг/мл БСА, ДНК-полимеразой Phusion, 300 нМ каждого праймера, 0.2 мМ dNTP. Программа для наработки: 96°C 1 мин, затем 25 циклов – 95°C 15 с, 57°C 20 с и 72°C 1 мин.
Определение ошибок, возникающих в результате сборки фрагментов, в последовательности ДНК
Для определения влияния используемой ДНК-полимеразы на частоту возникновения разных типов ошибок в собранном фрагменте ДНК проводили сборку гена транспозазы в описанных ниже условиях. В качестве ДНК-полимеразы использовали Taq (5 ед./мкл, «Литех») или полученную в лаборатории Phusion с 1× реакционным буфером (10 мМ Tris-HCl, pH 8.8, 50 мМ KCl, 0.1% Triton X-100, 0.2 мг/мл БСА). Активность полученной Phusion ДНК-полимеразы соответствовала активности коммерческой Phusion Hot Start II DNA Polymerase (2 ед./мкл, Thermo Fisher Scientific). Сборку гена проводили в две стадии. На первой стадии 2 мкл смеси олигонуклеотидов добавляли в реакционную смесь (0.5 мкл полимеразы, соответствующий используемой полимеразе буфер, 0.2 мМ dNTP и 2.5 мМ спермидин). Основная программа для сборки: 98°C 3 мин, затем 20 циклов – 96°C 15 с, 57°C 20 с и 72°C 1 мин.
На второй стадии 2 мкл полученной реакционной смеси переносили в 25 мкл реакционной смеси с 10 мМ Тris рН 8.8, 100 мМ KCl, 2.5 мМ MgSO4, 0.1% Triton X-100, 0.2 мг/мл БСА, ДНК-полимеразой Phusion, 300 нМ каждого праймера, 0.2 мМ dNTP. Программа для наработки: 96°C 1 мин, затем 25 циклов – 95°C 15 с, 57°C 20 с и 72°C 1 мин.
Ген, собранный с помощью Taq-ДНК-полимеразы, был клонирован в вектор pET15 с помощью NEBuilder (NEB, США) и химически трансформирован в клетки E. coli Top10. Ген, собранный с помощью Phusion ДНК-полимеразы, был клонирован в вектор pTZ57RT с помощью гомологичной рекомбинации in vivo после химической трансформации в E. coli штамм Top10, несущий плазмиду pKM200 (Addgene) с рекомбинационной системой Lambda Red. По 18 клонов каждого варианта гена секвенировали методом Сенгера на генетическом анализаторе Honor 1616 (Nanjing Superyears Gene Technology Co., Ltd., КНР).
В дальнейшем для сборки фрагментов ДНК длиной до 1500 п.н. использовали условия, описанные выше, и полученной в лаборатории ДНК-полимеразы Phusion с 1× реакционным буфером.
Объединение фрагментов ДНК с помощью ПЦР
Фрагменты дцДНК длиной 1009 (фрагмент 1), 1152 (фрагмент 2) и 1254 (фрагмент 3) п.н., полученные после сборки из олигонуклеотидов, использовали для объединения в пары (2 и 3) и тройки (1, 2 и 3). Количество матрицы, добавляемой в реакцию, варьировали. При объединении пары фрагментов концентрация каждого из них в реакционной смеси составила 3 нМ, 300 пМ, 30 пМ и 3 пМ; тройки – 2 нМ, 200 пМ, 20 пМ, 2 пМ. Концентрацию фрагментов измеряли с помощью флуориметра Qubit (Thermo) и набора dsDNA BR Assay Kit (Thermo). При сборке трех фрагментов ампликоны вносили как без очистки (в виде реакционной смеси после сборки из олигонуклеотидов), так и очищенные на магнитных частицах NEBNext Sample Purification beads (NEB) по протоколу производителя. Каждый образец содержал 0.4 мкл полимеразы Taq (5 ед./мкл, «Литех») или Tersus (50X, «Евроген»), соответствующий коммерческий буфер, 0.2 мМ dNTP и пару праймеров с конечной концентрацией в смеси 0.25 мкМ. Реакцию амплификации проводили при концентрациях спермидина 0, 0.5 либо 2.5 мМ. Условия проведения амплификации: 95°C 3 мин, затем 20 циклов – 95°C 30 с, 62°C 30 с и 72°C 5 мин, в конце достройка 5 мин.
Визуализация сборки фрагментов
Визуализацию проводили с помощью электрофоретического разделения фрагментов ДНК в горизонтальном 1% агарозном геле в 0.1 M Тris-боратном буфере при 150 В в течение 20–40 мин.
РЕЗУЛЬТАТЫ
Оптимизация условий сборки фрагментов ДНК из олигонуклеотидов
Для оптимизации условий мы использовали фрагмент оперона рибосомных белков Mycoplasma gallisepticum S6, состоящий из гена rpsJ и первой половины гена rplC (1016 п.н.). С помощью разработанной нашей группой программы SynthBac (манускрипт в редакции) фрагмент был разбит на 47 перекрывающихся термодинамически оптимизированных олигонуклеотидов со средней длиной 43 п.н. [27]. Сборку гена проводили в две стадии ПЦР: на первой стадии олигонуклеотиды достраивали до сборки фрагмента с полной последовательностью, на второй cтадии при добавлении концевых праймеров происходила амплификация полученного фрагмента.
В данной работе были оптимизированы условия ПЦР первой стадии (рис. 1). Все условия реакции применяли к олигонуклеотидам, взятым в реакцию в четырех разных концентрациях (100, 10, 1 и 0.1 нМ каждого в реакционной смеси). В соответствии с полученными результатами, оптимальный диапазон концентраций олигонуклеотидов для сборки фрагментов ДНК находится в районе десятков нМ и немного варьирует в зависимости от состава реакционной смеси. В реакционной смеси мы варьировали концентрацию ионов Mg2+ (2.5, 5 и 10 мМ) и выяснили, что она оказывает значимое влияние на получение финального продукта – фрагменты гораздо лучше собираются в присутствии 10 мМ Mg2+, хотя такие большие концентрации уже не используются для амплификации фрагментов (рис. 1А,Б). Изучено также влияние формамида и ПЭГ 4000 в реакционной смеси на сборку фрагментов. Показано, что добавление этих компонентов не оказывает значимого эффекта (рис. 1А). Интересно, что добавление в реакционную смесь 2.5 мМ спермидина существенно улучшало сборку фрагментов ДНК (рис. 1Б). Увеличение времени элонгации или количества циклов в программе сборки также способствовало лучшей сборке фрагментов (рис. 1Г). При больших концентрациях олигонуклеотидов реакция сборки эффективно протекает в широком диапазоне температур отжига, однако при уменьшении концентрации наблюдается обычное для ПЦР уменьшение гибридизации при повышении температуры отжига (рис. 1В). Исследована также эффективность ПЦР-сборки при использовании разных полимераз – Taq, Tersus и Phusion – в оптимальных для сборки условиях (с 10 мМ Mg2+ либо 2.5 мМ спермидина) (рис. 1Б). Показано, что все исследуемые полимеразы эффективно собирают фрагменты ДНК из олигонуклеотидов, но имеют различный оптимальный диапазон концентраций используемых олигонуклеотидов.
Рис. 1. Оптимизация условий сборки модельного фрагмента 1 т.п.н. А – сборка фрагмента с добавками в реакционную смесь, значительно не изменяющими эффективность сборки; Б – сборка фрагмента различными полимеразами с добавками в реакционную смесь, улучшающими эффективность сборки; В – сборка фрагмента при различных температурах отжига; Г – сборка фрагмента при вариации количества циклов или времени элонгации. L – маркер длин GeneRuler 100 bp (Thermo), sperm – спермидин, C – концентрация каждого олигонуклеотида в реакционной смеси
Сборка фрагмента гена транспозазы
Ген транспозазы (1476 п.н.) был разбит на 64 олигонуклеотида со средней длиной 45 п.н. программой SynthBac [27] с помощью алгоритма для термодинамически оптимизированных олигонуклеотидов. Большинство генов успешно собиралось по оптимизированной нами методике, однако ген транспозазы имеет сложную для сборки последовательность. Экспериментально показано, что сложный фрагмент находится ближе к 3’-концу гена (данные не приведены). Сложными для сборки являются области гена с неоднородным GC-составом, вторичные структуры, такие, как три идентифицированные потенциальные шпильки, либо мотив GGGTGCACTGTGGGAGGGCTGGG, предсказанный [29] как потенциальный G-квадруплекс (рис. 2Б). Получить нужный фрагмент (полноразмерный (рис. 2А) или разбитый на две примерно равные части) удалось только при проведении реакции сборки в присутствии 2.5 мМ спермидина. Таким образом, спермидин также увеличивает специфичность реакции.
Рис. 2. A – оптимизация условий сборки гена транспозазы. L – маркер длин GeneRuler 1 kb (Thermo), sperm – спермидин, C – концентрация каждого олигонуклеотида в реакционной смеси; Б – аннотация последовательности транспозазы в окне программы SynthBac. Красной стрелкой обозначена кодирующая рамка транспозазы, желтыми – шпильки, темно-желтой – мотив с потенциальным G-квадруплексом, зеленой линией обозначена возможность образования вторичной структуры. Черная линия на отдельной панели – GC-состав, рассчитанный в окне 20 п.н.
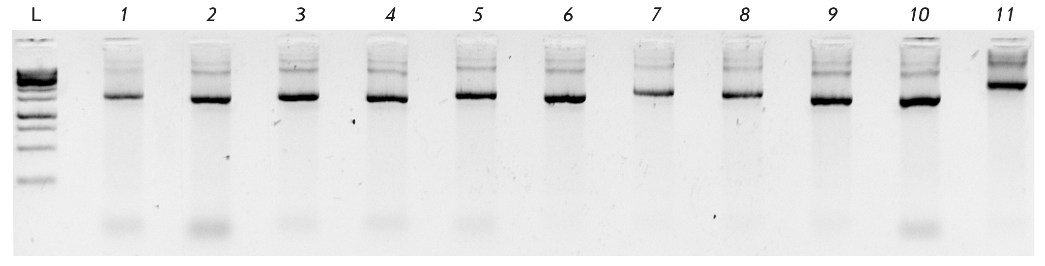
Универсальность предложенных условий для сборки разнообразных последовательностей подтвердили, успешно собрав 11 различных фрагментов ДНК длиной около 1.5 т.п.н. при добавлении в реакционную смесь спермидина на первой стадии сборки (рис. 3).
Рис. 3. Апробация предложенного метода и условий сборки ДНК из олигонуклеотидов на 11 различных последовательностях длиной около 1500 п.н.
Определение ошибок, возникающих в результате сборки фрагментов, в последовательности ДНК
Было исследовано влияние типа ДНК-полимеразы, используемой в первой стадии сборки фрагментов ДНК, на количество ошибок разного типа в конечной сборке целевого фрагмента (табл. 1). Показано, что сборка Taq-полимеразой дает фрагменты с частотой ошибок 8 на 1 т.п.н., а сборка Phusion-полимеразой – три ошибки на 1 т.п.н. (суммарные ошибки в табл. 1). При этом частоты вставок и делеций, встречающиеся во фрагментах, совпадают, а основным отличием при использовании разных полимераз является количество замен, особенно транзиций G/C в A/T.
Таблица 1. Частоты ошибок на 1 т.п.н. при сборке гена транспозазы с помощью Taq либо Phusion ДНК-полимеразы*
Тип ошибки | Сборка Taq-полимеразой | Сборка Phusion-полимеразой |
Замены | 5.95±0.47 | 0.90±0.18 |
Транзиции | ||
G/C в A/T | 3.58±0.48 | 0.26±0.10 |
A/T в G/C | 0.98±0.16 | 0.08±0.05 |
Трансверсии | ||
G/C в C/G | 0.30±0.13 | 0.19±0.07 |
G/C в T/A | 0.30±0.13 | 0.19±0.07 |
A/T в C/G | 0.30±0.11 | 0.11±0.06 |
A/T в T/A | 0.49±0.11 | 0.08±0.05 |
Делеции | ||
Единичные | 1.17±0.16 | 1.09±0.22 |
Множественные | 0.41±0.15 | 0.30±0.11 |
Вставки | ||
Единичные | 0.56±0.15 | 0.49±0.14 |
Множественные | 0 | 0.19±0.07 |
Суммарные ошибки | 8.09±0.66 | 2.97±0.30 |
*Данные представлены в виде среднего значения для 18 независимых образцов со стандартной ошибкой.
Объединение нескольких фрагментов ДНК с помощью ПЦР
Ген эндонуклеазы рестрикции BseRI длиной 3348 п.н. был разбит на три перекрывающихся фрагмента длиной 1009 (фрагмент 1), 1152 (фрагмент 2) и 1254 п.н. (фрагмент 3). Каждый из фрагментов был также разбит на олигонуклеотиды программой SynthBac [27] с помощью алгоритма для термодинамически оптимизированных олигонуклеотидов и собран по оптимизированной нами методике. Фрагменты объединяли по два (рис. 4А) и по три фрагмента в одной реакции (рис. 4Б,В). Проведена также реакция объединения фрагментов после предварительной очистки (рис. 4В). Во всех выбранных вариантах получен полноразмерный продукт с примерно одинаковой эффективностью. Были проанализированы различные условия реакции, такие, как сборка полимеразами Taq и Tersus, различные концентрации олигонуклеотидов, а также дополнительная добавка 0.5 или 2.5 мМ спермидина в реакцию. В этом случае субстраты реакции имели оптимум концентраций от десятков пМ для Taq-полимеразы и сотен пМ для Tersus, а спермидин не оптимизировал реакцию.
Рис. 4. Оптимизация условий объединения фрагментов гена BseRI. L – маркер длин GeneRuler 1 kb (Thermo), sperm – спермидин, C – концентрация каждого ампликона в реакционной смеси. А – объединение двух фрагментов 2 и 3; Б – объединение трех фрагментов 1, 2 и 3; В – объединение трех предварительно очищенных фрагментов 1, 2 и 3
ДНК вибриофага N4 длиной 38.5 т.п.н. была разбита на фрагменты длиной около 1.5 т.п.н. с помощью программы SynthBac [27]. Каждый такой фрагмент был предварительно собран из олигонуклеотидов по оптимизированной нами методике. Собрать более длинные фрагменты длиной до 7.5 т.п.н. из пяти фрагментов с использованием методики, оптимизированной для меньших фрагментов, не удалось, однако снижение температуры и увеличение времени элонгации позволили воспроизводимо собирать фрагменты ДНК длиной до 7.5 т.п.н. (рис. 5). Фрагменты подобной длины можно также собрать, амплифицируя матрицу после реакции Гибсона [30].
Рис. 5. Оптимизация условий объединения пяти фрагментов по 1.5 т.п.н. Фрагмент 1 и фрагмент 2 – разные фрагменты вибриофага N4, L – маркер длин GeneRuler 1 kb (Thermo), 1 – обычные условия объединяющего ПЦР, 2 – ПЦР с добавлением 2.5 мМ спермидина, 3 – ПЦР после реакции Гибсона, 4 – ПЦР с элонгацией на 65°С и увеличенным временем элонгации
ОБСУЖДЕНИЕ
Из наиболее часто используемых методов сборки ДНК из олигонуклеотидов нами выбран метод ПЦР-сборки. Преимуществами метода ПЦР-сборки в сравнении с лигазно-циклической сборкой (ЛЦР) являются меньшая концентрация олигонуклеотидов в реакции, меньшее количество стадий сборки и использование только ДНК-полимеразы.
Сборка фрагментов ДНК методом ПЦР состоит из двух стадий. На первой стадии олигонуклеотиды гибридизуются друг с другом и достраиваются, образуя требуемый фрагмент, на второй стадии осуществляется амплификация полноразмерного фрагмента. В данной работе оптимизирована первая стадия ПЦР-сборки – стадия достройки олигонуклеотидов до полноразмерного продукта.
Показано, что оптимальными для сборки ДНК являются концентрации олигонуклеотидов около 10 нМ, ионов Mg2+ 10 мМ либо 2.5 мМ спермидина. Концентрации олигонуклеотидов для разных полимераз немного отличаются. Описан широкий диапазон концентраций олигонуклеотидов, используемых в реакции сборки: от 2.5 мкМ [16], 10–60 нМ [31] либо от 10 нМ [32], а также указывается на важность выбора полимеразы [32]. Интересным представляется влияние спермидина на результаты сборки ДНК. Добавление спермидина в реакционную смесь позволяет избежать увеличения концентрации ионов магния в реакции, а также повысить специфичность сборки. Существуют сообщения как об улучшении эффективности амплификации ДНК при использовании спермидина в реакции [26, 33], так и про отсутствие эффекта [34]. При этом спермидин способствует прохождению реакции амплификации в сложных образцах [35, 36]. Показано, что основной мишенью при взаимодействии поликатиона спермидина с ДНК в B-форме являются фосфаты [37]. По-видимому, спермидин дает возможность гибридизоваться олигонуклеотидам в дцДНК, нейтрализуя отрицательный заряд фосфатного остова и стабилизируя дуплексы.
В настоящее время фактором, лимитирующим de novo сборку ДНК, являются ошибки в полученной матрице, что связано как с качеством олигонуклеотидов, так и с точностью полимераз [38–41]. Уменьшение количества ошибок позволит снизить трудоемкость работы и стоимость скрининга клонов и их секвенирования для нахождения безошибочных вариантов. В случае оптимизированной методики частота ошибок при сборке Phusion-полимеразой составила 3 на 1 т.п.н.
Были оптимизированы условия объединения нескольких фрагментов ДНК длиной 1–1.5 т.п.н. с комплементарными концами во фрагменты длиной до 7.5 т.п.н. с помощью ПЦР. Наиболее подходящими и широко используемыми методами объединения протяженных фрагментов ДНК являются реакция Гибсона [30] и ее варианты, а также гомологичная рекомбинация в дрожжах [42, 43]. Однако объединение нескольких ампликонов с помощью ПЦР представляет собой более простой и быстрый способ, использующий меньшее разнообразие ферментов. Показано, что полноразмерный продукт длиной 2–3 т.п.н. можно получить в широком диапазоне условий, обычных для ПЦР-амплификации, а спермидин не оказывает на реакции этого типа положительного влияния, в отличие от реакции сборки ДНК из олигонуклеотидов. При уменьшении температуры и времени элонгации методом амплификации можно объединять фрагменты длиной до 7.5 т.п.н.
Таким образом, в данной работе унифицированы условия сборки фрагментов ДНК из олигонуклеотидов методом полимеразной цепной сборки. Показано, что реакция сборки протекает эффективно при концентрациях олигонуклеотидов в районе 10 нМ с добавлением в реакционную смесь 10 мМ Mg2+ или 2.5 мМ спермидина. Выбор концентрации олигонуклеотидов зависит от полимеразы. Добавление в реакционную смесь 2.5 мМ спермидина позволяет повысить специфичность сборки. Использование для сборки более точной Phusion-полимеразы позволяет сократить количество ошибок в оптимизированных условиях до 3 на 1 т.п.н., в основном, за счет меньшего количества замен.
Для объединения полученных из синтетических олигонуклеотидов фрагментов ДНК нами были оптимизированы условия объединения нескольких фрагментов дцДНК размером около 1 т.п.н. с перекрывающимися областями на концах во фрагмент протяженностью до 7.5 т.п.н.
Вклад авторов.Т.А. Семашко – написание первого варианта текста; Д.В. Евсютина – обзор во «Введении», биоинформатический анализ данных; Т.А. Семашко, Г.Ю. Фисунов, Е.А. Цой, Д.В. Евсютина, Г.Ю. Шевелёв – проведение экспериментов по сборке фрагментов ДНК; Д.Р. Харрасов, Г.Ю. Фисунов – получение рекомбинантной полимеразы Phusion; Г.Ю. Шевелёв – синтез части олигонуклеотидов; И.К. Чудинов – секвенирование по Сенгеру; В.М. Говорун – руководство работой; все авторы участвовали в обсуждении работы и редактировании текста статьи.
Финансирование. Работа выполнена при финансовой поддержке Российского фонда фундаментальных исследований (грант № 18-29-08043) в части оптимизации метода сборки фрагментов ДНК из олигонуклеотидов и Федеральной службы по надзору в сфере защиты прав потребителей и благополучия человека (грант 122030900107-3) в части определения количества ошибок в сборке и сборке протяжённых фрагментов размером до 10 т.п.н.
Конфликт интересов. Авторы заявляют об отсутствии конфликта интересов.
Соблюдение этических норм. Настоящая статья не содержит описания каких-либо исследований с участием людей или животных в качестве объектов.
Об авторах
Т. А. Семашко
Научно-исследовательский институт системной биологии и медицины Роспотребнадзора; Федеральный научно-клинический центр физико-химической медицины имени академика Ю.М. Лопухина ФМБА России
Автор, ответственный за переписку.
Email: t.semashko@gmail.com
Россия, Москва, 117246; Москва, 119435
Г. Ю. Фисунов
Научно-исследовательский институт системной биологии и медицины Роспотребнадзора; Федеральный научно-клинический центр физико-химической медицины имени академика Ю.М. Лопухина ФМБА России
Email: t.semashko@gmail.com
Россия, Москва, 117246; Москва, 119435
Е. А. Цой
Научно-исследовательский институт системной биологии и медицины Роспотребнадзора; Федеральный научно-клинический центр физико-химической медицины имени академика Ю.М. Лопухина ФМБА России
Email: t.semashko@gmail.com
Россия, Москва, 117246; Москва, 119435
Д. Р. Харрасов
Научно-исследовательский институт системной биологии и медицины Роспотребнадзора
Email: t.semashko@gmail.com
Россия, Москва, 117246
И. К. Чудинов
Научно-исследовательский институт системной биологии и медицины Роспотребнадзора
Email: i.chudinov@sysbiomed.ru
Россия, Москва, 117246
Д. В. Евсютина
Научно-исследовательский институт системной биологии и медицины Роспотребнадзора; Федеральный научно-клинический центр физико-химической медицины имени академика Ю.М. Лопухина ФМБА России
Email: t.semashko@gmail.com
Россия, Москва, 117246; Москва, 119435
Г. Ю. Шевелёв
Институт химической биологии и фундаментальной медицины СО РАН
Email: t.semashko@gmail.com
Россия, Новосибирск, 630090
В. М. Говорун
Научно-исследовательский институт системной биологии и медицины Роспотребнадзора
Email: t.semashko@gmail.com
Россия, Москва, 117246
Список литературы
- Agarwal K.L., Büchi H., Caruthers M.H., Gupta N., Khorana H.G., Kleppe K., Kumar A., Ohtsuka E., Rajbhandary U.L., van de Sande J.H., et al. // Nature. 1970. V. 227. № 5253. P. 27–34.
- Smith H.O., Hutchison C.A., Pfannkoch C., Venter J.C. // Proc. Natl. Acad. Sci. USA. 2003. V. 100. № 26. P. 15440–15445.
- Gibson D.G., Benders G.A., Andrews-Pfannkoch C., Denisova E.A., Baden-Tillson H., Zaveri J., Stockwell T.B., Brownley A., Thomas D.W., Algire M.A., et al. // Science. 2008. V. 319. № 5867. P. 1215–1220.
- Venetz J.E., del Medico L., Wölfle A., Schächle P., Bucher Y., Appert D., Tschan F., Flores-Tinoco C.E., van Kooten M., Guennoun R., et al. // Proc. Natl. Acad. Sci. USA. 2019. V. 116. № 16. P. 8070–8079.
- Annaluru N., Muller H., Mitchell L.A., Ramalingam S., Stracquadanio G., Richardson S.M., Dymond J.S., Kuang Z., Scheifele L.Z., Cooper E.M., et al. // Science. 2014. V. 344. № 6179. P. 55–58.
- Lajoie M.J., Rovner A.J., Goodman D.B., Aerni H.R., Haimovich A.D., Kuznetsov G., Mercer J.A., Wang H.H., Carr P.A., Mosberg J.A., et al. // Science. 2013. V. 342. № 6156. P. 357–360.
- Chatterjee A., Lajoie M.J., Xiao H., Church G.M., Schultz P.G. // Chembiochem. 2014. V. 15. № 12. P. 1782–1786.
- Jain K.K. // Med. Princ. Pract. 2013. V. 22. № 3. P. 209–219.
- Peng R.H., Yao Q.H., Xiong A.S., Cheng Z.M., Li Y. // Plant Cell Rep. 2006. V. 25. № 2. P. 124–132.
- Xiong A.S., Yao Q.H., Peng R.H., Zhang Z., Xu F., Liu J.G., Han P.L., Chen J.M. // Appl. Microbiol. Biotechnol. 2006. V. 72. № 5. P. 1039–1047.
- Casini A., Storch M., Baldwin G.S., Ellis T. // Nat. Rev. Mol. Cell. Biol. 2015. V. 16. № 9. P. 568–576.
- Kosuri S., Church G.M. // Nat. Methods. 2014. V. 11. № 5. P. 499–507.
- Shevelev G.Y., Pyshnyi D.V. // Vavilov J. Genet. Breed. 2018. V. 22. № 5. P. 498–506.
- Dietrich R., Wirsching F., Opitz T., Schwienhorst A. // Biotechnol. Techniques. 1998. V. 12. № 1. P. 49–54.
- Gibson D.G. // Nucl. Acids Res. 2009. V. 37. № 20. P. 6984–6990. http://www.ncbi.nlm.nih.gov/pubmed/19745056.
- Stemmer W.P.C., Crameri A., Ha K.D., Brennan T.M., Heyneker H.L. // Gene. 1995. V. 164. № 1. P. 49–53.
- Xiong A.S., Yao Q.H., Peng R.H., Li X., Fan H.Q., Cheng Z.M., Li Y. // Nucl. Acids Res. 2004. V. 32. № 12. P. e98.
- Gao X., Yo P., Keith A., Ragan T.J., Harris T.K. // Nucl. Acids Res. 2003. V. 31. № 22. P. e143.
- Sandhu G.S., Aleff R.A., Kline B.C. // Biotechniques. 1992. V. 12. № 1. P. 14–16.
- Xiong A.S., Yao Q.H., Peng R.H., Duan H., Li X., Fan H.Q., Cheng Z.M., Li Y. // Nat. Protoc. 2006. V. 1. № 2. P. 791–797.
- Chakrabarti R., Schutt C.E. // Nucl. Acids Res. 2001. V. 29. № 11. P. 2377–2381.
- Jensen M.A., Fukushima M., Davis R.W. // PLoS One. 2010. V. 5. № 6. P. e11024.
- Henke W., Herdel K., Jung K., Schnorr D., Loening S.A. // Nucl. Acids Res. 1997. V. 25. № 19. P. 3957.
- Jurišić V., Obradović J., Tošić N., Pavlović S., Kulić M., Djordjević N. // J. Pharm. Biomed. Anal. 2016. V. 128. P. 275–279.
- Karunanathie H., Kee P.S., Ng S.F., Kennedy M.A., Chua E.W. // Biochimie. 2022. V. 197. P. 130–143.
- Wan C.Y., Wilkins T.A. // PCR Methods Appl. 1993. V. 3. № 3. P. 208–210.
- https://sysbiomed.ru/upload/SynthBac.zip.
- Garanina I.A., Fisunov G.Y., Govorun V.M. // Front. Microbiol. 2018. V. 9. P. 2827.
- Kikin O., D’Antonio L., Bagga P.S. // Nucl. Acids Res. 2006. V. 34. № suppl_2. P. W676–W682. https://doi.org/10.1093/nar/gkl253.
- Gibson D.G., Young L., Chuang R.-Y., Venter J.C., Hutchison C.A., Smith H.O. // Nat. Methods. 2009. V. 6. № 5. P. 343–345.
- Ye H., Huang M.C., Li M.H., Ying J.Y. // Nucl. Acids Res. 2009. V. 37. № 7. P. e51.
- Wu G., Wolf J.B., Ibrahim A.F., Vadasz S., Gunasinghe M., Freeland S.J. // J. Biotechnol. 2006. V. 124. № 3. P. 496–503.
- Ahokas H., Erkkilä M.J. // PCR Methods Appl. 1993. V. 3. № 1. P. 65–68.
- Blanchard M.M., Taillon-Miller P., Nowotny P., Nowotny V. // PCR Methods Appl. 1993. V. 2. № 3. P. 234–240.
- Roperch J.P., Benzekri K., Mansour H., Incitti R. // BMC Biotechnol. 2015. V. 15. P. 41.
- Kikuchi A., Sawamura T., Kawase N., Kitajima Y., Yoshida T., Daimaru O., Nakakita T., Itoh S. // Biochem. Genet. 2010. V. 48. № 5–6. P. 428–432.
- Deng H., Bloomfield V.A., Benevides J.M., Thomas G.J. // Nucl. Acids Res. 2000. V. 28. № 17. P. 3379.
- Smith H.O., Hutchison C.A., Pfannkoch C., Venter J.C. // Proc. Natl. Acad. Sci. USA. 2003. V. 100. № 26. P. 15440–15445.
- Sequeira A.F., Brás J.L.A., Guerreiro C.I.P.D., Vincentelli R., Fontes C.M.G.A. // BMC Biotechnol. 2016. V. 16. № 1. P. 86.
- Carr P.A., Park J.S., Lee Y.J., Yu T., Zhang S., Jacobson J.M. // Nucl. Acids Res. 2004. V. 32. № 20. P. e162–e162.
- Ma S., Saaem I., Tian J. // Trends Biotechnol. 2012. V. 30. № 3. P. 147–154.
- Ma H., Kunes S., Schatz P.J., Botstein D. // Gene. 1987. V. 58. № 2–3. P. 201–216.
- Gibson D.G., Benders G.A., Axelrod K.C., Zaveri J., Algire M.A., Moodie M., Montague M.G., Venter J.C., Smith H.O., Hutchison C.A. // Proc. Natl. Acad. Sci. USA. 2008. V. 105. № 51. P. 20404–20409.
Дополнительные файлы







