Перепрофилирование 5ˊ-нораристеромицина: ингибитор S-аденозил-L-гомоцистеингидролазы в качестве потенциального антилейкозного препарата
- Авторы: Новикова О.Н.1, Матюгина Е.С.2, Горшенин А.В.1, Великородная Ю.И.1, Кренгауз М.Д.2,3, Ведерникова В.О.2,3, Спирин П.В.2,4, Прасолов В.С.2,4, Кочетков С.Н.2, Хандажинская А.Л.2
-
Учреждения:
- Научно-исследовательский институт гигиены, токсикологии и профпатологии Федерального медико-биологического агентства
- Институт молекулярной биологии им. В.А. Энгельгардта РАН
- Московский физико-технический институт (национальный исследовательский университет)
- Центр высокоточного редактирования и генетических технологий для биомедицины, Институт молекулярной биологии им. В.А. Энгельгардта РАН
- Выпуск: Том 16, № 3 (2024)
- Страницы: 60-66
- Раздел: Экспериментальные статьи
- URL: https://journal-vniispk.ru/2075-8251/article/view/270915
- DOI: https://doi.org/10.32607/actanaturae.27443
- ID: 270915
Цитировать
Аннотация
Установлено, что 5ˊ-нораристеромицин в виде рацемической смеси энантиомеров оказывает выраженный цитотоксический эффект на клетки лейкозов. IC50 5'-нораристеромицина составила: для клеток линий Jurkat – 7.3, K562 – 1.7, THP-1 – 3.7 мкМ соответственно. Изучение общей токсичности 5'-нораристеромицина проведено в опытах на белых мышах при однократном внутрижелудочном поступлении в организм, установлены токсикометрические параметры, изучена клиническая и патоморфологическая картина острой интоксикации. Показано, что ЛД50 вещества составляет 63.2 (52.7÷75.8), ЛД16 – 44.7, ЛД84 – 89.4 мг/кг; введение соединения в изученном диапазоне доз сопровождается системным поражением внутренних органов и тканей подопытных животных.
Полный текст
СПИСОК СОКРАЩЕНИЙ
ДМСО – диметилсульфоксид; ЛД16, ЛД50, ЛД84 – доза, вызывающая гибель 16, 50 и 84% экспериментальных животных при внутрижелудочном поступлении на 14 сутки наблюдения, мг/кг соответственно; IC50 – полумаксимальная ингибирующая концентрация; PBS – натрий-фосфатный буфер.
ВВЕДЕНИЕ
Перепрофилирование лекарственных средств для использования в онкологии подразумевает поиск соединений с противоопухолевой активностью среди веществ, применяемых в терапии других заболеваний. Такой подход позволяет существенно снизить затраты на создание новых препаратов, поскольку соединения уже хорошо изучены, а технологии их получения разработаны.
S-Аденозил-L-гомоцистеингидролаза (SAH-гидролаза) катализирует гидролиз SAH до аденозина и L-гомоцистеина, что приводит к накоплению в клетке SAH – природного ингибитора S-аденозилметионинзависимых метилтрансфераз. Ингибиторы SAH-гидролаз обладают выраженной противовирусной активностью, которая описывается, в основном, в терминах торможения процессов созревания мРНК вирусов (образование 5'-кепа) [1]. Ген SAH-гидролазы часто амплифицирован в злокачественных опухолях человека, в том числе таких, как рак шейки матки и толстой кишки [2, 3], что указывает на возможность использования SAH-гидролазы в качестве терапевтической мишени. Оказалось, что накопление SAH в клетках эукариот, обработанных ингибиторами SAH-гидролазы, приводящее к изменению соотношения SAM/SAH, имеет множественные последствия. Во-первых, нарушается метилирование ДНК, которое является одним из факторов, определяющих эпигенетическую регуляцию экспрессии генов эукариот. Нарушение метилирования ДНК выявляется при онкологических заболеваниях – при общем гипометилировании генома наблюдается локальное гиперметилирование промоторных участков генов-супрессоров опухолей [4]. Во-вторых, происходит нарушение функции PRC2 (Polycomb repressive complex 2) – консервативного белкового комплекса, необходимого для поддержания репрессии генов. Каталитическая субъединица PRC2 – белок EZH2 – обеспечивает моно-, ди- и триметилирование Lys27 гистона Н3. Показано, что в ряде опухолей человека сверхэкспрессируются субъединицы PRC2, а также присутствуют мутации, усиливающие каталитическую активность EZH2.
Противоопухолевая активность ряда ингибиторов SAH-гидролазы, например, непланоцина A, 3-деазанепланоцина, 3-деазааденозина, аристеромицина и т.д., показана на разных линиях опухолевых клеток и даже in vivo [5–9]. Аристеромицин был впервые выделен из культуры Streptomyces citricolor в 1967 году [10], а в 1992 году описан синтез его производного, 5'-нораристеромицина, из 5-амино-4,6-дихлорпиримидина [11]. В экспериментах in vitro это соединение продемонстрировало выраженную противовирусную активность в отношении вирусов коровьей оспы, осповакцины, везикулярного стоматита, парагриппа-3, реовируса-1, цитомегаловируса человека, гепатита B, кори и гриппа В [12–14]. В основе противовирусных свойств вещества лежит процесс ингибирования активности S-аденозил-L-гомоцистеингидролазы [12, 14]. Установлено, что помимо S-аденозил-L-гомоцистеингидролазы данное вещество с высокой селективностью подавляет активность α-субъединицы киназного комплекса ингибитора сигнального пути ядерного фактора NF-κВ [15]. В этом же исследовании определены фармакокинетические показатели 5'-нораристеромицина при пероральном введении в дозе 10 мг/кг, на модели ревматоидного артрита выявлено его профилактическое и терапевтическое действие, связанное с ингибированием фактора некроза опухолей α в дозе 1 мг/кг. По результатам компьютерного моделирования Singh D.B. и соавт. [16] выдвинули гипотезу, согласно которой данное соединение может быть токсичным для печени. Первые данные о цитостатических свойствах 5'-нораристеромицина появились 30 лет назад [12]; на культурах клеток лейкоза мышей L1210/0, лимфоцитов человека Molt4 и СЕМ/0 показано ингибирование пролиферации в концентрации 0.39–0.50 мкг/мл. Однако комплексного исследования цитотоксичности не проводилось и публикации о степени острой токсичности данного соединения для животных нами не обнаружены.
Структура 5'-нораристеромицина
Цель данной работы состояла в оценке противоопухолевой активности 5'-нораристеромицина на культурах клеток с последующим изучением особенностей его токсического действия на организм теплокровных животных с определением основных токсикометрических параметров.
ЭКСПЕРИМЕНТАЛЬНАЯ ЧАСТЬ
Материалы и методы
5'-Нораристеромицин в виде рацемической смеси энантиомеров синтезировали согласно [13].
Клеточные линии
Клетки линий Jurkat, K562 и THP-1 культивировали с использованием среды RPMI 1640 (Gibco, США) с добавлением 10% эмбриональной бычьей сыворотки (FBS), 100 мкг/мл пенициллина, 100 мкг/мл стрептомицина, 1 мМ пирувата натрия и 2 мМ L-глутамина. Клеточные культуры инкубировали при 37°C и 5% CO2.
Цитотоксичность 5′-нораристеромицина в отношении клеток лейкозов линий Jurkat, K562 и THP-1
Для определения цитотоксического действия 5'-нораристеромицина на клетки лейкозов линий THP-1, Jurkat и K562 высаживали в количестве 2500, 2000 и 2500 на лунку 96-луночного планшета соответственно. Далее клетки обрабатывали препаратом в широком диапазоне концентраций (0.86–50 мкМ). В качестве контроля использовали ДМСО в концентрации 0.25% в лунке, что соответствует проценту ДМСО при внесении наибольшей концентрации препарата. Суммарный объем лунки составлял 100 мкл. Клетки инкубировали в течение 72 ч. Resazurin Cytotoxicity Assay Kit (CEL-04-4-30 ML) (ООО «Абисенс», Россия) использовали для оценки выживаемости клеток. Resazurin добавляли в соотношении 1 : 100 в PBS в объеме 100 мкл и инкубировали в течение 4 ч при +37°C и 5% CO2. Далее измеряли абсорбцию (570 нм абсорбция и 620 нм референс) с использованием Multiskan FC (ThermoScientific, США). От значения, полученного для каждой лунки, вычитали среднее значение сигнала для лунок, содержащих только среду. После чего данные, полученные для каждой из концентраций, нормировали на контроль и методом нелинейной регрессии рассчитывали IC50 (полумаксимальная ингибирующая концентрация). Минимальное количество повторов для каждой концентрации – три. Для расчета IC50 и построения графиков зависимости процента живых клеток от концентрации препарата использовали The GraphPad Prism software v.8.4.3 (GraphPad Software, San Diego, США).
Токсичность 5′-нораристеромицина для белых беспородных мышей
Токсическое действие соединения изучали в соответствии с «Руководством по проведению доклинических исследований лекарственных средств» [17].
В качестве биомоделей использовали белых беспородных мышей обоего пола массой 25–30 г. Животных получили из питомника ФГУП «НИИ ГТП» ФМБА России.
Опытные и контрольная группы состояли из четырех животных с равным количеством самцов и самок. Мышей распределяли по группам случайным образом, учитывали отсутствие внешних признаков заболеваний и гомогенность по массе тела (±10%).
Испытаны дозы в интервале от 40 до 1000 мг/кг. Вещество вводили внутрижелудочно с помощью металлического зонда из расчета 0.05 мл на 10 г массы тела. Контрольные животные аналогичным путем в том же количестве получали растворитель – 99% ДМСО (фармакопейный препарат «ОАО Татхимфармпрепараты», Россия).
После введения вещества животных наблюдали в течение 14 суток, фиксируя клинические проявления интоксикации и факт гибели. Смертельные дозы соединения рассчитывали методом пробит-анализа по D.J. Finney в программе Microsoft Excel 2013 на 14 сутки с момента введения [18].
Павших животных вскрывали в максимально короткие сроки после гибели, отмечая макроскопические проявления воздействия исследуемых веществ. Выделяли внутренние органы (сердце, легкие, печень, селезенку, поджелудочную железу, почки, желудок, тонкий и толстый кишечник) [19, 20] с их последующим гистологическим исследованием. Биоматериал фиксировали в 10% нейтральном формалине в течение 4 суток. Затем образцы обезвоживали в батарее спиртов восходящей крепости и просветляли в хлороформе в гистопроцессоре Cytadel 2000 (Shendon) и заключали в парафиновую среду Histomix («Биовитрум», Россия). Парафиновые срезы толщиной 4–5 мкм получали с помощью ротационного микротома (Microm HM340E) и монтировали на предметные стекла. Для обзорного исследования срезы окрашивали гематоксилином и эозином по общепринятой методике [20].
Микропрепараты изучали и фотографировали с помощью микроскопа AxioScope A1 (Carl Zeiss, Германия), оборудованного цифровой камерой высокого разрешения AxioCam MRc5. Полученные фотографии обрабатывали с помощью программы ZENpro 2012 (Carl Zeiss).
РЕЗУЛЬТАТЫ И ОБСУЖДЕНИЕ
Цитотоксическое действие 5′-нораристеромицина оценивали на перевиваемых клетках лейкозов человека линий Jurkat, THP-1, K562. Показано, что данный препарат оказывает выраженный цитотоксический эффект на клетки всех трех клеточных линий. При этом значительное цитотоксическое действие 5′-нораристеромицин проявлял в концентрации менее 1 мкМ. Рассчитанные методом нелинейной регрессии значения полумаксимальных ингибирующих концентраций (IC50) данного препарата составили: для клеток линии Jurkat ~7.3, K562 ~1.7, THP-1 ~3.7 мкМ (рис. 1). Подобные значения предполагают возможную эффективность данного препарата и на моделях лабораторных животных и указывают на то, что он представляет интерес для дальнейшего изучения механизмов его действия в отношении злокачественных клеток лейкозов.
Рис. 1. Выживаемость клеток лейкозов после обработки 5' - ораристеромицином. Приведены кривые, отражающие содержание (%) живых клеток Jurkat, K562, THP-1 в лунках, обработанных препаратом в концентрации (0.86–50 мкМ). Значения IC50 рассчитаны методом нелинейной регрессии и представлены справа от графиков для каждой из трех клеточных линий
Наблюдение за развитием клинической картины интоксикации при воздействии 5′-нораристеромицина показало, что через 5 мин после поступления препарата в дозах 200 и 1000 мг/кг у мышей наблюдалось резкое возбуждение, нарушение функции задних конечностей. Гибель животных наступала в течение первых суток с момента введения. В первый час после введения 5′-нораристеромицина в дозах 50 и 80 мг/кг клинические проявления отсутствовали, затем развивалась малоподвижность, заторможенность. Введение вещества в дозе 40 мг/кг не сопровождалось клиническими симптомами интоксикации и гибелью животных.
В табл. 1 представлены результаты определения смертельных доз 5′-нораристеромицина после однократного внутрижелудочного введения вещества.
Таблица 1. Дозы 5'-нораристеромицина, однократное внутрижелудочное введение которых смертельно для нелинейных мышей
Доза, мг/кг | Число животных в группе/число павших | Расчетные значения смертельных доз, мг/кг | ||
ЛД16 | ЛД50 с Доверительными интервалами | ЛД84 | ||
40 50 80 200 1000 | 4/0 4/1 4/3 4/4 4/4 | 44.7 | 63.2 (52.7…75.8) | 89.4 |
Макроскопическая оценка органов павших животных показала, что основные изменения в них связаны с органами желудочно-кишечного тракта. В дозе от 80 до 1000 мг/кг препарат вызывал кровоизлияния в слизистую желудка и начального отдела тонкого кишечника с истончением их стенок, дряблостью, наличием в просвете тонкого кишечника слизистого содержимого желто-бурого цвета. После введения дозы 50 мг/кг у единственного павшего животного отмечали только дряблость тонкого кишечника с участками вздутия и слизеобразное содержимое желто-бурого цвета в просвете кишечника.
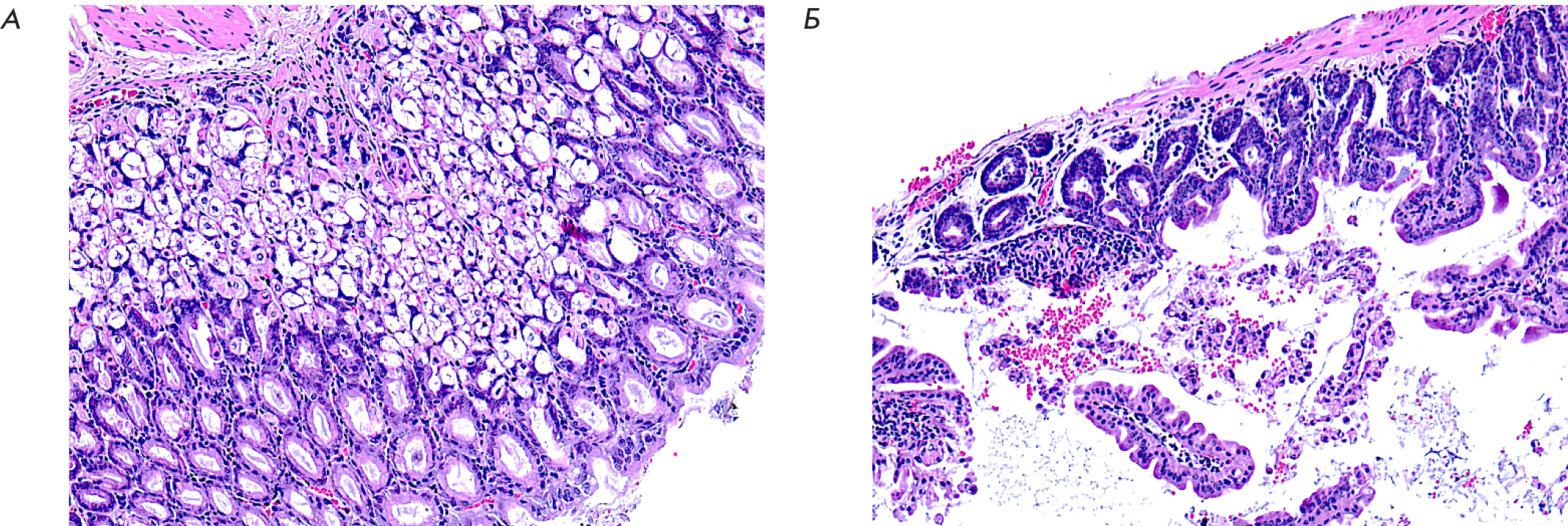
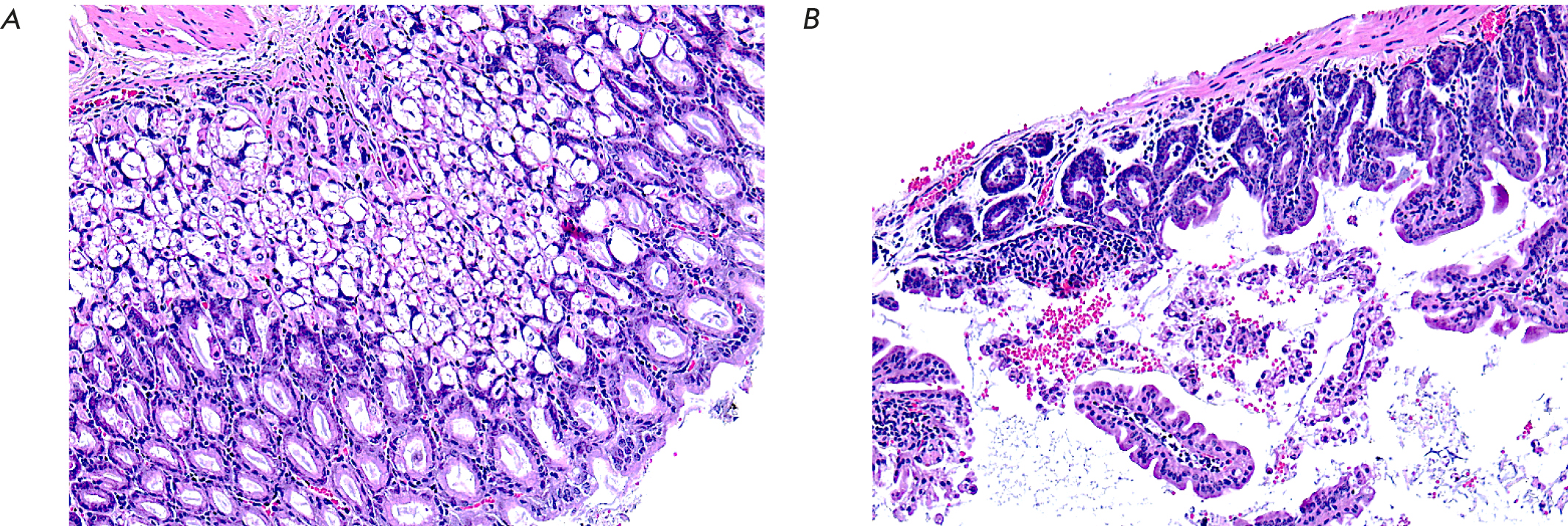
Введение животным 5′-нораристеромицина в дозе 80 мг/кг, близкой к среднесмертельной, приводило к выраженным изменениям гистоархитектоники исследуемых органов и тканей. Так, микроскопическое исследование стенки желудка выявило активацию главных и добавочных (слизистых клеток), что сопровождалось дилатацией желез с накоплением в них слизистого содержимого (рис. 2А).
Рис. 2. Фрагмент слизистой оболочки стенки желудка (А) и тонкого кишечника (Б) подопытной мыши после введения 5' - нораристеромицина в дозе 80 мг/кг. Окраска гематоксилином-эозином. Увеличение 200
При исследовании фрагмента тонкого кишечника выявляли гибель и слущивание многочисленных эпителиоцитов слизистой оболочки в просвет кишки. Сохранившиеся ворсинки приобретали более уплощенную форму, а на их апикальной поверхности отсутствовала каемка из микроворсинок. Также отмечали истончение подслизистого слоя и частичную редукцию мышечной и серозной оболочек (рис. 2Б).
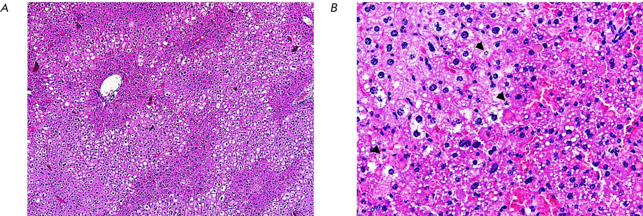
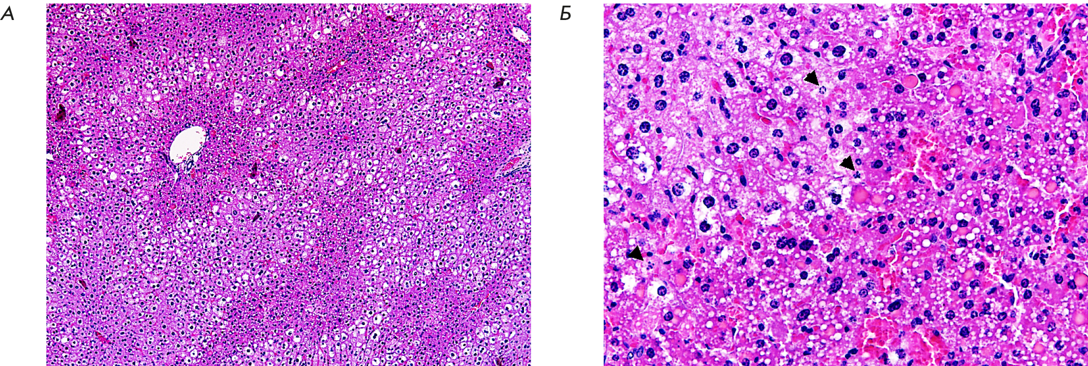
Рис. 3. Фрагмент ткани печени подопытной мыши после введения 5'- нораристеромицина в дозе 80 мг/кг. Гепатоциты с фрагментированным ядром – апоптотические клетки (показаны стрелкой), округлые клетки с гомогенной цитоплазмой – некротические клетки. Окраска гематоксилином-эозином. Увеличение 100 (А); 400 (Б)
В ткани печени отмечали тотальную дискомлексацию печеночных балок, выраженный перипортальный стеатоз в сочетании с центролобулярными участками гибели гепатоцитов (рис. 3А). При этом, согласно морфологическому исследованию, в гибели части печеночных клеток были признаки апоптоза, а другая часть клеток подвергалась некротическим изменениям (рис. 3Б). В относительно сохранных гепатоцитах отмечали или пикноз ядер, или перераспределение хроматина в подмембранное пространство ядра.
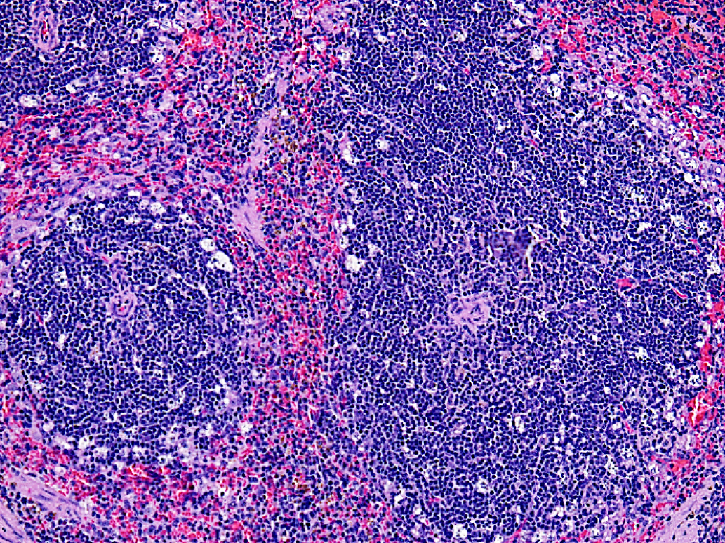
В селезенке подопытных животных регистрировали многочисленную гибель лимфоидных клеток по периферии фолликулов белой пульпы (рис. 4).
Рис. 4. Фрагмент селезенки подопытной мыши после введения 5'- нораристеромицина в дозе 80 мг/кг. Окраска гематоксилином-эозином. Увеличение 200
В почках подопытной мыши отмечали стазирование и сладжирование эритроцитов в капиллярной системе клубочков и межтубулярного пространства. Просвет многочисленных извитых канальцев был сужен вследствие гипертрофии выстилающих их эпителиоцитов, а в цитоплазме клеток присутствовали многочисленные вакуоли (рис. 5А). В легочной ткани подопытной мыши отмечалась инфильтрация полиморфноядерными нейтрофилами межуточной ткани легкого. Также регистрировали утолщение и отек альвеолярных перегородок, явления диапедеза эритроцитов в межальвеолярные перегородки (рис. 5Б).
Рис. 5. Фрагмент ткани почки (А) и легкого (Б) подопытной мыши после введения 5'- нораристеромицина в дозе 80 мг/кг. Окраска гематоксилином-эозином. Увеличение 400
Таким образом, изучение токсических свойств 5′-нораристеромицина позволило установить его среднесмертельную дозу при пероральном введении для нелинейных мышей на уровне 63.2 мг/кг. Основными симптомами интоксикации в первые минуты были неврологические отклонения (резкое возбуждение и нарушение функции задних конечностей), а в более позднее время (в период от 2 ч до момента гибели) – выраженная гиподинамия.
Согласно клиническим проявлениям и результатам патоморфологического исследования введение 5′-нораристеромицина в дозах 50 мг/кг и выше вызывало у подопытных животных системное поражение внутренних органов и тканей. В первую очередь прямой негативный эффект проявлялся в органах желудочно-кишечного тракта (желудок, тонкий кишечник, печень) и иммунной системы (селезенка).
Внутрижелудочное введение 5′-нораристеромицина в дозе 40 мг/кг не вызывало у подопытных животных клинических признаков интоксикации и летальных исходов в течение всего срока наблюдения.
ЗАКЛЮЧЕНИЕ
Комплексный анализ результатов исследования показал высокую степень цитостатической активности вновь синтезированного химического вещества 5′-нораристеромицина в отношении культур клеток лейкозов линий Jurkat, K562 и THP-1 in vitro. Цитотоксическое действие соединения на клетки лейкозов проявляется уже в диапазоне концентраций от 1 до 10 мкМ. При этом не выявлено токсического действия данного вещества на животных при введении внутрижелудочно в дозе менее 50 мг/кг. Необходимо отметить, что похожими токсическими параметрами обладают некоторые препараты, широко применяемые в терапии злокачественных заболеваний кроветворной системы. В качестве примера можно привести препарат этопозид, диапазон полумаксимальных действующих концентраций которого при добавлении к перевиваемым клеткам лейкоза составляет, согласно различным данным, около 10–100 мкМ [21, 22]. При этом нелетальные дозы, применяемые в исследованиях на мышиных моделях, составляют около 50 мг/кг [23, 24].
В экспериментах на лабораторных животных в диапазоне летальных доз выявлен ряд особенностей общетоксического действия соединения. В дальнейшем в целях возможной разработки нового лекарственного препарата 5′-нораристеромицин будет нуждаться в доклиническом изучении с оценкой специфической противоопухолевой активности на моделях in vivo.
Полученные в ходе предварительных испытаний сведения о цитотоксическом потенциале исследуемого вещества в отношении клеток лейкоза, а также результаты исследования общетоксического действия на лабораторных животных позволяют отнести 5′-нораристеромицин к числу перспективных противоопухолевых агентов. Исследования механизма его цитотоксического действия в отношении злокачественных клеток и возможностей его применения в качестве одного из компонентов комбинированной терапии совместно с широко применяемыми химиотерапевтическими препаратами заслуживают дальнейшего более тщательного изучения.
Исследование выполнено при поддержке Российского научного фонда (грант № 23-64-10018, https://rscf.ru/project/23-64-10018/). Определение полумаксимальных действующих концентраций в отношении клеток лейкозов выполнено при поддержке гранта 075-15-2019-1660 Министерства науки и высшего образования Российской Федерации.
Об авторах
О. Н. Новикова
Научно-исследовательский институт гигиены, токсикологии и профпатологии Федерального медико-биологического агентства
Email: khandazhinskaya@bk.ru
Россия, Волгоград, 400048
Е. С. Матюгина
Институт молекулярной биологии им. В.А. Энгельгардта РАН
Email: khandazhinskaya@bk.ru
Россия, Москва, 119991
А. В. Горшенин
Научно-исследовательский институт гигиены, токсикологии и профпатологии Федерального медико-биологического агентства
Email: khandazhinskaya@bk.ru
Россия, Волгоград, 400048
Ю. И. Великородная
Научно-исследовательский институт гигиены, токсикологии и профпатологии Федерального медико-биологического агентства
Email: khandazhinskaya@bk.ru
Россия, Волгоград, 400048
М. Д. Кренгауз
Институт молекулярной биологии им. В.А. Энгельгардта РАН; Московский физико-технический институт (национальный исследовательский университет)
Email: khandazhinskaya@bk.ru
Россия, Москва, 119991; Долгопрудный, 141701
В. О. Ведерникова
Институт молекулярной биологии им. В.А. Энгельгардта РАН; Московский физико-технический институт (национальный исследовательский университет)
Email: khandazhinskaya@bk.ru
Россия, Москва, 119991; Долгопрудный, 141701
П. В. Спирин
Институт молекулярной биологии им. В.А. Энгельгардта РАН; Центр высокоточного редактирования и генетических технологий для биомедицины, Институт молекулярной биологии им. В.А. Энгельгардта РАН
Email: khandazhinskaya@bk.ru
Россия, Москва, 119991; Москва, 119991
В. С. Прасолов
Институт молекулярной биологии им. В.А. Энгельгардта РАН; Центр высокоточного редактирования и генетических технологий для биомедицины, Институт молекулярной биологии им. В.А. Энгельгардта РАН
Email: khandazhinskaya@bk.ru
Россия, Москва, 119991; Москва, 119991
С. Н. Кочетков
Институт молекулярной биологии им. В.А. Энгельгардта РАН
Email: khandazhinskaya@bk.ru
Россия, Москва, 119991
А. Л. Хандажинская
Институт молекулярной биологии им. В.А. Энгельгардта РАН
Автор, ответственный за переписку.
Email: khandazhinskaya@bk.ru
ORCID iD: 0000-0003-1452-0253
Россия, Москва, 119991
Список литературы
- De Clercq E. // Med. Res. Rev. 2009. V. 29. P. 611–645.
- Scotto L., Narayan G., Nandula S.V., Arias-Pulido H., Subramaniyam S., Schneider A., Kaufmann A.M., Wright J.D., Pothuri B., Mansukhani M., et al. // Genes Chromosomes Cancer. 2008. V. 47. P. 755–765.
- Loo L.W., Tiirikainen M., Cheng I., Lum-Jones A., Seifried A., Church J.M., Gryfe R., Weisenberger D.J., Lindor N.M., Gallinger S., et al. // Genes Chromosomes Cancer. 2013. V. 52. P. 450–466.
- Gros C., Fahy J., Halby L., Dufau I., Erdmann A., Gregoire J.M., Ausseil F., Vispe S., Arimondo P.B. // Biochimie. 2012. V. 94. P. 2280–2296.
- Aury-Landas J., Girard N., Lhuissier E., Adouane D., Delepee R., Boumediene K., Bauge C. // Cell Physiol. Biochem. 2019. V. 53. P. 731–745.
- Hayden A., Johnson P.W., Packham G., Crabb S.J. // Breast Cancer Res. Treat. 2011. V. 127. P. 109–119.
- Uchiyama N., Dougan D.R., Lawson J.D., Kimura H., Matsumoto S.I., Tanaka Y., Kawamoto T. // Biochem. Biophys. Res. Commun. 2017. V. 491. P. 1–7.
- Uchiyama N., Tanaka Y., Kawamoto T. // Eur. J. Pharmacol. 2017. V. 812. P. 138–146.
- Wu G., Wang N., Luo Y., Zhang Y., Wang P., Zhu Z., Gao Y., Du Z., Yang B. // Tumour Biol. 2017. V. 39. P. 1010428317699117.
- Kusaka A., Yamamoto H., Shibata M., Muroi M., Kishi T., Mizuno K. // J. Antibiotics. 1968. V. 21. Is. 4. P. 255–263.
- Patil S.D., Schneller S.W., Hosoya M., Snoeck R., Andrei G., Balzarini J., De Clercq E. // J. Med. Chem. 1992. V. 35. № 18. P. 3372–3377.
- Siddiqi S.M., Chen X., Schneller S.W., Ikeda S., Snoeck R., Andrei G., Balzarini J., De Clercq E. // J. Med. Chem. 1994. V. 37. P. 551–554.
- Khandazhinskaya A.A., Shirokova E.A., Shipitsin A.V., Karpenko I.L., Belanov E.F., Kukhanova M.K., Yasko M.V. // Coll. Czechoslovak Chem. Commun. 2006. V. 71. P. 1107–1121.
- De Clercq E. // Nucleosides, Nucleotides. Nucl. Acids. 1998. V. 17. № 1. P. 625–634.
- Ito M., Hamano T., Komatsu T., Asamitsu K., Yamakawa T., Okamoto T. // Modern Rheumatol. 2014. V. 24. № 5. P. 775–780.
- Singh D.B., Gupta M.K., Singh D.V., Singh S.K., Misra K. // Interdisciplinary Sci.-Comput. Life Sci. 2013. V. 5. № 1. P. 1–12.
- Руководство по проведению доклинических исследований лекарственных средств. Ч. 1. М.: Гриф и К, 2012. 944 с.
- Finney D.J. Probit analysis. A statistical treatment of the sigmoid response curve. Cambridge: Cambridge Univ. Press, 1947. 272 p.
- Меркулов Г.А. Курс патологогистологической техники. 5-е изд., испр. и доп. Л.: Медицина, Ленингр. отделение, 1969. 423 с.
- Микроскопическая техника: руководство / ред. Д.С. Саркисов, Ю.Л. Перов. М.: Медицина, 1996. 544 с.
- Husaini R., Ahmad M., Zakaria Z. // Exp. Ther. Med. 2017. V. 13. № 6. P. 3209–3216.
- Zhou Z., Zwelling L.A., Ganapathi R., Kleinerman E.S. // Br. J. Cancer. 2001. V. 85. № 5. Р. 747–751.
- Slater L.M., Stupecky M., Sweet P., Osann K., Eklof A., Arquilla E.R. // Cancer Chemother. Pharmacol. 2001. V. 48. № 4. Р. 327–332.
- Kluska M., Woźniak K. // Internat. J. Mol. Sci. 2021. V. 22. № 12. P. 6602.
Дополнительные файлы








