Characteristics of microsporogenesis in polyploid apple initial for breeding
- Authors: Lavrusevich N.G.1, Borodkina A.G.1
-
Affiliations:
- Russian Research Institute of Fruit Crop Breeding
- Issue: No 4 (2025)
- Pages: 13-23
- Section: Genetics, breeding, study of varieties
- Submitted: 14.05.2025
- Published: 29.12.2025
- URL: https://journal-vniispk.ru/2312-6701/article/view/291695
- EDN: https://elibrary.ru/JWVNKI
- ID: 291695
Cite item
Full Text
Abstract
The main method of obtaining apple triploids is cross-breeding according to the 2x × 4x scheme. When including tetraploids in the breeding process, it is necessary to take into account the formation of gametes, which allows for the correct selection of initial forms for cross-breeding and the determination of the necessary amount of hybridization. The goal of the research was to study the microsporogenesis of the tetraploid apple form for use in polyploid breeding. The research was conducted at the Cytembryology Laboratory of the Russian Research Institute of Fruit Crop Breeding (VNIISPK). The 32-14-36 apple tetraploid [25-37-45 (Orlovskaya Girlyanda × Wealthy tetraploid) × 16981 (Korichnoye Polosatoye × Prima)] was used as an object of the study. The acetohumatexilin method was used to study meiosis during microsporogenesis. When the generative buds reached the “green cone” stage, the buds were fixed. The pollen fertility was determined by the acetocarmine method. The morphology of the 32-14-36 apple tetraploid is typical, as it was in the case with previously studied tetraploid apple trees. Disorders in meiosis of microsporogenesis (premature running of one or more chromosomes to the spindle poles, chromosome ejections outside the division spindle, chromosome lagging, bridges, asynchronous division in different spindles of a single microsporocyte, a combination of two types of disorders in a single microsporocyte, polyad formation, etc.) in the vast majority of cases varied within 8.7—38.5%. It was noted that most microsporocytes had correct meiotic division patterns, which was confirmed by the high percentage of normal-sized cells (81.4%) and the high fertility of pollen grains (73.1%). Therefore, the 32-14-36 apple tetraploid can be used as a pollinator in the breeding process.
Keywords
Full Text
Введение
Полиплоидия является одним из важнейших факторов эволюции растительного мира, так как служит источником изменчивости, увеличения пластичности форм и их адаптивных возможностей (Жученко, 2004).
У яблони триплоидный уровень плоидности считается наиболее оптимальным, поскольку преимущества триплоидных сортов яблони перед диплоидными проявляются в улучшении целого ряда свойств: более регулярное по годам плодоношение, высокая товарность, витаминность плодов (Седов и др., 2021; Седов и др., 2022a; Седов и др., 2022b; Тележинский, Котов, 2021). Во ВНИИСПК впервые в России и в мире создана серия триплоидных сортов яблони от целенаправленных скрещиваний 2х × 4х: Августа, Академик Савельева, Бежин луг, Благодать, Дарена, Министр Киселев, Орловский партизан, Осиповское, Патриот, Александр Бойко, Яблочный Спас и др. (Седов и др., 2019; Корнеева и др., 2023). Селекция яблони на полиплоидном уровне позволяет получать триплоидные сорта путем вовлечения в селекционный процесс тетраплоидных форм яблони, которые дают гаметы с двойным набором хромосом, что обеспечивает дополнительные возможности получения большого генетического разнообразия в гибридном потомстве и, следовательно, увеличения вероятности отбора новых ценных форм.
Изучение кариотипа важно для селекции яблони (Podwyszyńska et al., 2021). Размер клеток, количество устьиц и диаметр пыльцевых зерен положительно коррелирует с уровнем плоидности, а также размером генома. Размер плодов лишь частично коррелирует с уровнем плоидности (Podwyszyńska et al., 2019; Podwyszyńska, Marasek, 2021). При включении полиплоидных форм в селекционные скрещивания обязательным условием является определение плоидности полученного потомства, что дает возможность отобрать генотипы с тройным набором хромосом и по выходу триплоидных растений определить, является ли тетраплоидная родительская форма донором диплоидных гамет (Пикунова и др., 2018). Генотипы и фенотипы тетраплоидов яблони были изучены рядом исследователей (Podwyszyńska et al., 2019; Podwyszyńska, Marasek, 2021). Отмечено, что тетраплоиды отличаются слабым ростом (Podwyszyńska et al., 2019; Podwyszyńska, Marasek, 2021; Xue et al., 2017).
Микроспорогенез является ключевым этапом в жизненном цикле растений и приводит к образованию микроспор (гаплоидных клеток). Процесс микроспорогенеза у сортов вишни, сливы, груши, яблони, смородины и крыжовника описаны рядом авторов (Васильева, Матвеев, 2011; Яндовка, Папихин, 2012; Мочалова, 2018; Степанова и др., 2024). Морфология мейоза тетраплоидных форм яблони слабо изучена из-за их невысоких хозяйственно-ценных свойств по сравнению с широко распространенными диплоидными сортами яблони (Горбачева, 2018; Лаврусевич, Бородкина, 2024). Привлечение тетраплоидов в селекционный процесс по получению триплоидов поставило вопрос о необходимости их детального изучения (Лаврусевич и др., 2024). Лаборатория цитоэмбриологии ВНИИСПК занимается всесторонним изучением эмбриональных структур тетраплоидных форм яблони – доноров диплоидных гамет. К настоящему времени подробно изучен ход мейоза во время микроспорогенеза и формирование микроспор у 21 тетраплоидной формы яблони. При сравнении тетраплоидных форм яблони между собой отмечены общие морфологические типы нарушений на всех стадиях микроспорогенеза. Так, на стадиях метафазы I и II наиболее распространенными типами нарушений являются преждевременное забегание отдельных хромосом к полюсам веретена деления, выброс за пределы ахроматинового веретена, сверхчисленные веретена, часто встречаются микроспороциты с двумя и даже тремя типами нарушений одновременно в одном микроспороците (забегание + выброс и др.), асинхронное деление в разных веретенах. На стадиях анафазы-I и II чаще других типов встречаются выбросы и запоздалое деление (отставание) части бивалентов в центре веретена деления, мосты и комбинации из двух типов нарушений в одном микроспороците одновременно, например, отставание + выбросы. Стадии телофазы-I и II характеризуются наличием микроядер и сверхчисленных ядер. Часть таких нарушений приводит к формированию микроспороцитов с числом микроспор больше или меньше нормы. У подавляющего большинства тетраплоидных форм на стадии тетрад встречаются полиады с числом микроспор от 5 до 7, пентады, гексады, гептады, реже встречаются октады и нонады, а также диады и триады. Несмотря на встречающиеся нарушения мейоза во время микроспорогенеза, у большинства изученных форм мейоз завершается формированием значительного количества морфологически нормальной выровненной пыльцы, изредка отмечены крупные пыльцевые зерна (Седов и др., 2015).
Изучение цитоэмбриологических особенностей исходных полиплоидных форм является необходимой частью селекционной работы с использованием полиплоидов. При использовании тетраплоидных форм в гетероплоидных скрещиваниях следует в обязательном порядке учитывать их цитоэмбриологические характеристики, особенности формирования гамет. Эти знания позволяют селекционерам правильно подобрать исходные формы и наметить необходимый объем скрещиваний для получения достаточного количества гибридных растений нужной плоидности и для выделения форм – кандидатов в сорта с триплоидным генотипом. Изучение цитоэмбриологических особенностей генеративных структур тетраплоидных форм яблони, определение плоидности гибридного потомства необходимы для успешной постановки селекционных работ и для прогнозирования результатов этих работ, является актуальным.
Необходимо отметить, что в России и мире подобного рода работа ведется не столь активно, что подчеркивает ценность данных исследований.
Цель исследований – изучение микроспорогенеза тетраплоидной формы яблони для использования в селекции на полиплоидном уровне.
Материалы и методы
Исследования проводили в 2023 году на базе лаборатории цитоэмбриологии и в селекционном саду яблони ВНИИСПК с серыми лесными почвами, с содержанием гумуса 3%. Год посадки – 2017. Схема посадки 5,0 × 1,0 м. В междурядьях используется естественное залужение, в приствольных полосах гербициды.
Объектом исследования была полиплоидная форма яблони 32-14-36 [25-37-45 (Орловская Гирлянда × Wealthy тетраплоидный) × 16981 (Коричное полосатое × Прима)], которая получена в отделе селекции семечковых культур. Из 200 гибридных сеянцев семьи селекционерами было отобрано 48 растений, из них только один сеянец имел тетраплоидный набор хромосом, поэтому он был выбран для дальнейшего изучения, так как ограниченное количество тетраплоидных форм яблони является сдерживающим фактором для селекции яблони на полиплоидном уровне. Плоидность (2n =4x = 68) определена в лаборатории цитоэмбриологии ВНИИСПК. Плоды у формы 32-14-36 румяные, массой 130 г, внешний вид оценивается на 4,2 балла, вкус на 4,1 балл.
Для изучения мейоза во время микроспорогенеза из фиксированного материала готовили временные давленые препараты ацетогематоксилиновым методом (Седышева, Соловьева, 1999).
В год проведения исследований на анализ были взяты (зафиксированы) все генеративные почки, имеющиеся на дереве, в бутонах проанализированы все встретившиеся микроспороциты на разных стадиях деления. Всего было проанализировано 1061 микроспороцит (таблица 1). На стадиях анафаза-I и метафаза-II встретилось небольшое количество клеток – 65 и 68 шт.
Генеративные почки фиксировались в уксусном алкоголе (3 : 1). Фиксация темпоральная на протяжении нескольких дней с момента появления зеленого конуса и до массового появления сформированной пыльцы в пыльниках (конец апреля – начало мая). Бутоны в фиксаторе оставляли на 24 часа. Зафиксированный материал промывали 96% этиловым спиртом (3 раза по 1 часу), заливали 70% этиловым спиртом для хранения. При приготовлении временных микропрепаратов осуществлялась последовательная проводка бутонов в стеклянных бюксах через кислоты – 10 минут в 1N растворе соляной кислоты (HCl) для вымывания фиксирующей жидкости из тканей бутонов, затем мацерация в смеси концентрированной HCl и дистиллированной воды (1 : 1) в течение 20 минут, трехкратное промывание в дистиллированной воде для полного смыва соляной кислоты и заливка на 20 минут уксусной кислотой для пропитывания тканей и удаления остатков соляной кислоты. Затем бутоны на сутки заливали ацетогематоксилином, после слива красителя бюкс наполняли дистиллированной водой. Из бутонов препаровальной иглой вычленяли пыльники, помещали на 3…5 минут в каплю дифференцирующего раствора – равной смеси по объему 45% уксусной кислоты и хлоралгидрата. Затем пыльники помещали на предметное стекло, накрывали покровным стеклом и раздавливали. Препарат готов для просмотра под микроскопом (Седышева, Соловьева, 1999). Фертильность пыльцы определяли ацетокарминовым методом (Паушева, 1988). Изучение микроспорогенеза проводили на микроскопах «Nikon-80i», «Nikon-50i» при 40-кратном и 100-кратном увеличении, фотографии сделаны фотокамерой Nikon DS-Fi.
Результаты исследований
Для определения ценности тетраплоидной формы яблони 32-14-36 [25-37-45 (Орловская Гирлянда × Wealthy тетраплоидный) × 16981 (Коричное полосатое × Прима)], как донора диплоидных гамет, проанализирован характер микроспорогенеза.
Следует отметить, что мейоз в материнских клетках пыльцы протекает весной в течение довольно короткого времени, когда цветковые почки находятся на стадии зеленого конуса. Начало мейоза отмечено в пыльниках, когда визуально они выглядят зеленовато-прозрачными. Если окраска пыльников становится кремовой – мейоз завершен, в пыльниках наблюдается одноядерная пыльца.
Изучение последовательных стадий мейоза показало наличие отклонений у формы 32-14-36 на всех стадиях деления. Уровень нарушений варьировал от 8,7% (стадия телофаза-I) до 38,5% (стадия метафаза-II) (таблица 1).
Таблица 1 – Количество и характер аномалий в ходе мейоза у тетраплоидной формы яблони 32-14-36 селекции ВНИИСПК
Стадия мейоза | Всего просмотрено клеток, шт. | Всего клеток с нарушениями | Типы нарушений | Количество нарушений | ||
шт. | % ± m | шт. | % от общего количества нарушений | |||
Метафаза-I | 123 | 37 | 30,1±4,1 | забегание | 31 | 83,8 |
выбросы | 6 | 16,2 | ||||
Анафаза-I | 68 | 14 | 20,6±4,9 | отставание | 11 | 78,6 |
выбросы | 2 | 14,3 | ||||
мост + выброс | 1 | 7,1 | ||||
Телофаза-I | 195 | 17 | 8,7±2,0 | микроядра | 16 | 94,1 |
мост | 1 | 5,9 | ||||
Метафаза-II | 65 | 25 | 38,5±6,0 | забегание | 17 | 68,0 |
выбросы | 7 | 28,0 | ||||
забегание + выброс | 1 | 4,0 | ||||
Анафаза-II | 105 | 23 | 21,9±4,0 | отставание | 10 | 43,5 |
выбросы | 4 | 17,4 | ||||
асинхронность деления | 1 | 4,3 | ||||
мост | 4 | 17,4 | ||||
комбинация из двух нарушений | 4 | 17,4 | ||||
Телофаза-II | 129 | 17 | 13,2±2,9 | сверхчисленные ядра | 17 | 100 |
Тетрады | 376 | 94 | 25,0±2,2 | пентада | 67 | 71,3 |
гексада | 22 | 23,4 | ||||
гептада | 3 | 3,2 | ||||
октада | 2 | 2,1 | ||||
В гетеротипическом делении на стадиях метафазы-I и анафазы-I число нарушений максимальное, на стадии телофазы-I резко снижается. В гомеотипическом делении на стадиях метафазы-II и анафазы- II вновь увеличивается, а в телофазе-II – уменьшается. Такие колебания происходят, по всей вероятности, потому, что часть нарушений такого типа как забегание и отставание отдельных хромосом к моменту завершения стадии объединяются с основной группой хромосом, и ко времени наступления стадий телофазы-I и телофазы-II из нарушений остаются лишь хромосомы, отброшенные за пределы веретена деления. Такая общая тенденция характерна и для большинства тетраплоидных форм яблони, изученных ранее Г.А. Седышевой. Как исключение, был отмечен ход мейоза при микроспорогенезе у тетраплоидной формы сорта McIntosh (4х), число нарушений начиная со стадии метафазы-II резко увеличивалось и достигало максимума (96,7%) к моменту завершения мейоза (Седов и др., 2008).
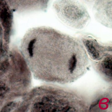
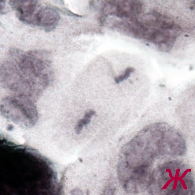
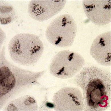
На рисунке 1 представлены типы нарушений на отдельных стадиях мейоза. Морфология нарушений у тетраплоидной формы яблони 32-14-36 типична, как и у ранее изученных тетраплоидов яблони (Седов и др. 2015).
Рисунок 1 – Картины деления в ходе микроспорогенеза
На стадии метафазы I и II превалируют преждевременные забегания хромосом к полюсам деления (рисунок 1а), выбросы отдельных хромосом или групп хромосом за пределы веретена деления (рисунок 1д).
Во время анафазы I и II кроме отставаний, выбросов, мостов, характерных для обоих делений, во время второго деления еще отмечены асинхронность деления, комбинация из двух типов нарушений (рисунок 1г).
Для телофазы наиболее характерно наличие микроядер, сверхчисленных ядер (рисунок 1и). Это, в свою очередь, приводит к тому, что на следующей стадии вместо нормальных тетрад образуются полиады (пентады, гексады, гептады, октады), а также микроспоры с микроядрами (рисунок 1л). Все это свидетельствует об аномальном распределении хроматина в процессе мейотического деления, а, следовательно, часть микроспор из таких аномальных микроспороцитов будет иметь пониженную жизнеспособность.
В гетеротипическом делении на стадии метафаза-I основной тип нарушений – забегание 1…3 хромосом к полюсам веретена деления (83,8% от общего числа нарушений); в анафазе-I – запоздалое деление 1…3 бивалентов в центре веретена – 78,6% от общего числа нарушений, выбросы отдельных хромосом составляют – 14,3%. В телофазе-I наличие микроядрышек составляет 100% нарушений.
В гомеотипическом делении на начальной стадии (метафаза-II) преобладающим типом нарушений является преждевременное отхождение одной или нескольких хромосом к полюсам веретена деления (68% от общего числа нарушений); выбросы хромосом за пределы веретена деления составили 28%, наличие несколько типов аномалий (выброс + забегание хромосом) – 4% от общего числа нарушений. В анафазе-II нарушения в процентном соотношении следующее: отставание хромосом составляет 43,5%, выбросы, мосты, комбинации из двух типов нарушений по 17,4%, асинхронность деления 4,3%. В телофазе-II присутствие 1-3 сверхчисленных ядер составляет 100% нарушений. На стадии тетрад полиады составляют 25% всех нарушений. Из полиад 71,3% – пентады (таблица 1).
Следует отметить, что у большей части микроспороцитов картины мейотического деления правильные, что подтверждается анализом пыльцы – аномальные (мелкие, крупные) пыльцевые зерна составляют 18,6%, а нормальные пыльцевые зерна – 81,4%. Фертильность пыльцы тетраплоидной формы яблони 32-14-36 составила 73,1% (рисунок 2).
Рисунок 2 – Пыльца тетраплоидной формы 32-14-36 после окрашивания ацетокармином
Следовательно, тетраплоидную форму яблони можно использовать в качестве опылителя в селекционном процессе.
Заключение
Изучены последовательные стадии мейоза вовремя микроспорогенеза и фертильность пыльцы у полиплоида 32-14-36 (4х). Выявлено, что тетраплоидная форма имеет незначительное число отклонений на последовательных этапах мейоза (8,7…38,5%), большая часть микроспороцитов с правильными картинами деления, что подтверждается большим процентом фракции нормального размера (81,4%) и высокой фертильностью пыльцевых зерен (73,1%). Морфология нарушений у тетраплоидной формы яблони 32-14-36 типична, как и у ранее изученных тетраплоидов яблони. На основании полученных данных делается вывод о пригодности полиплоидной формы яблони 32-14-36 (4х) [25-37-45 (Орловская Гирлянда × Wealthy тетраплоидный) × 16981 (Коричное полосатое × Прима)] в качестве опылителя в гетероплоидных скрещиваниях.
Конфликт интересов: авторы заявляют об отсутствии конфликта интересов.
About the authors
Natalya Gennadievna Lavrusevich
Russian Research Institute of Fruit Crop Breeding
Email: lavrusevich@orel.vniispk.ru
ORCID iD: 0000-0001-8985-8967
SPIN-code: 3205-4188
PhD in Agriculture, Head of laboratory of cytoembryology
Russian Federation, Zhilina village, VNIISPK, Orel district, Orel region 302530Anastasiya Gennadievna Borodkina
Russian Research Institute of Fruit Crop Breeding
Author for correspondence.
Email: borodkina@orel.vniispk.ru
ORCID iD: 0000-0002-4693-0030
SPIN-code: 6335-4964
junior researcher in the laboratory of cytoembryology of the Russian Research Institute
Russian Federation, Zhilina village, VNIISPK, Orel district, Orel region 302530References
- Vasilieva, M.N. & Matveyev, V.A. (2011). Microsporogenesis peculiarities of the diploid plum tree. Fruit Growing, 23, 121-128. https://fruit.belal.by/jour/article/view/509. (In Russian. English abstract).
- Gorbacheva, N.G. (2018). Characterization of microsporogenesis in the tetraploid form which initial for apple tree selection. Vestnik of the Russian Agricultural Science, 4, 25-27. https://doi.org/10.30850/vrsn/2018/4/25-27. (In Russian. English abstract).
- Zhuchenko, A.A. (2004). Ecological Genetics of Cultivated Plants and Problems of Agricultural Sphere. Agrorus, 1, 688. https://www.elibrary.ru/qkwomp. (In Russian).
- Korneeva, S.A. Sedov, E.N., & Yanchuk, T.V. (2023). Apple trees varieties of VNIISPK selection in production. Vestnik of the Russian Agricultural Science, 4, 50-54. (In Russian. English abstract). https://doi.org/10.31857/2500-2082/2023/4/50-54
- Lavrusevich, N.G., & Borodkina, A.G. (2024). Features of the reduction division of the Malus domestica tetraploid. Contemporary Horticulture, 1, 32-40. https://www.elibrary.ru/duuhtv. (In Russian. English abstract).
- Lavrusevich, N.G., Borodkina, A.G., & Zubkova, M.A. (2024). Characteristics of microsporogenesis in the triploid apple tree and it’s parental form in connection with usage in breeding at the polyploid level. Vestnik of the Russian Agricultural Science, 2, 15-19. https://doi.org/10.31857/S2500208224020047. (In Russian. English abstract).
- Mochalova, O.V. (2018). Peculiarities of microsporogenesis in hexaploid hybrids of steppe cherry (Prunus fruticose Pall.). Contemporary Horticulture, 3, 47-55. https://www.elibrary.ru/yqvinf. (In Russian. English abstract).
- Pausheva, Z.P. (1988). Practicum on Plant Cytology. Agropromizdat. (In Russian).
- Pikunova, A.V., Sedov, E.N., Tokmakov, S.V. Suprun, I.I., Gorbacheva, N.G., Dolzhikova, M.A., Yanchuk, T.V, & Serova, Z.M. (2018). Microsatellite loci polymorphism of apple (Malus domestica Borkh.) genotypes with different ploidy level. Genetika. 54(4), 447-455. https://doi.org/10.7868/S0016675818040069. (In Russian. English abstract).
- Sedov, E.N., Korneeva, S.A., & Yanchuk, T.V. (2021). The role of domestic breeding in improving the apple assortment in Russia. Vestnik of the Russian Agricultural Science, 4, 17-19. https://doi.org/10.30850/vrsn/2021/4/17-19. (In Russian. English abstract).
- Sedov, E.N., Sedysheva, G.А., Makarkina, M.A., Levgerova, N.S., Serova, Z.M., Korneeva, S.A., Gorbacheva, N.G., Salina, E.S., Yanchuk, T.V., Pikunova, A.V., & Ozherelieva, Z.E. (2015). The Innovations in Apple Genome Modification Opening New Prospects in Breeding. VNIISPK. https://www.elibrary.ru/xxpbed. (In Russian, English abstract).
- Sedov, E.N., Serova, Z.М., Yanchuk, Т.V., & Korneeva, S.А. (2019). Triploid Apple Cultivars of VNIISPK Breeding for Assortment Improvement (popularization of breeding achievements). VNIISPK. https://www.elibrary.ru/enmehf. (In Russian).
- Sedov, E.N., Yanchuk, T.V., & Korneeva, S.A. (2022). New diploid, triploid, immunal to scab and column-like apple tree varieties in assortment improvement. Vestnik of the Russian Agricultural Science, 1, 25-31. https://doi.org/10.30850/vrsn/2022/1/25-31. (In Russian. English abstract).
- Sedov, E.N., Yanchuk, T.V., Korneeva, S.A., & Makarkina, M. A. (2022). Russian adaptive apple (Malus × domestica Borkh.) varieties of VNIISPK – continuity of goals and developed technologies (review). Agricultural Biology, 57(5), 897-910. https://doi.org/10.15389/agrobiology.2022.5.897eng. (In Russian. English abstract.).
- Sedov, E.N., Sedysheva, G.А., & Serova, Z.М. (2008). Apple Breeding on Polyploidy Level. VNIISPK. https://www.elibrary.ru/yflbbr. (In Russian, English abstract).
- Sedysheva, G.A., & Solov'eva, M.V. (1999). Cytological and embryological studies, morphogenesis features studies. In E.N. Sedov, & T.P. Ogoltsova (Eds.), Program and Methods of Variety Investigation of Fruit, Berry and Nut Crops (pp. 203-218). VNIISPK. https://www.elibrary.ru/yhapnz. (In Russian).
- Stepanova, N.K., Yandovka, L.F., Shamrov, I.I., & Veber, G.S. (2024). Peculiarities of microsporogenesis in Ribes and Grossularia (Grossulariaceae) species under introduction conditions (St. Petersburg). Botanicheskii Zhurnal, 109(12), 1252-1263. https://www.elibrary.ru/nnvbya. (In Russian, English abstract).
- Telezhinskij, D.D., & Kotov, L.A. (2021). Breeding-oriented evaluation of the progeny of cv. «Papirovka tetraploidnaya» in the Middle Urals. Proceedings on Applied Botany, Genetics and Breeding, 182(4), 143-147. https://doi.org/10.30901/2227-8834-2021-4-143-147. (In Russian, English abstract).
- Yandovka, L.F., & Papikhin, R.V. (2012). MIcrosporogenesis in the Pyrus, Malus, Cerasus, Microcerasus varieties and their hybrids. Agricultural Biology, 47(1), 52-59. https://doi.org/10.15389/agrobiology.2012.1.52rus. (In Russian, English abstract).
- Dar, J., Wani, A.A., & Dhar, M.K. (2015). Morphological, biochemical and male-meiotic characterization of apple (Malus × domestica Borkh.) germplasm of Kashmir Valley. Chromosome Botany, 10, 39-49. https://doi.org/10.3199/iscb.10
- Podwyszyńska, M., Markiewicz, M., Klamkowski, K., Broniarek, A., & Marasek Ciołakowska, A. (2019). The genetic background of the phenotypic variability observed in apple autotetraploids. Acta Horticulturae, 1307, 177-186. https://doi.org/10.17660/ActaHortic.2021.1307.28
- Podwyszyńska, M., Markiewicz, M., Broniarek Niemiec, A., Matysiak, B., & Marasek Ciolakowska, A. (2021). Apple autotetraploids with enhanced resistance to apple scab (Venturia inaequalis) due to genome duplication phenotypic and genetic evaluation. International Journal of Molecular Sciences, 22, 527. https://doi.org/10.3390/ijms22020527
- Podwyszyńska, M., & Marasek Ciołakowska, A. (2021). Ploidy, genome size, and cytogenetics of apple. In S.S Korban. (Ed.), The Apple Genome. Compendium of Plant Genomes (pp. 47-71). Springer. https://doi.org/10.1007/978-3-030-74682-7_4
- Xue, H., Zhang, B., Tian, J.R., Chen, M.M., Zhang, Y.Y., Zhang, Z.H.,& Ma, Y. (2017). Comparison of the morphology, growth and development of diploid and autotetraploid «Hanfu» apple trees. Scientia Horticulturae, 225, 277-285. https://doi.org/10.1016/j.scienta.2017.06.059
Supplementary files
Note
Disclaimer: The statements, opinions and data contained in the publication belong exclusively to the authors and co-authors. VNIISPK and the editorial board of the journal disclaim responsibility for any damage to people and/or property resulting from the use of any ideas, methods, instructions or products mentioned in the content.















