MORPHOFUNCTIONAL AND MOLECULAR CHANGES IN PLACENTA AND PERIPHERAL BLOOD IN PREECLAMPSIA AND GESTATIONAL DIABETES MELITUS
- Authors: Artemieva K.A.1, Stepanova Y.V.2, Stepanova I.I.1, Shamarakovа M.V.3, Tikhonova N.B.1, Nizyaeva N.V.1, Tsakhilova S.G.2, Mikhaleva L.M.1
-
Affiliations:
- “A.P. Avtsyn research institute of human morphology of Petrovsky National Research Centre of Surgery”
- Evdokimov Moscow State University and Dentistry
- SBHI of Moscow “City Clinical Hospital named after S.S. Yudin” of the Healthcare Department of Moscow
- Issue: Vol 513, No 1 (2023)
- Pages: 555-563
- Section: Articles
- URL: https://journal-vniispk.ru/2686-7389/article/view/244368
- DOI: https://doi.org/10.31857/S2686738923600553
- EDN: https://elibrary.ru/GPFMGI
- ID: 244368
Cite item
Full Text
Abstract
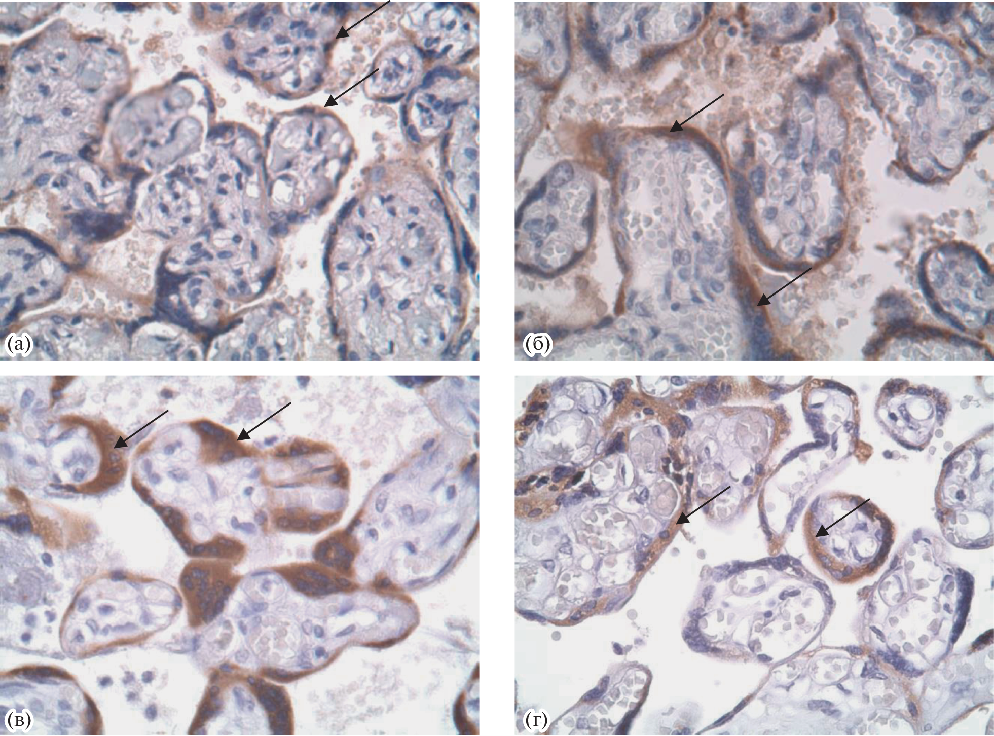
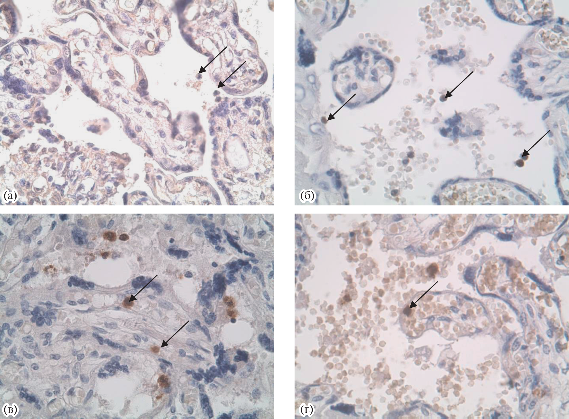
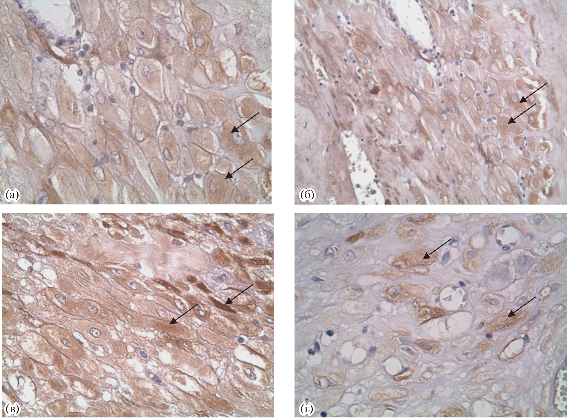
Gestational diabetes mellitus (GDM) and preeclampsia (PE) are common pregnancy complications with similar risk factors. Although GDM is associated with PE, the exact mechanism underlying the association of these diseases is unclear. The aim of the work: to study morphofunctional and molecular changes in the placenta and peripheral blood both in PE and GDM. In the study, we evaluated local and systemic changes in the production of several placental proteins, markers of inflammation and metabolic disorders. Changes in villi expression of placental lactogen, trophoblastic β1-glycoprotein, placental alpha-1-microglobulin, and proteinase3 were noted in the groups of complicated pregnancies. The present study shows the similarity of the pathogenic mechanisms underlying PE and GDM.
About the authors
K. A. Artemieva
“A.P. Avtsyn research institute of human morphology of Petrovsky National Research Centre of Surgery”
Author for correspondence.
Email: artemjeva_ksenia@mail.ru
Russian Federation,
Moscow
Yu. V. Stepanova
Evdokimov Moscow State University and Dentistry
Email: artemjeva_ksenia@mail.ru
Russian Federation, Moscow
I. I. Stepanova
“A.P. Avtsyn research institute of human morphology of Petrovsky National Research Centre of Surgery”
Email: artemjeva_ksenia@mail.ru
Russian Federation,
Moscow
M. V. Shamarakovа
SBHI of Moscow “City Clinical Hospital named after S.S. Yudin” of the Healthcare Department of Moscow
Email: artemjeva_ksenia@mail.ru
Russian Federation,
Moscow
N. B. Tikhonova
“A.P. Avtsyn research institute of human morphology of Petrovsky National Research Centre of Surgery”
Email: artemjeva_ksenia@mail.ru
Russian Federation,
Moscow
N. V. Nizyaeva
“A.P. Avtsyn research institute of human morphology of Petrovsky National Research Centre of Surgery”
Email: artemjeva_ksenia@mail.ru
Russian Federation,
Moscow
S. G. Tsakhilova
Evdokimov Moscow State University and Dentistry
Email: artemjeva_ksenia@mail.ru
Russian Federation, Moscow
L. M. Mikhaleva
“A.P. Avtsyn research institute of human morphology of Petrovsky National Research Centre of Surgery”
Email: artemjeva_ksenia@mail.ru
Russian Federation,
Moscow
References
- Yang Y., Wu N. Gestational Diabetes Mellitus and Preeclampsia: Correlation and Influencing Factors // Front Cardiovasc Med. 2022. V. 9. P. 831297.
- Weissgerber T.L., Mudd L.M. Preeclampsia and diabetes // Curr Diab Rep. 2015. V. 15. № 3. P. 9.
- Brown M.A., Magee L.A., Kenny L.C., et al. Hypertensive disorders of pregnancy: ISSHP classification, diagnosis, and management recommendations for international practice // Hypertension. 2018. V. 72. P. 24–43.
- Kul S., Guvenc T.S., Baycan O.F., et al. Combined past preeclampsia and gestational diabetes is associated with a very high frequency of coronary microvascular dysfunction // Microvasc Res. 2021. V. 134. P. 104104.
- Vounzoulaki E., Khunti K., Abner S.C., et al. Progression to type 2 diabetes in women with a known history of gestational diabetes: systematic review and meta-analysis // BMJ. 2020. V. 369. P. m1361.
- Phoswa W.N., Khaliq O.P. The role of oxidative stress in hypertensive disorders of pregnancy (preeclampsia, gestational hypertension) and metabolic disorder of pregnancy (gestational diabetes mellitus) // Oxid Med Cell Longev. 2021. V. 2021. P. 5581570.
- Rattila S., Kleefeldt F., Ballesteros A., et al. Pro-angiogenic effects of pregnancy-specific glycoproteins in endothelial and extravillous trophoblast cells // Reproduction. 2020. V. 160. № 5. P. 737–750.
- Sibiak R., Jankowski M., Gutaj P., et al. Placental Lactogen as a Marker of Maternal Obesity, Diabetes, and Fetal Growth Abnormalities: Current Knowledge and Clinical Perspectives // J Clin Med. 2020. V. 9. № 4. P. 1142.
- Заморина С.А., Раев М.Б. Иммунорегуляторный потенциал трофобластического β-гликопротеина: перезагрузка // Медицинская иммунология. 2015. Т. 17. № S. С. 27.
- Mokkala K., Juhila J., Houttu N., et al. Early pregnancy serum IGFBP-1 relates to lipid profile in overweight and obese women // Heliyon. 2020. V. 6. № 8. P. 04788.
- Abraham T., Romani A.M.P. The Relationship between Obesity and Pre-Eclampsia: Incidental Risks and Identification of Potential Biomarkers for Pre-Eclampsia // Cells. 2022. V. 11. № 9. P. 1548.
- Клинические рекомендации. Гестационный сахарный диабет. Диагностика, лечение, акушерская тактика, послеродовое наблюдение. М. 2020 г. / Gestational diabetes mellitus. (Clinical recommendations). [In Russ.] M. 2020.
- Старосветская Н.А., Назимова С.В., Степанова И.И. и др. Получение комплекса моноклональных антител для иммуногистохимических исследований в области физиологии и патологии репродукции // Клиническая и экспериментальная морфология. 2012. № 2. С. 22–27.
- Li X., Li C., Wang Y., et al. IGFBP1 inhibits the invasion, migration, and apoptosis of HTR-8/SVneo trophoblast cells in preeclampsia // Hypertens Pregnancy. 2022. V. 41. № 1. P. 53–63.
- Qiao L., Saget S., Lu C., et al. Adiponectin Promotes Maternal β-Cell Expansion Through Placental Lactogen Expression // Diabetes. 2021. V. 70. № 1. P. 132–142.
- Markl-Hahn H., Neugebauer L., Lenke L., et al. Human Placental Tissue Contains A Placental Lactogen-Derived Vasoinhibin // J Endocr Soc. 2022. V. 6. № 4. P. bvac029.
- Adu-Gyamfi E.A., Fondjo L.A., Owiredu W.K.B.A., et al. The role of adiponectin in placentation and preeclampsia// Cell Biochem Funct. 2020. V. 38. № 1. P. 106–117.
- Meyer-Hoffert U. Neutrophil-derived serine proteases modulate innate immune responses // Front. Biosci. (Landmark Ed). 2009. V. 14. № 9. P. 3409–3418.
- Patterson E.K., Gillio-Meina C., Martin C.M., et al. Proteinase 3 contributes to endothelial dysfunction in an experimental model of sepsis // Exp Biol Med (Maywood). 2021. V. 246. № 21. P. 2338–2345.
- Smits L., Bockstal M.V., Frezin J. Deciduosis of the appendix: a rare cause of acute abdomen during pregnancy (a case report) // Pan Afr Med J. 2020. V. 37. P. 316.
- Беттихер О.А., Зазерская И.Е., Попова П.В., и др. Характеристика преэклампсии у беременных с гестационным диабетом // Журнал акушерства и женских болезней. 2019. Т. 68. № 5. С. 19–36.
Supplementary files






