Нейрональная и мышечная дифференцировки клеток млекопитающих сопровождаются сменой экспрессирующихся изоформ PHF10
- Авторы: Байрамова Д.О.1,2, Азиева А.М.3, Феоктистов А.В.1,2, Георгиева С.Г.1, Сошникова Н.В.1,2
-
Учреждения:
- Институт молекулярной биологии им. В.А. Энгельгардта Российской академии наук
- Центр точного геномного редактирования и генетических технологий для биомедицины Института молекулярной биологии им. В.А. Энгельгардта
- Научно-исследовательский центр «Курчатовский институт»
- Выпуск: Том 514, № 1 (2024)
- Страницы: 96-100
- Раздел: Статьи
- URL: https://journal-vniispk.ru/2686-7389/article/view/258952
- DOI: https://doi.org/10.31857/S2686738924010189
- EDN: https://elibrary.ru/KHXBYO
- ID: 258952
Цитировать
Полный текст
Аннотация
Комплекс ремоделирования хроматина PBAF играет важнейшую роль в регуляции экспрессии генов в процессе дифференцировки тканей и при развитии организма. Специфичность взаимодействие комплекса с хроматином определяется наличием в ряде его субъединиц доменов, узнающих определенные модификации N-концевых последовательностей гистонов. PHF10, субъединица комплекса PBAF, содержит DPF-домен, являющийся уникальным доменом взаимодействия с хроматином. В клетках позвоночных также присутствует изоформа PHF10, не имеющая домена DPF. В данной работе показано, что при нейрональной и мышечной дифференцировке клеток человека и мыши меняется экспрессия изоформ PHF10: формы, не имеющие DPF, замещают формы, в которых он присутствует. Замена изоформ PHF10 в комплексе PBAF может влиять на его избирательность в регуляции генов дифференцирующихся клеток.
Ключевые слова
Полный текст
Ремоделирование хроматина осуществляется специальными комплексами, которые изменяют положение нуклеосом относительно ДНК за счет энергии гидролиза АТФ. Среди них семейство комплексов типа SWI/SNF принимает участие в регуляции экспрессии генов [1]. Нокаут субъединиц комплекса является летальным для организма или приводит к дефектам развития определенных органов [2]. Семейство SWI/SNF включает в себя три типа комплексов, которые отличаются субъединичным составом: BAF, PBAF, GBAF [3]. Комплексы содержат порядка 10–12 субъединиц, из которых часть является общими, а другие специфичными для каждого из комплексов. Ряд субъединиц комплекса имеют домены, узнающие различные модификации N-концевых последовательностей гистонов, что определяет взаимодействие комплекса с конкретным районом хроматина [4].
Комплекс PBAF отличается от остальных комплексов семейства наличием модуля связывания хроматина, состоящего из четырех белков: BAF200, BAF180, BRD7 и PHF10. Каждый из этих белков содержит домены, распознающие модификации N-концов гистонов, что позволяет комплексу специфично локализоваться на хроматине.
Субъединица PHF10 играет важную роль в функционировании комплекса, так как нокаут гена PHF10 у мышей является эмбриональной леталью [5]. PHF10 имеет внутреннюю структурированную часть, состоящую из WHD домена и двух альфа-спиралей (рис. 1, а и б).
Ранее мы показали, что у PHF10 имеются изоформы, отличающиеся N- и C-концами (рис. 1, а) [6]. В результате старта с альтернативных промоторов белковые изоформы могут содержать (PHF10-Pl и PHF10-Sl) или не содержать (PHF10-Ps, PHF10-Ss) N-концевые 46 аминокислот. В результате альтернативной терминации С-конец изоформ оканчивается DPF-доменом (PHF10-Pl и PHF10-Ps, обобщенное название PHF10-P) или вместо него – сайтом конъюгирования SUMO1 – PDSM мотивом (PHF10-Sl и PHF10-Ss, обобщенное название PHF10-S). DPF принадлежит к группе PHD- доменов, взаимодействующих с N-концевыми последовательностями гистонов. DPF является уникальным доменом, присутствующим всего в нескольких белках [7]. Согласно моделированию DPF белка PHF10 способен связываться с H3K14ac N-концом гистона [8]. H3K14aс модификация характерна для активирующихся генов и локализуется на промоторах и кодирующей части генов [9].
Рис. 1. (а) Схема изоформ PHF10. Обозначены характерные домены и мотивы изоформ PHF10. (б) Предсказанная структура PHF10-Pl (Q8WUB8) согласно Alpha Fold database (https://alphafold.ebi.ac.uk/entry/Q8WUB8). (в) Экспрессия изоформ PHF10-P, PHF10-S и их соотношение в различных тканях человека согласно базе данных GTEx (The Genotype-Tissue Expression (GTEx) Project data). По оси ординат TPM (количество транскриптов на миллион прочтений в образце).
Помимо различной доменной организации изоформы имеют различные паттерны фосфорилирования. Более всего между собой отличаются PHF10-Pl и PHF10-Ss изоформы (рис. 1, а).
При миелоидной дифференцировке PHF10-P рекрутируются на промоторы специфических генов [10] и участвуют в привлечении РНК-полимеразы II [6]. Также для PHF10-P изоформ была показана важная роль в поддержании пролиферации нейрональных предшественников и фибробластов [11, 12]. Про роль PHF10-S изоформ известно гораздо меньше. Мы установили, что они включаются в комплекс PBAF альтернативно PHF10-P изоформам, фосфорилируются по другим аминокислотам и за счет этого гораздо стабильнее PHF10-P изоформ [13]. В большинстве клеточных линий онкогенного происхождения экспрессируются и PHF10-P и PHF10-S изоформы, что затрудняет изучение их функций.
В данной работе мы выяснили, что из всех тканей человека наиболее обогащенными PHF10-S изоформами являются нервная и мышечная ткани. Также мы показали, что при дифференцировке клеточных линий по нейрональному и мышечному пути начинают экспрессироваться PHF10-Ss изоформы и значительно снижается экспрессия PHF10-Pl изоформ. Это явление «переключения экспрессии изоформ» является консервативным процессом и наблюдается на человеческих и мышиных культурах нейрональных клеток.
Для изучения функциональных особенностей изоформ мы проанализировали экспрессию DPF- содержащих и не содержащих изоформ и их соотношение в различных тканях человека, представленных в GTEx (The Genotype-Tissue Expression Project data) базе данных (рис. 1, в) [14]. Оба типа изоформ экспрессируются практически во всех тканях и примерно на одном уровне. Однако в тканях мозга (кора больших полушарий и мозжечок на графике), сердца (предсердие и левый желудочек на графике) и в мышечных тканях (скелетные мышцы) экспрессия изоформ DPF- не содержащих изоформ (PHF10-S) преобладает.
Поскольку ранее было показано, что DPF-содержащая форма нужна для пролиферации клеток, мы предположили, что ее замена в тканях на изоформу, не содержащую DPF, может быть связана с дифференцировкой клеток. Для дальнейшего исследования связи этих процессов были выбраны несколько клеточных линий и проведена их дифференцировка. Линию человека SH-SY5Y нейронального происхождения дифференцировали в течение трех дней с помощью ATRA (all-trans retinoic acid) (10M) с последующим добавлением фактора BDNF (50нг/мл) в нейробазальной среде с добавлением 1x B27 и Глутамакса. На всем протяжении дифференцировки с помощью световой микроскопии фиксировали изменения клеточного фенотипа и постепенное формирование нейритов (рис. 2, б, левая панель). Также мы отбирали клетки, лизировали и проводили Вестерн-блоттинг с окрашиванием антителами к PHF10, узнающими все изоформы PHF10, полученными нами ранее [6]. Количество белка выравнивали по экспрессии тубулина (рис. 2, а, правая панель). Уже на пятый день мы детектировали уменьшение экспрессии DPF-содержащей изоформы PHF10-Ps изоформ и увеличение PHF10-Sl, которая не содержит DPF. Кроме того, началась экспрессия PHF10-Ss изоформы, которых не было в недифференцированных клетках. На десятый день мы переставали детектировать экспрессию PHF10-Pl и PHF10-Ps становилась еще меньше, однако значительно усиливалась экспрессия PHF10-Ss (рис. 2, а, правая панель). Таким образом, при нейрональной дифференцировке клеток человека мы наблюдали изменение экспрессии изоформ PHF10: PHF10-Pl переставала экспрессироваться, а PHF10-Ss начинала и вместе с PHF10-Sl становились преобладающими в дифференцированных SH-SY5Y-клетках.
Рис. 2. (а) и (б) Нейрональная дифференцировка клеток человека линии SH-SY5Y (А) и клеток мыши линии Neuro 2a (б): левая панель – визуализация с помощью негативного контрастирования фенотипа клеток в течение десяти дней дифференцировки; правая панель – Вестерн-блоттинг изоформ PHF10 без дифференцировки, в середине и по окончании дифференцировки. Изоформы обозначены справа. Слева показан маркер молекулярных масс – 55 и 70кДа. Окраска антителами к тубулину использовалась как контроль нанесения в обоих случаях.
Дифференцировку другой линии нейронального происхождения, клеток мыши Neuro2A проводили в течение десяти дней с помощью ATRA. Фенотип этих клеток несколько отличался от SH-SY5Y, однако они также давали нейриты и переставали делиться к концу дифференцировки (рис. 2, б, левая панель). Экспрессию изоформ Phf10 также детектировали с помощью Вестерн-блоттинга и окрашивания антителами против Phf10 (рис. 2, б, правая панель). К десятому дню дифференцировки мы также наблюдали прекращение экспрессии Phf10-Pl изоформы, увеличение экспрессии Phf10-Sl и мощную экспрессию изоформы Phf10-Ss. Однако в отличие от SH-SY5Y экспрессия Phf10-Ps не менялась, что возможно связано с тем, что некоторые процессы и сигнальные пути в культуре клеток Neuro2A могут отличаться от in vivo дифференцировки. В целом тенденция смены экспрессии изоформ Phf10-Pl на Phf10-Ss наблюдалась и в данных клетках мыши, что свидетельствует о консервативности молекулярных механизмов, регулирующих «переключение изоформ» и важности PHF10-Ss изоформ в нервной ткани млекопитающих.
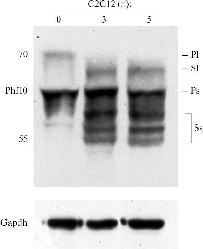
Также была проведена дифференцировка линии иммортализованных мышиных скелетных миобластов C2C12 по мышечному пути с помощью замены в клеточной среде 20 % бычьей сыворотки на 1 % лошадиную сыворотку [15]. Методом Вестерн-блоттинга уже на третий и на пятый дни дифференцировки были обнаружены изменения уровней экспрессии изоформ Phf10. Баланс изоформ смещался в сторону изоформ, не содержащих DPF: прекращалась экспрессия Phf10-Pl, а уровень Phf10-Ss и Phf10-Sl изоформ возрастал (рис. 3).
Рис. 3. Вестерн-блоттинг изоформ Phf10 в процессе миогенной дифференцировки клеток мыши линии С2С12. Изоформы обозначены справа. Слева показан маркер молекулярных масс – 55 и 70кДа. Окраска антителами к белку Gapgh использовалась как контроль нанесения.
Таким образом, при нейрональной и миогенной дифференцировке клеток млекопитающих (мыши и человека) происходит смена экспрессии изоформ PHF10. Изоформы, не содержащие DPF замещают изоформы с DPF-доменом. В частности, PHF10-Pl перестает экспрессироваться, и заменяется на PHF10-Ss изоформу, которая не детектируется в недифференцированных клетках, но становится преобладающей в конечно-дифференцированных клетках.
При дифференцировке клеток происходит изменения в транскрибирующихся генах: меняются их эпигенетические модификации, структура хроматина и организация в пространстве. Это приводит к тому, что экспрессия некоторых генов, в частности генов пролиферации, ингибируется и активируется экспрессия тканеспецифических генов. Ранее было показано, что некоторые субъединицы PBAF имеют гомологи, которые экспрессируются в определенных клетках и тканях [3]. Таким образом, состав комплексов SWI/SNF может быть специфичен для определенных типов клеток.
Изоформы PHF10 включаются в состав комплекса PBAF альтернативно и придают комплексу определенную специфичность в отношении хроматина, с которым комплекс предпочитает связываться. DPF домен изоформ PHF10-P потенциально связывает H3K14ac N-конец гистона [8]. H3K14aс локализуется на промоторах и кодирующей части генов и возникает на тканеспецифичных генах, в процессе активации их de novo [9]. PHF10-Ss изоформа не содержит этот домен, но вместо этого домена способна ковалентно конъюгировать SUMO1 [6]. SUMO1 может связываться с SIM мотивами (Sumo interaction motives) других белков. Помимо этого, PHF10-Pl и PHF10-Ss имеют разные паттерны фосфорилирования: у PHF10-Pl фосфорилирование более десяти серинов и треонинов в неструктурированной части N-конца PHF10, а у PHF10-Ss такому интенсивному фосфорилированию подвергается неструктурированная часть ближе к С-концу [13]. Разные модификации также могут способствовать избирательности комплекса PBAF, включающие разные изоформы, в отношении взаимодействующих белков и транскрипционных факторов.
ИСТОЧНИК ФИНАНСИРОВАНИЯ
Данная работа была поддержана грантом Российского фонда фундаментальных исследований (№ 21-14-00258).
КОНФЛИКТ ИНТЕРЕСОВ
Конфликт интересов отсутствует.
СОБЛЮДЕНИЕ ЭТИЧЕСКИХ СТАНДАРТОВ
Настоящая статья не содержит каких-либо исследований с использованием животных в качестве объектов.
Об авторах
Д. О. Байрамова
Институт молекулярной биологии им. В.А. Энгельгардта Российской академии наук; Центр точного геномного редактирования и генетических технологий для биомедицины Института молекулярной биологии им. В.А. Энгельгардта
Email: so2615@gmail.com
Россия, Москва; Москва
А. М. Азиева
Научно-исследовательский центр «Курчатовский институт»
Email: so2615@gmail.com
Россия, Москва
А. В. Феоктистов
Институт молекулярной биологии им. В.А. Энгельгардта Российской академии наук; Центр точного геномного редактирования и генетических технологий для биомедицины Института молекулярной биологии им. В.А. Энгельгардта
Email: so2615@gmail.com
Россия, Москва; Москва
С. Г. Георгиева
Институт молекулярной биологии им. В.А. Энгельгардта Российской академии наук
Email: so2615@gmail.com
академик РАН
Россия, МоскваН. В. Сошникова
Институт молекулярной биологии им. В.А. Энгельгардта Российской академии наук; Центр точного геномного редактирования и генетических технологий для биомедицины Института молекулярной биологии им. В.А. Энгельгардта
Автор, ответственный за переписку.
Email: so2615@gmail.com
Россия, Москва; Москва
Список литературы
- Moshkin Y. M., et al. // Mol Cell Biol. 2012. V. 32. № 3. P. 675–688.
- Sokpor G., et al. // Front Mol Neurosci. 2017. V. 10. P. 243.
- Centore R. S., et al // Trends Genet. 2020. V. 36. № 12. P. 936–950.
- Singh A., et al. // Cell Biochem Biophys. 2023. V. 81. № 2. P. 167–187.
- Krasteva V., et al. // Exp Hematol. 2017. V. 48. P. 58–71.
- Brechalov A. V., et al. // Cell Cycle. 2014. V. 13 № 12. P. 1970–1979.
- Soshnikova N. V., et al. // Acta Naturae. 2020. V. 12. № 4. P. 57–65.
- Chugunov A. O., et al. // Int J Mol Sci. 2021. V. 22. № 20.
- Regadas I., et al. // Mol Cell. 2021. Vol. 81. № 8. P. 1766–1780.
- Viryasova G. M., et al .// Biochim Biophys Acta Mol Cell Res. 2019. V. 1866. № 12. P. 118525.
- Lessard J., et al // Neuron. 2007. V. 55. № 2. P. 201–215.
- Banga S. S., et al. // Cytogenet Genome Res. 2009. V. 126. № 3. P. 227–242.
- Tatarskiy V. V.et al. // Sci Rep. 2017. V. 7. № 1. P. 5645.
- GTEx Consortium // Nat Genet. 2013. V. 45. № 6. P. 580–585.
- Jing L., et al. // Bio Protoc. 2012. V. 2. № 10.
Дополнительные файлы





