Оптимизированный протокол бипараметрической магнитно-резонансной томографии для диагностики рака предстательной железы
- Авторы: Абуладзе Л.Р.1, Семенов Д.С.1, Панина О.Ю.1,2,3, Васильев Ю.А.1
-
Учреждения:
- Научно-практический клинический центр диагностики и телемедицинских технологий
- Городская клиническая онкологическая больница №1
- Московский государственный медико-стоматологический университет имени А.И. Евдокимова
- Выпуск: Том 3, № 3 (2022)
- Страницы: 166-177
- Раздел: Технические отчеты
- URL: https://journal-vniispk.ru/DD/article/view/108484
- DOI: https://doi.org/10.17816/DD108484
- ID: 108484
Цитировать
Аннотация
Обоснование. Рак предстательной железы занимает одну из лидирующих позиций в структуре онкологической заболеваемости среди мужчин. Актуальные на сегодняшний момент рекомендации PI-RADS формируют требования к протоколу магнитно-резонансной томографии, которые невозможно полностью реализовать на значительной части функционирующих томографов. В результате подход к выполнению исследования варьирует в разных медицинских организациях, что нередко негативно влияет на качество интерпретации изображения и диагностику целевой патологии.
Цель ― разработать оптимизированный для существующего парка магнитно-резонансных томографов протокол бипараметрической магнитно-резонансной томографии, потенциально эффективный для скрининга рака предстательной железы и раннего выявления новообразований. При этом протокол должен быть максимально приближен к актуальным рекомендациям PI-RADS v2.1 и соответствовать требованиям к эффективности работы отделений лучевой диагностики.
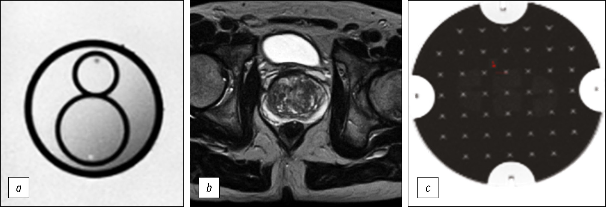
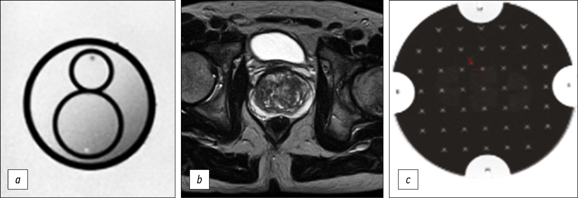
Материалы и методы. Предварительный анализ полученных магнитно-резонансных изображений предстательной железы в медицинских организациях Департамента здравоохранения города Москвы показал отсутствие единого подхода к выполнению данного исследования. Методом итерационной корректировки параметров сканирования нами был настроен протокол, обеспечивающий приемлемое качество визуализации при максимально возможном соответствии требованиям PI-RADS. Для количественной оценки качества получаемых изображений применялся фантом для контроля магнитно-резонансной томографии, рекомендованный Американским обществом рентгенологов.
Результаты. Разработан оптимизированный бипараметрический протокол для томографа Excelart Vantage 1,5 Т, включающий Т2-взвешенные изображения в трёх плоскостях и диффузионно-взвешенные изображения общей длительностью менее 11 мин. При этом обеспечен высокий уровень детализации предстательной железы, а параметры качества изображения (неоднородность яркости, нелинейность, разрешающая способность и толщина выделяемого среза) соответствовали допустимым производителем диапазонам.
Заключение. Предложенный протокол позволяет эффективно оценивать состояние предстательной железы. Его внедрение в практику медицинских организаций может оказать значимое влияние на выявляемость рака предстательной железы у населения. Следует отметить, что длительность протокола обеспечивает возможность его дополнения практически любым набором импульсных последовательностей в зависимости от целей исследования.
Полный текст
Открыть статью на сайте журналаОб авторах
Лия Руслановна Абуладзе
Научно-практический клинический центр диагностики и телемедицинских технологий
Email: l.abuladze@npcmr.ru
ORCID iD: 0000-0001-6745-1672
SPIN-код: 5640-9989
Россия, Москва
Дмитрий Сергеевич Семенов
Научно-практический клинический центр диагностики и телемедицинских технологий
Email: d.semenov@npcmr.ru
ORCID iD: 0000-0002-4293-2514
SPIN-код: 2278-7290
Scopus Author ID: 57213154475
ResearcherId: P-5228-2017
Researcher of the Department of Innovative Technologies
Россия, МоскваОльга Юрьевна Панина
Научно-практический клинический центр диагностики и телемедицинских технологий; Городская клиническая онкологическая больница №1; Московский государственный медико-стоматологический университет имени А.И. Евдокимова
Email: olgayurpanina@gmail.com
ORCID iD: 0000-0002-8684-775X
SPIN-код: 5504-8136
ResearcherId: AAG-6447-2020
Россия, Москва; Москва; Москва
Юрий Александрович Васильев
Научно-практический клинический центр диагностики и телемедицинских технологий
Автор, ответственный за переписку.
Email: dr.vasilev@me.com
ORCID iD: 0000-0002-0208-5218
SPIN-код: 4458-5608
Россия, Москва
Список литературы
- Sung H., Ferlay J., Siegel R.L., et al. Global cancer statistics 2020: GLOBOCAN estimates of incidence and mortality worldwide for 36 cancers in 185 countries // CA Cancer J Clin. 2021. Vol. 71. Р. 209–249. doi: 10.3322/caac.21660
- Barentsz J.O., Richenberg J., Clements R., et al. ESUR prostate MR guidelines 2012 // Eur Radiol. 2012. Vol. 22, N 4. Р. 746–757. doi: 10.1007/s00330-011-2377-y
- Weinreb J.C., Barentsz J.O., Choyke P.L., et al. PI-RADS prostate imaging ― reporting and data system: 2015, version 2 // Eur Urol. 2016. Vol. 69, N 1. Р. 16–40. doi: 10.1016/j.eururo.2015.08.052
- Park S.Y., Jung D.C., Oh Y.T., et al. Prostate cancer: PI-RADS version 2 helps preoperatively predict clinically significant cancers // Radiology. 2016. Vol. 280, N 1. Р. 108–116. doi: 10.1148/radiol.16151133
- Israël B., van der Leest M., Sedelaar M., et al. Multiparametric magnetic resonance imaging for the detection of clinically significant prostate cancer: what urologists need to know. Part 2: interpretation // Eur Urol. 2020. Vol. 77, N 4. Р. 469–480. doi: 10.1016/j.eururo.2019.10.024
- Tamada T., Kido A., Yamamoto A., et al. Comparison of biparametric and multiparametric mri for clinically significant prostate cancer detection with pi-rads version 2.1 // J Magn Reson Imaging. 2021. Vol. 53, N 1. Р. 283–291. doi: 10.1002/jmri.27283
- Патент на изобретение РФ RU 208239 U1. Семенов Д.С., Петряйкин А.В., Васильев Ю.А., и др. Устройство фантома для настройки протоколов магнитно-резонансной томографии предстательной железы у пациентов с металлоконструкциями тазобедренного сустава. Режим доступа: https://www.elibrary.ru/item.asp?id=47429681. Дата обращения: 15.03.2022.
- Engels R.R., Israël B., Padhani A.R., et al. Multiparametric magnetic resonance imaging for the detection of clinically significant prostate cancer: what urologists need to know. Part 1: acquisition // Eur Urol. 2020. Vol. 77, N 4. Р. 457–468. doi: 10.1016/j.eururo.2019.09.021
- Методика контроля параметров и характеристик магнитно-резонансных томографов в условиях эксплуатации. Методические рекомендации № 17 (утв. 10.09.2011). Режим доступа: https:// docs.cntd.ru/document/456079947. Дата обращения: 15.03.2022.
- Siegel R.L., Miller K.D., Fuchs H.E., et al. Cancer Statistics, 2021 // CA Cancer J Clin. 2021. Vol. 71, N 1. Р. 7–33. doi: 10.3322/caac.21654
- Ferlay J., Colombet M., Soerjomataram I., et al. Cancer incidence and mortality patterns in Europe: Estimates for 40 countries and 25 major cancers in 2018 // Eur J Cancer. 2018. Vol. 103. Р. 356–387. doi: 10.1016/j.ejca.2018.07.005
- Злокачественные новообразования в России в 2020 году (заболеваемость и смертность) / под ред. А.Д. Каприна, В.В. Старинского, А.О. Шахзадовой. Москва, 2021. 252 с.
- Patel A.R., Klein E.A. Risk factors for prostate cancer // Nat Clin Pract Urol. 2009. Vol. 6, N 2. Р. 87–95. doi: 10.1038/ncpuro1290
- Sherrer R.L., Glaser Z.A., Gordetsky J.B., et al. Comparison of biparametric MRI to full multiparametric MRI for detection of clinically significant prostate cancer // Prostate Cancer Prostatic Dis. 2019. Vol. 22, N 2. Р. 331–336. doi: 10.1038/s41391-018-0107-0
- Zawaideh J.P., Sala E., Shaida N., et al. Diagnostic accuracy of biparametric versus multiparametric prostate MRI: assessment of contrast benefit in clinical practice // Eur Radiol. 2020. Vol. 30, N 7. Р. 4039–4049. doi: 10.1007/s00330-020-06782-0
- Van der Leest M., Israël B., Cornel E.B., et al. High diagnostic performance of short magnetic resonance imaging protocols for prostate cancer detection in biopsy-naïve men: the next step in magnetic resonance imaging accessibility // Eur Urol. 2019. Vol. 76, N 5. Р. 574–581. doi: 10.1016/j.eururo.2019.05.029
- Stanzione A., Ponsiglione A., Cuocolo R., et al. Abbreviated protocols versus multiparametric mri for assessment of extraprostatic extension in prostatic carcinoma: a multireader study // Anticancer Res. 2019. Vol. 39, N 8. Р. 4449–4454. doi: 10.21873/anticanres.13617
- Гележе П.Б., Блохин И.А., Семенов С.С., и др. Радиомика магнитно-резонансной томографии при раке предстательной железы: что известно в настоящее время? // Digital Diagnostics. 2021. Т. 2, № 4. С. 441–452. doi: 10.17816/DD70170
Дополнительные файлы







