Возможности рентгеновской компьютерной томографии с построением многоплоскостных реформаций, ориентированных на оси сердца, в диагностике транспозиций магистральных сосудов
- Авторы: Садыкова Г.К.1, Иванов Д.О.1, Багатурия Г.О.1, Ипатов В.В.2, Рязанов В.В.1
-
Учреждения:
- ФГБОУ ВО «Санкт-Петербургский государственный педиатрический медицинский университет» Минздрава России
- ФГБВОУ ВО «Военно-медицинская академия им. С.М. Кирова» Минобороны России
- Выпуск: Том 9, № 4 (2018)
- Страницы: 28-35
- Раздел: Статьи
- URL: https://journal-vniispk.ru/pediatr/article/view/10401
- DOI: https://doi.org/10.17816/PED9428-35
- ID: 10401
Цитировать
Полный текст
Аннотация
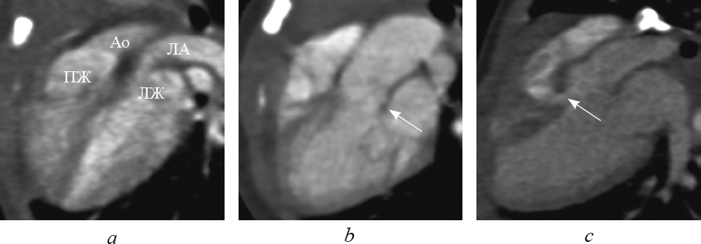
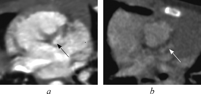
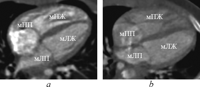
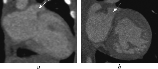
В данной статье приведены результаты анализа данных рентгеновской компьютерной томографии с внутривенным болюсным введением контрастного вещества детей с транспозицией и корригированной транспозицией магистральных артерий путем последовательного построения многоплоскостных реформаций, ориентированных на оси сердца. Из 148 детей со сложными врожденными пороками сердца и магистральных артерий транспозиция магистральных сосудов встречалась у 13 пациентов (в возрасте от 1 до 144 дней жизни; 9 — мужского пола, 4 — женского пола), корригированная транспозиция магистральных сосудов — у 4 пациентов (в возрасте от 6 мес. до 15 лет 6 мес.; 2 — мужского пола, 2 — женского пола). В статье подробно описаны анатомические характеристики, на основе которых определяется морфология каждой камеры сердца, и реформации, в которых они оцениваются. В статье приводится сравнительная характеристика структур сердца и магистральных артерий при транспозиции и корригированной транспозиции магистральных артерий в каждой отдельно взятой реформации, ориентированной на оси сердца. По результатам анализа последовательно построенных реформаций, ориентированных на оси сердца, указаны и проиллюстрированы характерные анатомические признаки транспозиции и корригированной транспозиции магистральных сосудов. Установлено, что из перечня предлагаемых реформаций, ориентированных на оси сердца, характерные анатомические признаки транспозиций достоверно определяются в следующих реформациях: по длинной оси приносящего тракта правого желудочка; левых камер сердца; приточных отделов желудочков; по короткой оси на уровне магистральных сосудов. Многоплоскостные реформации, ориентированные на оси сердца, на основе данных КТ-ангиокардиографии позволяют дать полную и точную анатомическую оценку сердца и магистральных сосудов, что важно при планировании оперативного вмешательства при врожденных пороках сердца.
Полный текст
Открыть статью на сайте журналаОб авторах
Гульназ Камальдиновна Садыкова
ФГБОУ ВО «Санкт-Петербургский государственный педиатрический медицинский университет» Минздрава России
Автор, ответственный за переписку.
Email: kokonya1980@mail.ru
аспирант, кафедра современных методов диагностики и радиолучевой терапии
Россия, Санкт-ПетербургДмитрий Олегович Иванов
ФГБОУ ВО «Санкт-Петербургский государственный педиатрический медицинский университет» Минздрава России
Email: doivanov@yandex.ru
д-р мед. наук, профессор, ректор
Россия, Санкт-ПетербургГеоргий Отариевич Багатурия
ФГБОУ ВО «Санкт-Петербургский государственный педиатрический медицинский университет» Минздрава России
Email: geobag@mail.ru
д-р мед. наук, профессор, заведующий, кафедра оперативной хирургии и топографической анатомии
Россия, Санкт-ПетербургВиктор Владимирович Ипатов
ФГБВОУ ВО «Военно-медицинская академия им. С.М. Кирова» Минобороны России
Email: mogidin@mail.ru
канд.мед. наук, доцент кафедры рентгенологии и радиологии
Россия, Санкт-ПетербургВладимир Викторович Рязанов
ФГБОУ ВО «Санкт-Петербургский государственный педиатрический медицинский университет» Минздрава России
Email: 79219501454@yandex.ru
д-р мед. наук, профессор, кафедра современных методов диагностики и радиолучевой терапии
Россия, Санкт-ПетербургСписок литературы
- Андерсон Р.Г., Спайсер Д.Е., Хлавачек Э.М., и др. Хирургическая анатомия сердца по Уилкоксу. - М.: Логосфера, 2015. [Anderson RH, Spicer DE, Hlavacek AM. Wilcox’s Surgical Anatomy of the Heart. Moscow: Logosfera; 2015. (In Russ.)]
- Банкл Г. Врожденные пороки сердца и крупных сосудов. - М.: Медицина, 1980. [Bankl H. Congenital Malformations of the Heart and Great Vessels. Translated into Russian. Moscow: Meditsina; 1980. (In Russ.)]
- Белоконь Н.А., Подзолков В.П. Врожденные пороки сердца. - М.: Москва, 1990. [Belokon’ NA, Podzolkov VP. Vrozhdennye poroki serdtsa. Moscow: Moskva; 1990. (In Russ.)]
- Бокерия Л.А., Беришвили И.И. Хирургическая анатомия сердца. Т. 1. - М.: НЦССХ им. Бакулева РАМН, 2009. [Bokeriya LA, Berishvili II. Khirurgicheskaya anatomiya serdtsa. Book 1. Moscow: NTsSSKh im. Bakuleva; 2009. (In Russ.)]
- Бокерия Л.А., Беришвили И.И. Хирургическая анатомия сердца. Т. 3. - М.: НЦССХ им. Бакулева РАМН, 2009. [Bokeriya LA, Berishvili II. Khirurgicheskaya anatomiya serdtsa. Book 3. Moscow: NTsSSKh im. Bakuleva; 2009. (In Russ.)]
- Воробьев А.С. Амбулаторная эхокардиография у детей: руководство для врачей. - СПб.: СпецЛит, 2010. [Vorob’ev AS. Ambulatornaya ekhokardiographia u detey: rukovodstvo dlya vrachey. Saint Petersburg: Spetslit; 2010. (In Russ.)]
- Зиньковский М.Ф. Врожденные пороки сердца. - Киев: Книга-плюс, 2008. [Zin’kovskiy MF. Vrozhdennye poroki serdtsa. Kiev: Kniga-plus; 2008. (In Russ.)]
- Митина И.Н., Бондарев Ю.И. Неинвазивная ультразвуковая диагностика врожденных пороков сердца. - М.: Видар-М, 2004. [Mitina IN, Bondarev YI. Neinvazivnaya ultrazvukovaya diagnostika vrozhdennykh porokov serdtsa. Moscow: Vidar-M; 2004. (In Russ.)]
- Мутафьян О.А. Пороки сердца у детей и подростков. Руководство для врачей. - М.: ГЭОТАР-Медиа, 2009. [Mutafyan OA. Poroki serdtsa u detey i podrostkov. Rukovodstvo dlya vrachey. Moscow: GEOTAR-Media; 2009. (In Russ.)]
- Новиков В.И., Новикова Т.Н. Методика эхокардиографии. - СПб., 2012. [Novikov VI, Novikova TN. Metodika ekhokardiographii. Saint Petersburg; 2012. (In Russ.)]
- Шарыкин А.С. Врожденные пороки сердца. - М.: БИНОМ, 2009. [Sharykin AS. Vrozdennye poroki serdtsa. Moscow: Binom; 2009. (In Russ.)]
- Files MD, Arya B. Preoperative Physiology, Imaging, and Management of Transposition of the Great Arteries. Semin Cardiothorac Vasc Anesth. 2015;19(3):210-222. doi: 10.1177/1089253215581851.
- Frescura C, Thiene G. The Spectrum of Congenital Heart Disease with Transposition of the Great Arteries from the Cardiac Registry of the University of Padua. Front Pediatr. 2016;4:84. doi: 10.3389/fped.2016.00084.
- Otto CM. Textbook of clinical echocardiography. 5th ed. Philadelphia: Elsevier; 2013.
- Placci A, Lovato L, Bonvicini M. Congenitally corrected transposition of the great arteries in an 83-year-old asymptomatic patient: description and literature review. BMJ Case Rep. 2014;2014. doi: 10.1136/bcr-2014-204228.
- Schallert EK, Danton GH, Kardon R, Young DA. Describing congenital heart disease by using three-part segmental notation. Radiographics. 2013;33(2):E33-46. doi: 10.1148/rg.332125086.
- Squarcia U, Macchi C. Transposition of the great arteries. Curr Opin Pediatr. 2011;23(5):518-522. doi: 10.1097/MOP.0b013e32834aa551.
- Thadani SR, Foster E. Echocardiographic evaluation in transposition of the great arteries in the adult. Echocardiography. 2015;32 Suppl 2: S157-165. doi: 10.1111/echo.12151.
- Uemura H, Ho SY, Devine WA, et al. Atrial appendages and venoatrial connections in hearts from patients with visceral heterotaxy. Ann Thorac Surg. 1995;60(3):561-9. doi: 10.1016/0003-4975(95)00538-v.
- Xie LJ, Jiang L, Yang ZG, et al. Assessment of transposition of the great arteries associated with multiple malformations using dual-source computed tomography. PLoS One. 2017;12(11):e0187578. doi: 10.1371/journal.pone.0187578.
Дополнительные файлы














