Морфологические особенности яичников потомства лабораторных мышей, которым вводили эстрогены во время беременности
- Авторы: Сулайманова Р.Т.1, Хайруллин Р.М.1, Лебедева А.И.2, Сулайманова Л.И.3, Асхабова Э.Д.4
-
Учреждения:
- Университет «Реавиз»
- Всероссийский центр глазной и пластической хирургии
- Городская поликлиника № 52 Департамента здравоохранения города Москвы
- Городская клиническая больница № 15 им. О.М. Филатова Департамента здравоохранения города Москвы
- Выпуск: Том 12, № 6 (2021)
- Страницы: 55-62
- Раздел: Оригинальные статьи
- URL: https://journal-vniispk.ru/pediatr/article/view/106324
- DOI: https://doi.org/10.17816/PED12655-62
- ID: 106324
Цитировать
Аннотация
Актуальность. Вопрос о воздействии женских половых гормонов и их аналогов на человека и экспериментальных животных представляет большой интерес в медицине.
Цель работы — изучение морфологических особенностей яичников потомства лабораторных мышей при введении эстрогенов материнскому организму.
Материалы и методы. Самок лабораторных мышей после фертилизации разделили на группы: две контрольные и две экспериментальные, которым на стадии развития гестации Е11.5 было выполнено внутримышечное однократное введение экспериментальных доз эстрогенов. Первой экспериментальной группе вводили синтетический препарат синестрол в виде 2 % масляного раствора в общей дозе 50 мкг/кг (n = 5; С-50), первой контрольной группе вводили оливковое масло в дозе 0,2 мкг/кг (n = 5; МО). Второй экспериментальной группе был введен 0,0005 % масляный раствор фулвестранта 0,4 мл в дозе 100 мкг/кг (n = 5; Ф-100), вторая контрольная группа (n = 5; МК) получала стерильное касторовое масло в дозе 0,8 мкг/кг.
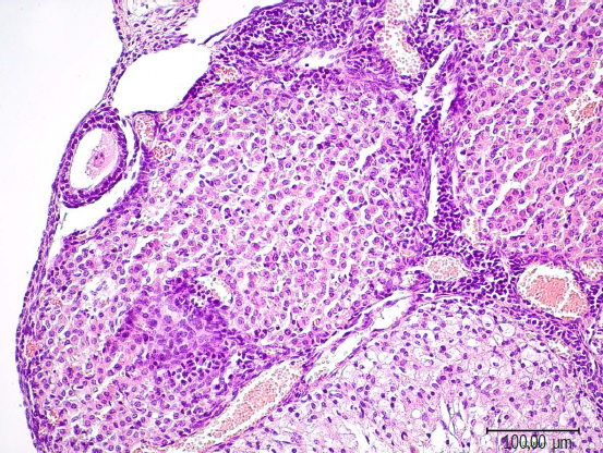
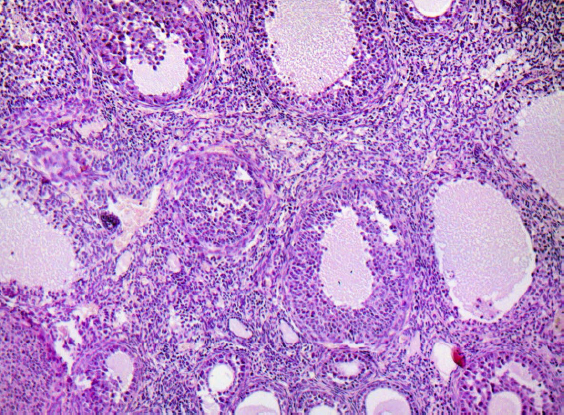
Обсуждение. В яичниках потомства первой экспериментальной группы С-50 наблюдаются стойкие морфологические изменения: увеличение средней площади коркового вещества, уменьшение показателей площади мозгового вещества, увеличение среднего количества желтых тел, увеличение среднего количества лютеиновых клеток в желтом теле, снижение суммарного количества фолликулов и атретических тел, свидетельствующие о нарушении процесса фолликулогенеза, увеличение среднего диаметра кровеносных сосудов, демонстрирующие усиление кровообращения. При введении препарата фулвестранта в дозе 100 мкг/кг во второй экспериментальной группе Ф-100 на срезе яичников потомства рассматриваются морфологические изменения в виде увеличения средней площади коркового вещества, уменьшения средней площади мозгового вещества, склерозирования стромального компонента, сопровождающегося перестройкой сосудистой сети с признаками атрезии и кистозного перерождения фолликулярного эпителия во вторичных и третичных фолликулах.
Выводы. Полученные результаты исследования подтверждают актуальность проблемы внедрения комплексных мероприятий, направленных на лимитирование воздействия вводимых в материнский организм препаратов эстрогенового ряда в период беременности, для предотвращения неблагоприятных эффектов на развитие яичников потомства.
Ключевые слова
Полный текст
Открыть статью на сайте журналаОб авторах
Римма Тагировна Сулайманова
Университет «Реавиз»
Автор, ответственный за переписку.
Email: rimma2006@bk.ru
ORCID iD: 0000-0002-1658-9054
SPIN-код: 4933-2131
канд. биол наук, доцент кафедры медико-биологических дисциплин
Россия, Санкт-ПетербургРадик Магзинурович Хайруллин
Университет «Реавиз»
Email: r.m.hayrullin@reaviz.online
д-р мед. наук, профессор кафедры морфологии и патологии
Россия, Санкт-ПетербургАнна Ивановна Лебедева
Всероссийский центр глазной и пластической хирургии
Email: Jeol02@mail.ru
д-р биол. наук, старший научный сотрудник научно-исследовательского отдела морфологии
Россия, УфаЛуиза Изатуллаевна Сулайманова
Городская поликлиника № 52 Департамента здравоохранения города Москвы
Email: lsulajmanova@bk.ru
врач-терапевт
Россия, МоскваЭлиза Джабраиловна Асхабова
Городская клиническая больница № 15 им. О.М. Филатова Департамента здравоохранения города Москвы
Email: eliza_askhabova92@mail.ru
врач-терапевт
Россия, МоскваСписок литературы
- Автандилов Г.Г. Медицинская морфометрия. Руководство. Москва: Медицина, 1990. 384 с.
- Арзамасцев Е.В., Гуськова Т.А., Березовская И.В. и др. Методические указания по изучению общетоксического действия фармакологических веществ / под ред. Р.У. Хабриева. Москва: Медицина, 2005. С. 41–54.
- Гуськова Т.А. Доклиническое токсикологическое изучение лекарственных средств как гарантия безопасности проведения их клинических исследований // Токсикологический вестник. 2010. № 5(104). C. 2–6.
- Сулайманова Р.Т. Аногенитальное расстояние как биомаркер пренатального действия эстрогенов и риска развития репродуктивных нарушений потомства // Журнал анатомии и гистопатологии. 2021. Т. 10, № 2. С. 38–42. doi: 10.18499/2225-7357-2021-10-2-38-42
- Патент на изобретение РФ № 2722988/ 05.06.2020. Сулайманова Р.Т., Мурзабаев Х.Х., Рахматуллина И.Р., и др. Способ моделирования проканцерогенного действия фулвестранта на яичник потомства женского пола у лабораторных мышей. Режим доступа: https://patenton.ru/patent/RU2722988C1. Дата обращения: 12.11.2021.
- Патент на изобретение РФ № 2676437/ 09.01.2018. Сулайманова Р.Т., Хайруллин Р.М., Имаева А.К. и др. Способ моделирования проканцерогенного действия синестрола на яичники потомства женского пола у лабораторных мышей. Режим доступа: https://patenton.ru/patent/RU2676437C1
- Хабриев Р.У. Руководство по экспериментальному (доклиническому) изучению новых фармакологических веществ. Москва: Медицина, 2005. C. 49–51.
- Юсупова Л.Р., Сулайманова Р.Т., Магадеев Т.Р., и др. О факторе риска развития рака молочной железы, связанном с пренатальным обменом эстрогенов // Фундаментальные исследования. 2013. № 10–1. С. 130–135.
- Bromer J.G., Zhou Y., Taylor M.B., et al. Bisphenol-A exposure in utero leads to epigenetic alterations in the developmental programming of uterine estrogen response // FASEB J. 2010. Vol. 24, No. 7. P. 2273–2280. doi: 10.1096/fj.09-140533
- Cora M.C., Kooistra L., Travlos G. Vaginal Cytology of the Laboratory Rat and Mouse: Review and Criteria for the Staging of the Estrous Cycle Using Stained Vaginal Smears // Toxicologic Pathology. 2015. Vol. 43, No. 6. P. 776–793. doi: 10.1177/0192623315570339
- Chandhoke G., Shayegan B., Hotte S.J. Exogenous estrogen therapy, testicular cancer, and the male to female transgender population: a case report // J Med Case Rep. 2018. Vol. 12, No. 1. P. 373. doi: 10.1186/s13256-018-1894-6
- Hatsumi T., Yamamuro Y. Downregulation of estrogen receptor gene expression by exogenous 17beta-estradiol in the mammary glands of lactating mice // Exp Biol Med (Maywood). 2006. Vol. 231, No. 3. P. 311–316. doi: 10.1177/153537020623100311
- Iguchi T., Watanabe H., Katsu Y. Developmental effects of estrogenic agents on mice, fish, and frogs: a mini-review // Horm Behav. 2001. Vol. 40, No. 2. P. 248–251. doi: 10.1006/hbeh.2001.1675
- Korach K.S., Couse J.F., Curtis S.W., et al. Estrogen receptor gene disruption: molecular characterization and experimental and clinical phenotypes // Recent Prog Horm Res. 1996. Vol. 51. P. 159–186.
- Makieva S., Hutchinson L.J., Rajagopal S.P., et al. Androgen-induced relaxation of uterine myocytes is mediated by blockade of both ca(2þ) flux and mlc phosphorylation // J Clin Endocrinol Metab. 2016. Vol. 101, No. 3. P. 1055–1065. doi: 10.1210/jc.2015-2851
- Li S., Jiang K., Li J., et al. Estrogen enhances the proliferation and migration of ovarian cancer cells by activating transient receptor potential channel C3 // J Ovarian Res. 2020. Vol. 13, No. 1. P. 20. doi: 10.1186/s13048-020-00621-y
- Liang J., Shang Y. Estrogen and cancer // Annu Rev Physiol. 2013. Vol. 75. P. 225–240. doi: 10.1146/annurev-physiol-030212-183708
- Sulaymanova R.T. Effect of the prenatal action of fulvestrant on the ovaries of the offspring of laboratory mice December // RUDN Journal of Medicine. 2021. Vol. 25, No. 3. P. 256–262. doi: 10.22363/2313-0245-2021-25-3-256-262
- Soto A.M., Maffini M.V., Sonnenschein C. Neoplasia as development gone awry: the role of endocrine disruptors // Int J Androl. 2008. Vol. 31, No. 2. P. 288–293. doi: 10.1111/j.1365-2605.2007.00834.x
Дополнительные файлы




