Structural epilepsy in children who have suffered a hemorrhagic stroke
- Authors: Fomina M.Y.1, Gumenik H.V.2, Korostovtsev D.D.1, Kovelenova M.V.3
-
Affiliations:
- St. Petersburg State Pediatric Medical University
- St. Olga Children's City Hospital
- EPIJAY Pediatric Neurology and Epileptology Clinic
- Issue: Vol 12, No 6 (2021)
- Pages: 97-106
- Section: Clinical observation
- URL: https://journal-vniispk.ru/pediatr/article/view/106329
- DOI: https://doi.org/10.17816/PED12697-106
- ID: 106329
Cite item
Abstract
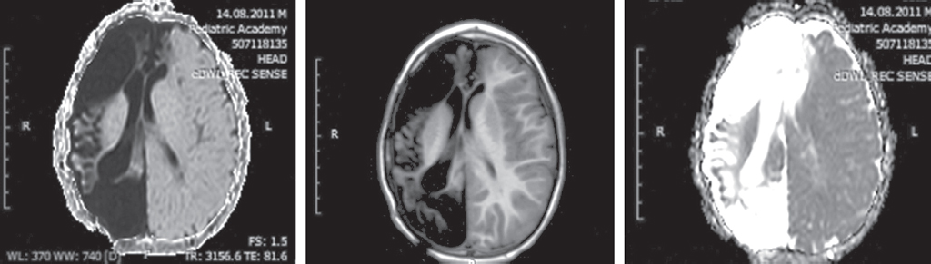
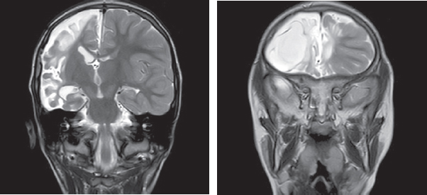
The relevance of studying the consequences of hemorrhagic strokes in young children is due to the frequency of cerebrovascular pathology, the formation of persistent neurological deficits, including post-stroke epilepsy, and high mortality. It is known that hemorrhages are diagnosed in the first 28 days of life in 6-7 out of 100,000 infants, in children from the 28th day of life to 18 years of age from 0.7 to 5.1 cases per 100 thousand children. Mortality in hemorrhagic and ischemic strokes in children ranges from 7 to 28%. Epileptic seizures of the acute and acute period of stroke are prognostically unfavorable factors of the course of the disease. The article presents brief literature data on the etiology and localization of hemorrhagic strokes, their role in the formation of pharmacoresistant epilepsy. Special attention is paid to the role of late hemorrhagic disease of newborns, accompanied by intracranial hemorrhages, in the formation of structural epilepsy in the future. The paper describes own clinical observations of 25 patients suffering from epilepsy after a hemorrhagic stroke with a description of the clinical picture, features of paroxysmal states and their therapy, neuroimaging data, electroencephalographic phenomena. A clinical example is presented in which the clinical, anamnestic, electrophysiological data of a patient with pharmacoresistant epilepsy developed as a result of a hemorrhagic stroke on the background of late hemorrhagic disease of newborns are considered.
Structural epilepsy in children, formed after a hemorrhagic stroke, is accompanied by significant multi-regional damage, pronounced neurological deficit and is characterized by a pharmacoresistant course.
Keywords
Full Text
##article.viewOnOriginalSite##About the authors
Maria Yu. Fomina
St. Petersburg State Pediatric Medical University
Author for correspondence.
Email: myfomina@mail.ru
MD, PhD, Dr. Med. Sci., Professor of Department of Neonatology with Courses of Neurology and Obstetrics-Gynecology
Russian Federation, Saint PetersburgHelena V. Gumenik
St. Olga Children's City Hospital
Email: helenneurol@mail.ru
MD, PhD, Associate Professor, Head of City Office for the Treatment of Epilepsy and Paroxysmal Conditions
Russian Federation, Saint PetersburgDmitry D. Korostovtsev
St. Petersburg State Pediatric Medical University
Email: korostovtsevdmitry@gmail.com
MD, PhD, Associate Professor, Head of Consulting and Diagnostic Center
Russian Federation, Saint PetersburgMarina V. Kovelenova
EPIJAY Pediatric Neurology and Epileptology Clinic
Email: mkovelenova@yahoo.com
MD, PhD, Associate Professor, Head
Russian Federation, Saint PetersburgReferences
- Bazilevich SN, Odinak MM, Dyskin DE, Krasakov IV, at al. The structural and functional neurovisualization in patients with epileptic seizures in cerebro-vascular diseases. SS Korsakov Journal of Neurology and Psychiatry. 2008;(S2):33–40. (In Russ.)
- Gext AB, Tlapshkova LB, Lebedeva AV. Post-stroke epilepsy. SS Korsakov Journal of Neurology and Psychiatry. 2000;(9):67–70. (In Russ.)
- Degtyarev DN, Karpova AL, Mebelova II. Klinicheskie rekomendatsii po diagnostike i lecheniyu gemorragicheskoi bolezni novorozhdennykh. Moscow. 2015. 21 p. (In Russ.)
- Zaplatnikov AL, Brazhnikova OV, Medoev SB, at al. Intracranial hemorrhages in late hemorrhagic disease of the newborns. Pediatriya. Consilium Medicum. 2019;(4):14–17. (In Russ.) doi: 10.26442/26586630.2019.4.190755
- Ivanov DO. History of the study of hemorrhagic disease of newborns. Pediatrician (St. Petersburg). 2017;8(4): 118–125. (In Russ.) doi: 10.17816/PED84118-125
- Ivanov DO, Atlasov VO, Bobrov SA, et al. Rukovodstvo po perinatologii. Saint Petersburg: Inform-Navigator; 2015. 1214 p. (In Russ.)
- Ivanov DO, Kozlova LV, Derevcov VV. Neuropsychiatric development of children in the first 6 months of life born with fetus growth delay. Pediatrician (St. Petersburg). 2017;8(1):40–49. (In Russ.) doi: 10.17816/PED8140-49
- Kuznecova AA, Shchederkina IO, Livshic MI, et al. Hemorrhagic stroke and post-stroke epilepsy in children. An individual approach to the choice of management tactics on the example of clinical observation. Pediatric Neurosurgery and Neurology. 2021;(1):22–34. (In Russ.)
- Lyapin AP, Kasatkina TP, Rubin AN, et al. Intracranial hemorrhages as a manifestation of late hemorrhagic disease of newborns. Pediatriya. 2013;(2):38–42. (In Russ.)
- Spirin AL, Trashkov AP, Cygan NV, et al. Supratentorial сerebral hemorrhage: pathophysiologic criteria and tactics of treatment. Pediatrician (St. Petersgurg) 2015;6(1): 96–104. (In Russ.) doi: 10.17816/PED6196-104
- Shabalov NP, Ivanov DO, Shabalova NN. Dynamic of hemostasis in first week of life as reflection of adaptive mechanisms to extrauterine life. Pediatrics. Journal Named After GN. Speransky. 2000;79(3):84–91. (In Russ.)
- Shchederkina IO, Zavadenko NN, Koltunov IE. Epilepsy in children with stroke. Epilepsy and Paroxysmal Conditions. 2015;7(4):66–71. (In Russ.)
- Benbadis S. The differential diagnosis of epilepsy. Epilepsy & Behavior. 2009;15(1):15–21. doi: 10.1016/j.yebeh.2009.02.024
- Beslow LA, Abend NS, Gindville MC, et al. Intracerebral Hemorrhage Locations and Etiologies. JAMA Neurol. 2013;70(4):448–454. doi: 10.1001/jamaneurol.2013.1033
- Beslow LA, Dowling MM, Hassanein SM, et al. Mortality After Pediatric Arterial Ischemic Stroke. International Pediatric Stroke Study Investigators. Pediatrics. 2018;141(5): 2017–4146. doi: 10.1542/peds.2017-4146
- Billinghurst LL, Beslow LA, Abend NS, et al. Incidence and predictors of epilepsy after pediatric arterial ischemic stroke. Neurology. 2017;88(7):630–637. doi: 10.1212/WNL.0000000000003603
- Bladin CF, Alexandrov AV, Bellavance A, et al. Seizures after stroke: a prospective multicenter study. Arch Neurol. 2000;57(11):1617–1622. doi: 10.1001/archneur.57.11.1617
- Fisher RS, Acevedo C, Arzimanoglou A, et al. ILAE official report: a practical clinical definition of epilepsy. Epilepsia. 2014;55(4):475–482. doi: 10.1111/epi.12550
- Fox Christine K, Glass Hannah C, Sidney Stephen, et al. Acute seizures predict epilepsy after childhood stroke. Ann Neurol. 2013;74(2):249–256. doi: 10.1002/ana.23916
- Haapaniemi E, Strbian D, Rossi C. The CAVE score for predicting late seizures after intracerebral hemorrhage. Stroke. 2014;45(7):1971–1976. doi: 10.1161/STROKEAHA.114.004686
- Holtkamp M, Beghi E, Benninger F, et al. European Stroke Organisation guidelines for the management of post-stroke seizures and epilepsy. Eur Stroke J. 2017;2(2): 103–115. doi: 10.1177/2396987317705536
- Jordan LC. Assessment and treatment of stroke in children. Current Treatment Options in Neurology. 2008; 10(6):399–409. doi: 10.1007/s11940-008-0042-9
- Puckett RM, Offringa M. Prophylactic vitamin K for vitamin K deficiency bleeding in neonates. Review Cochrane Database Syst Rev. 2000;2000(4):CD002776. doi: 10.1002/14651858.CD002776
- Yinghao Z, Li X, Zhang K, Ting T. The Progress of Epilepsy after Stroke. Current Neuropharmacology. 2018;16(1): 71–78. doi: 10.2174/1570159X15666170613083253
Supplementary files




