Трансназальная хирургия при внутричерепных риногенных осложнениях у детей. Разбор двух клинических случаев
- Авторы: Верезгов В.А.1, Бреусенко Д.В.1, Павлов П.В.1, Захарова М.Л.1, Сныткина А.С.1, Горкина О.К.1, Дмитренко В.В.1, Курьянова Ю.А.1, Кукушкина О.Е.1
-
Учреждения:
- Санкт-Петербургский государственный педиатрический медицинский университет
- Выпуск: Том 13, № 1 (2022)
- Страницы: 69-81
- Раздел: Клинический случай
- URL: https://journal-vniispk.ru/pediatr/article/view/108388
- DOI: https://doi.org/10.17816/PED13169-81
- ID: 108388
Цитировать
Аннотация
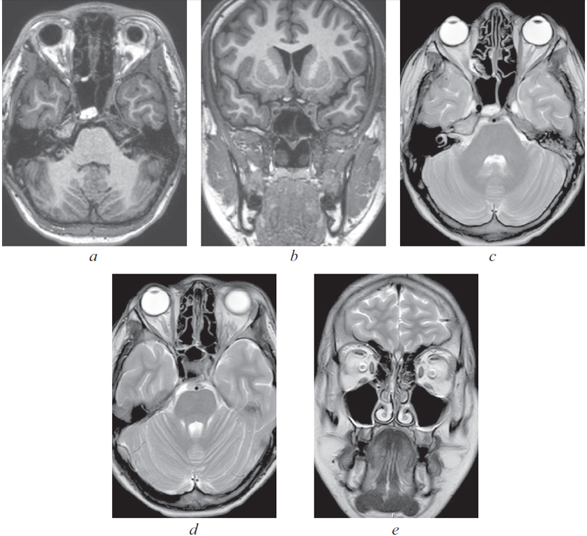
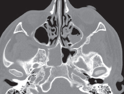
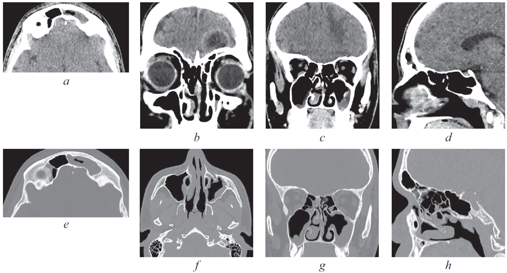
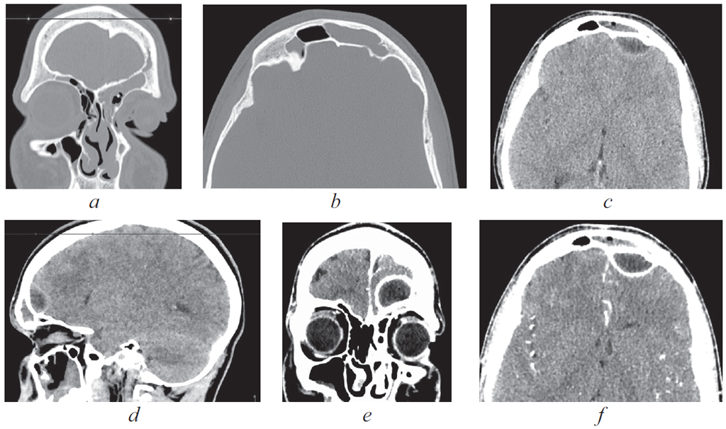
Риногенные внутричерепные осложнения, такие как абсцесс головного мозга и тромбоз вен и синусов головного мозга, по сей день остаются грозной, жизнеугрожающей патологией, не редко заканчивающейся летальным исходом, несмотря на широкое развитие антибактериальной терапии и приверженность пациентов к проводимому лечению. Нередко причиной развития внутричерепных осложнений служит обострение хронического воспалительного процесса в придаточных пазухах носа, тогда как острая ЛОР-патология синусов приводит к развитию риногенных осложнений лишь в небольшом проценте случаев. К сожалению, высокое развитие лучевой и лабораторной диагностики не всегда позволяет вовремя диагностировать данные состояния и оказать адекватную хирургическую помощь. В детском и подростковом возрасте важно выполнить своевременное полное и в то же время малоинвазивное, не приводящее к инвалидизации, хирургическое пособие. Анализ зарубежной литературы последних лет показывает, что нейрохирургические операции в различном объеме (от трепанопункции головного мозга до краниотомии) встречаются в подавляющем большинстве случаев лечения риногенных внутричерепных осложнений. В статье приводятся два клинических случая успешно пролеченных в отделении оториноларингологии Санкт-Петербургского государственного педиатрического медицинского университета пациентов с внутричерепными осложнениями без высокотравматичной нейрохирургической операции. Комбинация эндоназальной эндоскопической операции и массивной адекватной консервативной терапии (антибиотикотерапия в сочетании с применением антикоагулянтов при синус-тромбозе) позволяет добиться выздоровления пациента без обращения к нейрохирургическому вмешательству.
Полный текст
Открыть статью на сайте журналаОб авторах
Вячеслав Александрович Верезгов
Санкт-Петербургский государственный педиатрический медицинский университет
Автор, ответственный за переписку.
Email: verezgov@gmail.com
канд. мед. наук, врач-оториноларинголог
Россия, Санкт-ПетербургДмитрий Витальевич Бреусенко
Санкт-Петербургский государственный педиатрический медицинский университет
Email: lor-gpma@mail.ru
канд. мед. наук, заведующий отделением оториноларингологии
Россия, Санкт-ПетербургПавел Владимирович Павлов
Санкт-Петербургский государственный педиатрический медицинский университет
Email: pvpavlov@mail.ru
ORCID iD: 0000-0002-4626-201X
д-р мед. наук, доцент, заведующий кафедрой оториноларингологии
Россия, Санкт-ПетербургМария Леонидовна Захарова
Санкт-Петербургский государственный педиатрический медицинский университет
Email: dr.essina@mail.ru
ORCID iD: 0000-0001-6410-3533
д-р мед. наук, доцент кафедры оториноларингологии
Россия, Санкт-ПетербургАлександра Сергеевна Сныткина
Санкт-Петербургский государственный педиатрический медицинский университет
Email: snytkina.aleksandra@mail.ru
ORCID iD: 0000-0002-2282-8584
клинический ординатор на кафедре оториноларингологии
Россия, Санкт-ПетербургОксана Константиновна Горкина
Санкт-Петербургский государственный педиатрический медицинский университет
Email: gorkina-ok@yandex.ru
ORCID iD: 0000-0002-2527-9023
ассистент кафедры оториноларингологии
Россия, Санкт-ПетербургВалерий Викторович Дмитренко
Санкт-Петербургский государственный педиатрический медицинский университет
Email: dmitrenko1411@mail.ru
ORCID iD: 0000-0003-2766-6577
врач-оториноларинголог
Россия, Санкт-ПетербургЮлия Анатольевна Курьянова
Санкт-Петербургский государственный педиатрический медицинский университет
Email: Julia_ku@mail.ru
ORCID iD: 0000-0003-3843-0201
врач-отоларинголог
Россия, Санкт-ПетербургОльга Евгеньевна Кукушкина
Санкт-Петербургский государственный педиатрический медицинский университет
Email: o.lka@mail.ru
ORCID iD: 0000-0001-5351-3764
врач-оториноларинголог
Россия, Санкт-ПетербургСписок литературы
- Аванесян Р.И., Авдеева Т.Г., Алексеева Е.И., и др. Педиатрия: Национальное руководство. В 2-х т. Т. 1. Москва: ГЭОТАР-Медиа, 2009. 1017 с.
- Власова Г.В. Риносинусогенные орбитальные осложнения: Учебно-методическое пособие / под ред. Г.В. Власовой, П.В. Павлова. Санкт-Петербург: СПбГПМУ, 2017. 28 с.
- Дискаленко В.В. Отогенные и риногенные внутричерепные осложнения: учебно-методическое пособие / под ред. В.В. Дискаленко, К.А. Никитин. Санкт-Петербург: СПбГПМУ, 2002. 15 с.
- Карпищенко С.А. Оториноларингология / под ред. С.А. Карпищенко. Москва: ГЭОТАР-Медиа, 2018. 464 с.
- Киселев А.С., Ковалева Л.М. Зрительные и внутричерепные осложнения сфеноидита у детей // Новости оториноларингологии и логопатологии. 2002. № 1. C. 8–14.
- Кривопалов А.А. Комплексный подход к диагностике и лечениию больных с отогенными и риносинусогенными гнойно-воспалительными внутричерепными осложнениями в современных условиях: дис. … канд. мед. наук. Санкт-Петербург, 2017. 300 c. Режим доступа: https://search.rsl.ru/ru/record/01008582850. Дата обращения: 06.02.2022.
- Кривопалов А.А., Вахрушев С.Г., Болдырева О.В. Опыт применения функциональной эндоскопической риносинусохирургии в лечении больных с интракраниальными осложнениями воспалительных заболеваний околоносовых пазух // Российская оториноларингология. 2013. № 3(64). С. 85–88.
- Максимова М.Ю., Дубовицкая Ю.И., Шувахина Н.А. Клиника, диагностика и лечение тромбоза мозговых вен и венозных синусов // Журнал неврологии и психиатрии им. C.С. Корсакова. 2018. Т. 118, № 3–2. С. 3–8. doi: 10.17116/jnevro2018118323-8
- Сергеев М.М., Дружина С.П., Редько С.А. Особенности клиники и результаты лечения внутричерепных ото- и риносинусогенных осложнений // Российская оториноларингология. 2004. № 6. С. 31–36.
- Трусов Д.В., Бычкова М.В. Отогенные и риногенные внутричерепные осложнения. Статистика и анализ, проведенные за 50 лет // Вестник Тамбовского университета. Серия Естественные и технические науки. 2017. Т. 22, № 6. С. 1621–1628. doi: 10.20310/1810-0198-2017-22-6-1621-1628
- Храмцова Е.Г., Муравьева Н.Н., Клиорина Т.А., и др. Длительный субфебрилитет в детском возрасте: современные аспекты диагностического поиска // Педиатр. 2013. Т. 4, № 2. С. 97–105. doi: 10.17816/PED4297-105
- Acar M., Sutcu M., Akturk H., et al. Evaluation of Short-Term Neurological Outcomes in Children with Brain Abscesses // Turk Neurosurg. 2018. Vol. 28, No. 1. P. 79–87. doi: 10.5137/1019-5149.JTN.18672-16.1
- Atiq M., Ahmed U.S., Allana S.S., et al. Brain abscess in children // Indian J Pediatr. 2006. Vol. 73, No. 5. P. 401–404. doi: 10.1007/BF02758560
- Auvichayapat N., Auvichayapat P., Aungwarawong S. Brain abscess in infants and children: a retrospective study of 107 patients in Northeast Thailand // J Med Assoc Thail. 2007. Vol. 90, No. 8. P. 1601–1607.
- Brizuela M., Perez G., Martiren S., et al. Abscesso cerebral en ninos: experiencia en diez anos en un hospital pediatrico de alta complejidad // Arch Argent Pediatr. 2017. Vol. 115, No. 4. P. e230–e232. doi: 10.5546/aap.2017.e230
- Cole T.S., Clark M.E., Jenkins A.J., et al. Pediatric focal intracranial suppuration: a UK single-center experience // Childs Nerv Syst. 2016. Vol. 28, No. 12. P. 2109–2114. doi: 10.1007/s00381-012-1877-7
- Galabert-González M., Serramito-García R., García-Allut A., et al. Management of brain abscess in children // J Paediatr Child Helth. 2008. Vol. 44, No. 12. P. 731–735. doi: 10.1111/j.1440-1754.2008.01415.x
- Goodkin H.P., Harper M.B., Pomeroy S.L. Intracerebral abscess in children: historical trends at Childrens hospital Boston // Pediatrics. 2004. Vol. 113, No. 6. P. 1765–1770. doi: 10.1542/peds.113.6.1765
- Jain A., Arora N., Meher R., et al. Intracranial complications of CSOM in pediatric patients: a persisting problem in developing countries // Int J Pediatr Otorhinolaryngol. 2017. Vol. 100. P. 128–131. doi: 10.1016/j.ijporl.2017.06.038
- Mameli C., Geononi T., Madia C., et al. Brain abscess in pediatric age: a review // Childs Nervous Syst. 2019. Vol. 35, No. 7. P. 1117–1128. doi: 10.1007/s00381-019-04182-4
- Ozsürekci Y., Kara A., Cengiz A.B., et al. Brain abscess in childhood: a 28-year experience // Turk J Pediatr. 2012. Vol. 54, No. 2. P. 144–149.
- Raffaldi I., Garazzino S., Castelli G.G., et al. Brain abscesses registry. Brain abscesses in children: an Italian multicenter study // Epidemiol Infect. 2017. Vol. 145, No. 13. P. 2848–2855. doi: 10.1017/S0950268817001583
- Sahbudak Bal Z., Eraslan C., Bolat E., et al. Brain abscess in children: a rare but serious infection // Clin Pediatr (Phila). 2018. Vol. 57, No. 5. P. 574–579. doi: 10.1177/0009922817733301
- Shachor-Meyouhas Y., Bar-Joseph G., Guilburd J.N., et al. Brain abscess in children — epidemiology, predisposing factors and management in the modern medicine era // Acta Paediatr. 2010. Vol. 99, No. 8. P. 1163–1167. doi: 10.1111/j.1651-2227.2010.01780.x
Дополнительные файлы









