Autoamputation of the uterine adnexa due to torsion
- Authors: Romanova L.A.1, Rukhlyada N.N.1, Taits A.N.1, Malysheva A.A.2, Dudova K.A.1
-
Affiliations:
- St. Petersburg State Pediatric Medical University
- Autoamputation of the uterine adnexa due to torsion
- Issue: Vol 13, No 3 (2022)
- Pages: 65-72
- Section: Clinical observation
- URL: https://journal-vniispk.ru/pediatr/article/view/109762
- DOI: https://doi.org/10.17816/PED13365-72
- ID: 109762
Cite item
Abstract
Uterine adnexa torsion is an urgent surgical condition defined as total or partial twisting of an ovary and/or a fallopian tube on its vascular axis, causing circulatory failure. The diagnosis establishing before the operation is difficult due to absence of pathognomonic features of the clinical picture and instrumental diagnostics. In case of torsion the ovary is usually rotating around the infundibular-pelvic and uterine-ovarian ligaments, which causes vascular compression; ischemia and necrosis are progressing, leading to such complications as pelvithrombophlebitis, bleeding, infections, peritonitis, as well as calcification and autoamputation. Classical clinical picture of the uterine adnexa torsion is a sudden onset of continuous/intermittent pelvic or abdominal pain varying from moderate to severe, diffuse or isolated on one side. Pain syndrome could be of various duration, from several days to several months, and there could be such temporal episodes of pain in past history indicating prior partial torsion. This state can be accompanied by nausea, vomiting, fever, painful and frequent urination. The most precise instrumental diagnostics method in case of uterine adnexa torsion is colour Doppler ultrasonography, however, the final diagnosis is established only during the surgery. If the ovary is ischemic, adnexal detorsion is recommended, in case of necrosis adnexectomy is performed. When examining ultrasound of the pelvic organs, the left ovary is not visualized.
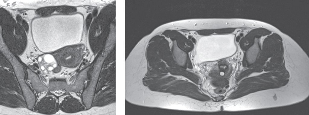
In our clinical case, according to the results of MRI of pelvic organs, the 38-year old patient had a cyst in posterior cul-de-sac with hemorrhagic or high-protein contents, and also the left ovary was not visible. During the laparoscopy an autoamputation of the left uterine adnexa due to torsion was found, as well as presence of necrotizing lesion in posterior cul-de-sac. Thus, laparoscopy is the only reliable method for diagnosing and treating adnexal torsion.
Full Text
##article.viewOnOriginalSite##About the authors
Larisa A. Romanova
St. Petersburg State Pediatric Medical University
Email: l_romanova2011@mail.ru
MD, PhD, Department of Obstetrics and Gynecology
Russian Federation, Saint PetersburgNikolay N. Rukhlyada
St. Petersburg State Pediatric Medical University
Email: nickolasr@mail.ru
MD, PhD, Dr. Med. Sci., Professor of the Department of Obstetrics & Gynecology
Russian Federation, Saint PetersburgAnna N. Taits
St. Petersburg State Pediatric Medical University
Email: annataits1@rambler.ru
MD, PhD, Associate Professor, Head Department of Obstetrics and Gynecology
Russian Federation, Saint PetersburgAnna A. Malysheva
Autoamputation of the uterine adnexa due to torsion
Email: malisheva.anyuta@yandex.ru
Gynecologist, Department of gynecology
Russian Federation, Saint PetersburgKristina A. Dudova
St. Petersburg State Pediatric Medical University
Author for correspondence.
Email: dr.kristinaandreevna@gmail.com
Resident doctor, Department of Obstetrics and Gynecology
Russian Federation, Saint PetersburgReferences
- Boyarsky CYu, Gaidukov SN, Chinchaladze AS. Factors which can predict ovarian reserve. Journal of obstetrics and women’s diseases. 2009;58(2):65–71. (In Russ.)
- Gasymova DM, Rukhliada NN, Melnikova MA. Function of the only ovary after surgical treatment the complications of benign tumors and tumor formations of ovaries in women of reproductive age. Emergency medical care. 2017;18(1):34–38. (In Russ.) doi: 10.24884/2072-6716-2017-18-1-34-38
- Malysheva AA, Abramova VN, Reznik VA, et al. Clinical case of interstitial tubal pregnancy treatment with mifepristone and misoprostol. Pediatrician (St. Petersburg). 2017;8(6):114–117. (In Russ.) doi: 10.17816/PED86114-117
- Rukhlyada NN, Gasymova GM, Novikov EI, Mel’nikova MA. Otsenka ovarial’nogo rezerva v neotlozhnoi ginekologii. Uchebnoe posobie. Moscow: Stiks, 2014. (In Russ.)
- Taits AN, Ivanov DO, Rukhlyada NN, Malysheva AA. Opyt diagnostiki i lecheniya grudnykh detei s opukholevymi obrazovaniyami yaichnikov. Proceedings of the 2th All-Russian scientific and practical conference “Sovremennye problemy podrostkovoi meditsiny i reproduktivnogo zdorov’ya molodezhi. Krotinskie chteniya”. 29–30 Nov 2018, Saint Petersburg. P. 59–66. (In Russ.)
- Yur’ev VK. Metodologiya otsenki i sostoyanie reproduktivnogo potentsiala devochek i devushek. Problems of Social Hygiene, Public Health and History of Medicine. 2000;(4):3–5. (In Russ.)
- Bharathi A, Gowri M. Torsion of the fallopian tube and the haematosalpinx in perimenopausal women — a case report. J Clin Diagn Res. 2013;7(4):731–733. doi: 10.7860/JCDR/2013/5099.2896
- Khaitov D, Gabbur N. Contralateral recurrence of fallopian tube torsion: A case report. Case Rep Womens Health. 2021;30:e00307. doi: 10.1016/j.crwh.2021.e00307
- Konoplitskyi VS, Korobko YuYe. Assessment of the influence of uterine appendages torsion on their pathomorphological changes in the experiment. Wiadomości Lekarskie. 2021;74(8):1876–1884. doi: 10.36740/WLek202108117
- Lee KH, Song MJ, Jung IC, et al. Autoamputation of an ovarian mature cystic teratoma: a case report and a review of the literature. World J Surg Oncol. 2016;14:217. doi: 10.1186/s12957-016-0981-7
- Malhotra V, Dahiya K, Nanda S, Malhotra N. Isolated torsion of the fallopian tube in a perimenopausal woman: A rare entity. J Gynecol Surg. 2012;28(1): 31–33. doi: 10.1089/gyn.2011.0020
- Laufer MR, Sharp HT, Levine D, Chakrabarti A. Ovarian and fallopian tube torsion. UpToDate.
- Rizk DE, Lakshminarasimha B, Joshi S. Torsion of the fallopian tube in an adolescent female: a case report. J Pediatr Adolesc Gynecol. 2002;15(3):159–161. doi: 10.1016/s1083-3188(02)00149-3
- Sankaran S, Shahid A, Odejinmi F. Autoamputation of the fallopian tube after chronic adnexal torsion. J Minim Invasive Gynecol. 2009;16(2):219–221. doi: 10.1016/j.jmig.2008.11.014
- Spinelli C, Piscioneri J, Strambi S. Adnexal torsion in adolescents. Curr Opin Obstet Gynecol. 2015;27(5):320–325. doi: 10.1097/GCO.0000000000000197
- van der Zanden M, Nap A, van Kints M. Isolated torsion of the fallopian tube: a case report and review of the literature. Eur J Pediatr. 2011;170:1329–1332. doi: 10.1007/s00431-011-1484-8
Supplementary files






