New coronavirus infection in a child at the age of 2 years 4 months with acute lymphoblastic leukemia (fatal case)
- Authors: Ivanov D.O.1, Petrenko Y.V.1, Reznik V.A.1, Nasyrov R.A.1, Timchenko V.N.1, Pavlova E.B.1, Pavlova N.V.1, Bannova S.L.1, Krasnogorskaya O.L.1, Kondratyev G.V.1, Chernova T.M.1, Shakmaeva M.A.1, Chepelev A.S.1, Galichina V.A.1
-
Affiliations:
- St. Petersburg State Pediatric Medical University
- Issue: Vol 13, No 3 (2022)
- Pages: 73-82
- Section: Clinical observation
- URL: https://journal-vniispk.ru/pediatr/article/view/109765
- DOI: https://doi.org/10.17816/PED13373-82
- ID: 109765
Cite item
Abstract
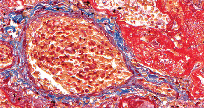
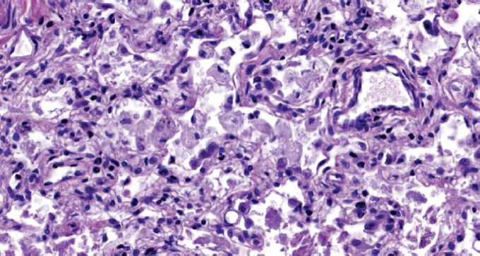
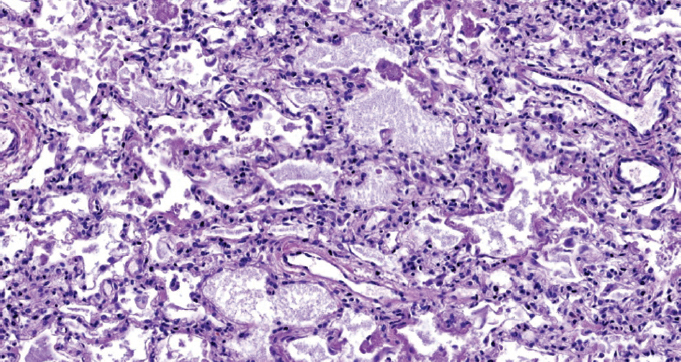
Children get sick less often than adults with a new coronavirus infection (in the Russian Federation, they account for 7.6% of registered cases of COVID-19), with less severe clinical symptoms, they require hospitalization less often, their disease is milder. The frequency of severe and extremely severe cases of COVID-19 in children does not exceed 1%. A clinical case of the course of COVID-19 in a child aged 2 years 4 months is presented. with acute lymphoblastic leukemia. A feature of the presented case is the development of an extremely severe new coronavirus infection in a child with secondary immunodeficiency caused by a long-term course of malignant, treatment-resistant of acute lymphoblastic leukemia. Slow, within 3 months, the development of the infectious process with long-term preservation of normal indicators of the function of the respiratory system led to the formation of viral-bacterial pneumonia with the development of respiratory distress syndrome. Despite the modern complex of therapeutic measures, severe comorbidity led to the development of DIC and multiple organ failure, which was the direct cause of the child’s death. A possible therapy strategy is discussed in a patient with severe comorbidity against the background of secondary immunodeficiency and long-term persistence of SARS-CoV-2 in the presence of IgG antibodies to SARS-CoV-2 in the blood. For the first time, data on morphological changes in the lungs with a long course of COVID-19 (more than 100 days) in a young child are presented.
Keywords
Full Text
##article.viewOnOriginalSite##About the authors
Dmitry O. Ivanov
St. Petersburg State Pediatric Medical University
Email: doivanov@yandex.ru
ORCID iD: 0000-0002-0060-4168
MD, PhD, Dr. Med. Sci., Professor, Rector
Russian Federation, Saint PetersburgYury V. Petrenko
St. Petersburg State Pediatric Medical University
Email: alez1964@yandex.ru
ORCID iD: 0000-0002-8623-4574
MD, PhD, Vice-Rector for Medical Work
Russian Federation, Saint PetersburgVitaly A. Reznik
St. Petersburg State Pediatric Medical University
Email: klinika.spb@gmail.com
ORCID iD: 0000-0002-2776-6239
MD, PhD, Chief Physician of the Children's Clinical Hospital
Russian Federation, Saint PetersburgRuslan A. Nasyrov
St. Petersburg State Pediatric Medical University
Email: rrmd99@mail.ru
ORCID iD: 0000-0001-8120-2816
MD, PhD, Dr. Med. Sci., Professor, Head, Department of Anatomic Pathology and Forensic Medicine
Russian Federation, Saint PetersburgVladimir N. Timchenko
St. Petersburg State Pediatric Medical University
Author for correspondence.
Email: timchenko220853@yandex.ru
ORCID iD: 0000-0002-4068-1731
MD, PhD, Dr. Med. Sci., Professor, Head of the Prof. M.G. Danilevich Department of Infectious Diseases in Children
Russian Federation, Saint PetersburgElena B. Pavlova
St. Petersburg State Pediatric Medical University
Email: infarm@bk.ru
ORCID iD: 0000-0002-7596-1004
MD, PhD, Associate Professor of the Department of Pharmacology with the Course of Clinical Pharmacology and Pharmacoeconomics
Russian Federation, Saint PetersburgNatalia V. Pavlova
St. Petersburg State Pediatric Medical University
Email: pnv2403@yandex.ru
ORCID iD: 0000-0002-0661-6477
MD, assistant of the Prof. M.G. Danilevich Department of Infectious Diseases in Children
Russian Federation, Saint PetersburgSvetlana L. Bannova
St. Petersburg State Pediatric Medical University
Email: detinfection@mail.ru
ORCID iD: 0000-0003-1351-1910
MD, PhD, Associate Professor of the Prof. M.G. Danilevich Department of Infectious Diseases in Children
Russian Federation, Saint PetersburgOlga L. Krasnogorskaya
St. Petersburg State Pediatric Medical University
Email: krasnogorskaya@yandex.ru
ORCID iD: 0000-0001-6256-0669
MD, PhD, Associate Professor of the Department of Pathological Anatomy with the Course of Forensic Medicine
Russian Federation, Saint PetersburgGleb V. Kondratyev
St. Petersburg State Pediatric Medical University
Email: spbgvk@mail.ru
ORCID iD: 0000-0002-1462-6907
Assistant, Acting Head of the Department of Oncology, Pediatric Oncology and Radiation Therapy
Russian Federation, Saint PetersburgTatyana M. Chernova
St. Petersburg State Pediatric Medical University
Email: t-chernova@mail.ru
ORCID iD: 0000-0003-4845-3757
MD, PhD, Associate Professor of the Prof. M.G. Danilevich Department of Infectious Diseases in Children
Russian Federation, Saint PetersburgMaria A. Shakmaeva
St. Petersburg State Pediatric Medical University
Email: shakmaevainf@mail.ru
ORCID iD: 0000-0003-1402-3556
Postgraduate Student of the Prof. M.G. Danilevich Department of Infectious Diseases in Children
Russian Federation, Saint PetersburgAlexander S. Chepelev
St. Petersburg State Pediatric Medical University
Email: spmmed@yandex.ru
ORCID iD: 0000-0002-4127-3457
Assistant Professor of the Department of Pathological Anatomy at the Rate of Forensic Medicine
Russian Federation, Saint PetersburgVeronika A. Galichina
St. Petersburg State Pediatric Medical University
Email: galichina-nika@mail.ru
ORCID iD: 0000-0001-8424-814X
Resident Doctor, senior Laboratory Assistant of the Department of Pathological Anatomy at the Rate of Forensic Medicine
Russian Federation, Saint PetersburgReferences
- Groznova OS, Warriors VA, Donich D, et al. Kawasaki-multisystem inflammatory syndrome in children in the delayed period of coronavirus infection (COVID-19): modern state of the problem and possible new approaches to treatment (plasmapheresis). Pediatrician (St. Petersburg). 2021;12(4):45–57. (In Russ.) doi: 10.17816/PED12445-57
- Davydov MI, Gantsev ShKh, Vel’sher LZ, et al. Onkologiya. Moscow: GEHOTAR-Media, 2010. 911 p. (In Russ.)
- Ivanov DO, Petrenko YuV, Reznik VA. Deti kovidom ne boleyut… Zametki iz krasnoi zony Pediatricheskogo universiteta. Saint Petersburg: SPbGPMU, 2022. 208 p. (In Russ.)
- Ivanov DO, Petrenko YuV, Nasyrov RA, et al. Clinical case of COVID-19 course in a child with aplastic anemia. Journal Infectology. 2022;14(1):145–151. (In Russ.) doi: 10.22625/2072-6732-2022-14-1-145-151
- Ivanov DO, Petrenko YuV, Reznik VA, et al. Characteristics of new coronavirus infection in patients with acute myeloid leukemia. Clinical Practice in Pediatrics. 2021;16(3):121–129. (In Russ.) doi: 10.20953/1817-7646-2021-3-121-129
- Mazankova LN, Samitova ER, Osmanov IM, et al. COVID-19 and comorbidities in children. Clinical Practice in Pediatrics. 2022;17(1):16–23. (In Russ.) doi: 10.20953/1817-7646-2022-1-16-23
- Ministerstvo zdravookhraneniya RF. Profilaktika, diagnostika i lechenie novoi koronavirusnoi infektsii (COVID-19). Vremennye metodicheskie rekomendatsii MZ RF. Versiya 14 (27.12.2021 g.). Moscow: Ministerstvo zdravookhraneniya RF, 2021. 232 p. (In Russ.)
- Chernova TM, Pavlova EB, Timchenko VN, et al. Clinical and epidemiological characteristics and effectiveness of antiviral therapy for COVID-19 in children: The experience of the first year of the pandemic. Acta Biomedica Scientifica. 2021;6(6–2):18–28. (In Russ.) doi: 10.29413/ABS.2021-6.6-2.3
- Agarwal S, June CH. Harnessing CAR T-cell insights to develop treatments for hyperinflammatory responses in COVID-19 patients. Cancer Discov. 2020;10(6):775–778. doi: 10.1158/2159-8290.CD-20-0473
- Elzembely MM, Abdelrahman YS, Fadel S, Hafez H. Providing care for pediatric cancer patients in the COVID-19 era: Rapid response recommendations from a developing country. Pediatr Blood Cancer. 2020;67(8): e28467. doi: 10.1002/pbc.28467
- Hrusak O, Kalina T, Wolf J, et al. Flashsurveyon severe acute respiratory syndrome coronavirus-2 infections in paediatric patients on anticancer treatment. Eur J Cancer. 2020;132:11–16. doi: 10.1016/j.ejca.2020.03.021
- Liang W, Guan W, Chen R, et al. Cancer patients in SARS-CoV-2 infection: a nationwide analysis in China. Lancet Oncol. 2020;21(3):335–337. doi: 10.1016/S1470-2045(20)30096-6
Supplementary files






