Pleuropulmonary blastoma: case report in a child 8 years old
- Authors: Zaripova Y.R.1, Muss E.A.2, Arsentev V.G.3
-
Affiliations:
- Petrozavodsk State University
- Sortavala Central District Hospital
- Kirov Military Medical Academy
- Issue: Vol 13, No 4 (2022)
- Pages: 83-92
- Section: Clinical observation
- URL: https://journal-vniispk.ru/pediatr/article/view/114938
- DOI: https://doi.org/10.17816/PED13483-92
- ID: 114938
Cite item
Abstract
Pleuropulmonary blastoma is a very rare primary fetal tumor of the lung and pleura in young children and is associated with a mutation in the DICER1 gene. Based on the histological picture, three types of this tumor are distinguished: cystic (type I), solid cystic (II), solid (type III). Treatment is surgical followed by polychemotherapy. The prognosis is unfavorable.
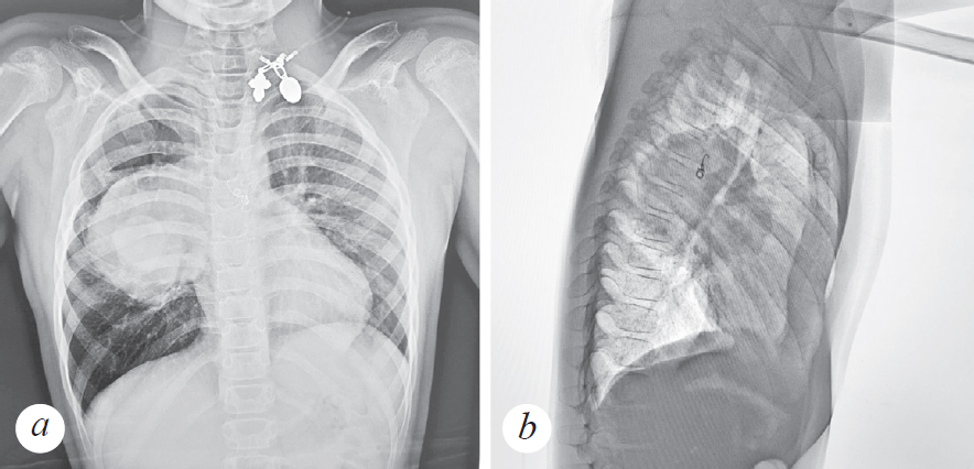
The authors bring to the attention of colleagues a description of a clinical case of pleuropulmonary blastoma in an 8-year-old child, diagnosed against the background of an acute respiratory viral infection. He fell ill acutely with a rise in temperature and an unproductive cough. The condition was regarded as a course of an acute respiratory viral infection, symptomatic therapy was carried out. After 8 days from the onset of respiratory viral infection, there is a sharp deterioration in the condition in the form of shortness of breath, refusal to eat and drink, and weakness. The child is hospitalized in a Central District Hospital, differential diagnosis with pneumonia is carried out. According to the examination (plain radiograph and CT scan of the chest), a large volumetric formation with even contours is visualized in the right lung. The patient is transferred to a specialized hospital in St. Petersburg. After an MRI of the chest organs with contrast, taking a biopsy material and performing a histological examination, the patient was diagnosed with a tumor of the right lung — pleuropulmonary blastoma type II.
This clinical case of a rare malignant tumor in an 8-year-old child with congenital heart disease and cerebral palsy may demonstrate a severe variant of systemic connective tissue dysplasia and gene mutation.
Full Text
##article.viewOnOriginalSite##About the authors
Yuliya R. Zaripova
Petrozavodsk State University
Author for correspondence.
Email: julzar@mail.ru
ORCID iD: 0000-0002-6907-2382
MD, PhD, Dr. Sci. (Med.), Head of the Department of Pediatrics and Pediatric Surgery, School of Medicine
Russian Federation, Petrozavodsk, Republic of KareliaElena A. Muss
Sortavala Central District Hospital
Email: super.babydoc@yandex.ru
ORCID iD: 0000-0003-1804-0820
Head of the Pediatric Department. Sortavala Central District Hospital
Russian Federation, Sortavala, Republic of KareliaVadim G. Arsentev
Kirov Military Medical Academy
Email: rainman63@mail.ru
ORCID iD: 0000-0002-3135-0412
MD, PhD, Dr. Sci. (Med.), Head of the Department of Children's Diseases
Russian Federation, Saint PetersburgReferences
- Babinskaya SA, Kalinchenko NYu, Ilyin AA, et al. A clinical case of hereditary papillary thyroid carcinoma associated with a germline DICER1 gene mutation. Problems of Endocrinology. 2017;63(5):320–324. (In Russ.) doi: 10.14341/probl2017635320-324
- Davydov MI, Aksel’ EM, editors. Statistika zlokachestvennykh obrazovanii v Rossii i stranakh SNG v 2012 g. Moscow: Izdatel’skaya gruppa RONTS, 2014. 226 p. (In Russ.)
- Petrikova NI, Efremenkov AM, Ignatiev EM, Snitkin NA. Pleuropulmonary blastoma: literature review and proper clinical supervision. Onkopediatriya. 2014;(4):52–55. (In Russ.)
- Stashuk GA, Pykhteev DA, Kazantseva IA, et al. A rare lung malignancy in a 3-year-old child. Almanac of Clinical Medicine. 2015;(43): 120–126. (In Russ.)
- Chernekhovskaya NE, Fedchenko GG, Andreev VG, Povalyaev AV. Rentgeno-ehndoskopicheskaya diagnostika zabolevanii organov dykhaniya. Moscow: MEDpress-inform, 2007. 241 p. (In Russ.)
- Schultz KAP, Williams GM, Kachanov DYu, et al. DICER1 syndrome and pleuropulmonary blastoma: a report from the International Pleuropulmonary Blastoma Registry. Russian Journal of Pediatric Hematology and Oncology. 2017;4(4):9–19. (In Russ.) doi: 10.17650/2311-1267-2017-4-4-13-19
- Barnard WG. Embryoma of lungs. Thorax. 1952;7(4): 299–301. doi: 10.1136/thx.7.4.299
- Bisogno G, Sarnacki S, Stachowicz-Stencel T, et al. Pleuropulmonary blastoma in children and adolescents: TheEXPeRT/PARTNER diagnostic and therapeutic recommendations. Pediatr Blood Cancer. 2021;68(S4): e29045. doi: 10.1002/pbc.29045
- Cutler CS, Michel RP, Yassa M, Langleben A. Pulmonary blastoma: case report of a patient with a 7-year remission and review of chemotherapy experience in the world literature. Cancer. 1998;82(3):462–467. doi: 10.1002/(SICI)1097-0142(19980201)82:3<462:: AID-CNCR6>3.0.CO;2-R
- Dehner LP, Messinger YH, Schultz KA, et al. Pleuropulmonary blastoma: evolution of an entity as an entry into a familial tumor predisposition syndrome. Pediatr Dev Pathol. 2015;18(6):504–511. doi: 10.2350/15-10-1732-OA.1
- Dehner LP, Schultz KA, Hill DA. Pleuropulmonary blastoma: more than a lung neoplasm of childhood. Mo Med. 2019;116(3):206–210.
- Faure A, Atkinson J, Bouty A, et al. DICER1 pleu-ropulmonary blastoma familial tumour predisposition syndrome. J Pediatr Urol. 2016;12(1):5–10. doi: 10.1016/j.jpurol.2015.08.012
- González IA, Stewart DR, Schultz KAP, et al. DICER1 tumor predisposition syndrome: an evolving story initiated with the pleuropulmonary blastoma. Mod Pathol. 2022;35(1):4–22. doi: 10.1038/s41379-021-00905-8
- Gutbrod MJ, Roche B, Steinberg JI, et al. Dicer promotes genome stability via the bromodomain transcriptional co-activator BRD4. Nat Commun. 2022;13:1001. doi: 10.1038/s41467-022-28554-8
- Haider F, Al Saad K, Al-Hashimi F, Al-Hashimi H. It’s rare so be aware: pleuropulmonary blastoma mimicking congenital pulmonary airway malformation. Thorac Cardiovasc Surg Rep. 2017;6(1):e10–e14. doi: 10.1055/s-0037-1598625
- Hamad SG, Al-Naimi A, Abu-Hasan M. Pleuropulmonary blastoma (PPB) in child with DICER1 mutation: the first case report in the state of qatar. Case Rep Pulmonol. 2021;2021:1983864. doi: 10.1155/2021/1983864
- Al Absi HS, Konstantinopoulou S, Al Junaibi AA, et al. Type I regressed pleuropulmonary blastoma in a 10-year-old boy. Indian J Thorac Cardiovasc Surg. 2019;35(4): 579–583. doi: 10.1007/s12055-019-00814-1
- Hill DA, Jarzembowski JA, Priest JR, et al. Type I pleuropulmonary blastoma: pathology and biology study of 51 cases from the international pleuropulmonary blastoma registry. Am J Surg Pathol. 2008;32(2):282–295. doi: 10.1097/PAS.0b013e3181484165
- Hill DA, Ivanovich J, Priest JR, et al. DICER1 mutations in familial pleuropulmonary blastoma. Science. 2009;325(5943):965. doi: 10.1126/sci-ence.1174334
- Hill DA, Doros L, Schultz KA, et al. DICER1-related disorders. R.A. Pagon, editor. GeneReviews™. Seattle: University of Washington, 2014.
- Lee RC, Feinbaum RL, Ambros V. The C elegans heterochronic gene lin-4 encodes small RNAs with antisense complementarity to lin-14. Cell. 1993;75(5):843–854. doi: 10.1016/0092-8674(93)90529-Y
- Manivel JC, Priest JR, Watterson J, et al. Pleuropulmonary blastoma. The so-called pulmonary blastoma of childhood. Cancer. 1988;62(8):1516–1526. doi: 10.1002/1097-0142(19881015)62:8<1516:: AID-CNCR2820620812>3.0.CO;2-3
- Messinger YH, Stewart DR, Priest JR, et al. Pleuropulmonary blastoma: a report on 350 central pathology-confirmed pleuropulmonary blastoma cases by the International Pleuropulmonary Blastoma Registry. Cancer. 2015;121(2):276–285. doi: 10.1002/cncr.29032
- Miniati DN, Chintagumpala M, Langston C, et al. Prenatal presentation and outcome of children with pleuropulmonary blastoma. J Pediatr Surg. 2006;41(1): 66–71. doi: 10.1016/j.jpedsurg.2005.10.074
- Priest JR, Watterson J, Strong L, et al. Pleuropulmonary blastoma: a marker for familial disease. J Pediatr. 1996;128(2):220–224. doi: 10.1016/S0022-3476(96)70393-1
- Priest JR, McDermott MB, Bhatia S, et al. Pleuropulmonary blastoma: a clinicopathologic study of 50 cases. Cancer. 1997;80(1):147–161. doi: 10.1002/(SICI)1097-0142(19970701)80:1<147::AID-CNCR20>3.0.CO;2-X
- Priest JR, Andic D, Arbuckle S, et al. Great vessel/cardiac extension and tumor embolism in pleuropulmonary blastoma: a report from the International Pleuropulmonary Blastoma Registry. Pediatr Blood Cancer. 2011;56(4):604–609. doi: 10.1002/pbc.22583
- Spahiu L, Baruti-Gafurri Z, Grajçevci-Uka V, et al. Type II pleuropulmonary blastoma in a 4 month old infant with negative dicer1 mutation on next generation sequencing. Case Rep Med Arch. 2021;75(1):61–65. doi: 10.5455/medarh.2021.75.61-65
- Spencer H. Pulmonary blastoma. J Pathol Bacteriol. 1961;82(1):161–165. doi: 10.1002/path.1700820119
- Steliarova-Foucher E, Stiller C, Lacour B, Kaatsch P. International Classification of Childhood Cancer, 3rd edition. Cancer. 2005;103(7):1457–1467. doi: 10.1002/cncr.20910
- Stocker JT, Hussain AN, Dehner LP. Pediatric tumors. Dail and Hammar’s Pulmonary Pathology. 3rd edition. Vol. II. J.F. Tomashefski, P.T. Cagle, С.F. Farver, A.E. Fraire, editors. New York: Springer, 2008. 542–557 p.
- Zhang N, Zeng Q, Ma X, et al. Diagnosis and treatment of pleuropulmonary blastoma in children: A single-center report of 41 cases. J Pediatr Surg. 2020;55(7): 1351–1355. doi: 10.1016/j.jpedsurg.2019.06.009
Supplementary files



