Expression of bovine leukemia virus antigen in breast cancer tissue
- Authors: Nasyrov R.A.1, Shramko A.D.1
-
Affiliations:
- St. Petersburg State Pediatric Medical University, Ministry of Healthcare of the Russian Federation
- Issue: Vol 10, No 3 (2019)
- Pages: 71-74
- Section: Original studies
- URL: https://journal-vniispk.ru/pediatr/article/view/15684
- DOI: https://doi.org/10.17816/PED10371-74
- ID: 15684
Cite item
Full Text
Abstract
Breast cancer is a serious medical and social problem for most developed countries of the world. The search for new prognostic factors and targets for targeted therapy currently continues to be a pressing issue, as there are forms of breast cancer with uncertain targets for any type of therapy. The purpose of this work is to conduct an immunohistochemical study to detect and evaluate the expression of the antigen of the cow leukemia virus in the tissue of various types of breast cancer.
Method. 100 cases of breast cancer were investigated, divided into subgroups, the studied parameters: steroid hormone receptors, HER2 / neu, VEGF, BLV expression, molecular genetic research on BRCA1/BRCA2 mutations.
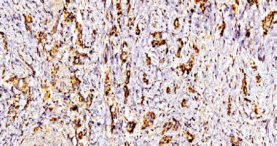
Results. In the group of triple negative breast cancer, 4 cases were detected expressing a cow leukosis virus antigen. Expression was represented by grains and clumps in the cytoplasm and on the surface of the tumor cell membrane, the wall of microvessels. Also in these cases, increased expression of VEGF was detected.
Conclusion. The results indicate that expression of the BLV antigen was observed only in cases of poorly differentiated triple negative breast cancer. It is also noteworthy that the same type of BRCA1 gene mutation (5382insC) and increased expression of vascular endothelial growth factor were detected in these tumors. The authors first used the immunohistochemical method for detecting the antigen of the BLV virus, which made it possible to reliably confirm its presence in breast tumors with similar molecular genetic and immunohistochemical profiles.
Full Text
##article.viewOnOriginalSite##About the authors
Ruslan A. Nasyrov
St. Petersburg State Pediatric Medical University, Ministry of Healthcare of the Russian Federation
Author for correspondence.
Email: rrmd99@mail.ru
MD, PhD, Dr Med Sci, Professor, Head, Department of Pathological Anatomy with a Course of Forensic Medicine
Russian Federation, Saint PetersburgAleksey D. Shramko
St. Petersburg State Pediatric Medical University, Ministry of Healthcare of the Russian Federation
Email: mdshramko@yandex.ru
Postgraduate Student, Department of Pathological Anatomy with a Course of Forensic Medicine
Russian Federation, Saint PetersburgReferences
- Иванцов А.О., Насыров Р.А., Имянитов Е.Н., Соколенко А.П. Морфологические особенности BRCA1-ассоциированных опухолей // Злокачественные опухоли. – 2018. – Т. 8. – № 3s1. – C. 90–95. [Ivantsov AO, Nasyrov RA, Imyanitov EN, Sokolenko AP. Morfologicheskie osobennosti BRCA1-assotsiirovannykh opukholej. Malignant Tumours. 2018;8(3s1):90-95. (In Russ.)]. https://doi.org/10. 18027/2224-5057-2018-8-3s1-90-95.
- Кулигина Е.Ш. Эпидемиологические и молекулярные аспекты рака молочной железы // Практическая онкология. – 2010. – Т. 11. – № 4. – C. 203–216. [Kuligina ESh. Epidemiologicheskie i molekulyarnye aspekty raka molochnoj zhelezy. Prakticheskaia onkologiia. 2010;11(4):203-216. (In Russ.)]
- Рожкова Н.И., Каприн А.Д., Боженко В.К. Маммология: национальное руководство / Под ред. А.Д. Каприна, Н.И. Рожковой. – 2-е изд., перераб. и доп. – М.: ГЭОТАР-Медиа, 2016. – 491 с. [Rozhkova NI, Kaprin AD, Bozhenko VK. Mammologiya: natsional’noe rukovodstvo. Ed. by A.D. Kaprin, N.I. Rozhkova. 2nd ed. revised and updated. Moscow: GEOTAR-Media; 2016. 491 p. (In Russ.)]
- Артамонова Е.В., и др. Руководство по химиотерапии опухолевых заболеваний / Под ред. Н.И. Переводчиковой. – 3-е изд., доп. и перераб. – М.: Практическая медицина, 2011. – 511 с. [Artamonova E.V., et al. Rukovodstvo po khimioterapii opukholevykh zabolevanij. Ed. by N.I. Perevodchikova. 3rd ed., revised and updated. Moscow: Prakticheskaya meditsina; 2011. 511 p. (In Russ.)]
- Семиглазов В.Ф. Современные подходы к гормонотерапии рака молочной железы как отражение патогенеза заболевания // Вопросы онкологии. – 2001. – Т. 47. – № 2. – C. 195–199. [Semiglazov VF. Sovremennye podkhody k gormonoterapii raka molochnoj zhelezy kak otrazhenie patogeneza zabolevaniya. Problems in oncology. 2001;47(2):195-199. (In Russ.)]
- Allred DC, Harvey JM, Berardo M, Clark GM. Prognostic and predictive factors in breast cancer by immunohistichemical analysis. Mod Pathol. 1998;11(2):
- -168.
- Buehring GC, Shen HM, Jensen HM, et al. Exposure to bovine leukemia virus is associated with breast cancer: a case-control study. PLoS One. 2015;10(9):e0134304. https://doi.org/10. 1371/journal.pone.0134304.
- Duncan JA, Reeves JR, Cooke TG. BRCA1 and BRCA2 proteins: roles in health and disease. Mol Pathol. 1998;51(5):
- -247. https://doi.org/10. 1136/mp.51. 5. 237.
- Carey LA, Dees EC, Sawyer L, et al. The triple negative paradox: primary tumor chemosensitivity of breast cancer subtypes. Clin Cancer Res. 2007;13(8):2329-2334. https://doi.org/10. 1158/1078-0432. CCR-06-1109.
- Reyes RA, Cockerell GL. Unintegrated bovine leukemia virus DNA: Association with viral expression and disease. J Virol. 1996;70(8):4961-4965.
Supplementary files




