Два клинических случая IgG4-ассоциированного панкреатита у детей
- Авторы: Минина С.Н.1, Корниенко Е.А.1, Суспицын Е.Н.1, Имянитов Е.Н.1
-
Учреждения:
- Санкт-Петербургский государственный педиатрический медицинский университет
- Выпуск: Том 14, № 4 (2023)
- Страницы: 113-123
- Раздел: Клинический случай
- URL: https://journal-vniispk.ru/pediatr/article/view/232090
- DOI: https://doi.org/10.17816/PED144113-123
- ID: 232090
Цитировать
Аннотация
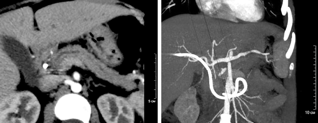
Аутоиммунный панкреатит — особая, своеобразная и относительно новая форма хронического панкреатита, которую в последние годы интенсивно изучают панкреатологи всего мира. Аутоиммунный панкреатит не имеет свойственной только ему клинической картины. Это состояние было впервые описано у взрослых и часто имитирует рак поджелудочной железы. Может поражать несколько органов, синхронно или метахронно, и редко встречается у детей. Представляет собой системное фибровоспалительное состояние с неясным патофизиологическим механизмом, влияющее на различные части тела. При отсутствии лечения заболевание может привести к фиброзу и необратимому повреждению органов, однако сочетание присущих аутоиммунному панкреатиту серологических, гистологических признаков и данных инструментальных методов исследования позволяет установить его наличие. IgG4-ассоциированное заболевание в основном описано у взрослых, поэтому педиатры обычно мало знают о нем. Мы подчеркиваем сложность диагностики аутоиммунного панкреатита — заболевания, связанного с IgG4, у детей. В статье представлены два клинических случая с детьми, которым был диагностирован аутоиммунный панкреатит. У обоих детей наблюдались симптомы абдоминальной боли и/или механической желтухи в сочетании с очаговым увеличением поджелудочной железы, неровностями основного протока поджелудочной железы и дистальным сужением. Согласно нашим данным, диагноз аутоиммунного панкреатита у детей может быть установлен на основе комбинации конкретных клинических симптомов при поступлении и различных результатов визуализации. Своевременно поставленный диагноз и начатое лечение является благоприятным прогнозом для дальнейшего течения данного заболевания и развития осложнений.
Полный текст
Открыть статью на сайте журналаОб авторах
Светлана Николаевна Минина
Санкт-Петербургский государственный педиатрический медицинский университет
Автор, ответственный за переписку.
Email: s.drozdova@mail.ru
ORCID iD: 0009-0009-2163-4778
SPIN-код: 9129-4393
канд. мед. наук, доцент, кафедра педиатрии им. проф. И.М. Воронцова ФП и ДПО
Россия, Санкт-ПетербургЕлена Александровна Корниенко
Санкт-Петербургский государственный педиатрический медицинский университет
Email: elenkornienk@yandex.ru
SPIN-код: 5120-9007
д-р мед. наук, профессор, кафедра педиатрии им. проф. И.М. Воронцова ФП и ДПО
Россия, Санкт-ПетербургЕвгений Николаевич Суспицын
Санкт-Петербургский государственный педиатрический медицинский университет
Email: evgeny.suspitsin@gmail.com
ORCID iD: 0000-0001-9764-2090
SPIN-код: 2362-6304
канд. мед. наук, доцент, кафедра медицинской генетики
Россия, Санкт-ПетербургЕвгений Наумович Имянитов
Санкт-Петербургский государственный педиатрический медицинский университет
Email: evgeny@imyanitov.spb.ru
ORCID iD: 0000-0003-4529-7891
SPIN-код: 1909-7323
д-р мед. наук, профессор, заведующий, кафедра медицинской генетики
Россия, Санкт-ПетербургСписок литературы
- Аванесян Р.И., Авдеева Т.Г., Алексеева Е.И., и др. Педиатрия: Национальное руководство. В 2 т. Москва: ГЭОТАР-Медиа, 2009.
- Алексеев В.В., Алипов А.Н., Андреев В.А. Медицинские лабораторные технологии. В 2 т. Т. 2. Москва: ГЭОТАР-Медиа, 2013. 792 с.
- Охлобыстин А.В. Аутоиммунный панкреатит: новые представления о патогенезе, диагностике и лечении // Доказательная гастроэнтерология. 2013. № 1. С. 22–27.
- Приворотский В.Ф., Луппова Н.Е. Дисфункция сфинктера Одди по панкреатическому типу у детей // Педиатр. 2016. Т. 7, № 3. С. 111–116. doi: 10.17816/PED73111-116
- Ягупова А.А., Корниенко Е.А., Лобода Т.Б., Фадина С.А. Новый диагноз в детской практике: аутоиммунный панкреатит // Педиатр. 2013. Т. 4, № 4. С. 48–55. doi: 10.17816/PED4448-55
- Bolia R., Chong S.Y., Coleman L., et al. Autoimmune pancreatitis and IgG4 related disease in three children // ACG Case Rep J. 2016. Vol. 3, No. 4. P. e115. doi: 10.14309/crj.2016.88
- Chavhan G.B., Babyn P.S., Manson D., Vidarsson L. Pediatric MR cholangiopancreatography: principles, technique, and clinical applications // Radiographics. 2008. Vol. 28, No. 7. P. 1951–1962. doi: 10.1148/rg.287085031
- Hamano H., Kawa S., Horiuchi A., et al. High serum IgG4 concentrations in patients with sclerosing pancreatitis // N Engl J Med. 2001. Vol. 344, No. 10. P. 732–738. doi: 10.1056/NEJM200103083441005
- Hart P.A., Kamisawa T., Brugge W.R., et al. Long-term outcomes of autoimmune pancreatitis: a multicentre, international analysis // Gut. 2013. Vol. 62, No. 12. P. 1771–1776. doi: 10.1136/gutjnl-2012-303617
- Hart P.A., Zen Y., Chari S.T. Recent advances in autoimmune pancreatitis // Gastroenterology. 2015. Vol. 149, No. 1. P. 39–51. doi: 10.1053/j.gastro.2015.03.010
- Okazaki K., Kawa S., Kamisawa T., et al. Amendment of the Japanese Consensus Guidelines for Autoimmune Pancreatitis 2013 I. Concept and diagnosis of autoimmune pancreatitis // J Gastroenterol. 2014. Vol. 49. P. 567–588. doi: 10.1007/s00535-014-0942-2
- Refaat R., Harth M., Proschek P., et al. Autoimmune pancreatitis in an 11-year-old boy // Pediatr Radiol. 2009. Vol. 39. P. 389–392. doi: 10.1007/s00247-008-1132-2
Дополнительные файлы





