Морфологические различия перешейка и воронки маточных труб женщин в молодом и старческом возрасте
- Авторы: Баландина И.А.1, Снигирева С.В.1, Баландин А.А.1
-
Учреждения:
- Пермский государственный медицинский университет им. акад. Е.А. Вагнера
- Выпуск: Том 14, № 5 (2023)
- Страницы: 33-40
- Раздел: Оригинальные статьи
- URL: https://journal-vniispk.ru/pediatr/article/view/252876
- DOI: https://doi.org/10.17816/PED624864
- ID: 252876
Цитировать
Аннотация
Актуальность. Научный интерес к возрастным изменениям организма женщины неизменно усиливается, что обусловлено прежде всего увеличением продолжительности жизни современного человека.
Цель — выявление на секционном материале закономерностей возрастных морфологических изменений перешейка и воронки маточных труб рожавших женщин, находившихся на момент исследования в старческом возрасте в сравнении с молодым возрастом.
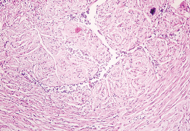
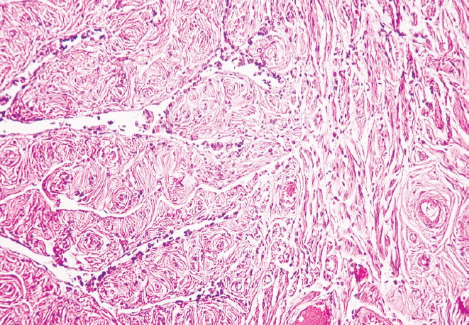
Материалы и методы. Исследование выполнено на секционном материале 70 рожавших женщин, которых разделили на две группы: в первую группу включили 34 женщины молодого возраста (22–35 лет), во вторую группу — 36 женщин старческого возраста (75–88 лет). Определяли наружный диаметр перешейка и воронки маточных труб. Для гистологического исследования изъятые при аутопсии фрагменты маточных труб в местах перешейка и воронки окрашивали пикрофуксином по Ван Гизону и гематоксилином и эозином.
Результаты. Установлено уменьшение показателей наружного диаметра перешейка и воронки обеих маточных труб женщин от молодого возраста к старческому (p < 0,01). В старческом возрасте определено преобладание параметров наружного диаметра перешейка и воронки правой маточной трубы в сравнении с показателями левой маточной трубы (p < 0,01), наряду с этим в молодом возрасте выявлена лишь тенденция к превалированию значений диаметра перешейка и воронки правой маточной трубы (p > 0,05). Гистологическое исследование показало наличие утолщенных складок слизистой оболочки и уплощенного эпителия в исследуемых областях у женщин старческого возраста, истончение слоев мышечной оболочки и разрастание соединительной ткани в сравнении с образцами, взятыми для исследования у женщин молодого возраста.
Заключение. Морфологическая перестройка перешейка и воронки маточных труб от молодого к старческому возрасту заключается в утолщении складок слизистой оболочки, уплощении эпителия, разрастании соединительной ткани в стенке и уменьшении их наружного диаметра с преобладанием параметров в правой маточной трубе.
Полный текст
Открыть статью на сайте журналаОб авторах
Ирина Анатольевна Баландина
Пермский государственный медицинский университет им. акад. Е.А. Вагнера
Автор, ответственный за переписку.
Email: balandina_ia@mail.ru
ORCID iD: 0000-0002-4856-9066
SPIN-код: 6484-8520
д-р мед. наук, профессор, заведующая кафедрой нормальной, топографической и клинической анатомии, оперативной хирургии
Россия, ПермьСофья Витальевна Снигирева
Пермский государственный медицинский университет им. акад. Е.А. Вагнера
Email: snigirevasofy@yandex.ru
ORCID iD: 0000-0003-0738-8178
методист кафедры нормальной, топографической и клинической анатомии, оперативной хирургии
Россия, ПермьАнатолий Александрович Баландин
Пермский государственный медицинский университет им. акад. Е.А. Вагнера
Email: balandinnauka@mail.ru
ORCID iD: 0000-0002-3152-8380
SPIN-код: 8298-5970
оперативной хирургии
Россия, ПермьСписок литературы
- Алексеев Ю.Д., Ивахина С.А., Ефимов А.А., и др. Возрастные морфологические изменения органов женской половой системы // Современные проблемы науки и образования. 2016. № 4. С. 51.
- Анисимов В.Н. Молекулярные и физиологические механизмы старения. В 2 т. Санкт-Петербург: Наука, 2008. 434 с.
- Баландин А.А., Баландина И.А., Панкратов М.К. Эффективность лечения пациентов пожилого возраста с черепно-мозговой травмой, осложненной субдуральной гематомой // Успехи геронтологии. 2021. Т. 34, № 3. С. 461–465. doi: 10.34922/AE.2021.34.3.017
- Баландин А.А., Железнов Л.М., Баландина И.А. Сравнительная характеристика параметров таламусов человека в первом периоде зрелого возраста и в старческом возрасте у мезоцефалов // Сибирский научный медицинский журнал. 2021. Т. 41, № 2. С. 101–105. doi: 10.18699/SSMJ20210214
- Баландин А.А., Железнов Л.М., Баландина И.А., и др. Динамика структурной организации мозолистого тела в периоде от молодого к старческому возрасту // Успехи геронтологии. 2020. Т. 33, № 5. С. 916–920. doi: 10.34922/AE.2020.33.5.012
- Баландина И.А., Некрасова А.М. Морфологические изменения ампулы маточных труб в разные периоды жизни рожавших женщин // Медицинская наука и образование Урала. 2021. Т. 22, № 3. С. 9–12. doi: 10.36361/1814-8999-2021-22-3-9-12
- Бахидзе Е.В., Беляева А.В., Берлев И.В., и др. Менопаузальная гормональная терапия и рак молочной железы // Успехи геронтологии. 2021. Т. 34, № 2. С. 277–286. doi: 10.34922/AE.2021.34.2.014
- Букатов В.В., Осипова О.А. Особенности ремоделирования миокарда у пациентов различных возрастных групп через 6 месяцев после перенесенного инфаркта миокарда // Человек и его здоровье. 2021. Т. 24, № 4. С. 34–43. doi: 10.21626/vestnik/2021-4/05
- Диреев А.О., Мунц И.В., Маздорова Е.В., и др. Возрастзависимые характеристики сосудов сетчатки при старении (обзор литературы) // Успехи геронтологии. 2021. Т. 34, № 1. С. 54–63. doi: 10.34922/AE.2021.34.1.007
- Жарикова Т.С., Милюков В.Е., Николенко В.Н. Закономерности изменения длины коронарных артерий у людей второго периода зрелого и пожилого возраста // Сеченовский вестник. 2018. № 1. С. 16–18.
- Каплунова О.А. Возрастные особенности артериальных сосудов почек человека // Медицинский вестник Юга России. 2019. Т. 10, № 4. С. 51–58. doi: 10.21886/2219-8075-2019-10-4-51-58
- Катерлина И.Р., Изранов В.А., Соловьева И.Г., и др. Межполушарная асимметрия головного мозга и морфологическая асимметрия щитовидной железы // Вестник Новосибирского государственного университета. Серия: биология и клиническая медицина. 2010. Т. 8, № 1. С. 129–132.
- Северин Ф.Ф., Скулачёв В.П. Запрограммированная клеточная смерть как мишень борьбы со старением организма // Успехи геронтологии. 2009. № 1. С. 37–48.
- Шадлинская С.В. Клеточный состав и микроанатомия лимфоидных образований преддверия влагалища в постнатальном онтогенезе // Сеченовский вестник. 2019. № 1. С. 57–62. doi: 10.47093/22187332.2019.1.57-62
- Юзефович Н.А., Юдина О.А., Мельников И.А., Студеникина Т.М. Особенности экспрессии виментина, десмина и фактора роста эндотелия сосудов в средней оболочке стенки аорты в норме и при аневризме брюшного отдела аорты // Медицинские новости. 2017. № 8. С. 71–76.
- Briceag I., Costache A., Purcarea V.L., et al. Fallopian tubes — literature review of anatomy and etiology in female infertility // J Med Life. 2015. Vol. 8, No. 2. P. 129–131.
- Correr S., Makabe S., Heyn R., et al. Microplicae-like structures of the fallopian tube in postmenopausal women as shown by electron microscopy // Histol Histopathol. 2006. Vol. 21, No. 3. P. 219–226. doi: 10.14670/HH-21.219
- Hart D.A. Sex differences in biological systems and the conundrum of menopause: potential commonalities in post-menopausal disease mechanisms // Int J Mol Sci. 2022. Vol. 23, No. 8. ID 4119. doi: 10.3390/ijms23084119
- Ezzati M., Djahanbakhch O., Arian S., Carr B.R. Tubal transport of gametes and embryos: a review of physiology and pathophysiology // J Assist Reprod Genet. 2014. Vol. 31, No. 10. P. 1337–1347. doi: 10.1007/s10815-014-0309-x
- Grund S., Grümmer R. Direct cell-cell interactions in the endometrium and in endometrial pathophysiology // Int J Mol Sci. 2018. Vol. 9, No. 8. ID 2227. doi: 10.3390/ijms19082227
- Hamada H. Molecular and cellular basis of left–right asymmetry in vertebrates // Proc Jpn Acad Ser B Phys Biol Sci. 2020. Vol. 96, No. 7. P. 273–296. doi: 10.2183/pjab.96.021
- Hena H., Ara S., Ullah M., et al. Age Related change of total length of fallopian tubes in Bangladesh female cadaver // Update Dental College Journal. 2011. Vol. 1, No. 2. P. 13–16. doi: 10.3329/updcj.v1i2.13980
- Hrishikesh T., Santosh K.S. A morphological study on fallopian tube // Int J Anat Res. 2016. Vol. 4, No. 4. P. 3066–3071. doi: 10.16965/ijar.2016.403
- Javaheri B., Pitsillides A.A. Aging and mechanoadaptive responsiveness of bone // Curr Osteoporos Rep. 2019. Vol. 17, No. 6. P. 560–569. doi: 10.1007/s11914-019-00553-7
- Maryam S., Emily J.A., Christopher P.C. The fallopian tube and broad ligament. In: Diagnostic gynecologic and obstetric pathology. 3rd еdition / ed. by C.P. Crum, M.R. Nucci, T.K. Boyd. Elsevier, 2018. P. 716–760. doi: 10.1016/B978-0-323-44732-4.00021-2
- Slobodian O., Guzik O. Anatomic peculiarities of cervix uteri ligaments in pre- and postnatal human ontogenesis // Mold Med J. 2017. Vol. 60, No. 3. P. 50–53. doi: 10.5281/zenodo.1051160
- Susan J.C. Morphology of the aging lung on computed tomography // J Thorac Imaging. 2016. Vol. 31, No. 3. P. 140–150. doi: 10.1097/RTI.0000000000000211
- Tamash Ya.V., Khayrullin R.M., Supilnikov A.A., Lysov N.A. Variant anatomy of the fallopian tubes and ovaries: side-to-side differences, reference values // Ann Anat. 2021. Vol. 237, No. S1. ID 151747. doi: 10.1016/j.aanat.2021.151747
- Velez M.P., Alvarado B.E., Rosendaal N., et al. Age at natural menopause and physical functioning in postmenopausal women: the Canadian Longitudinal Study on Aging // Menopause. 2019. Vol. 26, No. 9. P. 958–965. doi: 10.1097/GME.0000000000001362
Дополнительные файлы






