Early surgical correction of mitral valve infection endocarditis in 16-year old female patient
- Authors: Badurov R.B.1, Shikhverdiev N.N.1, Kornishina T.L.1, Ivanilova A.A.1, Novak M.Y.1
-
Affiliations:
- St. Petersburg State Pediatric Medical University, Ministry of Healthcare of the Russian Federation
- Issue: Vol 11, No 3 (2020)
- Pages: 119-124
- Section: Clinical observation
- URL: https://journal-vniispk.ru/pediatr/article/view/42543
- DOI: https://doi.org/10.17816/PED113119-124
- ID: 42543
Cite item
Abstract
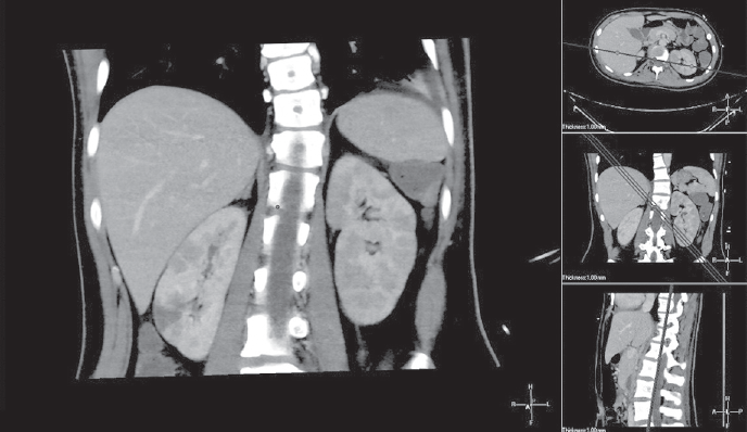
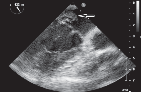
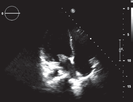
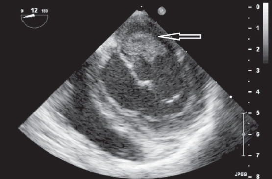
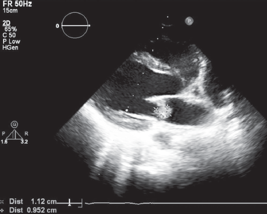
The optimal time for surgery on the heart valves in patients with active infectious endocarditis (IE) is still controversial. It is a well known fact that cerebral, coronary or renal thromboembolism is the most common cause of death in patients with left-sided IE. Thromboembolism can develop before the appearance of clinical manifestations of the destruction of the valvular apparatus of the heart. Currently, early surgical intervention is considered as the most effective method of treatment of many forms of active left-sided IE. Early surgery involves performing surgical correction until the completion of a full antibiotics course. We present the clinical case of early surgical correction of the patient (A., 16 years) with mitral valve infectious endocarditis. The disease was acute, with recurrent embolisms to the right kidney with infarction and to the left clavicle with osteomyelitis. Surgical intervention was performed as a matter of urgency; surgical access – right-sided anterolateral thoracotomy. The girl was operated on the 4th day of the hospitalization to our hospital. However, time of treatment was lost at the prehospital stage and rapid mitral valve destruction did not allow to repair the valve. Therefore, the mitral valve replacement was performed. The postoperative period was favorable. On the 3rd day after the operation, the girl was transferred to the cardiology department. On control ECHO after 3 years: myocardial contractile function is good, EF 65%, the function of the MV prosthesis is not impaired.
Full Text
##article.viewOnOriginalSite##About the authors
Ruslan B. Badurov
St. Petersburg State Pediatric Medical University, Ministry of Healthcare of the Russian Federation
Author for correspondence.
Email: badurov.r@gmail.com
MD, PhD, Associate Professor, Department of Cardiovascular Surgery
Russian Federation, St. PetersburgNazim N. Shikhverdiev
St. Petersburg State Pediatric Medical University, Ministry of Healthcare of the Russian Federation
Email: nazniz@mail.ru
MD, PhD, Dr Med Sci, Professor, Department of Cardiovascular Surgery
Russian Federation, St. PetersburgTatyana L. Kornishina
St. Petersburg State Pediatric Medical University, Ministry of Healthcare of the Russian Federation
Email: tk.06@mail.ru
Assistant Professor, Department of Hospital Pediatrics
Russian Federation, St. PetersburgAlina A. Ivanilova
St. Petersburg State Pediatric Medical University, Ministry of Healthcare of the Russian Federation
Email: iv.alina@bk.ru
4st year Student, Department of Cardiovascular Surgery
Russian Federation, St. PetersburgMaria Yu. Novak
St. Petersburg State Pediatric Medical University, Ministry of Healthcare of the Russian Federation
Email: marylovepeace@mail.ru
Assistant Professor, Department of Cardiovascular Surgery
Russian Federation, St. PetersburgReferences
- Марченко С.П. Реконструктивная хирургия атриовентрикулярных клапанов сердца: Автореф. дис. … д-ра мед. наук. – СПб., 2008. – 47 с. [Marchenko SP. Rekonstruktivnaya khirurgiya atrioventrikulyarnykh klapanov serdtsa. [dissertation] Saint Petersburg; 2008. 47 p. (In Russ.)]
- Шевченко Ю.Л. Хирургическое лечение инфекционного эндокардита. – СПб.: Наука, 1995. – 230 с. [Shevchenko YuL. Khirurgicheskoe lechenie infektsionnogo endokardita. Saint Petersburg: Nauka; 1995. 230 p. (In Russ.)]
- Шихвердиев Н.Н., Хубулава Г.Г., Марченко С.П. Клапансохраняющие оперативные вмешательства в хирургии митральных пороков инфекционной этиологии: показания и варианты коррекции // Вестник аритмологии. – 2004. – Т. 35. – № S2. – C. 166. [Shikhverdiev NN, Khubulava GG, Marchenko SP. Klapansokhranyayushchie operativnye vmeshatel’stva v khirurgii mitral’nykh porokov infektsionnoy etiologii: pokazaniya i varianty korrektsii Journal of arrhythmology. 2004;35(S2):166. (In Russ.)]
- Шихвердиев Н.Н., Хубулава Г.Г., Марченко С.П., Аскеров М.А. Реконструктивные вмешательства на митральном клапане: варианты коррекции, непосредственные и отдаленные результаты // Артериальная гипертензия. – 2008. – Т. 14. – № 1. – С. 91–96. [Shikhverdiev NN, Khubulava GG, Marchenko SP, Askerov MA. Mitral valverepair: types of correction, immediateand long-term results. Arterialnaia gipertenziia. 2008;14(1):91-96. (In Russ.)]
- Davierwala PM, Marin-Cuartas M, Misfeld M, Borger MA. The value of an “Endocarditis Team”. Ann Cardiothorac Surg. 2019;8(6):621-629. https://doi.org/10.21037/acs.2019.09.03.
- Kang DH, Kim YJ, Kim SH, et al. Early Surgery versus Conventional Treatment for Infective Endocarditis. N Engl J Med. 2012;366(26):2466-2473. https://doi.org/10.1056/NEJMoa1112843.
- Lalani T, Cabell CH, Benjamin DK, et al. Analysis of the Impact of Early Surgery on In-Hospital Mortality of Native Valve Endocarditis. Use of Propensity Score and Instrumental Variable Methods to Adjust for Treatment-Selection Bias. Circulation. 2010;121:1005-1013. https://doi.org/10.1161/CIRCULATIONAHA.109.864488.
- Liang F, Song B, Liu R, et al. Optimal timing for early surgery in infective endocarditis: a meta-analysis. Interact Cardiovasc Thorac Surg. 2016;22(3):336-345. https://doi.org/10.1093/icvts/ivv368.
- Nishimura RA, Otto CM, Bonow RO, et al. 2017 AHA/ACC Focused Update of the 2014 AHA/ACC Guideline for the Management of Patients with Valvular Heart Disease. J Am Coll Cardiol. 2017;70(2):252-289. https://doi.org/10.1016/j.jacc.2017.03.011.
- Pettersson GB, Hussain ST. Current AATS guidelines on surgical treatment of infective endocarditis. Ann Cardiothorac Surg. 2019;8(6):630-644. https://doi.org/10.21037/acs.2019.10.05.
- Shang E, Forrest GN, Chizmar T, et al. Mitral Valve Infective Endocarditis: Benefit of Early Operation and Aggressive Use of Repair. Ann Thorac Surg. 2009;87(6):1728-1733. https://doi.org/10.1016/j.athoracsur.2009.02.098.
- Wang, A. Statement from the International Collaboration on Endocarditis on the current status of surgical outcome in infective endocarditis. Ann Cardiothorac Surg. 2019;8(6):678-680. https://doi.org/10.21037/acs.2019.05.19.
Supplementary files










