Echocardiography in the differential diagnosis of patent ductus arteriosus in children
- Authors: Prijma N.F1, Popov V.V1, Ivanov D.O1
-
Affiliations:
- St Petersburg State Pediatric Medical University, Ministry of Healthcare of the Russian Federation
- Issue: Vol 7, No 4 (2016)
- Pages: 119-127
- Section: Articles
- URL: https://journal-vniispk.ru/pediatr/article/view/5977
- DOI: https://doi.org/10.17816/PED74119-127
- ID: 5977
Cite item
Full Text
Abstract
Full Text
Открытый артериальный проток (ОАП) — сосуд, через который после рождения сохраняется патологическое сообщение между аортой и легочной артерией. Одним из первых описал порок Леонардо Боталло в 1564 г. В подавляющем большинстве случаев артериальный проток самостоятельно закрывается сразу после рождения или продолжает функционировать, значительно уменьшив объем сбрасываемой крови, в течение 15–20 часов [1–3].
Ряд авторов считают вариантом нормы функционирование ОАП в течение первых 72 часов после рождения [1, 3, 7]. В настоящее время принято считать, что при сохранении открытого протока через 12–14 дней после рождения ставится диагноз «врожденный порок сердца ОАП». Процесс облитерации протока после его закрытия и формирования аортолегочной связки (ligamentum arteriosum) может растягиваться до 2,5 месяца. Врожденный порок сердца (ВПС) — один из наиболее часто встречающихся пороков, по данным различных авторов, он составляет от 5 до 18 % от всех ВПС [2, 6, 8, 10]. У лиц женского пола ОАП встречается в три раза чаще, чем у мужского. ОАП может быть изолированным пороком, но в 5–10 % случаев сочетается с другими ВПС (ДМПП, ДМЖП и др.). Артериальный проток необходим в системе кровообращения плода, поскольку обеспечивает шунтирование кровотока малого круга кровообращения через нефункционирующие легкие. После рождения ребенка возникает легочное дыхание, и артериальный проток закрывается. Начинает функционировать малый круг кровообращения. У недоношенных детей ОАП встречается в 15–80 % случаев. Отмечается выраженная зависимость ОАП от массы тела недоношенного новорожденного: чем меньше масса тела, тем чаще встречается ОАП. Так, при массе тела 1500–2000 г ОАП встречается в 15–20 % случаев, недоношенных весом менее 1000 г — в 80 % случаев. Часть авторов считает, что процесс анатомического закрытия протока (облитерация протока) у недоношенных детей может продолжаться до 8 недель после рождения [1, 3, 6, 10, 11]. В ряде случаев, при наличии у новорожденного сопутствующей патологии или тяжелого ВПС, ОАП может выполнять компенсаторную функцию, а его закрытие вызывает летальный исход. Такие состояния возникают при наличии у новорожденного тяжелых форм бронхо-легочной дисплазии (БЛД), таких ВПС, как атрезии легочной артерии или аорты, некоторые виды коарктации аорты, тяжелые формы тетрады Фалло и др. В таких случаях перечисленные пороки называют дуктусзависимыми, а для предотвращения самопроизвольного закрытия ОАП проводят медикаментозную терапию вазопростаном. Анатомически проток имеет форму цилиндра или усеченного конуса длиной 10–25 мм и шириной до 20 мм. Топографически ОАП располагается в верхнем отделе переднего средостения и прикрыт листком париетальной плевры. Как правило, артериальный проток отходит от дуги аорты напротив левой подключичной артерии и идет в косом направлении кпереди и вниз, впадая в бифуркацию легочного ствола на уровне устья левой ветви легочной артерии. В литературе описаны случаи наличия двух протоков, соединяющих аорту с правой и левой ветвями легочной артерии [7, 9, 11, 12]. В редких случаях ОАП представлен извитым свищеобразным ходом небольших размеров в диаметре до 1,0 мм. В таких случаях сброс крови через ОАП не приводит к нарушениям гемодинамики, но увеличивает риск развития инфекционного эндокардита. ОАП является пороком «бледного типа», поскольку как в систолу, так и в диастолу через него происходит сброс оксигенированной крови из аорты (область высокого давления) в легочную артерию (область низкого давления). Именно такой систоло-диастолический сброс крови обусловливает появление классического «машинного» шума. Ряд авторов указывает на определенную связь между диаметром ОАП и аускультативной картиной. Так, наличие систоло-диастолического шума обусловливают протоки диаметром от 4 мм и более. Однако в первые месяцы жизни диастолическое давление в легочной артерии может быть достаточно высоким, что приводит к минимизации, а иногда и смене направления потока через ОАП, из легочной артерии в аорту (так называемый перекрестный сброс) [3–5, 7, 8, 12]. В подобных случаях, например, при плаче и крике ребенка, ОАП может протекать без выраженной аускультативной картины и быть причиной эпизодов цианоза.
Клиническая картина при ОАП напрямую зависит от размеров протока и давления в малом круге кровообращения. В одних случаях явления сердечной недостаточности нарастают стремительно, учащается ЧСС, нарастает одышка. В других случаях пациент на протяжении многих лет может не догадываться о существовании порока и узнать о нем после выполнения диагностических процедур [9–11].
Помимо расширения левых полостей сердца, формирования легочной гипертензии, одним из возможных коварных осложнений ОАП является боталлит. Это разновидность эндартериита, развивающегося в стенке протока. Боталлит может иметь вялотекущее течение, создавая предпосылки для формирования эмболов. С другой стороны, при хирургическом лигировании протока, может происходить разрыв истонченной стенки последнего с развитием фатального кровотечения.
Классический систоло-диастолический шум при ОАП впервые был описан Gerhardt в 1867 г. и Gibson в 1898–1900 гг. Шум непрерывный, систоло-диастолический, начинающийся от I тона и нарастающий ко II тону, перекрывающий его и несколько убывающий к диастоле, выслушивается во 2–3-м межреберьях слева у грудины и часто имеет широкую зону иррадиации. Как говорилось выше, при повышении давления в стволе легочной артерии (легочная гипертензия, бронхолегочная дисплазия) диастолический компонент шума может отсутствовать либо исчезнуть. Таким образом, нередко шум при ОАП может быть лишь систолическим. Возможно появление акцента 2-го тона над легочной артерией.
К основным ЭХОКГ-признакам ОАП относят визуализацию в стволе легочной артерии патологического систоло-диастолического потока. Для диагностики ОАП наиболее информативна левая парастернальная позиция по короткой оси на уровне легочной артерии, как правило, бифуркации последней. Цветовое допплеровское картирование дополняется волновым, регистрирующим непрерывный систоло-диастолический сброс в легочную артерию через ОАП, направленность которого обычно диаметрально противоположна основному потоку в стволе легочной артерии. Визуализировать ОАП и поток через него можно и из супрастернальной позиции. Существуют и косвенные эхокардиографические признаки наличия ОАП, такие как расширение левых полостей сердца. У новорожденных детей и детей первых месяцев жизни при ОАП изменяется соотношение аорта/левое предсердие, в норме равняющееся 1: 1, за счет расширения левого предсердия. В случаях когда ОАП существенно влияет на гемодинамику, достаточно быстро нарастает давление в малом круге кровообращения, расширяется ствол легочной артерии.
Однако помимо типичных допплерографических потоков, присущих ОАП, в стволе легочной артерии обнаруживаются потоки других направлений, которые в ряде случаев вызывают большие диагностические трудности у специалистов. Известно, что причинами патологических потоков в стволе легочной артерии, кроме ОАП, могут быть: аортолегочные фистулы (свищи) и фистулы между бассейнами коронарных артерий и легочным стволом.
Все вышесказанное определило цели и задачи данной работы.
Цели и задачи
- Провести анализ и интерпретацию клинического течения заболевания у детей с документированным ОАП.
- Сопоставить данные аускультации, полученные при рутинном эхокардиографическом исследовании, с размерами ОАП, направлением шунтируемого потока.
- По данным эхокардиографического исследования изучить патологические диастолические потоки в стволе легочной артерии, симулирующие ОАП, определить критерии дифференциальной диагностики.
Материалы и методы
В исследование было включено 2173 ребенка в возрасте от 1 дня жизни до 18 лет. Из них амбулаторное ЭХО КГ проведено 1503 детям, направленным на исследование в связи с наличием шума в прекардиальной области, — 839 мальчиков и 664 девочки, средний возраст детей составил 6,6 ± 5,4 года. Стационарно обследовано 670 детей, из них 384 мальчика и 286 девочек, средний возраст составил 3,3 ± 2,1 года. ЭХО КГ проводилось по стандартным методикам на ультразвуковых сканерах SonaAse 9900, Vivid 7, Philips IU22.
Результаты
Открытый артериальный проток был диагностирован у 66 детей, что составило 3 % от общего числа обследованных; из них 48 девочек и 18 мальчиков (соотношение 2,6 : 1). В 44 случаях ОАП был выявлен первично и в 22 случаях пациенты осматривались повторно, после установки диагноза в других учреждениях или после оперативного вмешательства (табл. 1).
Таблица 1. Разновидности течения ОАП у обследованных детей
Виды ОАП | Число наблюдений (66) |
ОАП с перекрестным сбросом у недоношенных новорожденных | 8 |
ОАП в стадии закрытия у детей 1-го года жизни после периода новорожденности (старше 28 дней) | 11 |
ОАП при дуктусзависимых ВПС | 4 |
ОАП у детей первого года жизни, осложнившийся НК и потребовавший хирургического лечения | 4 |
ОАП, выявленный у детей старше 1 года жизни | 12 |
Дети с ОАП, оперированные при помощи окклюдерной техники | 10 |
Дети с ОАП, оперированные путем лигирования ОАП, в том числе случаи реканализации ОАП | 12 |
Непрерывно рецидивирующий ОАП | 5 |
Примечание: ОАП — открытый артериальный проток; ВПС — врожденный порок сердца; НК — недостаточность кровообращения | |
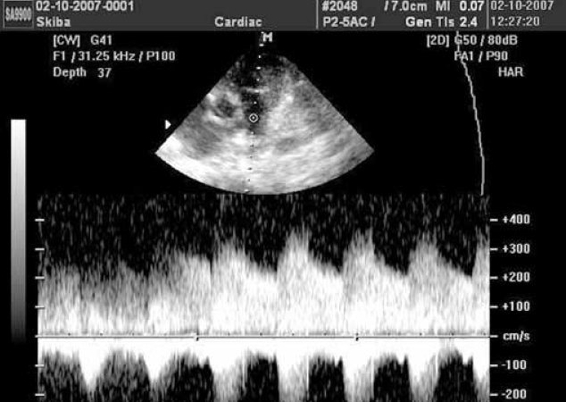
Восемь детей с наличием перекрестного сброса через ОАП в 100 % случаев наших наблюдений являлись недоношенными и имели повышенное давление в легочной артерии за счет бронхолегочной дисплазии (БЛД). ОАП в «стадии закрытия» диагностировался у детей 1-го года жизни старше 4 недель после периода новорожденности. При допплерографии ствола легочной артерии регистрируются волнообразные эпизоды практически полного отсутствия сброса через ОАП, сменяющиеся периодами нарастания сброса, сопровождающиеся появлением классической аускультативной картины (рис. 1).

Рис. 1. Допплерография ствола легочной артерии. Запечатлен эпизод значительного возрастания сброса через открытый артериальный проток, сопровождавшийся появлением систоло-диастолического шума
При наблюдении в динамике за данной категорией пациентов было отмечено, что у 8 детей к 1 году жизни ОАП закрылся самостоятельно и у трех детей к 2–3 годам жизни. Проток-зависимые ВПС диагностированы в четырех случаях. Из них у двух детей с коарктацией и гипоплазией аорты и у двух детей с тетрадой Фалло и выраженным стенозом легочной артерии. Двое детей были успешно оперированы. Двое скончались после хирургических пособий в силу анатомической сложности ВПС и сопутствующей соматической патологии.
Открытый артериальный проток, как изолированный ВПС, осложнившийся сердечной недостаточностью, у детей первого года жизни нами документирован у 4 детей. Во всех случаях это были дети, у которых ОАП был диагностирован в родильном доме и которые были оставлены под амбулаторным наблюдением кардиолога. К концу периода новорожденности у всех наблюдаемых детей отмечались патологический сброс крови из аорты в легочную артерию через ОАП, расширение левых полостей сердца, увеличение давления в малом круге кровообращения, легкая синусовая тахикардия, беспокойство, плохие прибавки массы тела. Все это потребовало терапии диуретиком (верошпироном) с постепенным титрованием дозировок. Однако у всех пациентов на фоне терапии продолжалось прогрессирование явлений сердечной недостаточности, расширение левых полостей сердца и повышение давления в малом круге кровообращения, что потребовало хирургической коррекции (лигирования) ОАП уже на втором-третьем месяцах жизни. Двенадцать детей составили группу с впервые выявленными ВПС ОАП, средний возраст детей — 6,3 ± 3,1 года. Все пациенты этой группы не имели выраженных явлений сердечной недостаточности, у большинства из них ВПС был выявлен на фоне «полного здоровья», диаметр протока составлял 2,1 ± 1,1 мм. Все дети были прооперированы в плановом порядке. У 22 пациентов осмотр проводился через 3–6–12 месяцев после оперативного вмешательства по поводу ОАП (10 детей — установка окклюдера; 12 детей — лигирование под контролем зрения). Все дети с установленными окклюдерами не имели признаков реканализации ОАП, смещения окклюдера и других осложнений. Из 12 пациентов, оперированных открытым способом, у двоих имелись ЭХОКГ-признаки реканализации ВПС.
Непрерывно рецидивирующий ОАП был выявлен в 5 случаях. Все дети (анамнестически) многократно обследовались в различных медицинских учреждениях города. Средний возраст составил 9,2 ± 2,0 года. ОАП у них был диагностирован на 1–3-м годах жизни, затем следовал период «благополучия», длящийся от 6 до 10 лет, когда на ЭХО КГ ОАП не регистрировался, после чего проток начинал функционировать вновь. Поскольку термин «непрерывно рецидивирующий открытый артериальный проток» не является общепризнанным и появился в ходе собственных интерпретаций ВПС у обследованных больных, считаем необходимым сделать некоторые пояснения. Все обследованные нами дети с непрерывно рецидивирующим ОАП — жители мегаполиса (Санкт-Петербург). По данным анамнеза каждому ребенку неоднократно выполнялось ЭХО КГ, причем трое из пяти детей в течение жизни неоднократно и полноценно обследовались в детских стационарах города (соматические отделения). Ни в одном случае диагноз ВПС ОАП ранее поставлен не был, что дает право считать, что на время госпитализаций и обследования специалисты не находили данных за ОАП. В качестве иллюстрации приводим пример из практики.
Случай из практики
Девочка Юлия С., 9 лет, в течение года наблюдается невропатологом с диагнозом «эпилепсия», длительно получает курс противосудорожной терапии, содержащей эглонил (нейролептик). Направлена на амбулаторное эхокардиографическое исследование невропатологом для оценки состояния сердечно-сосудистой системы на фоне проводимой терапии. Из анамнеза известно, что ребенок от 1-й беременности, 1-х срочных родов; правильного телосложения, повышенного питания. Травм, оперативных вмешательств не было. Год назад на фоне полного благополучия во время ночного сна появились судорожные подергивания в нижних конечностях, одышечные приступы, потливость, чувство страха. По скорой помощи ребенок был госпитализирован в педиатрический стационар неврологического профиля, где был всесторонне обследован. Поставлен диагноз «эпилепсия», назначено лечение. При осмотре: состояние удовлетворительное, пульс 84 в минуту, удовлетворительного наполнения и напряжения. Тоны сердца ясные. В 3–4-м межреберье слева у грудины выслушивается систолический шум слабой интенсивности без иррадиации. Выполнено ЭХО КГ: умеренно выраженное расширение левых полостей сердца (ЛП = 36 мм, КДРЛЖ = 48 мм), ствола легочной артерии (21 мм). В типичном месте бифуркации легочной артерии выявлен ОАП диаметром до 2,5–3,0 мм, с систоло-диастолическим сбросом из аорты в легочную артерию. Отмечен дефицит ткани ligamentum arteriosum в области бифуркации легочной артерии. Систолическое давление в правом желудочке 30 мм рт. ст. Сократительная способность миокарда сохранена. В течение последующей недели диагноз был подтвержден в кардиологическом центре. При исследовании шунтируемого через ОАП потока Qp/Qs составил 2,2. В настоящее время ребенок готовится к плановой коррекции ВПС. По решению невропатологов противосудорожная терапия отменена. Таким образом, представленный случай наглядно иллюстрирует, что ОАП может непрерывно рецидивировать, то есть могут возникать периоды спазмирования протока, прекращения либо выраженной минимизации сброса через него, сменяющиеся периодами полноценного систоло-диастолического шунтирования, хотя и без классической аускультативной картины. В представленном случае нельзя исключить, хоть и анамнестически, взаимосвязи ВПС с ночным одышечно-судорожным приступом у ребенка.
Аускультативная картина у обследованных детей с ОАП была чрезвычайно разнообразной (табл. 2). Классический машинный систоло-диастолический шум был выявлен лишь у 13 детей с ОАП (15 % от общего числа) (рис. 2).

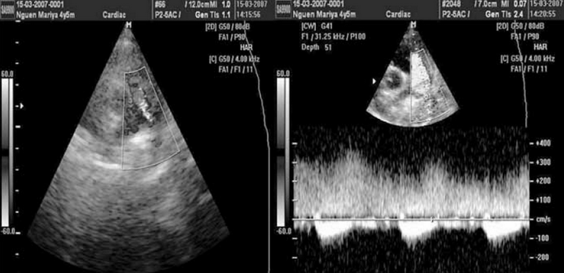
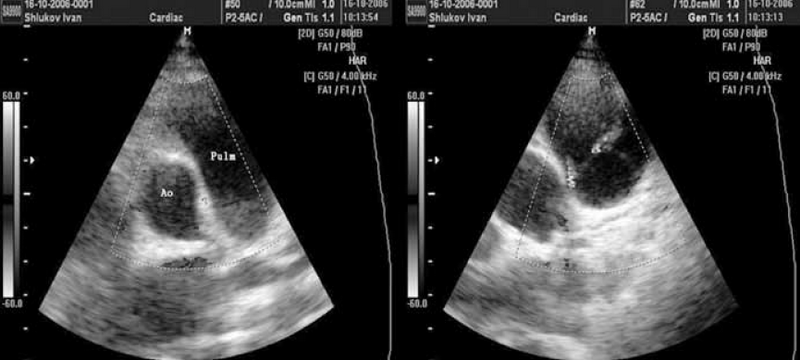
Рис. 2. Исследование выполнено из левой парастернальной позиции по короткой оси. В зоне интереса ствол легочной артерии в режиме цветного допплеровского картирования. В синих тонах кровоток в легочной артерии «от датчика», в красных тонах кровоток через открытый артериальный проток «к датчику». Справа — допплерография в стволе легочной артерии — диагностируется систоло-диастолический сброс через открытый артериальный проток, сопровождающийся «машинным» шумом
У 70 % детей выявлялся лишь систолический шум во 2–3-м межреберьях слева у грудины, сопровождавшийся у половины из них акцентом 2-го тона над легочной артерией. Еще 15 % детей с ОАП вообще не имели значимых шумов над областью сердца (см. табл. 2).
Таблица 2. Данные аускультации у обследованных детей с документированным ОАП
Шумовые эффекты | Число наблюдений (всего 66–100 %) | Диаметр ОАП, мм | Направление потока, шунтируемого через ОАП |
Классический систоло-диастолический «машинный» шум | 13 (19,6 % от всех диагностированных ОАП) | 3,5–4,5 | Из аорты в легочную артерию |
Систолический шум во 2–3-м межреберьях слева у грудины и/или акцент 2-го тона над легочной артерией | 40 (60,6 % от всех диагностированных ОАП) | 2,0–3,5 | Из аорты в легочную артерию (28 случаев) Из легочной артерии в аорту либо перекрестный сброс (12 случаев) |
Отсутствие шумовых эффектов | 13 (19,6 % от всех диагностированных ОАП) | 1,0–1,8 | Из аорты в легочную артерию |
Примечание: ОАП — открытый артериальный проток | |||
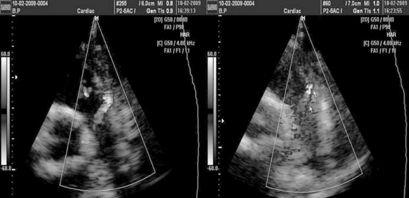
В подавляющем большинстве случаев сброс крови из аорты в легочную артерию через ОАП визуализируется в стволе легочной артерии как поток красного спектра, направленный к датчику в левой парастернальной позиции по короткой оси (см. рис. 2). Сложности эхокардиографической диагностики и дифференциальной диагностики ОАП у детей могут быть обусловлены наличием других разнонаправленных потоков, визуализируемых в стволе легочной артерии, особенно в режиме цветового допплеровского картирования (рис. 3–6). Часть из них направлена «к датчику» и окрашивается в красные цвета, другие направлены «от датчика» и визуализируются как потоки синего цвета. Таким образом, высокоскоростные патологические потоки из аорты в легочную артерию через открытый артериальный проток и аортолегочную фистулу имеют направление «к датчику» и окрашиваются в цвета красного спектра. Низкоскоростные потоки из бассейна коронарных артерий в легочную артерию через коронарные фистулы чаще окрашиваются в синие цвета «от датчика» (см. рис. 3–5).

Рис. 3. Эхокардиограммы выполнены из левого парастернального доступа по короткой оси. В зоне интереса ствол легочной артерии в режиме цветного допплеровского картирования. Слева и справа визуализируется поток из коронарной фистулы (предположительно бассейн левой коронарной артерии) в ствол легочной артерии. При цветном допплеровском картировании аномальный поток окрашен в синий цвет, движение «от датчика»

Рис. 4. Эхокардиограммы выполнены из левого парастернального доступа по короткой оси. В зоне интереса ствол легочной артерии в режиме цветного допплеровского картирования. Слева визуализирована зона бифуркации ствола легочной артерии на правую и левую ветви. На правой эхограмме визуализируется поток из коронарной фистулы (бассейн левой коронарной артерии) в ствол легочной артерии. При цветном допплеровском картировании аномальный поток окрашен в синий цвет, движение «от датчика»

Рис. 5. Эхокардиограммы выполнены из левого парастернального доступа по короткой оси. В зоне интереса восходящая аорта и ствол легочной артерии в режиме цветного допплеровского картирования. Слева визуализирована фистула небольших размеров между аортой и стволом легочной артерии. На правой эхограмме визуализируется поток через фистулу/свищ из аорты в ствол легочной артерии
Диастолический сброс крови через коронарную фистулу в легочную артерию при постоянно-волновом допплеровском картировании отчасти напоминает аналогичный сброс через ОАП, однако является более низкоскоростным и менее продолжительным по времени, не занимая весь диастолический промежуток на допплерограмме (см. рис. 6).

Рис. 6. Диастолические потоки, отражающие сбросы крови через коронарную фистулу в ствол легочной артерии, визуализируются в секторе положительных значений над изолинией между систолическими и могут симулировать допплерограмму при классическом открытом артериальном протоке
На практике мы столкнулись с 25 случаями, когда у детей был диагностирован ВПС ОАП, но при проведении дифференциально-диагностических процедур диагноз был снят. Во всех случаях за ОАП были приняты коронарно-легочные фистулы и аортолегочные фистулы/свищи малых размеров. Важным дифференциально-диагностическим признаком отличия коронарно-легочной фистулы от ОАП является визуализация ОАП из двух эхокардиографических доступов: 1) левого парастернального по короткой оси на уровне бифуркации ствола легочной артерии; 2) супрастернального.
Тогда как аортолегочные и коронарно-легочные фистулы/свищи визуализируются только из левого парастернального доступа по короткой оси и не визуализируются из супрастернального.
Также, если позволял возраст ребенка, при обнаружении аортолегочных/коронарно-легочных фистул нами проводилась ЭХО КГ с нагрузочными пробами. Пациент выполнял 20–30 приседаний в быстром темпе, после чего проводилось повторное ЭХО КГ с оценкой изменения патологического сброса. У подавляющего числа пациентов патологический сброс прекращался или значительно снижался, тогда как при наличии ОАП, наоборот, как правило, усиливался.
В ходе работы было отмечено, что далеко не всегда область бифуркации ствола легочной артерии является типичным местом дренирования ОАП. Данные атипичных мест локализации ОАП представлены в табл. 3. Хочется отметить, что случаи нетипичного дренирования ОАП требуют визуализации протока из нескольких ЭХОКГ-позиций.
Таблица 3. Локализация дренирования ОАП
Место дренирования открытого артериального протока | Число наблюдений (66) |
Типичное — устье левой ветви легочной артерии на уровне бифуркации ствола легочной артерии | 55 |
Проксимальнее уровня бифуркации легочной артерии | 4 |
Дистальнее уровня бифуркации легочной артерии, в левой ветви легочной артерии (от 10 до 50 мм дистальнее бифуркации легочной артерии) | 5 |
Правая ветвь легочной артерии | 2 |
В ходе работы был выявлен важный эхокардиографический диагностический признак. При ЭХО КГ сердца из левой парастернальной позиции по короткой оси на уровне ствола легочной артерии у 51 % детей с диагностированным ОАП имелся «дефицит» ткани аортолегочной связки (ligamentum arteriosum), визуализируемой в поперечном сечении непосредственно под бифуркацией ствола легочной артерии, а у 8 % детей ткань связки вовсе не визуализировалась (рис. 7).

Рис. 7. Визуализация аортолегочной связки (ligamentum arteriosum) в области бифуркации ствола легочной артерии (отмечено стрелкой). Дефицит или отсутствие ткани может указывать на наличие открытого артериального протока
Итогом данной работы стали следующие предварительные выводы:
- Классический систоло-диастолический («машинный») шум сопровождает ВПС ОАП лишь в 20 % случаев, в 60 % случаев ОАП может сопровождаться систолическим шумом во втором-третьем межреберьях слева у грудины, а еще в 20 % случаев ОАП может быть немым.
- Можно говорить о наличии еще одной формы ВПС ОАП — непрерывно рецидивирующей, сопровождающейся, по-видимому, лишь долговременным спазмированием (а не облитерацией) стенок протока, с последующим их раскрытием и возобновлением патологического шунта. Для исключения рецидивирующего открытого артериального протока эхокардиографическое исследование детям первого года жизни необходимо проводить дважды — после рождения и в возрасте 11–12 месяцев.
- Эхокардиографическая визуализация ОАП может осуществляться из двух доступов — парастернального и супрастернального; аортопульмональные и коронарно-пульмональные свищи визуализируются лишь из парастернального доступа, что может являться важным ультразвуковым дифференциально-диагностическим признаком.
- При визуализации бифуркации легочной артерии из левого парастернального доступа по короткой оси дефицит или полное отсутствие ткани в проекции аортолегочной связки (ligamentum arteriosum) может свидетельствовать о наличии ВПС ОАП.
About the authors
Nikolaj F Prijma
St Petersburg State Pediatric Medical University, Ministry of Healthcare of the Russian Federation
Author for correspondence.
Email: nicprijma@rambler.ru
MD, PhD, Senior researcher Russian Federation
Valeriy V Popov
St Petersburg State Pediatric Medical University, Ministry of Healthcare of the Russian Federation
Email: nicprijma@rambler.ru
MD, PhD, Head, Laboratory of New Medical Technologies, Research Сenter Russian Federation
Dmitry O Ivanov
St Petersburg State Pediatric Medical University, Ministry of Healthcare of the Russian Federation
Email: doivanov@yandex.ru
MD, PhD, Dr Med Sci, Professor, Rector, Сhief Neonatologist, Ministry of Health of the Russian Federation Russian Federation
References
- Белозеров Ю.М., Болбиков В.В. Ультразвуковая семиотика и диагностика в кардиологии детского возраста. – М.: МЕДпресс, 2001. – С. 169–171. [Belozerov YuM, Bolbikov VV. Ultrasound semiotics and diagnostics in pediatric cardiology. Moscow: MEDpress; 2001. P. 169-171. (In Russ.)]
- Бураковский В.И., Бокерия Л.А. Сердечно-сосудистая хирургия. – М.: Медицина, 1989. – С. 146, 376, 339. [Burakovskiy VI, Bokeriya LA. Cardiovascular surgery. Moscow: Meditsina; 1989. P. 146, 376, 339. (In Russ.)]
- Воробьев А.С. Амбулаторная эхокардиография у детей. – СПб.: СпецЛит, 2010. – С. 243–246. [Vorob’ev AS. Outpatient echocardiography in children. Saint Petersburg: SpetsLit; 2010. P. 243–246. (In Russ.)]
- Попов В.В., Прийма Н.Ф., Шахнова Е.А. Дефект мышечной части межжелудочковой перегородочки (Толочинова — Роже) в эхокардиографической интерпретации // Педиатр. – 2010. – Т. 1. – № 1. – С. 43–48. [Popov VV, Priyma NF, Shahnova EA. The defect of muscular part interventricular sept (The Tolochinov-Rauget disease) in ultrasound interpretation. Pediatr. 2010;1(1):43-48 (In Russ.)]
- Прийма Н.Ф., Попов В.В., Комолкин И.А., Афанасьев А.П. Аневризма аорты у пациента с синдромом Марфа¬на // Педиатр. – 2013. – Т. 4. – № 1. – С. 100–108. [Priy¬ma NF, Popov VV, Komolkin IA, Afanas’ev AP. Aortic aneurysm in a Marfan’s syndrome Patient. Pediatr. 2013;4(1):100-108 (In Russ.)]
- Рыбакова М.К., Митьков В.В. Эхокардиография в таблицах и схемах. Настольный справочник. – М.: Издательский дом «Видар», 2010. – С. 263–264. [Rybakova MK, Mit’kov VV. Echocardiography in tables and diagrams. Moscow: Izdatel’skiy dom Vidar; 2010. P. 263-264. (In Russ.)]
- Элисдэйр Райдинг. Эхокардиография. Практическое руководство: пер. с англ. – М.: Медпресс-информ, 2010. – С. 157–162. [Elisdeyr Rayding. Echocardiography. Moscow: Medpress-inform; 2010. P. 157-162. (In Russ.)]
- Christie A. Normal closing time of the foramen ovale and the ductus arteriosus. Am J Dis Child. 1930;40:323. doi: 10.1001/archpedi.1930.01940020099008.
- Clyman RI, Mauray F, Heymann MA, Roman C. Influence of increased pulmonary vascular pressures on the closure of the ductus arteriosus in newborn lambs. Pediatr Res. 1989;25:136-142. doi: 10.1203/00006450-198902000-00006.
- Clyman RI. Ibuprofen and patent ductus arteriosus. N Engl J Med. 2000;343:728–730. doi: 10.1056/NEJM200009073431009.
- Gittenberger-de Groot AC, Moulaert AJ, Harinck E, Becker AE. Histopathology of the ductus arteriosus after prostaglandin E1 administration in ductus dependent cardiac anomalies. Br Heart J. 1978;40:215-220. doi: 10.1136/hrt.40.3.215.
- Mitchell SC, Korones SB, Berendes HW. Congenital heart disease in 56,109 births. Incidence and natural history. Circulation. 1971;43:323-332. doi: 10.1161/01.CIR.43.3.323.
Supplementary files

