Colobomatous cysts of optic nerve
- Authors: Sadovnikova N.N1, Shereshevsky V.A1, Prisich N.V1, Brzesky V.V1, Li D.Y.1
-
Affiliations:
- St Petersburg State Pediatric Medical University, Ministry of Healthcare of the Russian Federation
- Issue: Vol 7, No 4 (2016)
- Pages: 153-158
- Section: Articles
- URL: https://journal-vniispk.ru/pediatr/article/view/5982
- DOI: https://doi.org/10.17816/PED74153-158
- ID: 5982
Cite item
Full Text
Abstract
Objectives of publication:presentation of a rare clinical observation from our own practice.
Key points:colobomatous orbital cyst with microphthalmos — rare anomaly of an embryonal development of an eyeball, it is formed owing to “filling” of an optic nerve with the intraocular liquid coming to him from a vitreous chamber through сoloboma of disk because of violation of hydrodynamics in a forward segment of an eye. Usually this anomaly is combined with microphthalmic eye, though cases of a colobomatous cyst with a normal size of an eyeball, and also with other anomalies of development of an eye (inferior uveoretinal coloboma, prepupillary membrane, corneal opacity) are described.
Сlinical observation:during 2015 in our department there were two children to whom after the carried-out inspection the diagnosis of a colobomatous cysts of optic nerve has been exposed. Concerning the first child waiting tactics has been recognized expedient, at repeated surveys in 1 and 4 months of any dynamics in the ophthalmologic status it hasn’t been revealed. To the second child because of the expressed exophthalmos with lagophthalmia, with perforation threat, surgical intervention – a puncture and drainage of a cyst of an optic nerve is performed. After operation the correct situation and mobility of an eyeball were restored, xerotic changes of a cornea and conjunctiva have decreased.
Conclusions:from the pathogenetic mechanism of cystous formation of an orbit, it is more logical to specify the clinical diagnosis a mention in him an optic nerve – “сolobomatous cysts of optic nerve”. Surgical treatment depends on the sizes of cyst, degree of exophthalmos and existence of complications.
Full Text
Актуальность
Колобоматозная киста орбиты с микрофтальмом — редкая аномалия эмбрионального развития глазного яблока. Как и все пороки, сопровождающиеся изменением размеров или отсутствием глазного яблока, колобоматозные кисты формируются на 2–6-й неделе внутриутробного развития из-за нарушения погружения глазного пузыря в глазной бокал или из-за дефектов строения глазного пузыря [1, 5, 8, 14]
Образование кисты, вероятно, происходит из-за разрастания нейроэктодермальной ткани по краю постоянно открытой зародышевой щели. Это вызывает так называемую «эктазию склеры» в орбиту. Сосудистая оболочка в этой зоне отсутствует (колобома). Формируется патологическая связь между стекловидной камерой и эндоневральными пространствами зрительного нерва через его колобому. Таким образом, киста представляет собой своеобразный «придаток» глаза, располагающийся в орбите в области бывшей зародышевой щели глазного бокала [2, 3, 8, 14].
Подобная аномалия обычно сочетается с микрофтальмом, хотя описаны случаи колобоматозной кисты с нормальным размером глазного яблока, а также с другими аномалиями развития глаза (колобома сосудистого тракта, сохраненная зрачковая мембрана, помутнение роговицы), которые приводят к нарушению глазной гидродинамики [12, 14].
Размеры кисты могут варьировать от микроскопических, не обнаруживаемых клинически, до огромных, занимающих всю полость орбиты [12].
Большинство описанных в литературе случаев были спорадическими, реже выявлялись хромосомные аномалии.
Заболевание встречается с одинаковой частотой как у мальчиков, так и у девочек. Как правило, оно монолатеральное, хотя описаны случаи и двусторонней его локализации [6, 9, 10, 12].
При этом двусторонняя колобоматозная киста может сочетаться с пороками развития центральной нервной системы, почек, сердечно-сосудистой системы, в то время как односторонний процесс обычно связан с незначительными аномалиями развития [9, 10].
Оценить частоту встречаемости данного порока развития крайне проблематично. В литературе описаны лишь единичные случаи.
В работе J.A. Shields et al. в 2004 году была предложена следующая классификация врожденных орбитальных кист, разработанная на основании проведенных 645 биопсий в течение последних 20 лет [12, 16, 17].
- Дермоидные кисты — это наиболее часто встречающиеся кисты у детей.
- Нейральные кисты — менингоцеле, цефалоцеле, колобоматозные кисты.
- Вторичные кисты — мукоцеле у детей с фиброзированием кисты.
- Воспалительные кисты — возникающие вследствие паразитарной инвазии, характерны для тропических климатических зон.
- Некистозные новообразования с элементами кисты — аденокарциномы, рабдомиосаркомы, лимфангиомы и т. д.
При этом авторами выявлено, что частота рассматриваемых нами колобоматозных кист составляет менее 2 % от всех врожденных орбитальных кист.
Диагностика колобоматозной кисты, как правило, не составляет трудностей. Используя метод магнитной резонансной томографии, можно выявить связь между кистой и глазным яблоком, провести дифференциальную диагностику колобоматозной кисты с кистой зрительного нерва, с цефалоцеле, менингоцеле, солидными опухолями орбиты [13, 19]. Методика лечения таких пациентов зависит от возраста больного, размеров кисты, степени микрофтальма, а также от прогноза для зрительных функций. В литературе предлагаются различные способы хирургического вмешательства — от простой аспирации содержимого кисты либо иссечения кисты с сохранением глазного яблока до одномоментной энуклеации микрофтальмического глаза вместе с кистой [6, 7, 15].
При патогистологическом исследовании выявляется, что наружная стенка колобоматозной кисты состоит из плотной волокнистой соединительной ткани и является продолжением склеры, а внутренняя ее стенка представлена недифференцированной сетчаткой [11, 14, 18].
В случае, описанном корейскими учеными [7], при патогистологическом исследовании энуклеированного микрофтальмичного глаза выявлено, что глаз заполнен опухолеподобными массами, которые представляют собой дезорганизованные внутриглазные ткани. Стенка кисты представлена в этом случае соединительной тканью, напоминающей склеру, в которой есть нейроэктодермальные элементы с ретинальными фоторецепторами.
Цель исследования
В течение 2015 года в нашем отделении также находились двое детей, которым после обследования был выставлен диагноз «колобоматозная киста зрительного нерва». С учетом относительной редкости рассматриваемого заболевания мы сочли целесообразным представить результаты нашего обследования и лечения таких пациентов.
Материал
В мае 2015 года в офтальмологическое отделение клиники СПбГПМУ была направлена 4-месячная девочка с первичным диагнозом глиомы зрительного нерва левого глаза (рис. 1).

Рис. 1. Ребенок А., 4 мес., поступивший с диагнозом глиома зрительного нерва
Обратили на себя внимание нехарактерные для глиомы зрительного нерва изменения самого глазного яблока: измельченная передняя камера, выраженная зрачковая мембрана, значительно затрудняющая офтальмоскопию; односторонний микрофтальм (длина переднезаднего размера правого глаза — 18,83 мм, левого глаза — 17,89 мм).
Кроме того, в ходе эхобиометрии глазного яблока выявлены деструкция стекловидного тела и колобома зрительного нерва (рис. 2).

Рис. 2. Деструкция стекловидного тела и колобома зрительного нерва левого глаза ребенка А. (сонограмма)
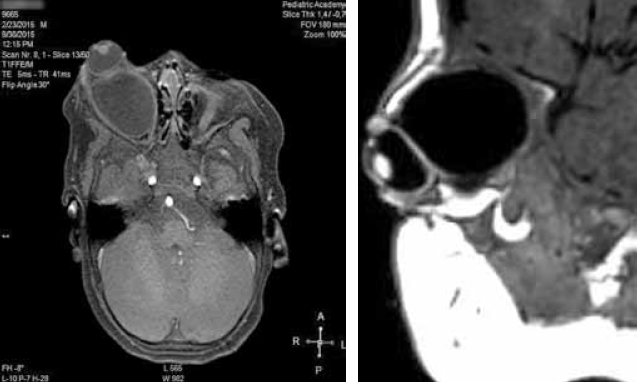
Была заподозрена киста зрительного нерва, которая и была выявлена при магнитно-резонансной томографии глазниц и черепа (рис. 3). По-видимому, она и явилась причиной дислокации глазного яблока и некоторого ограничения его подвижности.

Рис. 3. Результат МРТ глазниц ребенка А. Определяется киста в мышечной воронке левой глазницы с жидким содержимым
В отношении данного ребенка была признана целесообразной выжидательная тактика: при повторных осмотрах через 1 и 4 месяца какой-либо динамики в офтальмологическом статусе не выявлено, в связи с чем лечебные мероприятия запланированы не были.
Следующее наблюдение: мальчик М., 7 месяцев, направлен в отделение с диагнозом врожденной глаукомы правого глаза. С месячного возраста замечено прогрессирующее увеличение глазного яблока; позднее обращение за офтальмологической помощью объяснялось множественными сопутствующими заболеваниями ребенка, потребовавшими и хирургического лечения: пороки развития мочеполовой системы (экстрофия мочевого пузыря, двусторонний крипторхизм, тотальная эписпадия). Наблюдается неврологом в связи с постгипоксическим поражением центральной нервной системы, синдромом двигательных нарушений, задержкой психомоторного развития.
При обследовании в клинике выявлен выраженный правосторонний экзофтальм со смещением глаза книзу кнаружи, не дающий векам сомкнуться. Роговица уменьшена в размерах до 8 мм, мутная в оптической зоне. В пределах открытой глазной щели истончение роговицы ксеротического генеза. Колобома радужки на 6 часах (рис. 4, 5). Рефлекс с глазного дна резко ослаблен из-за состояния роговицы, неравномерно розовый с желтыми участками. Внутриглазное давление (пальпаторно) нормальное.

Рис. 4. Внешний вид ребенка М. при поступлении в офтальмологическое отделение

Рис. 5. Ксеротическая язва роговицы правого глаза ребенка М.
На левом глазу пациента выявлены колобома сосудистой оболочки и зрительного нерва.
При ультразвуковом сканировании подтверждено смещение правого глазного яблока кпереди, выявлена его деформация в заднем полюсе. Ретробульбарно лоцировалось полостное образование, заполненное гомогенной жидкостью, оболочки которого по толщине соответствуют толщине склеры.
Магнитно-резонансная томография (рис. 6) подтвердила наличие патологического объемного образования правой глазницы. Изменений головного мозга не выявлено.

Рис. 6. Результат МРТ глазниц ребенка М. Определяется объемная киста с гомогенным жидким содержимым, заполняющая правую глазницу, смещающая и деформирующая правое глазное яблоко
По результатам обследования выставлен диагноз «киста зрительного нерва», вероятнее всего, также колобоматозной природы. Учитывая наличие лагофтальма, приведшего к развитию ксероза роговицы с угрозой ее перфорации, было принято решение об оперативном лечении. В целях получения быстрого результата, с одной стороны, при минимальной инвазивности вмешательства — с другой, запланирована пункция и дренирование кисты зрительного нерва.
Произведена трансконъюнктивальная орбитотомия через верхний конъюнктивальный свод, мобилизован участок стенки кисты (рис. 7), после пункции получено 7 мл жидкости светло-желтого цвета. Выполнено цитологическое исследование полученного содержимого кисты — соломенно-желтая, прозрачная, белок 2,74 г/л, глюкоза 1,6 ммоль/л, цитоз 34/3. Цитоз представлен нейтрофилами, лимфоцитами, единичными макрофагами и неизмененными эритроцитами. От спинномозговой жидкости содержимое кисты отличалось значительно более высоким содержанием белка (в норме в ликворе до 0,33 г/л), низким уровнем глюкозы (в ликворе 2,8–3,9 ммоль/л) и высоким содержанием клеток (цитоз ликвора в норме 6–9/3).

Рис. 7. Ревизована колобоматозная киста правой глазницы, которая затем была пунктирована
После операции правильное положение и подвижность глазного яблока восстановились, улучшилось состояние роговицы и конъюнктивы. Ребенок стал более эмоциональным, улучшился сон, аппетит (рис. 8). На 5-е сутки после операции выполнено электрофизиологическое исследование, выявлены сглаженность кривой ЗВКП (зрительные вызванные корковые потенциалы), отмечалось резкое удлинение латентности и угнетение активности по сравнению с возрастной нормой [4].

Рис. 8. Внешний вид ребенка М. на седьмые сутки после операции
Заключение
Исходя из патогенетического механизма кистозного образования орбиты, представляется логичным уточнять клинический диагноз упоминанием в нем зрительного нерва: «колобоматозная киста зрительного нерва».
Применяемая тактика хирургического лечения является либо паллиативной, как в нашем случае, либо излишне радикальной, поскольку ни одна не имеет патогенетической направленности. Механизм формирования кисты, приводящей к экзофтальму, как мы уже упоминали, объясняется «заполнением» зрительного нерва внутриглазной жидкостью, поступающей в него из стекловидной камеры через колобому диска, учитывая нарушение гидродинамики в переднем сегменте глаза. Таким образом, вполне оправданным могло бы быть хирургическое вмешательство, направленное на устранение этих механизмов. С одной стороны, гипотензивное вмешательство (реконструкция переднего сегмента глаза с восстановлением естественных путей оттока внутриглазной жидкости либо с формированием новых, а также операции по уменьшению ее продукции); с другой — создание препятствия для попадания внутриглазной жидкости в эндоневральное пространство зрительного нерва. Наиболее рациональной видится эндоскопическая тампонада колобомы диска зрительного нерва, исходом которой должна быть самопроизвольная резорбция жидкости из кисты с последующим восстановлением нормального положения глазного яблока.
About the authors
Nataliia N Sadovnikova
St Petersburg State Pediatric Medical University, Ministry of Healthcare of the Russian Federation
Author for correspondence.
Email: natasha.sadov@mail.ru
MD, PhD, Department of Ophthalmology Russian Federation
Vlidimir A Shereshevsky
St Petersburg State Pediatric Medical University, Ministry of Healthcare of the Russian Federation
Email: sher370@mail.ru
Department of Ophthalmology Russian Federation
Natalia V Prisich
St Petersburg State Pediatric Medical University, Ministry of Healthcare of the Russian Federation
Email: prisichnv@rambler.ru
Resident doctor, Department of Ophthalmology with a Course of Clinical Pharmacology Russian Federation
Vladimir V Brzesky
St Petersburg State Pediatric Medical University, Ministry of Healthcare of the Russian Federation
Email: vvbrzh@yandex.ru
MD, PhD, Dr Med Sci, Professor, Head, Department of Ophthalmology with a Course of Clinical Pharmacology Russian Federation
Dmitriy Yu Li
St Petersburg State Pediatric Medical University, Ministry of Healthcare of the Russian Federation
Email: askaron@mail.ru
Intern, Department of Ophthalmology with a Course of Clinical Pharmacology Russian Federation
References
- Аветисов С.Э., Егоров Е.А., Мошетова Л.К., и др. Офтальмология. Национальное руководство. – М.: ГЭОТАР-Ме¬диа, 2008. [Avetisov SE, Egorov EA, Moshetova LK, et al. Oftalmologiya. Natsionalnoe rukovodstvo. Moscow: GEOTAR-Media; 2008. (In Russ.)]
- Афанасьев Ю.И., Юрина Н.А., Котовский Е.Ф., и др. Гистология, эмбриология, цитология: Учебник. – 6-е изд., перераб. и доп. – М.: ГЭОТАР-Медиа, 2012. [Afanas’ev YuI, Yurina NA, Kotovskiy EF, et al. Histology, embryology, cytology. Moscow: GEOTAR-Media; 2012. (In Russ.)]
- Горбачев Д.С., Коровенков Р.И. Клинический случай врожденного микрофтальма с кистой // Офтальмологические ведомости. – 2015. – Т. 8. – № 2. – С. 84–89. [Gorbachev DS, Korovenkov RI. Clinical case of congenital microphtalmos with cyst. Oftal’mologicheskie vedomosti. 2015;8(2):84-89. (In Russ.)]
- Коникова О.А., Бржеский В.В. Возможности электроретинографии в исследовании этапов физиологического созревания сетчатки глаза человека в различном возрасте // Педиатр. – 2014. – Т. 5. – № 1. – С. 59–61. [Konikova OA, Brzheskiy VV. Op¬por¬tunities electroretinography in stadying of physiological stages of maturation human retina at different ages. Pediatr. 2014;5(1):59-61. (In Russ.)]
- Кульбаев Н.Д., Соловьева Е.П., Кантюкова Г.А. Колобоматозная киста орбиты с микрофтальмом // Офтальмологические ведомости. – 2011. – Т. 4. – № 2. – С. 98–100. [Kul’baev ND, Solov’eva EP, Kantyukova GA. Coloboma¬tous orbital cyst with microphthalmos. Of¬tal’mo¬logicheskie vedomosti. 2011;4(2):98-100. (In Russ.)]
- Chaudhry IA, Arat YO, Shamsi FA, Boniuk M. Congenital microphthalmos with orbital cysts: distinct diagnostic features and management. Ophthalmol Plast Reconstr Surg. 2004;20(6):452-457. doi: 10.1097/01.IOP.0000143716.12643.98.
- Cho HK. Microphthalmos with cyst. J Korean Med Science. 1992;7(3):280-283. doi: 10.3346/jkms.1992.7.3.280.
- Duke-Elder S. Normal and abnormal development. Congenital deformities. System of Ophthalmology. 1963;3(2):565-573.
- Foxman S, Cameron JD. The clinical implications of bilateral microphthalmos with cyst. Amer J Ophthalmol. 1984;97:632-638. doi: 10.1016/0002-9394(84)90384-2.
- Goldberg SH, Farber MG, Bullock JD, et al. Bilateral conge¬nital ocular cysts. Ophthalmic Paed Genet. 1991;12(1):31-38. doi: 10.3109/13816819109023082.
- 11.Hayashi N, Repka MX, Ueno H, et al. Congenital cystic eye. Surv Ophthalmol. 1999;44(2):173-179. doi: 10.1016/S0039-6257(99)00084-3.
- Kim UR, Srinivasan KG. Ocular malformation with a «double globe» appearance. Indian J Radiol Ima¬ging. 2009;19(4):298-300. doi: 10.4103/0971-3026.57213.
- Malik R, Pandya VK, Pawasthi. Congenital orbital cyst with microphthalmos. Indian J Radiol Imaging. 2006;18:653-654. doi: 10.4103/0971-3026.32292.
- Pecorella I, Novacco V, Dadalt S, et al. Bilateral ocular malformations in a newborn with normal karyotype: histologic findings. Ann Diagn Pathol. 2002;5(5):319-325. doi: 10.1053/adpa.2002.35747.
- Polito E, Leccisotti A. Colobomatous ocular cyst excision with globe preservation. Ophthalmol Plast Reconstr Surg. 1995;11:288-292. doi: 10.1097/00002341-199512000-00013.
- Shields JA, Bakewell B, Augsburger J, Flanagan JC. Classification and incidence of space occupying lesions of the orbit. Arch Ophthalmol. 1984;102(11):1606-1611. doi: 10.1001/archopht.1984.01040031296011.
- Shields JA, Shields CL. Orbital cysts of childhood — сlassification, clinical features and management. Surv Ophthalmol. 2004;49:281-299. doi: 10.1016/j.survophthal.2004.02.001.
- Waring GO, Roth AM, Rodrigues MM. Clinicopathological corellation of microphthalmos with cyst. Amer J Ophthalmol. 1976;82(5):714-21. doi: 10.1016/0002-9394(76)90008-8.
- Weiss A, Martinez C, Greenwald M. Microophthalmos with cyst: Clinical presentations and computed tomographic findings. J Pediatr Ophthalmol Strab. 1985;22(1):6-12.
Supplementary files

