Clinical observation of severe laryngomalacia an infant
- Authors: Zakharova M.L.1, Pavlov P.V.1, Kuznecova A.A.1, Rachkova K.K.1
-
Affiliations:
- St. Petersburg State Pediatric Medical University
- Issue: Vol 9, No 2 (2018)
- Pages: 91-95
- Section: Articles
- URL: https://journal-vniispk.ru/pediatr/article/view/8858
- DOI: https://doi.org/10.17816/PED9291-95
- ID: 8858
Cite item
Full Text
Abstract
Relevance. Disorders of the larynx are a poorly studied section of pediatric otorhinolaryngology. In recent years, the incidence of congenital malformations of the larynx increases, and laryngomalacia is the most common. Diagnosis of this disease is difficult in the conditions of outpatient department without necessary equipment. However, each doctor should understand the importance of diagnosis of laryngomalacia, because this disease can get a severe form with a potential injury to the life and health of the child, especially during the catarrhal disease.
Objectives: development of diagnostic algorithm and the choice of optimal treatment strategy, intended to restoring of laryngeal functions.
Materials and methods. Your attention is the case of severe clinical course laringomalacia an infant and its surgical correction in the clinic of Otorhinolaryngology, St. Petersburg State Pediatric Medical University. The child was observed by the standard method: flexible laryngoscopy, x-ray examination of the neck in the lateral view, x-ray examination of the chest, laboratory blood tests.
Results. This article demonstrates the diagnostic algorithm and the choice of optimal treatment strategy, which avoids the imposition of tracheostomy and rehabilitation the child in infancy. A multidisciplinary approach to the treatment of children with laringomalacia is validated.
Conclusions. This clinical case is a striking example of the need for early diagnosis of the type of congenital malformation of the larynx in newborns with congenital stridor and other signs of dysfunction of the larynx.
Full Text
Ларингомаляция является самой распространенной врожденной патологией гортани и наиболее частой причиной врожденного стридора у новорожденных и грудных детей [2, 4, 6]. Ларингомаляция относится к тканевым порокам развития, а именно к дисхрониям, и в подавляющем большинстве случаев не требует оперативной коррекции [2, 4, 6]. Однако встречаются случаи с тяжелым клиническим течением, наличием признаков стеноза гортани, развитием декомпенсации со стороны дыхательной системы. Данная симптоматика может быть обусловлена как выраженностью самого порока, так и присоединением другой патологии со стороны гортани или общей соматической патологией. Все это делает необходимым раннее обследование ребенка с подозрением на ларингомаляцию и совместное обследование врачами-педиатрами, пульмонологами, неврологами, отоларингологами для выработки лечебной тактики.
В этой статье мы предлагаем клиническое наблюдение успешного хирургического лечения врожденной ларингомаляции с тяжелым клиническим течением у грудного ребенка.
Девочка А. в возрасте 1 месяца консультирована оториноларингологом в многопрофильном центре Санкт-Петербургского государственного педиатрического медицинского университета. Мама предъявляла жалобы на шумное, стридорозное дыхание, втяжение уступчивых мест грудной клетки при нагрузке. Из анамнеза известно, что девочка рождена от второй беременности (первая беременность закончилась родами — здоровый новорожденный), вес при рождении — 3000 г, рост — 49 см. Беременность протекала без особенностей, роды в срок, оценка по шкале Апгар 7/8, шумное дыхание отмечалось с рождения. Выписана из роддома на 5-е сутки. Учитывая нарастание стридора, мама самостоятельно обратилась в многопрофильный центр СПбГПМУ. При осмотре: инспираторный стридор, голос звучный, втяжение уступчивых мест грудной клетки при нагрузке. При эндоскопии полости носа, глотки, отоскопии данных за острую воспалительную патологию не выявлено.
Для определения патологии гортани выполнена гибкая назофаринголарингоскопия (рис. 1).
Рис. 1. Эндофотография гортани. Врожденный порок развития гортани. Ларингомаляция 2-го типа
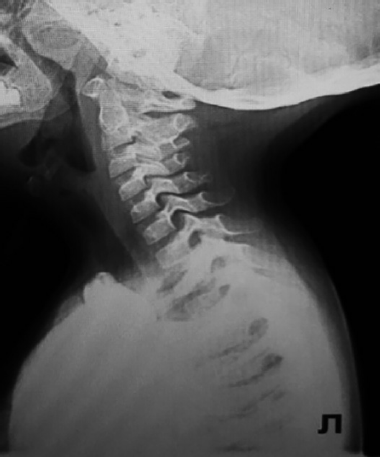
При назофаринголарингоскопии выявлены признаки ларингомаляции 2-го типа: надгортанник свернут в виде желоба, черпалонадгортанные складки укорочены, увеличенные черпаловидные и клиновидные хрящи выдвинуты вперед и прикрывают голосовой отдел гортани, подголосовой отдел не обозрим. Однако просвет гортани для дыхания в динамике сохранен, частичный коллапс преддверия гортани на вдохе за счет сближения краев надгортанника и пролабирования клиновидных хрящей. На рентгенограмме шеи в боковой проекции просвет подголосового отдела гортани и трахеи прослеживается на всем протяжении, не изменен (рис. 2). Кислотно-основное состояние крови — насыщение капиллярной крови кислородом 95,6 %
Рис. 2. Рентгенограмма органов шеи в боковой проекции
Учитывая наличие у ребенка врожденного порока развития (ВПР) гортани — ларингомаляции, рекомендована плановая госпитализация в оториноларингологическое отделение СПбГПМУ через 1 месяц для осмотра в динамике и решения вопроса о необходимости оперативного лечения.
В возрасте трех месяцев ребенок госпитализирован в оториноларингологическое отделение СПбГПМУ (ИБ № 31 537). При поступлении мама предъявляла жалобы на ухудшение состояния ребенка, усиление стридора, кашель, малую прибавку массы тела. В анамнезе: 3 недели назад ребенок перенес ОРВИ, острый ринофарингит. При осмотре: выраженный инспираторный стридор, одышка, голос звучный. Втяжение уступчивых мест грудной клетки в покое, участие вспомогательной мускулатуры в акте дыхания. Обращали на себя внимание бледность кожных покровов, цианоз носогубного треугольника.
При эндоскопии полости носа, глотки слизистые розовые, скудное слизистое отделяемое в задних отделах полости носа. При отоскопии данных за острую воспалительную патологию не выявлено. Выполнена гибкая назофаринголарингоскопия: слизистая гортаноглотки умеренно гиперемирована, надгортанник свернут в виде желоба, черпалонадгортанные складки укорочены, увеличенные черпаловидные и клиновидные хрящи выдвинуты вперед и прикрывают голосовой отдел гортани, слизистая оболочка несколько гиперемирована, из просвета гортани откашливается большое количество слизисто-гнойной мокроты, голосовой и подголосовой отделы не обозримы, частичный коллапс преддверия гортани на вдохе.
Клинический анализ крови при поступлении: эритроциты — 4,99; гемоглобин — 145 г/л; тромбоциты — 320; лейкоциты — 22; лейкоцитарная формула: сегм. нейтрофилы — 55 %, лимфоциты — 40 %, моноциты — 5 %; СОЭ — 17 мм/ч.
Кислотно-основное состояние крови: насыщение капиллярной крови кислородом — 86,7 %.
На рентгенограмме грудной клетки без очагово-инфильтративных изменений.
Был назначен консилиум в составе врачей-оториноларингологов и пульмонологов. Заключение: у ребенка с врожденным пороком развития гортани — ларингомаляцией произошла декомпенсация дыхания на фоне развития острого бактериального ларинготрахеобронхита после перенесенной острой вирусной инфекции. Диагноз: «Острый бактериальный ларинготрахеобронхит». Сопутствующий диагноз: «ВПР гортани. Ларингомаляция. Признаки стеноза гортани 2-й степени. ДН 2-й степени». Поставлен вопрос о наложении трахеостомы. Однако учитывая тот факт, что ВПР гортани — ларингомаляция — носила компенсированный характер у данного ребенка на фоне соматического здоровья, было принято решение о проведении первым этапом консервативной терапии, направленной на купирование воспалительного процесса. Ребенку были назначены антибактериальная (медаксон 50 мг/кг/сут) противовоспалительная терапия, ингаляционная терапия. Ребенок был консультирован диетологом для коррекции питания и режима кормления.
Выраженная положительная динамика была получена уже на 2-е сутки от начала терапии. Клинически: купирован кашель, снижение интенсивности стридора, уменьшение втяжения уступчивых мест грудной клетки.
Нормализация показателей клинического анализа крови. КОС крови: насыщение капиллярной крови кислородом — 96 %.
Ребенок выписан домой в удовлетворительном состоянии на 10-е сутки с рекомендацией планового оперативного лечения в объеме супраглоттопластики.
В возрасте 5 месяцев ребенок госпитализирован в оториноларингологическое отделение СПбГПМУ (ИБ № 7530). Поступление на плановое оперативное лечение в объеме супраглоттопластики. Обследована по месту жительства. Клинические анализы в пределах возрастной нормы. Диагноз: «Врожденный порок развития гортани. Ларингомаляция 2-го типа».
Ребенку была выполнена супраглоттопластика в объеме диссекции черпалонадгортанных складок и иссечения клиновидных хрящей (учитывая наличие клинико-эндоскопических признаков ларингомаляции 2-го типа) (рис. 3, а–с).
Рис. 3. Этапы супраглоттопластики (а–с). Клинок ларингоскопа установлен под корень языка
Сразу после операции отмечались купирование стридора, втяжения уступчивых мест грудной клетки. Девочка была выписана на 11-е сутки после оперативного лечения (рис. 4).
Рис. 4. Эндофотография гортани на 10-е сутки после супраглоттопластики. Сохраняется налет фибрина в области правой черпалонадгортанной складки
При контрольном осмотре через 1 месяц отмечались улучшение самочувствия, нормализация прибавки массы тела, эпизоды стридора сохранялись только на фоне эмоциональной нагрузки. Период наблюдения составил 1 год 6 месяцев.
Обсуждение и выводы
Ларингомаляция является самой частой врожденной патологией гортани и самой частой причиной врожденного стридора у детей. В большинстве случаев ларингомаляция компенсируется с возрастом и не требует оперативного лечения. Этот факт иногда вызывает несерьезное отношение к данному состоянию, в результате врачи не стремятся обследовать таких пациентов, проводить гибкую назофаринголарингоскопию и диагностику порока гортани у младенцев с врожденным стридором [4, 5, 8, 9]. В то же время в ряде случаев ларингомаляция может вызвать выраженную декомпенсацию дыхания при присоединении другой, на первый взгляд безобидной патологии. Так, развитие левостороннего пареза гортани после клипирования открытого артериального протока у детей на фоне ларингомаляции может приводить к выраженному нарушению дыхания, вплоть до необходимости наложения трахеостомы [1, 3]. Причем именно благодаря ранней диагностики типа и формы ларингомаляции удается выработать правильную лечебную тактику в пользу восстановительной или паллиативной хирургии в такой ситуации.
Данный клинический случай служит ярким примером необходимости ранней диагностики врожденного порока развития гортани у новорожденных с врожденным стридором и другими признаками нарушения функций гортани.
Именно ранняя диагностика дала возможность избежать наложения трахеостомы у девочки, проанализировать долю врожденной ларингомаляции и присоединившейся инфекции дыхательных путей в патогенезе дыхательной недостаточности и принять правильное решение в пользу консервативной терапии развившихся осложнений и лишь затем плановой хирургической коррекции порока, отклонив паллиативную хирургию.
Выбор объема супраглоттопластики полностью соответствовал клинико-эндоскопическому типу ларингомаляции и позволил купировать клинические симптомы и реабилитировать ребенка в возрасте 7 месяцев [7].
About the authors
Maria L. Zakharova
St. Petersburg State Pediatric Medical University
Author for correspondence.
Email: dr.essina@mail.ru
MD, PhD, Assistant Professor, Department of Otorhinolaryngology
Russian Federation, Saint PetersburgPavel V. Pavlov
St. Petersburg State Pediatric Medical University
Email: pvpavlov@mail.ru
MD PhD, Dr. Med. Sci., Professor, Department of Otorhinolaryngology
Russian Federation, Saint PetersburgAlla A. Kuznecova
St. Petersburg State Pediatric Medical University
Email: pediatr-kuznetsova@yandex.ru
MD PhD, Dr. Med. Sci., Professor, Department of Pediatrics
Russian Federation, Saint PetersburgKsenia K. Rachkova
St. Petersburg State Pediatric Medical University
Email: kseniarachkova@yandex.ru
MD, Student of the Department of Otorhinolaryngology
Russian Federation, Saint PetersburgReferences
- Захарова М.Л., Марасина А.В., Павлов П.В., и др. Парез левой голосовой складки после хирургического лечения открытого артериального протока у недоношенных детей // Рос. оториноларингология. - 2014. - № 3. - С. 44-50. [Zakharova ML, Marasina AV, Pavlov PV, et al. Paresis of the left vocal cord after surgical treatment of patent ductus arteriosus in premature infants. Ros. otorinolaringologiya. 2014;(3): 44-50. (In Russ.)]
- Захарова М.Л., Павлов П.В. Врожденные пороки развития гортани у детей // Рос. оториноларингология. - 2017. - Т. 86. - № 1. - С. 31-35. [Zakharova ML, Pavlov PV. Congenital larynx diseases in children. Ros. otorinolaringologiya. 2017;86(1):31-35. (In Russ.)]
- Захарова М.Л., Павлов П.В. Параличи гортани у детей // Педиатр. - 2017. - Т. 8. - Спецвыпуск. - С. М122. [Zakharova ML, Pavlov PV. Paralichi gortani u detei. Pediatrician (St. Petersburg). 2017;8(Suppl): M122. (In Russ.)]
- Солдатский Ю. Л. Заболевания гортани // Педиатрическая фармакология. - 2007. - Т. 4. - № 6. - С. 6-15. [Soldatskii YuL. Zabolevaniya gortani. Pediatricheskaya farmakologiya. 2007;4(6):6-15. (In Russ.)]
- Lima TM. Flexible nasolaryngoscopy accuracy in laryngomalacia diagnosis. Braz J Otorhinolaryngol. 2008;74(1):29-32.
- Monnier P. Pediatric airway surgery: management of laryngotracheal stenosis in infants and children. Springer Science & Business Media; 2010. 371 p.
- Richter GT. The surgical management of laryngomalacia. Otolar Clin North Am. 2008;43(4):837-864.
- Sivan Y, et al. Diagnosis of laryngomalacia by fiberoptic endoscopy: awake compared with anesthesia-aided technique. Chest. 2006;130(5):1412-1418. doi: 10.1378/chest.130.5.1412.
- Zoumalan R, et al. Etiology of stridor in infants. Ann. Otol. Rhinol. Laryngol. 2007;115(5):329-334.
Supplementary files





