Surgical treatment of advanced congenital kyphoscoliosis: A case report
- Authors: Kosulin A.V.1, Elyakin D.V.1, Dmitrieva N.N.1, Abzalieva A.D.1, Blazhenko A.A.1, Volchenko L.V.1
-
Affiliations:
- St. Petersburg State Pediatric Medical University
- Issue: Vol 9, No 3 (2018)
- Pages: 118-123
- Section: Articles
- URL: https://journal-vniispk.ru/pediatr/article/view/9141
- DOI: https://doi.org/10.17816/PED93118-123
- ID: 9141
Cite item
Full Text
Abstract
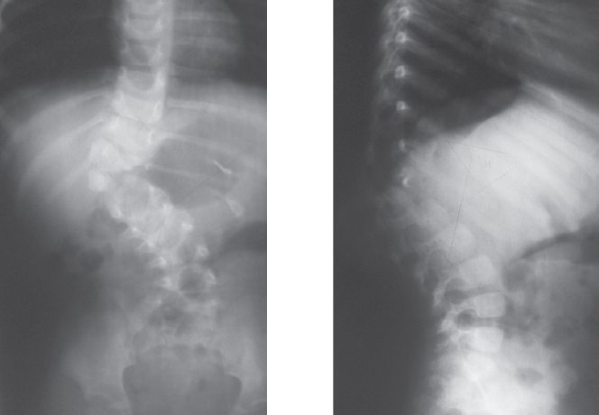
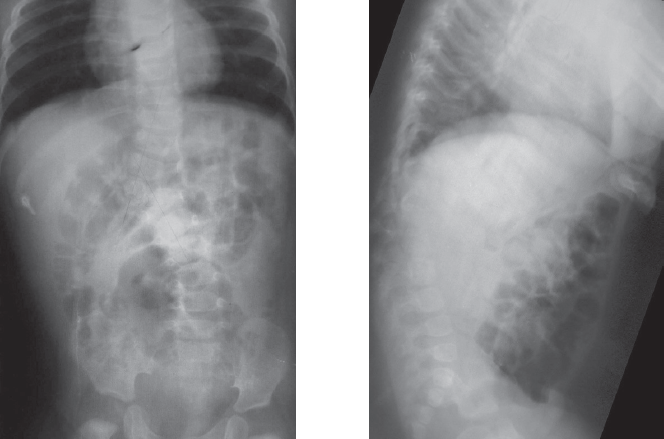
Clinical case of surgical treatment of advanced congenital kyphoscoliosis in 12 years old child is reported. Radiographs and CT at presentation failed to reveal the entire anomaly. By analysis of priorly made radiographs hemivertebra L1 was recognized. At genitourinary assessment L-shaped kidney was detected. A full-size 3D-printed model was used for surgical planning. Vertebral column resection as treatment option was discussed, but due to high neurologic complication rate this approach was refused. After preoperative 35 days halo-femoral traction anterior instrumented fusion was performed. Right ureter was stented for intraoperative urologic injury prevention. Scoliosis correction of 32% and kyphosis of 14% was achieved. 5 months later definitive posterior uninstrumented fusion was performed. Spinal deformities caused by vertebral malformations progress dramatically unless they are treated early. An advanced case is a clinical challenge because of technical difficulties and poor result. Vertebral column resection is a treatment option for severe kyphoscoliosis, but it’s indications should be strictly individualized. Preoperative halo-femoral traction is the most safe correction method in spinal deformity due to prolonged and gradual action. 3d-printed models are practical for surgical planning. The model may be used intraoperatively as a 3D-reference. In congenital scoliosis genitourinary system should be assessed meticulously, and urologist advice in relevant case is necessary.
Full Text
##article.viewOnOriginalSite##About the authors
Artem V. Kosulin
St. Petersburg State Pediatric Medical University
Author for correspondence.
Email: hackenlad@mail.ru
Assistant Professor, Department of Operative Surgery and Topographic Anatomy
Russian Federation, Saint PetersburgDmitriy V. Elyakin
St. Petersburg State Pediatric Medical University
Email: dimaelkins@mail.ru
Pediatric Surgeon, Surgical Department No 2
Russian Federation, Saint PetersburgNadezhda N. Dmitrieva
St. Petersburg State Pediatric Medical University
Email: nadegdanik86@gmail.com
Resident Doctor, Department of Surgical Diseases of Childhood
Russian Federation, Saint PetersburgAlina D. Abzalieva
St. Petersburg State Pediatric Medical University
Email: a.abzalieva@gmail.com
Student, Department of Operative Surgery and Topographic Anatomy
Russian Federation, Saint PetersburgAleksandra A. Blazhenko
St. Petersburg State Pediatric Medical University
Email: alexandrablazhenko@gmail.com
Student, Department of Operative Surgery and Topographic Anatomy
Russian Federation, Saint PetersburgLyubov V. Volchenko
St. Petersburg State Pediatric Medical University
Email: volchenko.lyubov@mail.ru
Student, Department of Operative Surgery and Topographic Anatomy
Russian Federation, Saint PetersburgReferences
- Багатурия Г.О. Перспективы использования 3D-печати при планировании хирургических операций // Медицина: теория и практика. - 2016. - Т. 1. - № 1. - С. 26-35. [Bagaturiya GO. Prospects for the use of 3D-printing when planning surgery. Meditsina: teoriya i praktika. 2016;1(1):26-35. (In Russ.)]
- Кулешов А.А., Ветрилэ М.С., Лисянский И.Н., и др. Хирургическое лечение пациента с врожденной деформацией позвоночника, аплазией корней дуг грудных и поясничных позвонков, компрессионным спинальным синдромом // Хирургия позвоночника. - 2016. - Т. 13. - № 3. - С. 41-48. [Kuleshov AA, Vetrile MS, Lisyanskiy IN, et al. Surgical treatment of a patient with congenital deformity of the spine, the thoracic and lumbar pedicle aplasia, and spinal compression syndrome. Spine surgery. 2016;13(3):41-48. (In Russ.)]
- Рябых С.О., Ульрих Э.В. Синдром торакальной недостаточности при врожденном сколиозе // Вестник хирургии им. И.И. Грекова. - 2011. - Т. 170. - № 4. - С. 73-78. [Ryabykh SO, Ul’rikh EV. Thoracal insufficiency syndrome in congenital scoliosis. Vestn Khir Im I I Grek. 2011;170(4):73-78. (In Russ.)]
- Bjurlin MA, Rousseau LA, Vidal PP, Hollowell CM. Iatrogenic ureteral injury secondary to a thoracolumbar lateral revision instrumentation and fusion. Spine J. 2009;9(6):e13-15. doi: 10.1016/j.spinee.2008.12.009.
- Bollini G, Launay F, Docquier PL, et al. Congenital abnormalities associated with hemivertebrae in relation to hemivertebrae location. J Pediatr Orthop B. 2010;19(1):90-94. doi: 10.1097/BPB.0b013e3283327f57.
- Campbell RM, Jr., Smith MD, Mayes TC, et al. The characteristics of thoracic insufficiency syndrome associated with fused ribs and congenital scoliosis. J Bone Joint Surg Am. 2003;85-A(3):399-408.
- Gomez JA, Ramirez F, Hedequist DJ. Hemivertebrae Excision: Technique for Congenital Spine Deformity. In: Y Wang, O Boachie-Adjei, L Lenke, editors. Spinal Osteotomy. Dordrecht: Springer; 2015. p. 139-147. doi: 10.1007/978-94-017-8038-4_11.
- Guo J, Zhang J, Wang S, et al. Surgical outcomes and complications of posterior hemivertebra resection in children younger than 5 years old. J Orthop Surg Res. 2016;11(1):48. doi: 10.1186/s13018-016-0381-2.
- Hedequist D, Emans J. Congenital scoliosis: a review and update. J Pediatr Orthop. 2007;27(1):106-116. doi: 10.1097/BPO.0b013e31802b4993.
- Lee HJ, Kim JS, Ryu KS, Park CK. Ureter Injury as a Complication of Oblique Lumbar Interbody Fusion. World Neurosurg. 2017;102:693 e697-693 e614. doi: 10.1016/j.wneu.2017.04.038.
- Marks DS, Qaimkhani SA. The natural history of congenital scoliosis and kyphosis. Spine. 2009;34(17):1751-55. doi: 10.1097/BRS.0b013e3181af1caf.
- McMaster MJ, Ohtsuka K. The natural history of congenital scoliosis. A study of two hundred and fifty-one patients. J Bone Joint Surg Am. 1982;64(8):1128-1147.
- Neal KM, Siegall E. Strategies for Surgical Management of Large, Stiff Spinal Deformities in Children. J Am Acad Orthop Surg. 2017;25(4):e70-e78. doi: 10.5435/JAAOS-D-16-00282.
- Saifi C, Laratta JL, Petridis P, et al. Vertebral Column Resection for Rigid Spinal Deformity. Global Spine J. 2017;7(3):280-90. doi: 10.1177/2192568217699203.
- Sponseller PD, Ting BL. Congenital Scoliosis. In: H Herkowitz, SR Garfin, FJ Eismont, et al, editors. Rothman-Simeone The Spine. 6th ed. Philadelphia: Elsevier; 2011. p. 374-384.
- St Lezin MA, Stoller ML. Surgical ureteral injuries. Urology. 1991;38(6):497-506. doi: 10.1016/0090-4295(91)80165-4.
- Suk SI, Kim JH, Kim WJ, et al. Posterior vertebral column resection for severe spinal deformities. Spine. 2002;27(21):2374-2382. doi: 10.1097/01.BRS.0000032026.72156.1D.
- Tack P, Victor J, Gemmel P, Annemans L. 3D-printing techniques in a medical setting: a systematic literature review. Biomed Eng Online. 2016;15(1):115. doi: 10.1186/s12938-016-0236-4.
- Tikoo A, Kothari MK, Shah K, Nene A. Current Concepts - Congenital Scoliosis. Open Orthop J. 2017;11:337-345. doi: 10.2174/1874325001711010337.
- Wagner SC, Lehman RA Jr, Lenke L. Posterior Vertebral Column Resection (VCR) for Complex Spinal Deformities. In: Y Wang, O Boachie-Adjei, L Lenke, editors. Spinal Osteotomy. Dordrecht; Springer; 2015. p. 111-129. doi: 10.1007/978-94-017-8038-4_9.
- Wilcox B, Mobbs RJ, Wu AM, Phan K. Systematic review of 3D printing in spinal surgery: the current state of play. J Spine Surg. 2017;3(3):433-443. doi: 10.21037/jss.2017.09.01.
- Yang C, Zheng Z, Liu H, et al. Posterior vertebral column resection in spinal deformity: a systematic review. Eur Spine J. 2016;25(8):2368-2375. doi: 10.1007/s00586-015-3767-7.
Supplementary files







