Fibrin- and Fibrinogenolytic Effect of Extracellular Proteinases of Microfungi Aspergillus alliaceus 7dN1 and A. terreus 2
- Authors: Osmolovskiy A.A.1,2, Klyagin S.D.1, Vashkevich T.V.1, Kurakov A.V.1, Kreyer V.G.1
-
Affiliations:
- Faculty of Biology of M.V. Lomonosov Moscow State University
- Faculty of Biotechnology of M.V. Lomonosov Moscow State University
- Issue: Vol 57, No 4 (2023)
- Pages: 298-300
- Section: SHORT COMMUNICATIONS
- URL: https://journal-vniispk.ru/0026-3648/article/view/138097
- DOI: https://doi.org/10.31857/S0026364823040086
- EDN: https://elibrary.ru/VVADYR
- ID: 138097
Cite item
Full Text
Abstract
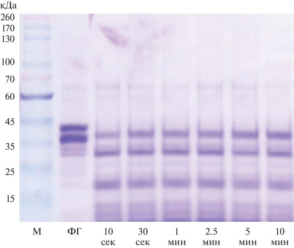
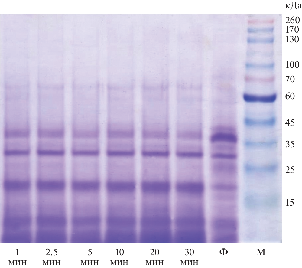
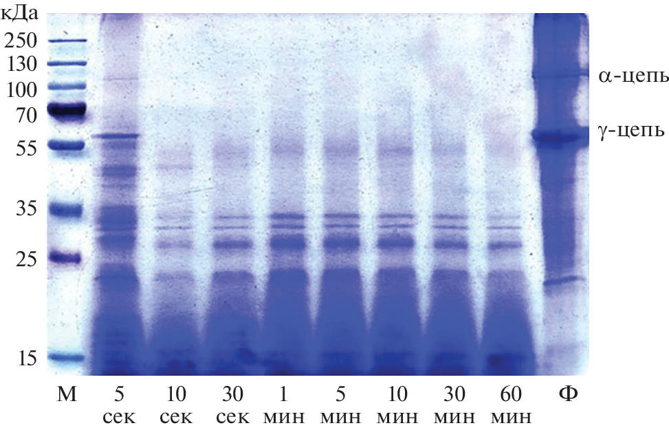
Proteolytic cleavage of fibrin and fibrinogen under the action of proteases of microfungi Aspergillus alliaceus 7dN1 and A. terreus 2 was carried out. It was shown that both enzymes can have strong α-fibrinogenase and moderate β-fibrinogenase activity, practically without affecting the γ-chains of these molecules. The products of cleavage in the time interval up to 60 min are polypeptides with a molecular weight of 15 kDa or less.
About the authors
A. A. Osmolovskiy
Faculty of Biology of M.V. Lomonosov Moscow State University; Faculty of Biotechnology of M.V. Lomonosov Moscow State University
Author for correspondence.
Email: aosmol@mail.ru
Russia, Moscow; Russia, Moscow
S. D. Klyagin
Faculty of Biology of M.V. Lomonosov Moscow State University
Author for correspondence.
Email: sergey_klyagin@mail.ru
Russia, Moscow
T. V. Vashkevich
Faculty of Biology of M.V. Lomonosov Moscow State University
Author for correspondence.
Email: 12878853t@gmail.com
Russia, Moscow
A. V. Kurakov
Faculty of Biology of M.V. Lomonosov Moscow State University
Author for correspondence.
Email: kurakov57@mail.ru
Russia, Moscow
V. G. Kreyer
Faculty of Biology of M.V. Lomonosov Moscow State University
Author for correspondence.
Email: vkreyer@yandex.ru
Russia, Moscow
References
- Batomunkueva B.P., Egorov N.S. Preparations of extracellular proteinases from Aspergillus ochraceus 513 and Aspergillus alliaceus 7dN1. Mikrobiologiya. 2002. V. 71. № 1. P. 56–58.
- Lal V. Fibrinolytic drug therapy in the management of intravascular thrombosis, especially acute myocardial infarction. A review. Asian J. Pharm. Clin. Res. 2017. V. 2. A. 555593. https://doi.org/10.19080/JPCR.2017.02.555593
- Osmolovskiy A.A., Zvonareva E.S., Kreyer V.G. et al. Thrombolytic potential of the extracellular proteinase of micromycete Aspergillus terreus 2. Mikologiya i fitopatologiya. 2021. V. 55 (3). P. 225–228 (in Russ.). https://doi.org/10.31857/S0026364821030089
- Osmolovskiy A.A., Zvonareva E.S., Kreyer V.G. et al. The effect of micromycete extracellular proteases of Aspergillus genus on the proteins of haemostatic system. Russ. J. Bioorg. Chem. 2014. V. 40 (6). P. 634–639.
- Petraglia T., Latronico T., Liuzzi G.M. et al. Edible mushrooms as source of fibrin(ogen)olytic enzymes: Comparison between four cultivated species. Molecules. 2022. V. 27. A. 8145. https://doi.org/10.3390/molecules27238145
- Zvonareva E.S., Osmolovskiy A.A., Kreier V.G. et al. Production of proteinase with plasmin-like and prekallikrein activating activity by the micromycete Aspergillus terreus. Appl. Biochem. Microbiol. 2018. V. 54 (2). P. 206–210. https://doi.org/10.1134/S0003683818020151
- Осмоловский А.А., Звонарева Е.С., Крейер В.Г. и др. (Osmolovskiy et al.) Секреция протеиназ с фибринолитической активностью микромицетами рода Aspergillus // Вестник Моск. ун-та. Сер. 16. Биол. 2018. Т. 73 (1). С. 39–42.
- Осмоловский А.А., Звонарева Е.С., Крейер В.Г. и др. (Osmolovskiy et al.) Тромболитический потенциал внеклеточной протеиназы микромицета Aspergillus terreus 2 // Микология и фитопатология. 2021. Т. 55. № 3. С. 225–228.
Supplementary files






