Влияние половых гормонов на белок транспортер ABCG2 в клетках линии Caco-2
- Авторы: Слепнев А.А.1, Абаленихина Ю.В.1, Попова Н.М.1, Щулькин А.В.1, Якушева Е.Н.1
-
Учреждения:
- Рязанский государственный медицинский университет имени академика И.П. Павлова Минздрава России
- Выпуск: Том 40, № 5 (2023)
- Страницы: 370-378
- Раздел: СТАТЬИ
- URL: https://journal-vniispk.ru/0233-4755/article/view/135043
- DOI: https://doi.org/10.31857/S0233475523050109
- EDN: https://elibrary.ru/NXXQGR
- ID: 135043
Цитировать
Полный текст
Аннотация
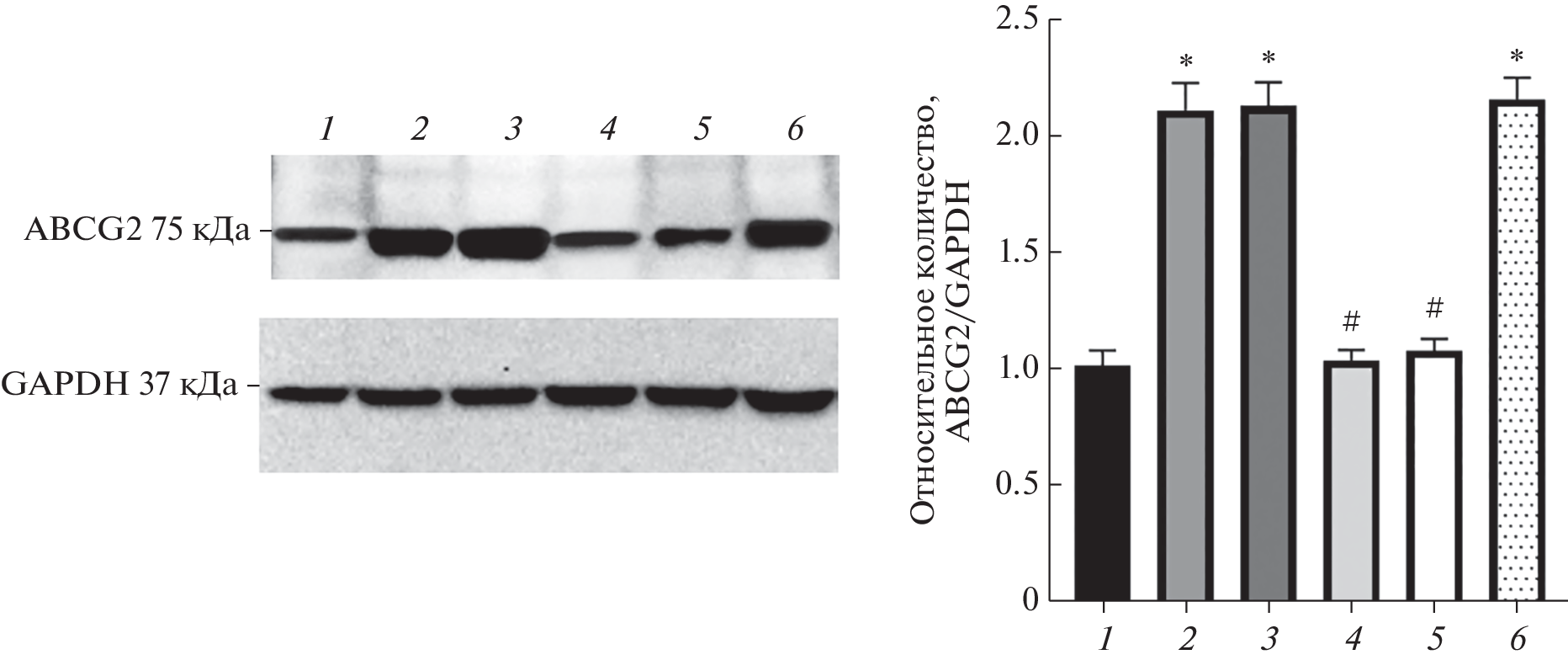
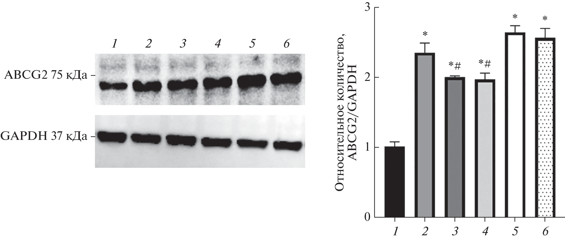
АBCG2-белок (BCRP, белок резистентности рака молочной железы) – эффлюксный трансмембранный белок, принимающий участие в транспорте эндо- и экзогенных веществ, а также развитии резистентности опухолей к химиотерапии. В рамках настоящей работы оценивалось влияние половых гормонов прогестерона, эстрадиола и тестостерона на относительное количество ABCG2 в клетках линии Caco-2, а также роль орфанных рецепторов (фарназоид Х рецептора (FXR), конститутивного андростанового рецептора (CAR), прегнан Х рецептора (PXR), печеночного X рецептора подтипа альфа (LXRa)) в данном процессе. Количество ABCG2 оценивали методом вестерн-блот. Гормоны использовали в концентрациях 1, 10 и 100 мкМ и длительностью экспозиции 24 ч. Все гормоны во всех концентрациях вызывали повышение количества ABCG2. Ингибирование PXR и FXR препятствовало повышению уровня ABCG2 под действием прогестерона. Подавление CAR и PXR частично уменьшало экспрессию ABCG2, вызванную эстрадиолом по сравнению с изолированным воздействием эстрогена, но все равно уровень транспортера превышал показатели контроля. Ингибирование PXR и FXR снижало индуцирующее действие тестостерона, тем не менее уровень транспортера превышал показатели контроля. Таким образом, в ходе исследования было показано, что все половые гормоны во всех концентрациях повышали количество ABCG2, причем в реализации действия эстрадиола принимают участие CAR и PXR, а тестостерона и прогестерона – FXR и PXR.
Об авторах
А. А. Слепнев
Рязанский государственный медицинский университетимени академика И.П. Павлова Минздрава России
Email: abalenihina88@mail.ru
Россия, 390026, Рязань
Ю. В. Абаленихина
Рязанский государственный медицинский университетимени академика И.П. Павлова Минздрава России
Автор, ответственный за переписку.
Email: abalenihina88@mail.ru
Россия, 390026, Рязань
Н. М. Попова
Рязанский государственный медицинский университетимени академика И.П. Павлова Минздрава России
Email: abalenihina88@mail.ru
Россия, 390026, Рязань
А. В. Щулькин
Рязанский государственный медицинский университетимени академика И.П. Павлова Минздрава России
Email: abalenihina88@mail.ru
Россия, 390026, Рязань
Е. Н. Якушева
Рязанский государственный медицинский университетимени академика И.П. Павлова Минздрава России
Email: abalenihina88@mail.ru
Россия, 390026, Рязань
Список литературы
- Doyle L.A., Yang W., Abruzzo L.V., Krogmann T., Gao Y., Rishi A.K., Ross D.D. 1998. A multidrug resistance transporter from human MCF-7 breast cancer cells. Proc. Nat. Acad. Sci. USA. 95 (26), 15 665–15 670. https://doi.org/10.1073/pnas.95.26.15665
- Khunweeraphong N., Stockner T., Kuchler K. 2017. The structure of the human ABC transporter ABCG2 reveals a novel mechanism for drug extrusion. Sci. Rep. 7 (1), 13767. https://doi.org/10.1038/s41598-017-11794-w
- Rosenberg M.F., Bikadi Z., Chan J., Liu X., Ni Z., Cai X., Ford R.C., Mao Q. 2010. The human breast cancer resistance protein (BCRP/ABCG2) shows conformational changes with mitoxantrone. Structure. 18 (4), 482–493. https://doi.org/10.1016/j.str.2010.01.017
- Ni Z., Bikadi Z., Rosenberg M.F., Mao Q. 2010. Structure and function of the human breast cancer resistance protein (BCRP/ABCG2). Cur. Drug Metabolism. 11 (7), 603–617. https://doi.org/10.2174/138920010792927325
- Maliepaard M., Scheffer G.L., Faneyte I.F., van Gastelen M.A., Pijnenborg A.C., Schinkel A.H., van De Vijver M.J., Scheper R.J., Schellens J.H. 2001. Subcellular localization and distribution of the breast cancer resistance protein transporter in normal human tissues. Cancer Res. 61 (8), 3458–3464.
- Natarajan K., Xie Y., Baer M.R., Ross D.D. 2012. Role of breast cancer resistance protein (BCRP/ABCG2) in cancer drug resistance. Biochem. Pharm. 83 (8), 1084–1103. https://doi.org/10.1016/j.bcp.2012.01.002
- Stiburkova B., Pavelcova K., Zavada J., Petru L., Simek P., Cepek P., Pavlikova M., Matsuo H., Merriman T.R., Pavelka K. 2017. Functional non-synonymous variants of ABCG2 and gout risk. Rheumatology (Oxford). 56 (11), 1982–1992. https://doi.org/10.1093/rheumatology/kex295
- Ee P.L., Kamalakaran S., Tonetti D., He X., Ross D.D., Beck W.T. 2004. Identification of a novel estrogen response element in the breast cancer resistance protein (ABCG2) gene. Cancer Res. 64 (4), 1247–1251. https://doi.org/10.1158/0008-5472.can-03-3583
- Yasuda S., Kobayashi M., Itagaki S., Hirano T., Iseki K. 2009. Response of the ABCG2 promoter in T47D cells and BeWo cells to sex hormone treatment. Mol. Biol. Rep. 36 (7), 1889–1896. https://doi.org/10.1007/s11033-008-9395-0
- Evseenko D.A., Paxton J.W., Keelan J.A. 2007. Independent regulation of apical and basolateral drug transporter expression and function in placental trophoblasts by cytokines, steroids, and growth factors. Drug Metab. Dispos. 35 (4), 595–601. https://doi.org/10.1124/dmd.106.011478
- Wang H., Zhou L., Gupta A., Vethanayagam R.R., Zhang Y., Unadkat J.D., Mao Q. 2006. Regulation of BCRP/ABCG2 expression by progesterone and 17beta-estradiol in human placental BeWo cells. Amer. J. Physiol. Endocrinol. Metabol. 290 (5), 798–807. https://doi.org/10.1152/ajpendo.00397.2005
- Wang H., Lee E.W., Zhou L., Leung P.C., Ross D.D., Unadkat J.D., Mao Q. 2008. Progesterone receptor (PR) isoforms PRA and PRB differentially regulate expression of the breast cancer resistance protein in human placental choriocarcinoma BeWo cells. Mol. Pharm. 73 (3), 845–854. https://doi.org/10.1124/mol.107.041087
- Wu X., Zhang X., Sun L., Zhang H., Li L., Wang X., Li W., Su P., Hu J., Gao P., Zhou G. 2013. Progesterone negatively regulates BCRP in progesterone receptor- positive human breast cancer cells. Cell Physiol. Biochem. 32 (2), 344–354. https://doi.org/10.1159/000354442
- Wu X., Zhang X., Zhang H., Su P., Li W., Li L., Wang Y., Liu W., Gao P., Zhou G. 2012. Progesterone receptor downregulates breast cancer resistance protein expression via binding to the progesterone response element in breast cancer. Cancer Sci. 103 (5), 959–967. https://doi.org/10.1111/j.1349-7006.2012.02245.x
- Mazaira G.I., Zgajnar N.R., Lotufo C.M., Daneri-Becerra C., Sivils J.C., Soto O.B., Cox M.B., Galigniana M.D. 2018. The nuclear receptor field: A historical overview and future challenges. Nucl. Receptor Res. 5, 101320. https://doi.org/10.11131/2018/101320
- Shi Y. 2007. Orphan nuclear receptors in drug discovery. Drug Discov. Today. 12 (11–12), 440–445. https://doi.org/10.1016/j.drudis.2007.04.006
- Serviddio G., Bellanti F., Vendemiale G. 2014. Oxysterols in the orchestra of liver cell metabolism. Free Radic. Biol. Med. 1, S6. https://doi.org/10.1016/j.freeradbiomed.2014.10.838
- Chiang J.Y.L., Ferrell J.M. 2022. Discovery of farnesoid X receptor and its role in bile acid metabolism. Mol. Cell Endocrinol. 548, 111618. https://doi.org/10.1016/j.mce.2022.111618
- Krasowski M.D., Ni A., Hagey L.R., Ekins S. 2011. Evolution of promiscuous nuclear hormone receptors: LXR, FXR, VDR, PXR, and CAR. Mol. Cell Endocrinol. 334 (1–2), 39–48. https://doi.org/10.1016/j.mce.2010.06.016
- Jin B., Wang W., Bai W., Zhang J., Wang K., Qin L. 2017. The effects of estradiol valerate and remifemin on liver lipid metabolism. Acta Histochem. 119 (6), 610–619. https://doi.org/10.1016/j.acthis.2017.06.004
- Kawamoto T., Kakizak S., Yoshinari K., Negishi M. 2000. Estrogen activation of the nuclear orphan receptor CAR (constitutive active receptor) in induction of the mouse CYP2B10 gene. Mol. Endocrinol. 14, 1897–1905. https://doi.org/10.1210/mend.14.11.0547
- Blumberg B., Sabbagh W., Juguilon H., Bolado J., van Meter C.M., Ong E.S., Evans R.M. 1998. SXR, a novel steroid and xenobiotic sensing nuclear receptor. Genes Dev. 12 (20), 3195–3205. https://doi.org/10.1101/gad.12.20.3195
- Milona A., Owen B.M., Cobbold J.F., Willemsen E.C., Cox I.J., Boudjelal M., Cairns W., Schoonjans K., Taylor-Robinson S.D., Klomp L.W., Parker M.G., White R., van Mil S.W., Williamson C. 2010. Raised hepatic bile acid concentrations during pregnancy in mice are associated with reduced farnesoid X receptor function. Hepatology. 52 (4), 1341–1349. https://doi.org/10.1002/hep.23849
- Wang S., Lai K., Moy F.J., Bhat A., Hartman H.B., Evans M.J. 2006. The nuclear hormone receptor farnesoid X receptor (FXR) is activated by androsterone. Endocrinology. 147 (9), 4025–4033. https://doi.org/10.1210/en.2005-1485
- Hilgers A.R., Conradi R.A., Burton P.S. 1990. Caco-2 cell monolayers as a model for drug transport across the intestinal mucosa. Pharmac. Res. 7 (9), 902–910. https://doi.org/10.1023/A:1015937605100
- Sim W.C., Kim D.G., Lee K.J., Choi Y.J., Choi Y.J., Shin K.J., Jun D.W., Park S.J., Park H.J., Kim J., Oh W.K., Lee B.H. 2015. Cinnamamides, novel liver X receptor antagonists that inhibit ligand-induced lipogenesis and fatty liver. J. Pharmacol. Exp. Ther. 355 (3), 362–369. https://doi.org/10.1124/jpet.115.226738
- Cherian M.T., Lin W., Wu J., Chen T. 2015. CINPA1 is an inhibitor of constitutive androstane receptor that does not activate pregnane X receptor. Mol. Pharmacol. 87 (5), 878–889. https://doi.org/10.1124/mol.115.097782
- Kota B.P., Tran V.H., Allen J., Bebawy M., Roufogalis B.D. 2010. Characterization of PXR mediated P-glycoprotein regulation in intestinal LS174T cells. Pharmacol. Res. 62 (5), 426–431. https://doi.org/10.1016/j.phrs.2010.07.001
- Sayin S.I., Wahlström A., Felin J., Jäntti S., Marschall H.U., Bamberg K., Angelin B., Hyötyläinen T., Orešič M., Bäckhed F. 2013. Gut microbiota regulates bile acid metabolism by reducing the levels of tauro-beta-muricholic acid, a naturally occurring FXR antagonist. Cell Metab. 17 (2), 225–235. https://doi.org/10.1016/j.cmet.2013.01.003
- Bradford M.M. 1976. A rapid and sensitive method for the quantitation of microgram quantities of protein utilizing the principle of protein-dye binding. Anal. Biochem. 7 (72), 248–254. https://doi.org/10.1006/abio.1976.9999
- Nakanishi T., Ross D.D. 2012. Breast cancer resistance protein (BCRP/ABCG2): Its role in multidrug resistance and regulation of its gene expression. Chin. J. Cancer. 31 (2), 73–99. https://doi.org/10.5732/cjc.011.10320
- Wang H., Huang H., Li H., Teotico D.G., Sinz M., Baker S.D., Staudinger J., Kalpana G., Redinbo M.R., Mani S. 2007. Activated pregnenolone X-receptor is a target for ketoconazole and its analogs. Clin. Cancer Res. 13 (8), 2488–2495. https://doi.org/10.1158/1078-0432.CCR-06-1592
- Campbell-Thompson M., Lynch I.J., Bhardwaj B. 2001. Expression of estrogen receptor (ER) subtypes and ERbeta isoforms in colon cancer. Cancer Res. 61 (2), 632–640.
- Gu S., Papadopoulou N., Gehring E.M., Nasir O., Dimas K., Bhavsar S.K., Föller M., Alevizopoulos K., Lang F., Stournaras C. 2009. Functional membrane androgen receptors in colon tumors trigger pro-apoptotic responses in vitro and reduce drastically tumor incidence in vivo. Mol. Cancer. 8, 114. https://doi.org/10.1186/1476-4598-8-114
- Mahbub A.A. 2022. Therapeutic strategies and potential actions of female sex steroid hormones and their receptors in colon cancer based on preclinical studies. Life (Basel). 12 (4), 605. https://doi.org/10.3390/life12040605
- Herraez E., Gonzalez-Sanchez E., Vaquero J., Romero M.R., Serrano M.A., Marin J.J., Briz O. 2012. Cisplatin-induced chemoresistance in colon cancer cells involves FXR-dependent and FXR-independent up-regulation of ABC proteins. Mol. Pharm. 9 (9), 2565–2576. https://doi.org/10.1021/mp300178a
Дополнительные файлы







