The clinical case of a combination of ankylosing spondylitis, ulcerative colitis and rheumatoid arthritis in one patient: where is the intersection point?
- Authors: Georginova O.A.1, Makarov E.A.1, Budko A.A.1, Avdeev V.G.1, Gorbunov R.M.1, Plotnikova M.L.1, Krasnova T.N.1
-
Affiliations:
- Lomonosov Moscow State University
- Issue: Vol 51, No 7 (2023)
- Pages: 407-416
- Section: CLINICAL CASES
- URL: https://journal-vniispk.ru/2072-0505/article/view/249904
- DOI: https://doi.org/10.18786/2072-0505-2023-51-043
- ID: 249904
Cite item
Full Text
Abstract
We describe a clinical observation of a 64-year old Caucasian patient with a longstanding ankylosing spondylitis, who was admitted to the clinic for diarrhea and joint syndrome. Physical and X-ray examination showed that his musculoskeletal system disorder was represented by ankylosing spondylitis, symmetrical erosive polyarthritis of the metacarpophalangeal joints, and wrist joint ankylosis. Laboratory work-up identified that the patient was HLA-B27 positive, had high rheumatoid factor and anti-citrulline antibodies levels. At colonoscopy, there were signs of ulcerative colitis. After the differential diagnosis procedures, we were able to conclude that the patient had a combination of rheumatoid arthritis, ankylosing spondylitis, and ulcerative colitis as three independent but associated disorders. The first description of these three autoimmune diseases in one patient can be of interest for clinicians.
Full Text
Ревматоидный артрит (РА), язвенный колит (ЯК), анкилозирующий спондилит (АС) – многофакторные заболевания аутоиммунной природы. Наличие одного из них часто повышает вероятность развития другого из-за сходства нарушений иммунореактивности, лежащих в основе этих заболеваний, и генетической предрасположенности к данным нарушениям. Описано участие антигенов системы HLA, ассоциированных с РА и АС, в формировании микробиома [1], что потенциально может объяснять комбинацию аутоиммунных поражений желудочно-кишечного тракта (ЖКТ) и суставов.
Приводим клиническое наблюдение развития у одного пациента трех заболеваний: АС, РА, серопозитивного по ревматоидному фактору и антителам к циклическому цитруллинированному пептиду (АЦЦП), и ЯК. Описаний подобных случаев одновременного присутствия признаков этих трех заболеваний у одного пациента по данным PubMed, Medscape нам встретить не удалось.
Клиническое наблюдение
Пациент Н. Б.Г., 17.10.1957 (63 года), госпитализирован в ноябре 2020 г. в МНОЦ МГУ в связи с жалобами на спастические боли в животе, послабление стула до 5 раз в сутки, метеоризм, боли в мелких и крупных суставах.
Пациент работал фермером, в прошлом программист, рос и развивался согласно физиологическим возрастным нормам, кандидат в мастера спорта по легкой атлетике.
Впервые жалобы на боли в пояснично-крестцовом отделе позвоночника появились в 19 лет (1976 г.), самостоятельно принимал нестероидные противовоспалительные препараты (НПВС). В 23 года в связи с усилением болей в спине и присоединением новой их локализации – в крупных суставах – обратился в Институт ревматизма АМН СССР (сегодня – НИИ ревматологии им. В.А. Насоновой). Со слов пациента, был установлен диагноз «анкилозирующий спондилоартрит с вовлечением крупных суставов (тазобедренных, плечевых, лучезапястных, голеностопных)», регулярно получал терапию НПВС (индометацин, диклофенак), эпизодически принимал глюкокортикостероиды (ГКС) – преднизолон. Впервые был обнаружен положительный ревматоидный фактор. С 23 до 40 лет нерегулярно использовал НПВС с положительным эффектом, у врача-ревматолога не наблюдался. В возрасте 40 лет (1997 г.) самостоятельно отменил терапию НПВС и ГКС, на фоне чего присоединились симметричные боли в мелких суставах кистей, снизился объем движения в лучезапястных суставах, дополнительное обследование не проводилось. В 2018 г. (возраст – 61 год) впервые отмечены эпизоды учащенного стула (до 10–15 раз в день) с примесью алой крови, симптоматика купировалась самостоятельно. В январе 2019 г. по месту жительства впервые выполнена колоноскопия, выявившая признаки умеренно выраженного воспаления дистальной части восходящей кишки с геморрагическим компонентом, по данным морфологического исследования биоптатов выявлены крипт-абсцессы. Пациент не лечился.
В феврале 2020 г. с жалобами на учащенный стул до 5 раз в сутки с примесью слизи и редко крови, на дискомфорт и ограничение подвижности в поясничном отделе позвоночника, ограничение подвижности в лучезапястных суставах, боли в коленных суставах госпитализирован в МНОЦ МГУ с предположительным диагнозом «язвенный колит. Анкилозирующий спондилоартрит». При лабораторном обследовании пациента выявлены признаки железодефицитной анемии – эритроциты 3,77 1012/л (4,20–5,60 1012/л), гемоглобин 12 г/дл (норма 13–17 г/дл), железо 8 мкмоль/л (норма 12–29 мкмоль/л), лейкоциты 6,44 109/л (4,00–8,80), тромбоциты 270 109/л (180,00–320,00), нейтрофилы 3,50 109/л (1,00–4,50), лимфоциты 2,28 109/л (1,00–4,50), моноциты 0,52 109/л (0,00–1,00), скорость оседания эритроцитов (СОЭ) – 21 мм/ч (норма до 20 мм/ч). Отмечено повышение С-реактивного белка (СРБ) до 13,8 мг/л (норма до 5 мг/л). Показатели аланинаминотрансферазы 11,30 ед/л (7,00–40,00), аспартатаминотрансферазы 12,40 ед/л (10,00–30,00), общий белок 65,30 г/л (65,00–85,00), альбумин 35,30 г/л (35,00–50,00), мочевина 4,90 ммоль/л (2,50–8,30), креатинин 71,00 мкмоль/л, натрий 143 ммоль/л (136–145), калий 3,8 ммоль/л (3,50–5,10), фибриноген 2,57 г/л (2,00–4,00) в пределах референсных значений. По результатам бактериологического и микроскопического исследования кала, данных за острую кишечную или паразитарную инфекцию не получено. Проведено эндоскопическое исследование. При эзофагогастроскопии выявлена эритематозная гастропатия проксимальных отделов желудка. Данные колоноскопии свидетельствовали о признаках сигмоидита. Проводилась прицельная биопсия слизистой толстой кишки. Морфологическое описание биоптатов: фрагмент слизистой оболочки толстой кишки с умеренным инфильтратом в строме, представленным лимфоцитами, плазмоцитами, эозинофилами (до 30 в поле зрения при увеличении × 40), плоскостными кровоизлияниями, очаговой лимфоидной гиперплазией, базальным плазмоцитозом. Внутриэпителиальные лейкоциты, крипт-абсцессы отсутствуют. Слизеобразование сохранено. Заключение: колит хронический, вне стадии обострения. По данным рентгенографии грудного отдела позвоночника: спондилодисцит межпозвонкового диска Th 4-7. Костный анкилоз в переднем отделе Th4 и Th7. Множественные синдесмофиты в области передних углов тел позвонков. Остеопороз тел позвонков. На фоне терапии препаратами 5-аминосалициловой кислоты (сульфасалазин 2 г/сут, месалазин 1 г/сут), ГКС (преднизолон 20 мг/сут), НПВС (эторикоксиб 90 мг/сут) отметилась стойкая положительная динамика в виде нормализации частоты стула, уменьшения суставного синдрома, при контроле анализов: СРБ 6,2 мг/л (норма до 5 мг/л), СОЭ 17 мм/ч (норма до 20 мм/ч). После выписки из стационара к июлю 2020 г. самостоятельно отменил всю терапию, при выраженной боли принимал НПВС.
С августа 2020 г. отметил учащение стула с примесью крови и слизи до 20–25 раз в сутки, резкое усиление болей в крупных и мелких суставах (максимально до 6–7 баллов по визуальной аналоговой шкале), эпизодическое повышение температуры тела до 38 °C, отек левой конечности до колена. Симптоматическое лечение фитопрепаратами, НПВС (диклофенак 150 мг/сут внутримышечно). При амбулаторном обследовании в октябре 2020 г.: эритроциты 3,71 1012/л (4,20–5,60 1012/л), гемоглобин 9,3 г/дл (13–17 г/дл), СОЭ 84 мм/ч (норма до 20 мм/ч), формула крови без лейкоцитарного сдвига; СРБ 108,6 мг/л (норма до 5 мг/л), ревматоидный фактор 296,5 МЕ/мл (норма до 14 МЕ/мл), высокий уровень фекального кальпротектина – 1347,7 мкг/г (норма до 50 мкг/г), остальные показатели белкового обмена в норме. При магнитно-резонансной томографии (МРТ) левого коленного сустава картина трабекулярного отека эпифизов бедренной и большеберцовой кости, кортикально-узуратные изменения межмыщелкового возвышения, умеренный синовит (анализ суставной жидкости не проводился), многокамерная киста Бейкера с признаками пролиферации. Дополнительной причиной отека нижних конечностей по данным ультразвукового исследования оказалась лимфедема обеих голеней, значительно более выраженная слева. Возобновлена терапия сульфасалазином 6000 мг/сут, преднизолоном внутрь 70 мг/сут с положительным эффектом (нормализация температуры тела, уменьшение частоты стула с 20–25 до 2 раз в сутки, без примеси крови и слизи). Отметил регресс болевого синдрома в коленных суставах, однако объем движения в поясничной области и лучезапястных суставах не восстановился.
При осмотре: голеностопные и лучезапястные суставы деформированы, болезненные, с резким ограничением объема движения. Мелкие суставы кистей деформированы, болезненные, с небольшим ограничением объема движения. Симптом сжатия кистей и стоп положительный с обеих сторон. Число болезненных суставов – 7, число припухших суставов – 4. Формирующаяся поза просителя, паравертебральная болезненность не выявлена. Тест Шобера – 5 см; расстояние «затылок – стена» > 5 см; боковые наклоны вправо-влево резко ограничены. Индексы BASDAI 6,8, BASFI 6,2, ASDAS 4. В легких аускультативно: дыхание жесткое, ослабленное, дискантовые сухие хрипы в нижних отделах обоих легких. Частота дыхательных движений – 16 в минуту. SpO2 на воздухе 99%. Границы относительной сердечной тупости не расширены. Тоны сердца приглушенные, ритмичные, артериальное давление 100/60 мм рт. ст, Ps = частота сердечных сокращений – 72 уд/мин. Язык влажный, обложен белым налетом по бокам. Живот мягкий, безболезненный. Печень ниже края реберной дуги (+1 см). Размеры печени: 10–9–8 по Курлову.
При лабораторном обследовании: эритроциты 3,7 1012/л (4,20–5,60 1012/л), гемоглобин 9,8 г/дл (13–17 г/дл), железо 3,25 мкмоль/л (норма 12–29 мкмоль/л), ферритин 14,40 мкг/л (20,00–250,00), тромбоциты 203 109/л (180,00–320,00), нейтрофилы 3,12 109/л (1,00–4,50), лимфоциты 2,0 109/л (1,00–4,50), моноциты 0,47 109/л (0,00–1,00), СОЭ 29 мм/ч (норма до 20 мм/ч). Фибриноген 3,57 г/л (2,00–4,00). Показатели белкового обмена: общий белок 64,5 г/л (65–85 г/л), альбумин 35,3 г/л (35–50 г/л), СРБ 4,76 мг/л (норма до 5 мг/л), ревматоидный фактор 140 МЕ/мл (норма до 14 МЕ/мл). АЦЦП 799 Ед/мл (0–5). Электролиты в пределах референсных значений. Токсины клостридий (Clostridioides difficile) А и В в кале пациента методом иммунохроматографического анализа не выявлены. Анализ кала на скрытую кровь – положительный. Выявлен ген HLA-B27.
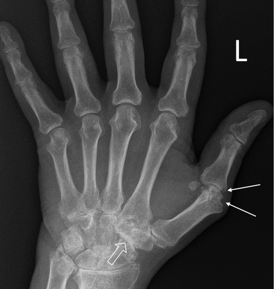
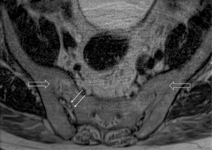
При компьютерной томографии органов грудной клетки данных за «свежие» очаговые и инфильтративные изменения не получено. Увеличения лимфатических узлов подмышечных областей, средостения, корней легких не выявлено. Отмечался усиленный грудной кифоз, обызвествление передней продольной связки, на всем уровне исследования определялись передне-боковые спондилофиты, а также анкилоз большинства реберно-поперечных суставов. По данным рентгенографии кистей (рис. 1, 2) и стоп (рис. 3, 4) диагностированы признаки эрозивного артрита, анкилоз суставов запястья. По данным МРТ крестцово-подвздошных суставов (КПС) определялся неравномерный анкилоз КПС, хрящи по суставным поверхностям неравномерной толщины, примерно на половине протяжении сустава отсутствуют, «суставной промежуток» облитерирован. Неравномерность и нечеткость контура суставных поверхностей за счет множества краевых эрозий справа, единичных – слева, с наличием остеокластоза, в нижнем отделе слева по смежным отделам определяются участки трабекулярного отека, данная находка клинически интерпретирована как двусторонний активный сакроилиит (рис. 5, 6).
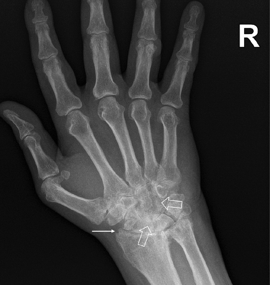
Рис. 1. Рентгенограмма левой кисти в прямой проекции. Краевые эрозии суставных поверхностей первого пястно-фалангового сустава (тонкие стрелки), сужение суставных щелей суставов запястья с формированием анкилозов (толстая стрелка)
Рис. 2. Рентгенограмма правой кисти в прямой проекции. Краевая эрозия суставной поверхности лучевой кости (тонкая стрелка), множественные анкилозы суставов запястья (толстые стрелки)
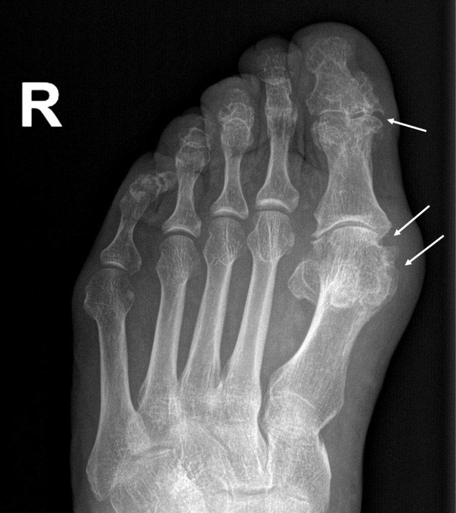
Рис. 3. Рентгенограмма правой стопы в прямой проекции. Краевые эрозии суставных поверхностей первого плюсне-фалангового сустава и межфалангового сустава I пальца (стрелки), сужение суставных щелей. Вальгусная деформация I пальца стопы
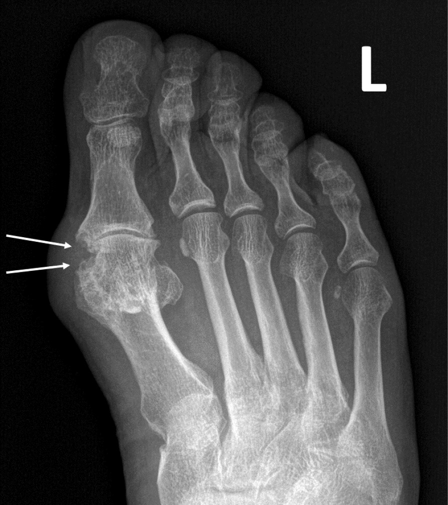
Рис. 4. Рентгенограмма левой стопы в прямой проекции. Краевые эрозии суставных поверхностей первого плюсне-фалангового сустава (стрелки), сужение суставной щели. Вальгусная деформация I пальца стопы
Рис. 5. Магнитно-резонансная томография (Т2-взвешенное изображение в поперечной проекции). Протяженные участки анкилоза крестцово-подвздошных сочленений (толстые стрелки), эрозии суставных поверхностей (тонкие стрелки)
Рис. 6. Магнитно-резонансная томография (Т1-взвешенное изображение в косой корональной проекции). Протяженные участки анкилоза крестцово-подвздошных суставов (толстые стрелки), субхондральная киста правой латеральной массы крестца (тонкая стрелка). При магнитно-резонансной томографии крестцово-подвздошных сочленений с обеих сторон определяются крупные зоны анкилоза (суставные щели полностью облитерированы на 1/3 поверхности сустава справа, на 2/3 поверхности слева, что соответствует III рентгенологической стадии сакроилиита справа, IV стадии слева по Келлгрену). На остальных участках суставной хрящ неравномерно истончен, суставные поверхности неровные за счет множественных эрозий справа, единичных – слева. Определяются единичные мелкие (4 мм) субхондральные кисты справа
При проведении ультразвукового исследования симфиза выявлен лонный симфизит. При колоноскопии выявлены эндоскопические признаки ЯК, проктосигмоидита с минимальной степенью воспалительного процесса. По данным биопсии фрагмента слизистой оболочки толстой кишки определен умеренный инфильтрат в строме, представленный лимфоцитами, плазмоцитами, увеличением содержания в инфильтрате нейтрофилов и эозинофилов, плоскостными кровоизлияниями, очаговой лимфоидной гиперплазией, базальным плазмоцитозом с признаками поверхностного эрозирования. Внутриэпителиальные лейкоциты, крипт-абсцессы отсутствовали. При окраске биоптата по Цилю – Нильсену признаков М. tuberculosis обнаружено не было, окраска Конго красным не проводилась. Заключение патоморфолога: колит хронический, вне стадии обострения.
На основании анамнеза и данных обследования был установлен окончательный диагноз сочетанного заболевания с поражением опорно-двигательного аппарата и ЖКТ:
«Анкилозирующий спондилоартрит, смешанная форма, HLA-B27-ассоциированный, поздняя стадия с поражением позвоночника, грудных-реберных сочленений, тазобедренных, голеностопных суставов, лучезапястных суставов, проксимальных межфаланговых суставов, мелких суставов запястья, пястнофаланговых суставов обеих кистей, эрозивным артритом 1-го плюснефалангового сустава левой кисти высокой активности (BASDAI 6,8, ASDAS 3,4), функциональный класс 3 (BASFI 7,2). Лонный симфизит.
Серопозитивный ревматоидный артрит, АЦЦП позитивный, эрозивная форма, поздняя стадия, средней степени активности (DAS 28 5.01), функциональный класс 3.
Язвенный колит, хроническое непрерывное течение, высокой степени активности, атака тяжелой степени (по Truelove – Witts), проктосигмоидит, леченный сульфасалазином, преднизолоном».
Учитывая сочетание трех нозологий высокой активности, планировался постепенный перевод пациента с терапии ГКС (метилпреднизолон 48 мг/сут, инициированный при поступлении по рекомендации ревматолога) на ингибиторы фактора некроза опухоли-альфа, однако в конце ноября 2020 г. пациент заболел новой коронавирусной пневмонией и скончался от тяжелой дыхательной недостаточности.
Обоснование диагноза
Ведущим диагнозом в течение всей истории заболевания был «анкилозирующий спондилоартрит, смешанная форма, HLA-B27-ассоциированный», поставленный на основании типичного поражения позвоночника с формированием деформаций (костный анкилоз в переднем отделе Th4 и Th7, множественные синдесмофиты в области передних углов тел позвонков). Заключение МРТ КПС типично для пациента с АС: двусторонний анкилоз КПС, множественные краевые эрозии, с наличием остеокластоза и признаками трабекулярного отека костной ткани, двусторонний сакроилиит. Клиническая картина, проявляющаяся болями воспалительного характера и скованностью в пояснично-крестцовом отделе позвоночника, нарушением объема движения в позвоночнике, была характерна для прогрессирования АС. Диагноз подтверждался наличием положительного гена HLA-B27 [2].
В возрасте 40 лет присоединились жалобы на симметричные воспалительные боли в лучезапястных суставах и мелких суставах кистей, резкое снижение объема движения в лучезапястных суставах. При осмотре пациента выявлено: число болезненных суставов – 7, число припухших суставов – 4, положительный симптом поперечного сжатия кистей и стоп, ульнарная девиация мелких суставов стоп. Резко сниженный объем движения в лучезапястных суставах обеих кистей. По данным рентгенологического обследования зафиксированы типичные изменения для РА: резкое неравномерное выраженное сужение суставных щелей, субхондральный склероз в лучезапястных суставах, анкилоз в суставах запястья, пястно-запястных, пястно-фаланговых и межфаланговых суставах. Краевые эрозии оснований основных фаланг двух пальцев; участки кистовидной перестройки костной ткани. Локальное утолщение мягких тканей. При лабораторном обследовании пациента отмечен положительный ревматоидный фактор, высокий титр антицитруллинированных антител, повышение острофазовых белков.
Согласно классификационным критериям ACR/EULAR (2010) [3], пациенту был установлен диагноз серопозитивного РА, АЦЦП-позитивного.
Третий диагноз манифестировал в возрасте 61 года с жалоб на учащенный стул с примесью крови и слизи максимально до 20–25 раз в день, повышения температуры тела до 38 °C, спастических болей в животе. По данным анамнеза, в биопсии от января 2019 г. выявлены крипт-абсцессы. При обследовании пациента в ноябре 2020 г. выявлено почти 30-кратное увеличение фекального кальпротектина (до 1347 мкг/г, норма до 50), увеличение острофазовых белков (по данным анамнеза СРБ до 108,6 мг/л, СОЭ до 84 мм/ч) при нормальных значениях альбумина 36 г/л (35–50 г/л), отсутствии эозинофилии и данных за наличие токсинов А и В Clostridioides difficile. При колоноскопии визуализировали гиперемированную отечную слизистую, со смазанным сосудистым рисунком, с немногочисленными петехиальными высыпаниями; по результатам биопсии фрагмента слизистой оболочки толстой кишки отмечено снижение слизеобразования, умеренный лимфогистиоцитарный воспалительный инфильтрат, умеренный субэпителиальный склероз, признаки поверхностного эрозирования.
Принимая во внимание частоту обострений заболевания – последнее обострение (ноябрь 2020 г.) произошло спустя 4 месяца (август 2020 г.) от последнего обращения – пациенту было установлено хроническое непрерывное течение.
Таким образом, на основании сочетания данных анамнеза, клинической картины и типичных эндоскопических и гистологических признаков [4], а также в результате исключения на основании данных анамнеза, лабораторных исследований и клинической картины других диагнозов (поражение кишечника, вызванное антибиотиками, туберкулез кишечника, системные васкулиты, рак толстой кишки, микроскопические колиты, болезнь Крона толстой кишки) был установлен диагноз ЯК хронического непрерывного течения, высокой степени активности, атака тяжелой степени (по Truelove – Witts), проктосигмоидит, леченный ГКС, сульфасалазином.
Обсуждение
В литературе есть публикации, посвященные перекрестным формам аутоиммунных заболеваний [5]. Сочетание нескольких аутоиммунных синдромов определяет особенности подбора медикаментозной терапии пациента. Так, известны «перекресты» аутоиммунных заболеваний печени и ЖКТ (аутоиммунный гепатит и первичный билиарный цирроз, аутоиммунный гепатит и первичный склерозирующий холангит) [6]. Сочетание отдельных признаков заболеваний – склеродермии, системной красной волчанки и полимиозита/дерматомиозита и положительного anti-U1-RNP – приводит к образованию отдельной нозологии: синдрома Шарпа. Сочетание миозита, пневмонита, артрита с положительными anti-Jo-1 антителами ассоциируется с антисинтетазным синдромом, тогда как миозит и лимитированная склеродермия вкупе с anti-PM/Scl – со склеромиозитом [5].
В течение долгого времени, особенно в США, АС считался особой формой РА [7]. С развитием более информативных и чувствительных лабораторно-инструментальных методов исследования стало возможным дифференцировать РА и АС. В настоящее время для обоих заболеваний разработаны четкие критерии: ACR/EULAR – для РА и ASAS – для АС. В общей популяции РА и АС встречаются с сопоставимой частотой – от 0,3 до 1,5%. По данным G.H. Fallet и соавт., вероятность двух заболеваний у одного пациента варьирует в диапазоне от 1:50 000 до 1:200 000 [8]. Эпидемиологические исследования показали, что к РА и АС имеется генетическая предрасположенность. В случае РА важным генетическим фоном является наличие комплекса HLA-DR4 и HLA-DR1. В наибольшей степени это относится к курящим пациентам с РА и положительными АЦЦП [9]. При АС нередко выявляют HLA-DRB1, но наиболее сильная связь была подтверждена для АС и HLA-B27, тогда как связи между HLA-B27 и РА не установлено [10]. Так, наличие HLA-B27 у пациентов с РА не увеличивало частоту энтезита или сакроилиита, в отличие от пациентов с АС. В европейской популяции больных АС выявляемость этого антигена составляет 90–95% [10]. Доказано значительное влияние экологических и иммунологических факторов на возникновение РА и АС у генетически предрасположенных лиц. Наличие повышенной продукции провоспалительных цитокинов объясняет высокую эффективность при РА и АС препаратов, специфически ингибирующих синтез фактора некроза опухоли-альфа [10].
Сочетание АС и ЯК у одного пациента встречается часто. Еще в 1970 г. K.N. Jalan и соавт. обратили внимание на то, что из 399 пациентов с ЯК у 17 это воспалительное заболевание кишечника (ВЗК) сочеталось с АС, при этом развитие АС не зависело от тяжести, степени вовлечения кишечника и длительности течения ЯК [11]. В 1973 г. I. Macrae и V. Wright описали семейные случаи сочетания ЯК с АС. Последний был выявлен у 12,6% пробандов и у 3,6% родственников [12]. В проспективном исследовании S.J. van Erp и соавт. 12,3% (19/155) пациентов с ВЗК и болями в спине и/или суставах соответствовали критериям спондилоартрита. Курение, женский пол и активность ВЗК были независимыми факторами риска возникновения болей в спине, суставах [13].
Отмечается, что в течении АС, ассоциированного с ВЗК, имеются характерные особенности. Еще в 1971 г. C. McEwen и соавт. выделили две группы пациентов с АС. У одних больных с АС чаще встречался псориаз и синдром Рейтера, у других – ЯК и артрит. У пациентов с сочетанием АС, ЯК и артрита регистрировали преимущественное поражение только позвоночника и крестцово-подвздошных сочленений, без вовлечения других суставов, за исключением бедра и плеча. При этом поражение бедренных и плечевых суставов наблюдалось постоянно, а не транзиторно. У пациентов этой группы был более выражен остеопороз, чем у больных АС с псориазом и синдромом Рейтера, и у них уже на ранних стадиях отмечался выраженный сакроилиит, часто регистрировали вовлечение лонного симфиза. Среди характерных признаков выделялось более выраженное ограничение экскурсии грудной клетки, двустороннее симметричное появление синдесмофитов и выраженная оссификация связок. Немаловажным отличием было и то, что появление синдесмофитов происходило снизу вверх: от поясничного до шейного отдела позвоночного столба [14].
Не существует убедительных данных о том, какое заболевание возникает первично, а какое вторично. Так, по данным M.I. Jayson и I.A. Bouchier, у 18% пациентов с АС, у которых развился ЯК, диагноз ВЗК в основном устанавливался спустя 18–20 лет после дебюта спондилита [15]. В других работах описана обратная последовательность. A. Bouchra и соавт. опубликовали клиническое наблюдение АС, развившегося вторично по отношению к ЯК [16]. В исследовании N.J. Zvaifler и W.Martel у 6% пациентов с ЯК развился АС, при этом АС мог дебютировать синхронно с ЯК либо позже (через 15–20 лет). Течение колита не зависело от наличия или отсутствия артропатии, а рентгенологическая картина АС не различалась в группах больных с ЯК и без поражения кишечника [17].
Согласно данным литературы, около трети пациентов с ЯК имеют внекишечные проявления, среди них самое частое – артрит (21%) [18]. Установлено, что пациенты с ВЗК (болезнь Крона (БК) и ЯК) имеют повышенный риск развития РА [19]. Обнаружение общих локусов восприимчивости и полиморфизмов ДНК может объяснять взаимосвязь между ВЗК и РА на генетическом уровне: в частности, полиморфизм в локусе IRF5 свидетельствует о генетической предрасположенности к ВЗК и РА [20], а IL2/IL21 и TNFRSF14 – локусы общего риска для РА и ЯК [21]. Белки, кодируемые этими аллелями, являются ключевыми модуляторами иммунитета и воспаления, ответственными за активацию и дифференцировку Т-клеток (IL2 и IL21) [21] и провоспалительную передачу сигналов (IRF5 и TNFRSF14) [22, 23]. В полногеномном ассоциативном метаанализе были выявлены общие локусы риска для БК и РА [24].
Еще одна возможная причина развития аутоиммунных заболеваний у генетически предрасположенных пациентов – хронический несбалансированный иммунный ответ слизистой оболочки на микробиоту кишечника, что может играть важную роль в патогенезе ВЗК [25].
В ряде исследований установлено наличие связи между кишечной микробиотой и РА. Бактероиды (лат. Bacteroides) – одна из доминирующих бактерий-симбионтов в кишечнике человека, которая может индуцировать регуляторные Т-клетки и цитокины, защищающие от колита [26]. Сообщалось, что количество Bacteroides было сниженным у пациентов как с ВЗК, так и с РА [27]. Кроме того, в обоих состояниях участвует микробиотозависимая индукция Т-хелперных клеток 17-го типа (клетки Th17) [28]. Исследования на животных моделях показали, что можно предотвратить развитие РА, если элиминировать бактерии, обитающие в кишечнике. Так, лечение стерильных мышей сегментоядерной нитчатой бактерией, известным индуктором иммунного ответа, привело к развитию РА через клетки Th17 [28].
ЯК и БК традиционно считаются Th1- и Th2-доминантным состоянием соответственно, РА обозначается как Th1-управляемое заболевание [19]. Вместе с тем исследования показывают, что иммунологические механизмы, лежащие в их основе, намного сложнее. Особого внимания заслуживают взаимодействие между дендритными клетками и клетками Th17 и ось IL-23/IL-17, рассматривающаяся как основной дисрегулируемый сигнальный путь для РА, неспецифического ЯК и БК [18]. У пациентов с РА взаимодействие «ген – окружающая среда» влияет на реактивность аутоантител к цитруллинированным антигенам. Воздействие вредных агентов, включая дым, кремниевую пыль, наноразмерный диоксид кремния или углеродные наноматериалы, может стимулировать Toll-подобные рецепторы слизистой оболочки легких, которые активируют кальцийзависимый фермент пептидил-аргинин-деиминазой, а также антигенпрезентирующие клетки – дендритные и В-клетки. Мутации гена α-субъединицы коатомера могут нарушать транспорт из эндоплазматического ретикулума в аппарат Гольджи и вызывать наследственные аутоиммунно опосредованные заболевания легких и артрит, что указывает на роль легких в патогенезе артрита. Более того, курение у носителей гена HLA-DR SE может запускать РА-специфические иммунные реакции на цитруллинированные белки посредством метилирования ДНК [29]. Как упоминалось выше, участие антигенов системы HLA, ассоциированных с РА и АС, в формировании микробиома [1], потенциально может объяснять комбинацию аутоиммунных поражений ЖКТ и суставов.
Заключение
АС при ЯК и БК встречается в 5% случаев, а артрит периферических суставов при ЯК регистрируют в 10%. Наличие ЯК повышает вероятность развития других аутоиммунных заболеваний. В описанном нами клиническом наблюдении нарушения работы ЖКТ частично могли быть обусловлены проявлением нетипичной формы РА. Однако, имея в виду факт сопровождения ВЗК суставным синдромом, похожим на проявления при РА или АС, можно предположить, что у нашего пациента данные влияния могут быть представлены в комбинации (учитывая, что АС и РА манифестировали первыми) и быть отражением разнонаправленного влияния системных нарушений иммунной регуляции.
Дополнительная информация
Согласие пациента
Пациент добровольно подписал информированное согласие на публикацию персональной медицинской информации в обезличенной форме в медицинском журнале. Родная сестра пациента подписала информированное согласие на публикацию персональной медицинской информации в обезличенной форме в журнале «Альманах клинической медицины».
Финансирование
Работа выполнена по инициативе авторов без привлечения финансирования.
Конфликт интересов
Авторы декларируют отсутствие явных и потенциальных конфликтов интересов, связанных с содержанием настоящей статьи.
Участие авторов
О.А. Георгинова – ведение пациента, проведение дифференциальной диагностики, установление окончательного диагноза, назначение лечения в рамках заболевания, написание текста; Е.А. Макаров и В.Г. Авдеев – редактирование текста; А.А. Будко – ведение пациента, подготовка текста; Р.М. Горбунов и М.Л. Плотникова – обследование пациента, редактирование текста; Т.Н. Краснова – обсуждение рукописи, утверждение итогового варианта текста рукописи. Все авторы прочли и одобрили финальную версию статьи перед публикацией, согласны нести ответственность за все аспекты работы и гарантируют, что ими надлежащим образом были рассмотрены и решены вопросы, связанные с точностью и добросовестностью всех частей работы.
About the authors
Olga A. Georginova
Lomonosov Moscow State University
Author for correspondence.
Email: olga.georginova@gmail.com
ORCID iD: 0000-0002-7542-8189
MD, PhD, Rheumatologist, Associate Professor, Chair of Internal Diseases, Faculty of Fundamental Medicine
Russian Federation, Leninskie Gory 1, Moscow, 119991Egor A. Makarov
Lomonosov Moscow State University
Email: embrevas1507@gmail.com
ORCID iD: 0000-0002-2387-9930
MD, PhD, Assistant Professor, Chair of Internal Diseases, Faculty of Fundamental Medicine
Russian Federation, Leninskie Gory 1, Moscow, 119991Anton A. Budko
Lomonosov Moscow State University
Email: anton-budko@mail.ru
ORCID iD: 0000-0002-7362-176X
Resident Physician, Chair of Internal Diseases, Faculty of Fundamental Medicine
Russian Federation, Leninskie Gory 1, Moscow, 119991Vladimir G. Avdeev
Lomonosov Moscow State University
Email: avdeevvg@gmail.com
ORCID iD: 0000-0001-7901-6635
MD, PhD, Associate Professor, Chair of Internal Diseases, Faculty of Fundamental Medicine; Gastroenterologist, Medical Research and Educational Center
Russian Federation, Leninskie Gory 1, Moscow, 119991Roman M. Gorbunov
Lomonosov Moscow State University
Email: gorbunov.roman82@gmail.com
ORCID iD: 0000-0001-8122-1275
Ultrasound Physician, Medical Research and Educational Center
Russian Federation, Leninskie Gory 1, Moscow, 119991Maria L. Plotnikova
Lomonosov Moscow State University
Email: mashamotyleva@mail.ru
ORCID iD: 0000-0001-7533-9867
Roentgenologist, Medical Research and Educational Center
Russian Federation, Leninskie Gory 1, Moscow, 119991Tatiana N. Krasnova
Lomonosov Moscow State University
Email: krasnovamgu@yandex.ru
ORCID iD: 0000-0001-6175-1076
MD, PhD, Head of Chair of Internal Diseases, Faculty of Fundamental Medicine
Russian Federation, Leninskie Gory 1, Moscow, 119991References
- Xu H, Yin J. HLA risk alleles and gut microbiome in ankylosing spondylitis and rheumatoid arthritis. Best Pract Res Clin Rheumatol. 2019;33(6):101499. doi: 10.1016/j.berh.2020.101499.
- Sieper J, Rudwaleit M, Baraliakos X, Brandt J, Braun J, Burgos-Vargas R, Dougados M, Hermann KG, Landewé R, Maksymowych W, van der Heijde D. The Assessment of SpondyloArthritis international Society (ASAS) handbook: a guide to assess spondyloarthritis. Ann Rheum Dis. 2009;68 Suppl 2:ii1–44. doi: 10.1136/ard.2008.104018.
- Aletaha D, Neogi T, Silman AJ, Funovits J, Felson DT, Bingham CO 3rd, Birnbaum NS, Burmester GR, Bykerk VP, Cohen MD, Combe B, Costenbader KH, Dougados M, Emery P, Ferraccioli G, Hazes JM, Hobbs K, Huizinga TW, Kavanaugh A, Kay J, Kvien TK, Laing T, Mease P, Ménard HA, Moreland LW, Naden RL, Pincus T, Smolen JS, Stanislawska-Biernat E, Symmons D, Tak PP, Upchurch KS, Vencovský J, Wolfe F, Hawker G. 2010 Rheumatoid arthritis classification criteria: an American College of Rheumatology/European League Against Rheumatism collaborative initiative. Arthritis Rheum. 2010;62(9):2569–2581. doi: 10.1002/art.27584.
- Shelygin YuA, Ivashkin VT, Belousova EA, Reshetov IV, Maev IV, Achkasov SI, Abdulganieva DI, Alekseeva OA, Bakulin IG, Barysheva OYu, Bolikhov KV, Vardanyan AV, Veselov AV, Veselov VV, Golovenko OV, Gubonina IV, Denisenko VL, Dolgushina AI, Kashnikov VN, Knyazev OV, Kostenko NV, Lakhin AV, Makarchuk PA, Moskalev AI, Nanaeva BA, Nikitin IG, Nikitina NV, Odintsova AKh, Omelyanovskiy VV, Оshchepkov AV, Pavlenko VV, Poluektova EA, Sitkin SI, Sushkov OI, Tarasova LV, Tkachev AV, Тimerbulatov VM, Uspenskaya YuB, Frolov SA, Khlynova OV, Chashkova EYu, Chesnokova OV, Shapina MV, Sheptulin AA, Shifrin OS, Shkurko TV, Shchukina OB. Ulcerative colitis (K51), adults. Koloproktologia [Coloproctology]. 2023;22(1):10–44. doi: 10.33878/2073-7556-2023-22-1-10-44.
- Maddison PJ. Mixed connective tissue disease: overlap syndromes. Baillieres Best Pract Res Clin Rheumatol. 2000;14(1):111–124. doi: 10.1053/berh.1999.0080.
- Beuers U, Rust C. Overlap syndromes. Semin Liver Dis. 2005;25(3):311–320. doi: 10.1055/s-2005-916322.
- Erdes ShF. [History of ankylosing spondylitis: the journey from dinosaurs to ASAS]. Rheumatology Science and Practice. 2014;52(1):110–114. Russian. doi: 10.14412/1995-4484-2014-110-114.
- Fallet GH, Mason M, Berry H, Mowat AG, Boussina I, Gerster J. Rheumatoid arthritis and ankylosing spondylitis occurring together. Br Med J. 1976;1(6013):804–807. doi: 10.1136/bmj.1.6013.804.
- van der Horst-Bruinsma IE, Lems WF, Dijkmans BA. A systematic comparison of rheumatoid arthritis and ankylosing spondylitis. Clin Exp Rheumatol. 2009;27(4 Suppl 55):S43–S49.
- Barczyńska TA, Węgierska M, Żuchowski P, Dura M, Zalewska J, Waszczak M, Jeka S. Coexistence of rheumatoid arthritis and ankylosing spondylitis. Reumatologia. 2015;53(5):279–285. doi: 10.5114/reum.2015.55832.
- Jalan KN, Prescott RJ, Walker RJ, Sircus W, McManus JP, Card WI. Arthropathy, ankylosing spondylitis, and clubbing of fingers in ulcerative colitis. Gut. 1970;11(9):748–754. doi: 10.1136/gut.11.9.748.
- Macrae I, Wright V. A family study of ulcerative colitis. With particular reference to ankylosing spondylitis and sacroiliitis. Ann Rheum Dis. 1973;32(1):16–20. doi: 10.1136/ard.32.1.16.
- van Erp SJ, Brakenhoff LK, van Gaalen FA, van den Berg R, Fidder HH, Verspaget HW, Huizinga TW, Veenendaal RA, Wolterbeek R, van der Heijde D, van der Meulen-de Jong AE, Hommes DW. Classifying Back Pain and Peripheral Joint Complaints in Inflammatory Bowel Disease Patients: A Prospective Longitudinal Follow-up Study. J Crohns Colitis. 2016;10(2):166–175. doi: 10.1093/ecco-jcc/jjv195.
- McEwen C, DiTata D, Lingg C, Porini A, Good A, Rankin T. Ankylosing spondylitis and spondylitis accompanying ulcerative colitis, regional enteritis, psoriasis and Reiter's disease. A comparative study. Arthritis Rheum. 1971;14(3):291–318. doi: 10.1002/art.1780140302.
- Jayson MI, Bouchier IA. Ulcerative colitis with ankylosing spondylitis. Ann Rheum Dis. 1968;27(3):219–224. doi: 10.1136/ard.27.3.219.
- Bouchra A, Benbouazza K, Hajjaj-Hassouni N. Guillain-Barre in a patient with ankylosing spondylitis secondary to ulcerative colitis on infliximab therapy. Clin Rheumatol. 2009;28 Suppl 1:S53–S55. doi: 10.1007/s10067-009-1154-7.
- Zvaifler NJ, Martel W. Spondylitis in chronic ulcerative colitis. Arthritis Rheum. 1960;3:76–87. doi: 10.1002/art.1780030109.
- Adams SM, Bornemann PH. Ulcerative colitis. Am Fam Physician. 2013;87(10):699–705.
- Chen Y, Chen L, Xing C, Deng G, Zeng F, Xie T, Gu L, Yang H. The risk of rheumatoid arthritis among patients with inflammatory bowel disease: a systematic review and meta-analysis. BMC Gastroenterol. 2020;20(1):192. doi: 10.1186/s12876-020-01339-3.
- Chua KH, Lian LH, Khor WC, Lee WS, Hilmi I, Goh KL, Kee BP. Association between genetic polymorphisms in interferon regulatory factor 5 (IRF5) gene and Malaysian patients with Crohn's disease. J Dig Dis. 2015;16(4):205–216. doi: 10.1111/1751-2980.12229.
- Festen EA, Goyette P, Scott R, Annese V, Zhernakova A, Lian J, Lefèbvre C, Brant SR, Cho JH, Silverberg MS, Taylor KD, de Jong DJ, Stokkers PC, Mcgovern D, Palmieri O, Achkar JP, Xavier RJ, Daly MJ, Duerr RH, Wijmenga C, Weersma RK, Rioux JD. Genetic variants in the region harbouring IL2/IL21 associated with ulcerative colitis. Gut. 2009;58(6):799–804. doi: 10.1136/gut.2008.166918.
- Khoyratty TE, Udalova IA. Diverse mechanisms of IRF5 action in inflammatory responses. Int J Biochem Cell Biol. 2018;99:38–42. doi: 10.1016/j.biocel.2018.03.012.
- Shui JW, Steinberg MW, Kronenberg M. Regulation of inflammation, autoimmunity, and infection immunity by HVEM-BTLA signaling. J Leukoc Biol. 2011;89(4):517–523. doi: 10.1189/jlb.0910528.
- Stahl EA, Raychaudhuri S, Remmers EF, Xie G, Eyre S, Thomson BP, Li Y, Kurreeman FA, Zhernakova A, Hinks A, Guiducci C, Chen R, Alfredsson L, Amos CI, Ardlie KG; BIRAC Consortium; Barton A, Bowes J, Brouwer E, Burtt NP, Catanese JJ, Coblyn J, Coenen MJ, Costenbader KH, Criswell LA, Crusius JB, Cui J, de Bakker PI, De Jager PL, Ding B, Emery P, Flynn E, Harrison P, Hocking LJ, Huizinga TW, Kastner DL, Ke X, Lee AT, Liu X, Martin P, Morgan AW, Padyukov L, Posthumus MD, Radstake TR, Reid DM, Seielstad M, Seldin MF, Shadick NA, Steer S, Tak PP, Thomson W, van der Helm-van Mil AH, van der Horst-Bruinsma IE, van der Schoot CE, van Riel PL, Weinblatt ME, Wilson AG, Wolbink GJ, Wordsworth BP; YEAR Consortium; Wijmenga C, Karlson EW, Toes RE, de Vries N, Begovich AB, Worthington J, Siminovitch KA, Gregersen PK, Klareskog L, Plenge RM. Genome-wide association study meta-analysis identifies seven new rheumatoid arthritis risk loci. Nat Genet. 2010;42(6):508–514. doi: 10.1038/ng.582.
- Ni J, Wu GD, Albenberg L, Tomov VT. Gut microbiota and IBD: causation or correlation? Nat Rev Gastroenterol Hepatol. 2017;14(10):573–584. doi: 10.1038/nrgastro.2017.88.
- Round JL, Mazmanian SK. Inducible Foxp3+ regulatory T-cell development by a commensal bacterium of the intestinal microbiota. Proc Natl Acad Sci U S A. 2010;107(27):12204–12209. doi: 10.1073/pnas.0909122107.
- Yeoh N, Burton JP, Suppiah P, Reid G, Stebbings S. The role of the microbiome in rheumatic diseases. Curr Rheumatol Rep. 2013;15(3):314. doi: 10.1007/s11926-012-0314-y.
- Wu HJ, Ivanov II, Darce J, Hattori K, Shima T, Umesaki Y, Littman DR, Benoist C, Mathis D. Gut-residing segmented filamentous bacteria drive autoimmune arthritis via T helper 17 cells. Immunity. 2010;32(6):815–827. doi: 10.1016/j.immuni.2010.06.001.
- Guo Q, Wang Y, Xu D, Nossent J, Pavlos NJ, Xu J. Rheumatoid arthritis: pathological mechanisms and modern pharmacologic therapies. Bone Res. 2018;6:15. doi: 10.1038/s41413-018-0016-9.
Supplementary files








