Difficulty in the differential diagnosis of peritoneal carcinomatosis and tuberculosis in a young female patient with ascites: a case report
- Authors: Nefedova T.S.1, Shumskaya Y.F.2, Yurazh M.V.1, Panferov A.S.1, Senchikhin P.V.1,3, Grabarnik A.E.4, Shchekoturov I.O.1, Mnatsakanyan M.G.1
-
Affiliations:
- The First Sechenov Moscow State Medical University
- Research and Practical Clinical Center for Diagnostics and Telemedicine Technologies
- National Medical Research Center for Phthisiopulmonology and Infectious Diseases
- Moscow Scientific and Clinical Center for Tuberculosis Control
- Issue: Vol 4, No 4 (2023)
- Pages: 643-652
- Section: Case reports
- URL: https://journal-vniispk.ru/DD/article/view/262992
- DOI: https://doi.org/10.17816/DD568134
- ID: 262992
Cite item
Abstract
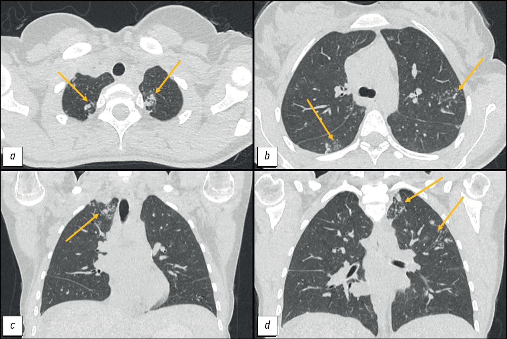
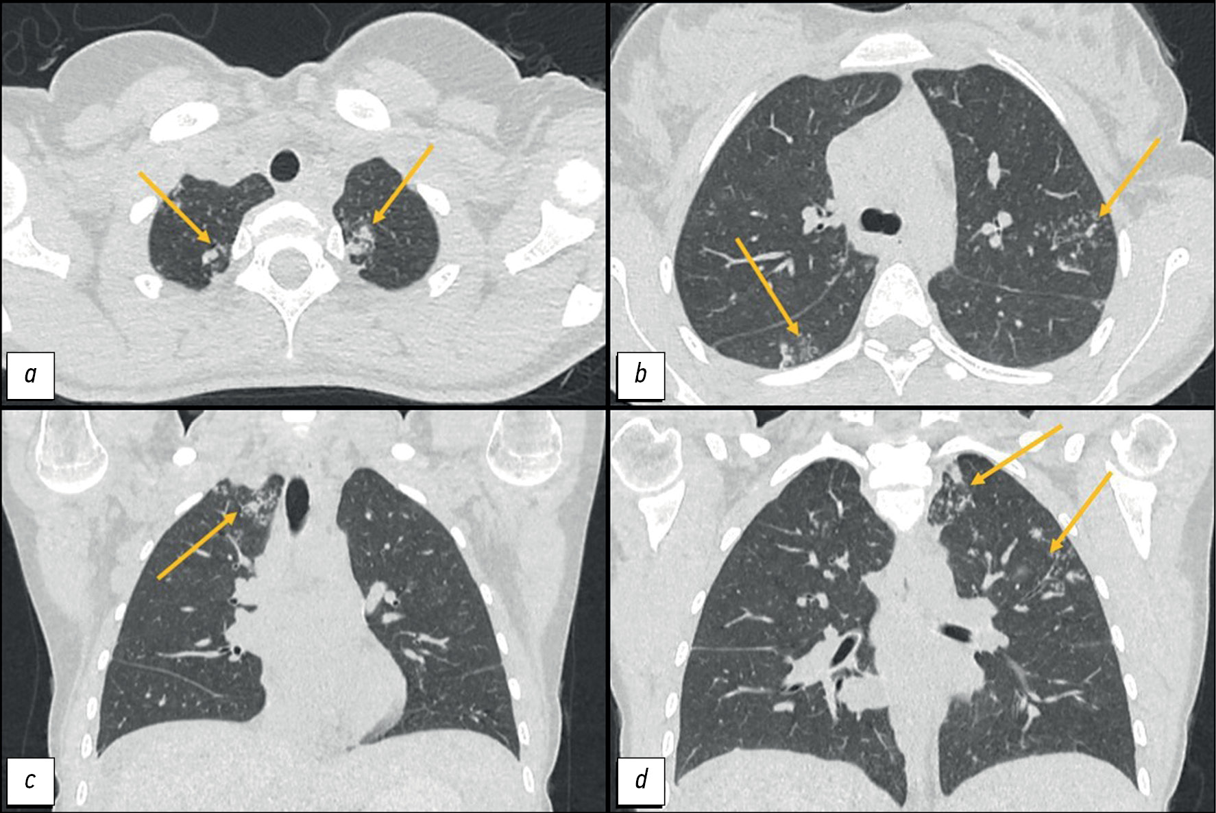
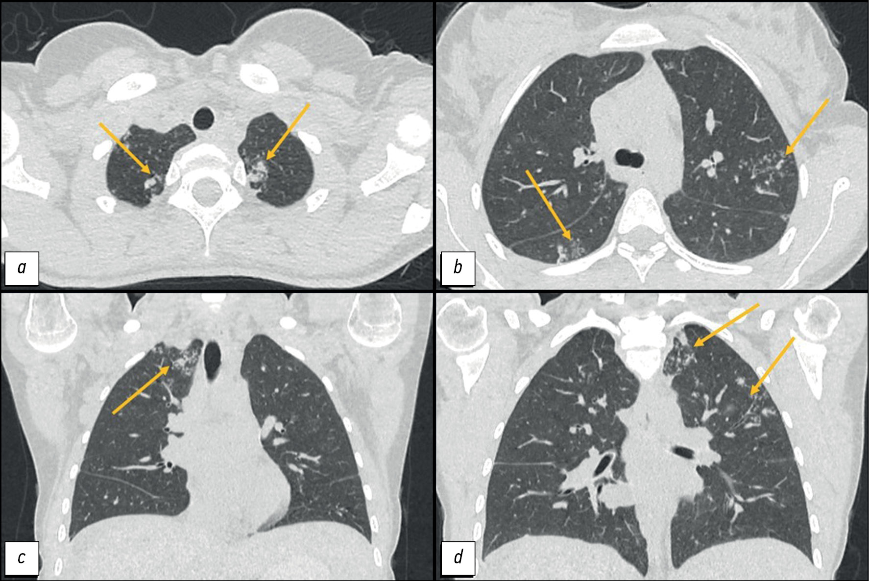
The differential diagnosis between peritoneal tuberculosis and peritoneal carcinomatosis is quite challenging because of the similarity of the clinical picture and laboratory and instrumental examination data. Peritoneal tuberculosis and peritoneal carcinomatosis may present with the development of ascites, lymph nodes, and intestinal loop conglomerates. This article presents the clinical case of a young patient who, after her second childbirth, noted the appearance of intense pain in the neck and between the scapulae. Two months later, she experienced pneumonia with a positive reaction to antibiotic therapy. After another 2 months, she experienced recurrent ascites and gastrointestinal symptoms for the first time. The examination revealed ovarian masses and signs of peritoneal carcinomatosis and lung nodules. However, the clinical presentation was atypical for peritoneal carcinomatosis, and lung lesions were suspicious for tuberculosis, which allowed us to hypothesize the presence of tuberculosis of multiple localizations. The diagnosis was confirmed by laparoscopy with a biopsy of the involved tissues and subsequent histological and laboratory confirmation of the etiological role of Mycobacterium tuberculosis. The described case demonstrates the importance of using all available diagnostic methods to establish the causes of ascites in young female patients for differential diagnosis between specific and neoplastic etiologies.
Full Text
##article.viewOnOriginalSite##About the authors
Tamara S. Nefedova
The First Sechenov Moscow State Medical University
Email: prosto.toma.22@gmail.com
ORCID iD: 0000-0002-6718-8701
SPIN-code: 3097-4977
Russian Federation, Moscow
Yuliya F. Shumskaya
Research and Practical Clinical Center for Diagnostics and Telemedicine Technologies
Author for correspondence.
Email: yu.shumskaia@npcmr.ru
ORCID iD: 0000-0002-8521-4045
SPIN-code: 3164-5518
Russian Federation, Moscow
Marta V. Yurazh
The First Sechenov Moscow State Medical University
Email: yurazh_m_v@staff.sechenov.ru
ORCID iD: 0000-0001-6759-6820
SPIN-code: 4872-7130
Russian Federation, Moscow
Alexandr S. Panferov
The First Sechenov Moscow State Medical University
Email: panferov_a_s@staff.sechenov.ru
ORCID iD: 0000-0002-4324-7615
SPIN-code: 5747-9842
MD, Cand. Sci. (Med.), Assistant Professor
Russian Federation, MoscowPavel V. Senchikhin
The First Sechenov Moscow State Medical University; National Medical Research Center for Phthisiopulmonology and Infectious Diseases
Email: paulus200271@mail.ru
ORCID iD: 0000-0003-0496-4504
SPIN-code: 8293-6144
MD, Cand. Sci. (Med.)
Russian Federation, Moscow; MoscowAlexei E. Grabarnik
Moscow Scientific and Clinical Center for Tuberculosis Control
Email: a.grabarnik@mail.ru
ORCID iD: 0009-0009-4885-3321
SPIN-code: 5923-8630
MD, Cand. Sci. (Med.)
Russian Federation, MoscowIgor O. Shchekoturov
The First Sechenov Moscow State Medical University
Email: samaramail@bk.ru
ORCID iD: 0000-0002-2167-8908
SPIN-code: 6885-6834
MD, Cand. Sci. (Med.)
Russian Federation, MoscowMarina G. Mnatsakanyan
The First Sechenov Moscow State Medical University
Email: mnatsakanyan08@mail.ru
ORCID iD: 0000-0001-9337-7453
SPIN-code: 2015-1822
MD, Dr. Sci. (Med.), Professor
Russian Federation, MoscowReferences
- Hopewell PC, Jasmer RM. Overview of clinical tuberculosis. In: Tuberculosis and the tubercle bacillus. 2004:13–31. doi: 10.1128/9781555817657.ch2
- Oge T, Ozalp SS, Yalcin OT, et al. Peritoneal tuberculosis mimicking ovarian cancer. European Journal of Obstetrics & Gynecology and Reproductive Biology. 2012;162(1):105–108. doi: 10.1016/j.ejogrb.2012.02.010
- Nissim O, Ervin FR, Dorman SE, Jandhyala D. A Case of Peritoneal Tuberculosis Mimicking Ovarian Cancer in a Young Female. Case Reports in Obstetrics and Gynecology. 2022;2022. doi: 10.1155/2022/4687139
- Zhou XX, Liu Y-L, Zhai K, Shi H-Z, Tonga Z-H. Body fluid interferon-γ release assay for diagnosis of extrapulmonary tuberculosis in adults: a systematic review and meta-analysis. Scientific Reports. 2015;5(1):15284. doi: 10.1038/srep15284
- Barber MS, Aronson JK, von Schoen-Angerer T, et al. CARE guidelines for case reports: explanation and elaboration document. Translation into Russian. Digital Diagnostics. 2022;3(1):16–42. doi: 10.17816/DD105291
- Gudu W. Isolated ovarian tuberculosis in an Immuno-competent woman in the post partum period: case report. Journal of Ovarian Research. 2018;11:1–4. doi: 10.1186/s13048-018-0472-2
- Chen IH, Torng P-L, Lee C-Y, et al. Diagnosis of peritoneal tuberculosis from primary peritoneal cancer. International Journal of Environmental Research and Public Health. 2021;18(19):10407. doi: 10.3390/ijerph181910407
- Maheshwari A, Gupta S, Rai S, et al. Clinical and laboratory characteristics of patients with peritoneal tuberculosis mimicking advanced ovarian cancer. South Asian Journal of Cancer. 2021;10(2):102–106. doi: 10.1055/s-0041-1736030
- Zhou R, Qiu X, Ying J, et al. Diagnostic performance of adenosine deaminase for abdominal tuberculosis: A systematic review and meta-analysis. Frontiers in Public Health. 2022;10:938544. doi: 10.3389/fpubh.2022.938544
- EL-Deeb M, Malwany HEL, Khalil Y, Mourad S, et al. Interferon Gamma Release Assays (IGRA) in the Diagnosis of Active Pulmonary Tuberculosis. Journal of High Institute of Public Health. 2014;44(1):33–40. doi: 10.21608/JHIPH.2014.20355
- Ramanan RV, Venu V. Differentiation of peritoneal tuberculosis from peritoneal carcinomatosis by the Omental Rim sign. A new sign on contrast enhanced multidetector computed tomography. European Journal of Radiology. 2019;113:124–134. doi: 10.1016/j.ejrad.2019.02.019
- Kattan J, Haddad FGh, Menassa-Moussa L, et al. Peritoneal tuberculosis: A forsaken yet misleading diagnosis. Case Reports in Oncological Medicine. 2019;2019. doi: 10.1155/2019/5357049
- Debi U, Ravisankar V, Prasad KK, et al. Abdominal tuberculosis of the gastrointestinal tract: revisited. World Journal of Gastroenterology. 2014;20(40):14831. doi: 10.3748/wjg.v20.i40.14831
- Purbadi S, Indarti J, Winarto H, et al. Peritoneal tuberculosis mimicking advanced ovarian cancer case report: Laparoscopy as diagnostic modality. International Journal of Surgery Case Reports. 2021;88:106495. doi: 10.1016/j.ijscr.2021.106495
- Huang B, Cui DJ, Ren Y, et al. Comparison between laparoscopy and laboratory tests for the diagnosis of tuberculous peritonitis. Turkish journal of medical sciences. 2018;48(4):711–715. doi: 10.3906/sag-1512-147
Supplementary files





