Vol 4, No 4 (2023)
- Year: 2023
- Articles: 14
- URL: https://journal-vniispk.ru/DD/issue/view/16848
- DOI: https://doi.org/10.17816/DD.44
Original Study Articles
Comparison of multiparametric and biparametric magnetic resonance imaging protocols for prostate cancer diagnosis by radiologists with different experience
Abstract
BACKGROUND: Magnetic resonance imaging can detect clinically significant prostate cancer and diagnose extracapsular extension and cancer stage. A scanning protocol that includes only T2-weighted and diffusion-weighted images represents a viable alternative to multiparametric magnetic resonance imaging provided that the high diagnostic accuracy of the test is maintained. In recent studies, biparametric and multiparametric magnetic resonance imaging demonstrated slight differences in the diagnostic accuracy in detecting prostate cancer.
AIM: To compare the diagnostic accuracy of biparametric and multiparametric magnetic resonance imaging for the detection of clinically significant prostate cancer using PI-RADS v2.1 with magnetic resonance imaging-guided multifocal biopsy as the gold standard.
MATERIALS AND METHODS: This retrospective study initially processed the medical records of 126 patients. The inclusion criteria were as follows: presence of PI-RADS 2.1 multiparametric magnetic resonance imaging, clinical information on free and bound prostate-specific antigen blood levels, a multifocal prostate biopsy performed, and a time interval between magnetic resonance imaging and biopsy of no more than 14 days. Three investigators (radiologists with <2, 2–5, and >5 years of experience) independently evaluated biparametric magnetic resonance imaging of the prostate for the presence of pathological foci. After 2 weeks, the researchers evaluated the multiparametric magnetic resonance imaging dataset of the prostate. Each lesion detected, starting from PI-RADS category 3, was compared with the result of a multifocal fusion biopsy. The biopsy result was presented as a sum of Gleason scores, and a Gleason score of ≥7 was considered clinically relevant. According to magnetic resonance imaging data, findings meeting PI-RADS criteria 4 and 5 were considered tumor foci.
RESULTS: The best values of sensitivity and specificity of foci detection on magnetic resonance imaging of the prostate gland were 62.5% and 74.6%, respectively. The highest diagnostic accuracy achieved was 70.1%. Magnetic resonance imaging had higher specificity rates for detecting prostatic foci when interpreted by radiologists with 2 years and >5 years of experience.
CONCLUSION: Both biparametric and multiparametric magnetic resonance imaging of the prostate demonstrated suboptimal diagnostic accuracy. The sensitivity and specificity of the method tended to improve with increasing experience of the radiologist. Biparametric protocols of prostate scanning have a definite economic advantage over multiparametric protocols because of the absence of contrast agents and consumables and a significant decrease in magnetic resonance scanner loading time; however, their use can lead to a decrease in the diagnostic accuracy of the method.



Structural gray matter changes in primary progressive aphasia variants
Abstract
BACKGROUND: Primary progressive aphasia is a rare neurodegenerative disease with high clinical, genetic, and pathomorphological heterogeneity that greatly complicates its diagnosis. Voxel-based morphometry can be used to objectively assess structural gray matter changes and determine atrophy patterns in variants of primary progressive aphasia, which can improve the diagnosis and our understanding of its pathogenesis.
AIMS: This study aimed to evaluate the patterns of atrophy in each of the primary progressive aphasia variants in comparison with the control group.
MATERIALS AND METHODS: Patients diagnosed with one of the primary progressive aphasia variants, established in accordance with the current diagnostic criteria, were included in the main group. The control group consisted of healthy volunteers without any neurological symptoms or structural brain changes. All participants underwent brain magnetic resonance imaging. The obtained images were processed and used for voxel-based morphometry, which was performed by comparing the gray matter volume between each of the primary progressive aphasia variants and the control group. The study was adjusted for the sex, age, and intracranial volume of the participants.
RESULTS: The study enrolled 25 patients with nonfluent, 11 with semantic, and 9 with logopenic variants of primary progressive aphasia, as well as 20 healthy volunteers. Voxel-based morphometry showed a specific atrophy pattern in each of the variants of primary progressive aphasia, with predominant involvement of the frontal and insular lobes in nonfluent, temporal lobe and hippocampus in semantic, and a more diffuse frontotemporal pattern in logopenic variants.
CONCLUSIONS: The study revealed gray matter atrophy patterns specific to each variant of primary progressive aphasia. The obtained results mainly correspond to the clinical presentations of the disease. Moreover, some findings (e.g., absence of the posterior perisylvian atrophy and reduced motor cortex volume in the logopenic variant, atrophy of the orbitofrontal cortex and cerebellum in the nonfluent variant, and premotor cortex, precentral, and inferior frontal gyrus degeneration in the semantic variant) do not correlate with the usual understanding of primary progressive aphasia pathogenesis and require further study.



Delphi method to determine a list of questionnaire-assessed parameters in the follow-up of patients with inflammatory bowel disease
Abstract
BACKGROUND: Patients with inflammatory bowel disease often require lifelong follow-up by a clinician. Telemedicine monitoring is a promising area of such healthcare services, often based on the evaluation of patients’ remote questionnaire results by a medical practitioner.
AIM: To define, using the Delphi method, a list of questionnaire-assessed parameters for monitoring and treating patients with IBD.
MATERIALS AND METHODS: The study was conducted in three stages. An electronic survey form was created to collect information, ensuring that the respondent’s experience was included when completing the survey. In the first stage, respondents answered an open-ended question about what parameters assessed by questionnaires should be monitored in patients with IBD. In the second stage, participants answered the same question but selected any number of items from a list. In the third stage, the responses were analyzed. The primary endpoint was a consensus on each parameter, defined as >75% respondent agreement.
RESULTS: The study had 15 participants, 13.3% of whom were male. Of all respondents, 46% worked in an outpatient setting, whereas 54% worked in an inpatient setting. Their ages ranged from 25 to 53 years, with 53% of the participants having 1–4 years of experience and 47% having 17–29 years of experience. None of the parameters reached a 75% agreement level based on the results of the first stage. In the second stage, respondents reached a consensus on 72% of the parameters. No relationship was found between respondents’ age, sex, years of experience, or job settings and responses in the first and second stages.
CONCLUSIONS: The final list of parameters recommended for evaluation during the monitoring and treatment of patients with IBD included abdominal pain, frequency of defecation and stool quality, presence of pathological stool impurities, body temperature, joint/muscle pain, sleep quality, anxiety, depression, work capacity for employed/ability to attend lessons for students, energy and quantity of vigor, fixation on the disease, patients’ general evaluation of their quality of life, and treatment adherence.



Virtual platform for computer simulation of radionuclide imaging in nuclear cardiology: Comparison with clinical data
Abstract
BACKGROUND: In radionuclide imaging, in vivo human clinical studies are limited because of radiation exposure and ethical concerns; therefore, mathematical modeling and in silico computer simulations based on digital models are becoming increasingly important. In the English-language literature, this approach is called “virtual clinical trials.”
AIMS: This study aimed to develop software tools for the simulation of radionuclide visualization of myocardial perfusion by single-photon emission computed tomography combined with computed tomography using 99mTc-MIBI as the radiopharmaceutical and perform studies aimed at improving the accuracy of single-photon emission computed tomography.
MATERIALS AND METHODS: A software package “Virtual platform for simulations of single-photon emission computed tomography combined with computed tomography method in nuclear cardiology” was developed using digital patient models, a scanner, and assessment of the state of the myocardium using digital images of the left ventricle in the form of a “polar map.” Verification of the software package was performed by comparison with clinical data obtained at the National Medical Research Center of Cardiology Named After Academician E.I. Chazov (Moscow). Simulation computer tests were performed, in which the accuracy of assessing the state of the myocardium was assessed, depending on the approach to normalizing the polar map and corrective factors in the reconstruction algorithm.
RESULTS: The results of the simulation tests revealed that the assessment of left ventricular myocardial perfusion significantly depended on the method of normalizing the polar map and considered corrective factors in the reconstruction algorithm. The most accurate estimates were obtained by calculating the normalization coefficient from the average value of activity in the normal zone of the myocardium. The common approach to pixel normalization with maximum intensity can lead to errors. The results of the virtual trials were fully consistent with clinical observations.
CONCLUSIONS: The transition from relative normalized values of activity in the myocardium to absolute quantitative estimates may eliminate existing limitations and uncertainties and is the main condition for improving the diagnostic accuracy of single-photon emission computed tomography combined with computed tomography in nuclear cardiology.



Systematic reviews
99mTc-MIBI washout rate as a marker of myocardial mitochondrial dysfunction: A systematic review and meta-analysis
Abstract
BACKGROUND: This review outlines the features of the pharmacokinetics of the perfusion radiopharmaceutical 99mTc-MIBI, which allows the assessment of myocardial mitochondrial dysfunction, and shows the main clinical applications of the phenomenon of increased 99mTc-MIBI washout rate.
AIM: To systematize the data of fundamental (experimental) and clinical studies evaluating and estimating mitochondrial dysfunction according to myocardial perfusion scintigraphy data and perform meta-analysis of clinical studies in this field.
MATERIALS AND METHODS: PubMed, Scopus, Google Scholar, and eLibrary databases were searched until mid-2023. The following keywords, their combinations, and Russian-language counterparts were used: mitochondrial dysfunction, 99mTc-MIBI, 99mTc-Tetrofosmin, myocardial perfusion scintigraphy, reverse redistribution, washout, and washout rate. In the meta-analysis, a random-effects model was used to calculate the mean difference estimate.
RESULTS: Forty articles were selected for systematic analysis: 13 were experimental, 24 were original clinical papers, 2 were clinical cases, and 1 was a review. Six studies using a case–control design were selected for the meta-analyses. The total number of patients in the systematic review and meta-analysis were 551 and 196, respectively. In the analysis of the literature, the severity of the reverse redistribution phenomenon and 99mTc-MIBI washout rate correlated with mitochondrial and myocardial microstructure, left ventricular contractility and hemodynamics, natriuretic peptide levels, exercise tolerance, coronary atherosclerosis severity, myocardial oxidative metabolism, and risk of cardiovascular events. The meta-analysis showed that the washout rate was statistically significantly accelerated in individuals with cardiac pathologies, relative to controls (mean difference score, 9.5771 [95%]; confidence interval, 6.6001–12.5540; z=6.3053, p <0.0001).
CONCLUSION: The assessment of mitochondrial function by 99mTc-MIBI washout evaluation may provide additional insights into the functional status of cardiac muscles.



Magnetic resonance imaging for the differential diagnosis of primary extra-axial brain tumors: a review of radiomic studies
Abstract
BACKGROUND: The analysis of magnetic resonance imaging data is considered the main method for the preoperative differential diagnosis of primary extra-axial tumors. However, the exact distinction of different primary extra-axial tumors based only on visual rating can be challenging. Radiomics is a quantitative method of analyzing medical image data, which allows us to understand and observe the connection between visual data and phenotypic and genotypic features of tumors. Earlier, several publications presented generalized results of research aimed at the differential diagnosis of primary extra-axial tumors based on the principles of radiomics. Fast accumulation of new clinical cases and increasing of the amounts of research on these cases demonstrate the need for their further analysis and systematization, which has led to this review.
AIM: To conduct a systematic analysis of existing data on radiomics potential for the differential diagnosis of primary extra-axial tumors.
MATERIALS AND METHODS: The search for publications over the past 5 years in Russian and English was conducted in PubMed/Medline, Google Scholar, and еLibrary databases. The final analysis included 19 papers on the differential diagnosis of extra-axial tumors. The included publications provided radiomic features used for the differential diagnosis of neoplasms.
RESULTS: All studies demonstrated the existence of a connection between radiomic parameters (textural and histogram) and tumor type. The effectiveness of tumor differential diagnostics with radiomic models exceeded the neoplasm classification made by radiologists. The most frequently used algorithms for creating mathematical models of tumor classification based on radiomic parameters were the reference vector method, logistic regression, and random forest.
CONCLUSION: The use of the radiomic concept shows promising results in the differential diagnosis of primary extra-axial tumors. Further development in this area demands the standardization of both the segmentation method and the set of features and an effective method of mathematics modeling.



Reviews
Preparation for radioiodine therapy in patients with differentiated thyroid cancer: a modern perspective (a review)
Abstract
Thyroid cancer is the most prevalent tumor of the endocrine system, accounting for 1%–3% of all malignant neoplasms as of 2021. Differentiated forms, papillary and follicular, with a relatively favorable prognosis, are detected in 90% of cases. The combination of surgical treatment, subsequent suppressive hormonal therapy, and radioiodine therapy provides a favorable prognosis in patients with differentiated thyroid cancer. However, an insufficient response to radioiodine therapy may be possible, which may be associated with multiple factors, including the preparation step for radioiodine therapy. To date, the question of choosing the optimal method of patient preparation remains relevant. This paper presents a review of the scientific literature on the preparation of patients with differentiated thyroid cancer for radioiodine therapy. The principles of preparation are based on the recommendations of leading expert societies, and publications related to this topic are highlighted and summarized, including the adverse events associated with radioiodine therapy, quality of life, efficacy, and long-term results of treatment. The main purpose of this review was to provide a comprehensive insight into the methods of preparing a patient with differentiated thyroid cancer for radioiodine therapy, highlight existing problems and promising areas of research, and modernize treatment toward personalized therapy. Scientific articles and reviews from the National Library of Medicine, Cochrane Library, and Google Scholar databases, published up to the end of January 2023, were searched by the keywords listed below in their various combinations. Recommendations from the following scientific communities were used: Russian Clinical Guidelines for Differentiated Thyroid Cancer, American Thyroid Association, European Thyroid Association, National Comprehensive Cancer Network, European Association of Nuclear Medicine, British Thyroid Association, and European Society for Medical Oncology. Articles not available in full, not in English or Russian, or systematic reviews of a similar topic, were excluded. In total, 124 sources were selected and analyzed, general tendencies of modern approaches to preparation for radioiodine therapy and actual problems were highlighted, concepts of optimization of preparation for radioiodine therapy within the framework of personalized therapy were covered, and results and conclusions were presented.



Anthropomorphic breast phantoms for radiology imaging: a review
Abstract
Phantoms are used to validate diagnostic imaging methods or improve the skills of medical professionals. For instance, they allow conducting an unlimited number of imaging studies during medical training, assessing image quality, optimizing radiation dose, and testing novel techniques and equipment. Researchers in breast imaging use anthropomorphic models to validate, assess, and optimize new methods for diagnosing breast diseases. Such models also facilitate control over the quality of diagnostic systems, help optimize clinical protocols, and improve image reconstruction algorithms. Realistic simulation of the breast tissue is essential to address the challenges of advancing X-ray mammary gland studies. The review aimed to describe phantoms currently available for diagnostic imaging and the way they were fabricated. In this literature review, PubMed, eLIBRARY, and Google Scholar databases were screened for relevant articles. Thus, 72 articles and 13 conference papers were included. The study two major types of breast phantoms: computational and physical. Specifically, computational phantoms are classified into subgroups depending on the data they use. These include mathematical models, tissue samples, and medical images of the breast. The classification of the physical phantoms is based on their manufacturing process: casting silicone-like substances, 3D printing with resins and plastics, or printing on paper using X-ray contrast ink. Computational phantoms are generally advantageous with respect to versatility, efficiency, precision, and safety and allow the generation of large amounts of virtual data. Physical phantoms provide the most realistic diagnostic images without the need for a patient and allow performing an unlimited number of radiological studies.



Technical Reports
Technological defects in software based on artificial intelligence
Abstract
BACKGROUND: Technological defects in the use of artificial intelligence software are critical when deciding on the practical applicability and clinical value of artificial intelligence software.
AIM: To conduct an analysis and systematization of technological defects occurring when artificial intelligence software analyzes medical images.
MATERIALS AND METHODS: As part of the experiment on the use of innovative computer vision technologies for the analysis of medical images and further application in the Moscow healthcare system, technological parameters of all artificial intelligence software are monitored at the testing and operation stages of the trial. This article presents graphical information on the average number of technological defects in mass mammography screening in 2021. This period was chosen as the most indicative and characterized by the active development of artificial intelligence software and increased technical stability of its performance. To assess the applicability of the analysis for technological defects, a similar analysis was conducted for the direction of detection of intracranial hemorrhage on computed tomography scans of the brain for 2022–2023.
RESULTS: During the study, artificial intelligence software used for mammography (two algorithms) and brain computed tomography (one algorithm) were analyzed. Fourteen mammography samples were collected for technological monitoring during the identified period, each from 20 studies, and 12 brain computed tomography samples were obtained, each from 80 studies. Graphs were constructed for each type of defect, and trend lines were plotted for each modality. The coefficients of the trend line equations indicate a downward tendency in the number of technological defects.
CONCLUSION: This analysis allows tracing a downward trend in the number of technological defects, which may indicate a refinement of artificial intelligence software and an increase in its quality because of periodic monitoring. It also shows the versatility of use for both preventive and emergency methods.



Case reports
Difficulties in myocarditis diagnosis: a case report
Abstract
Myocarditis is often difficult to diagnose. The diagnostic difficulties include nonspecific symptoms or a “vague” clinical picture, absence of pathognomonic signs during physical examination, and endomyocardial biopsy, which is the “gold standard” of diagnosis of myocarditis, being an invasive procedure that is performed under strict indications in certain patients. Nevertheless, as radiology is rapidly developing, clinicians are now able to noninvasively diagnose symptoms of inflammatory myocardial damage, including edema and myocardial fibrosis, using cardiac magnetic resonance imaging. This article presents the clinical case of a young patient with symptoms of acute coronary syndrome, who showed no evidence of coronary artery disease. Myocarditis was suspected because of increased activity of cardiospecific enzymes and high levels of inflammatory markers, pronounced electrocardiography changes with positive dynamics, and recent infection. Magnetic resonance imaging was used to confirm myocarditis diagnosis. Thus, this case study demonstrates the role of imaging techniques in the differential diagnosis of ischemic and inflammatory heart diseases.



“Rice bodies” symptoms on magnetic resonance imaging of the shoulder in a patient with rheumatoid arthritis
Abstract
The “rice bodies” symptom on magnetic resonance imaging of the shoulder joint in patients with rheumatoid arthritis is a rare but specific finding characterized by the presence of multiple small, round, rice-grain-like structures in the synovial fluid of the joint, synovial pouches, or sheaths. The etiology of the “rice bodies” is still not fully understood. They are suggested as the result of microinfarcts of the synovial membrane in patients with rheumatoid arthritis or other inflammatory joint diseases. Clinically, the “rice bodies” symptom may cause pain, but not in every case. Among radiological diagnostic methods, magnetic resonance imaging is the leading method for the detection of rice bodies. This article presents a clinical case of “rice bodies” symptoms diagnosed by magnetic resonance imaging in a patient with a long history of rheumatoid arthritis who presented with a painless enlargement in the left shoulder. Computed tomography and magnetic resonance imaging of the left shoulder could detect “rice bodies” as a manifestation of an underlying disease and determine further treatment techniques.



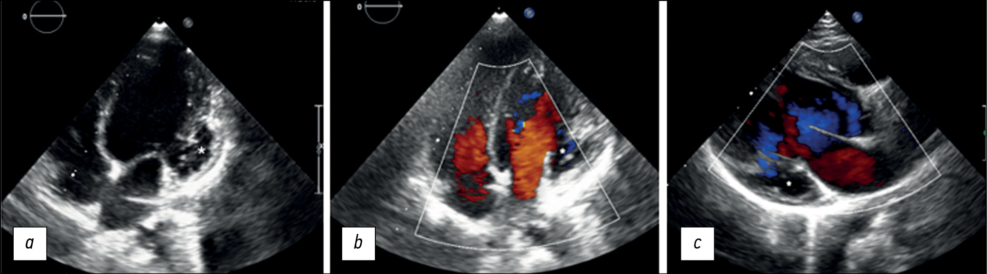
Left ventricular noncompaction with ventricular aneurysm in a 6-year-old patient
Abstract
Ventricular noncompaction is a rare type of cardiomyopathy often associated with a ventricular aneurysm. We present a clinical case of a 6-year-old female who arrived at our clinic complaining of physical exertion. Echocardiography revealed prominent trabeculations in the left ventricular wall and a lateral-basal part bulging out, indicating noncompaction of the left ventricular myocardium with an aneurysm. With a noncompacted-to-compacted myocardium ratio of 2.6, magnetic resonance imaging revealed the presence of noncompacted myocardium. It also revealed impaired left ventricular systolic function and a left ventricular aneurysm with myocardial scarring. Coronary angiography ruled out coronary artery disease. Therefore, myocardial scarring was caused by noncompacted myocardium microcirculatory disorder.



Tissue sampling and histopathological limitations in esophageal cancer
Abstract
Esophageal adenocarcinoma is a common gastrointestinal cancer. Esophagogastroduodenoscopy with biopsy and immunohistochemistry are used to detect the neoplasm at an early stage. Definitive diagnosis requires not only highly specialized equipment but also the skills of the endoscopist and pathologist. We report the case of a 35-year-old man with progressive dysphagia caused by gastroesophageal cancer. Numerous esophagogastroduodenoscopy studies, computed tomography, and barium X-ray swallow revealed an extensive esophageal lesion; however, pathomorphologic examinations did not confirm malignancy within a year. Histological studies showed pyloric gland adenoma and adenoma from parietal or oncocytic cells with high-grade dysplasia. Esophagogastroduodenoscopy with targeted biopsy at a specialized center confirmed the tumor malignancy. This clinical case demonstrates the importance of summing clinical symptoms and using additional instrumental methods to make a definitive diagnosis if biopsy results are ambiguous.



Difficulty in the differential diagnosis of peritoneal carcinomatosis and tuberculosis in a young female patient with ascites: a case report
Abstract
The differential diagnosis between peritoneal tuberculosis and peritoneal carcinomatosis is quite challenging because of the similarity of the clinical picture and laboratory and instrumental examination data. Peritoneal tuberculosis and peritoneal carcinomatosis may present with the development of ascites, lymph nodes, and intestinal loop conglomerates. This article presents the clinical case of a young patient who, after her second childbirth, noted the appearance of intense pain in the neck and between the scapulae. Two months later, she experienced pneumonia with a positive reaction to antibiotic therapy. After another 2 months, she experienced recurrent ascites and gastrointestinal symptoms for the first time. The examination revealed ovarian masses and signs of peritoneal carcinomatosis and lung nodules. However, the clinical presentation was atypical for peritoneal carcinomatosis, and lung lesions were suspicious for tuberculosis, which allowed us to hypothesize the presence of tuberculosis of multiple localizations. The diagnosis was confirmed by laparoscopy with a biopsy of the involved tissues and subsequent histological and laboratory confirmation of the etiological role of Mycobacterium tuberculosis. The described case demonstrates the importance of using all available diagnostic methods to establish the causes of ascites in young female patients for differential diagnosis between specific and neoplastic etiologies.


