Оценка вероятности метастатического поражения лимфатических узлов средостения у пациентов с немелкоклеточным раком лёгкого при использовании свёрточных нейронных сетей для интерпретации данных компьютерной томографии органов грудной клетки
- Авторы: Шевцов А.Е.1, Томинин Я.Д.1, Томинин В.Д.1, Малеванный В.М.1, Есаков Ю.С.2, Туквадзе З.Г.2, Нефедов А.О.3, Яблонский П.К.3, Гаврилов П.В.3, Козлов В.В.4, Блохина М.Е.5, Наливкина Е.А.5, Гомболевский В.А.1,6, Васильев Ю.А.7, Дугова М.Н.1, Чернина В.Ю.1, Омелянская О.В.7, Решетников Р.В.7, Блохин И.А.7, Беляев М.Г.1
-
Учреждения:
- АЙРА Лабс
- Городская клиническая онкологическая больница № 1
- Санкт-Петербургский научно-исследовательский институт фтизиопульмонологии
- Новосибирский государственный медицинский университет
- АстраЗенека Фармасьютикалз
- Институт искусственного интеллекта
- Научно-практический клинический центр диагностики и телемедицинских технологий
- Выпуск: Том 5, № 4 (2024)
- Страницы: 765-783
- Раздел: Технические отчеты
- URL: https://journal-vniispk.ru/DD/article/view/309835
- DOI: https://doi.org/10.17816/DD632008
- ID: 309835
Цитировать
Аннотация
Обоснование. Рак лёгкого — второй по распространённости тип рака во всём мире. На данное заболевание приходится приблизительно 20% всех случаев смерти от рака, а пятилетняя выживаемостью на поздних стадиях — менее 10%. Для стадирования немелкоклеточного рака лёгкого, характеризующегося высокой распространённостью, в новейших клинических рекомендациях предлагают использовать классификацию TNM (8-е издание). Это подчёркивает значимость оценки поражения лимфатических узлов средостения. Неинвазивные методы обследования в целом обеспечивают точную оценку, однако часто обладают недостаточной чувствительностью, в то время как инвазивные — могут быть противопоказаны отдельным пациентам. Благодаря совершенствованию технологий глубокого обучения появилась возможность преодолеть эти сложности. Тем не менее в большинстве исследований по данному вопросу основное внимание уделяют разработке алгоритмов, а не клинической значимости результатов. Кроме того, ни в одном из таких исследований не оценивают поражение отдельных лимфатических узлов, что ограничивает возможности комплексного анализа и интерпретацию результатов, а также препятствует их эффективной валидации в клинической практике.
Цель — разработать валидированный алгоритм, обученный на внутренних данных, для сегментации отдельных лимфатических узлов средостения по данным компьютерной томографии органов грудной клетки, а также оценить вероятность их метастатического поражения.
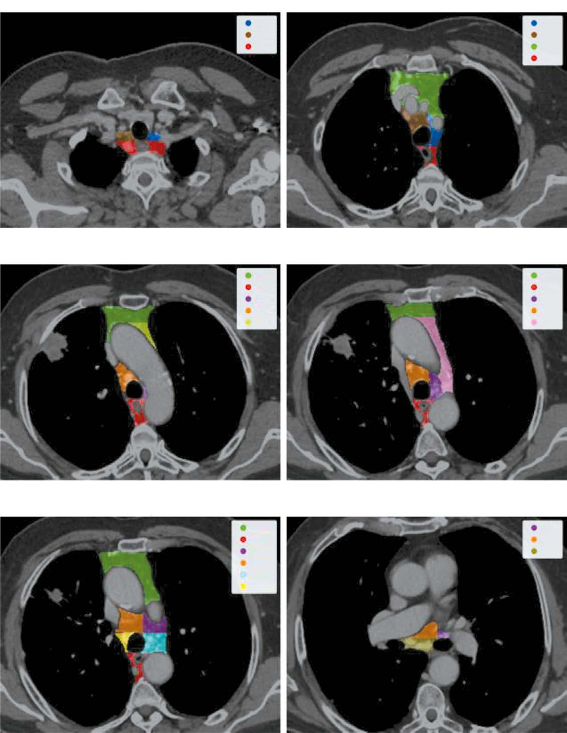
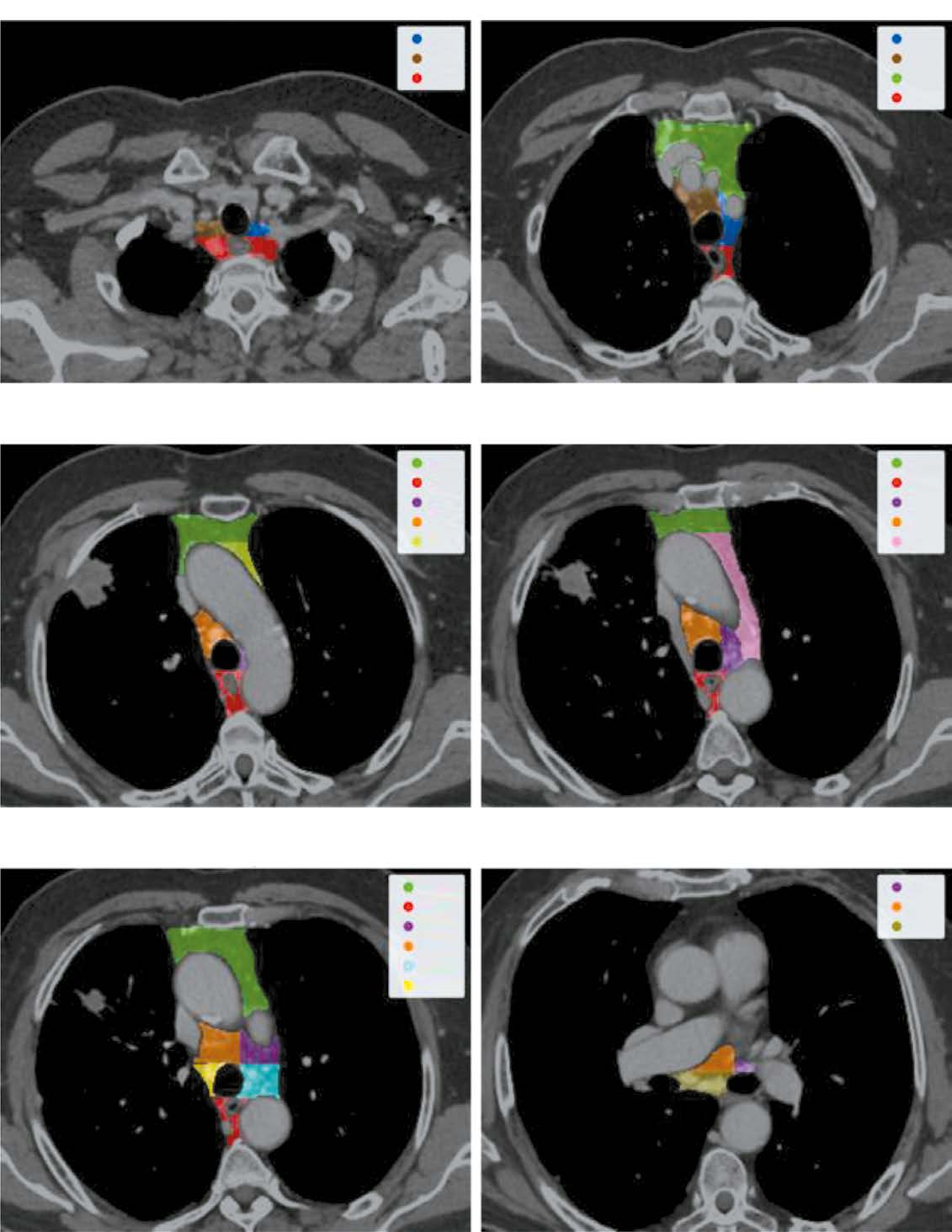
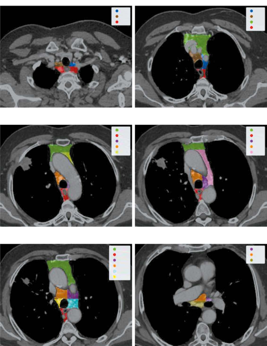
Материалы и методы. Выполнение сегментации групп лимфатических узлов в соответствии с рекомендациями Международной ассоциации по изучению рака лёгкого, чтобы получить ограничивающий прямоугольник для области средостения с целью последующей обработки данных. Затем изображение кадрируют при использовании этого ограничивающего прямоугольника и обрабатывают с помощью второй сети для выявления всех визуализируемых лимфатических узлов и генерации масок. На заключительном этапе выделяют каждый визуализируемый лимфатический узел, применяют соответствующую маску и оценивают с использованием сети прямого распространения, чтобы определить вероятность метастатического поражения.
Результаты. В данной последовательности действий средний отклик и значение Dice Score объекта составили 0,74±0,01 и 0,53±0,26 соответственно для задачи клинически значимой сегментации лимфатических узлов. Кроме того, значение площади под ROC-кривой для прогнозирования степени поражения регионарных лимфатических узлов составило 0,73, что превосходит традиционные критерии, основанные на размере.
Заключение. Предложенный алгоритм обеспечивает оптимизацию лечения пациентов без увеличения внутригрудных лимфатических узлов за счёт новых алгоритмов исследований, что повышает качество медицинского обслуживания пациентов с онкологическими заболеваниями.
Ключевые слова
Полный текст
Открыть статью на сайте журналаОб авторах
Алексей Евгеньевич Шевцов
АЙРА Лабс
Автор, ответственный за переписку.
Email: a.shevtsov@ira-labs.com
ORCID iD: 0000-0003-3085-4325
Россия, Москва
Ярослав Дмитриевич Томинин
АЙРА Лабс
Email: ya.tominin@ira-labs.com
ORCID iD: 0000-0002-7210-7208
Россия, Москва
Владислав Дмитриевич Томинин
АЙРА Лабс
Email: v.tominin@ira-labs.com
ORCID iD: 0000-0001-5678-3452
Россия, Москва
Всеволод Михайлович Малеванный
АЙРА Лабс
Email: v.malevanniy@ira-labs.com
ORCID iD: 0009-0005-8804-2102
Россия, Москва
Юрий Сергеевич Есаков
Городская клиническая онкологическая больница № 1
Email: lungsurgery@mail.ru
ORCID iD: 0000-0002-5933-924X
SPIN-код: 8424-0756
канд. мед. наук
Россия, МоскваЗураб Георгиевич Туквадзе
Городская клиническая онкологическая больница № 1
Email: tukvadze.z.med@gmail.com
ORCID iD: 0000-0002-4550-6107
Россия, Москва
Андрей Олегович Нефедов
Санкт-Петербургский научно-исследовательский институт фтизиопульмонологии
Email: herurg78@mail.ru
ORCID iD: 0000-0001-6228-182X
SPIN-код: 2365-9458
канд. мед. наук
Россия, Санкт-ПетербургПетр Казимирович Яблонский
Санкт-Петербургский научно-исследовательский институт фтизиопульмонологии
Email: glhirurgb2@mail.ru
ORCID iD: 0000-0003-4385-9643
SPIN-код: 3433-2624
д-р мед. наук, профессор
Россия, Санкт-ПетербургПавел Владимирович Гаврилов
Санкт-Петербургский научно-исследовательский институт фтизиопульмонологии
Email: spbniifrentgen@mail.ru
ORCID iD: 0000-0003-3251-4084
SPIN-код: 7824-5374
канд. мед. наук
Россия, Санкт-ПетербургВадим Викторович Козлов
Новосибирский государственный медицинский университет
Email: vadimkozlov80@mail.ru
ORCID iD: 0000-0003-3211-5139
SPIN-код: 8045-4286
канд. мед. наук, ассистент кафедры онкологии, заведующий отделением торакальной онкологии
Россия, НовосибирскМария Евгеньевна Блохина
АстраЗенека Фармасьютикалз
Email: mariya.blokhina@astrazeneca.com
ORCID iD: 0009-0002-9008-9485
врач
Россия, МоскваЕлена Александровна Наливкина
АстраЗенека Фармасьютикалз
Email: elena.nalivkina@astrazeneca.com
ORCID iD: 0009-0003-5412-9643
Россия, Москва
Виктор Александрович Гомболевский
АЙРА Лабс; Институт искусственного интеллекта
Email: gombolevskii@gmail.com
ORCID iD: 0000-0003-1816-1315
SPIN-код: 6810-3279
канд. мед. наук
Россия, Москва; МоскваЮрий Александрович Васильев
Научно-практический клинический центр диагностики и телемедицинских технологий
Email: VasilevYA1@zdrav.mos.ru
ORCID iD: 0000-0002-5283-5961
SPIN-код: 4458-5608
д-р мед. наук
Россия, МоскваМария Николаевна Дугова
АЙРА Лабс
Email: m.dugova@ira-labs.com
ORCID iD: 0009-0004-5586-8015
врач
Россия, МоскваВалерия Юрьевна Чернина
АЙРА Лабс
Email: v.chernina@ira-labs.com
ORCID iD: 0000-0002-0302-293X
SPIN-код: 8896-8051
врач
Россия, МоскваОльга Васильевна Омелянская
Научно-практический клинический центр диагностики и телемедицинских технологий
Email: OmelyanskayaOV@zdrav.mos.ru
ORCID iD: 0000-0002-0245-4431
SPIN-код: 8948-6152
Россия, Москва
Роман Владимирович Решетников
Научно-практический клинический центр диагностики и телемедицинских технологий
Email: reshetnikov@fbb.msu.ru
ORCID iD: 0000-0002-9661-0254
SPIN-код: 8592-0558
канд. физ.-мат. наук
Россия, МоскваИван Андреевич Блохин
Научно-практический клинический центр диагностики и телемедицинских технологий
Email: BlokhinIA@zdrav.mos.ru
ORCID iD: 0000-0002-2681-9378
SPIN-код: 3306-1387
канд. мед. наук
Россия, МоскваМихаил Геннадьевич Беляев
АЙРА Лабс
Email: belyaevmichel@gmail.com
ORCID iD: 0000-0001-9906-6453
SPIN-код: 2406-1772
канд. физ.-мат. наук
Россия, МоскваСписок литературы
- Thandra K.Ch., Barsouk A., Saginala K., et al. Epidemiology of lung cancer // Con temporary Oncology. 2021. Vol. 25, N 1. P. 45–52. doi: 10.5114/wo.2021.103829
- Goldstraw P., Chansky K., Crowley J., et al. The IASLC lung cancer staging project: Proposals for revision of the TNM stage groupings in the forthcoming (Eighth) edition of the TNM classification for lung cancer // J Thorac Oncol. 2016. Vol. 11, N 1. P. 39–51. doi: 10.1016/j.jtho.2015.09.009
- Tanoue L.T., Tanner N.T., Gould M.K., Silvestri G.A. Lung cancer screening // Am J Respir Crit Care Med. 2015. Vol. 191, N 1. P. 19–33. doi: 10.1164/rccm.201410-1777CI
- Ettinger D.S., Wood D.E., Aggarwal C., et al. NCCN guidelines insights: Non small cell lung cancer, version 1. 2020 // J Natl Compr Canc Netw. 2019. Vol. 17, N 12. P. 1464–1472. doi: 10.6004/jnccn.2019.0059
- Planchard D., Popat S., Kerr K., et al. Metastatic non small cell lung cancer: ESMO clinical practice guidelines for diagnosis, treatment and follow-up [published correction appears in Ann Oncol. 2019;30(5):863–870. doi: 10.1093/annonc/mdy474] // Ann Oncol. 2018. Vol. 29, Suppl 4. P. iv192–iv237. doi: 10.1093/annonc/mdy275
- Heleno B., Siersma V., Brodersen J. Estimation of overdiagnosis of lung cancer in low dose computed tomography screening: A secondary analysis of the danish lung cancer screening trial // JAMA Intern Med. 2018. Vol. 178, N 10. P. 1420–1422. doi: 10.1001/jamainternmed.2018.3056
- Lopes Pegna A., Picozzi G., Falaschi F., et al. Four year results of low dose CT screening and nodule management in the ITALUNG trial // J Thorac Oncol. 2013. Vol. 8, N 7. P. 866–875. doi: 10.1097/JTO.0b013e31828f68d6
- Infante M., Cavuto S., Lutman F.R., et al. Long term follow up results of the DANTE trial, a randomized study of lung cancer screening with spiral computed tomography // Am J Respir Crit Care Med. 2015. Vol. 191, N 10. P. 1166–1175. doi: 10.1164/rccm.201408-1475OC
- De Koning H., van der Aalst C., de Jong P. Reduced lung cancer mortality with vol ume CT screening in a randomized trial // N Engl J Med. 2020. Vol. 382, N 6. P. 503–513. doi: 10.1056/NEJMoa1911793
- Pastorino U., Silva M., Sestini S., et al. Prolonged lung cancer screening reduced 10 year mortality in the MILD trial: new confirmation of lung cancer screening efficacy // Ann Oncol. 2019. Vol. 30, N 10. P. 1672. doi: 10.1093/annonc/mdz169
- Baldwin D.R., Duffy S.W., Wald N.J., et al. UK Lung Screen (UKLS) nodule man agement protocol: modelling of a single screen randomised controlled trial of low dose CT screening for lung cancer // Thorax. 2011. Vol. 66, N 4. P. 308–313. doi: 10.1136/thx.2010.152066
- Detterbeck F.C., Boffa D.J., Kim A.W., Tanoue L.T. The eighth edition lung cancer stage classification // Chest. 2017. Vol. 151, N 1. P. 193–203. doi: 10.1016/j.chest.2016.10.010
- Nakajima T., Yasufuku K., Yoshino I. Current status and perspective of EBUS-TBNA // Gen Thorac Cardiovasc Surg. 2013. Vol. 61, N 7. P. 390–396. doi: 10.1007/s11748-013-0224-6
- Hartert M., Tripsky J., Huertgen M. Video assisted mediastinoscopic lymphadenec tomy (VAMLA) for staging & treatment of non small cell lung cancer (NSCLC) // Mediastinum. 2020. Vol. 4. P. 3. doi: 10.21037/med.2019.09.06
- Ettinger D.S., Wood D.E., Aisner D.L., et al. Non small cell lung cancer, version 5.2017, NCCN clinical practice guidelines in oncology // J Natl Compr Canc Netw. 2017. Vol. 15, N 4. P. 504–535. doi: 10.6004/jnccn.2017.0050
- Roberts P.F., Follette D.M., von Haag D., et al. Factors associated with false positive staging of lung cancer by positron emission tomography // Ann Thorac Surg. 2000. Vol. 70, N 4. P. 1154–1160. doi: 10.1016/s0003-4975(00)01769-0
- Kanzaki R., Higashiyama M., Fujiwara A., et al. Occult mediastinal lymph node me tastasis in NSCLC patients diagnosed as clinical N0-1 by preoperative integrated FDG-PET/CT and CT: risk factors, pattern, and histopathological study // Lung Cancer. 2011. Vol. 71, N 3. P. 333–337. doi: 10.1016/j.lungcan.2010.06.008
- Verduzco-Aguirre H.C., Lopes G., Soto Perez De Celis E. Implementation of diag nostic resources for cancer in developing countries: a focus on PET/CT // Ecancermedicalscience. 2019. Vol. 13. P. ed87. doi: 10.3332/ecancer.2019.ed87
- LeCun Y., Bengio Y., Hinton G. Deep learning // Nature. 2015. Vol. 521, N 7553. P. 436–444. doi: 10.1038/nature14539
- Guo D., Ye X., Ge J., et al. Deepstationing: thoracic lymph node station parsing in CT scans using anatomical context encoding and key organ auto search. In: International Conference on Medical Image Computing and Computer Assisted Intervention (MICCAI 2021): 24th International Conference; 2021 September 27–October 1; Strasbourg. Available from: https://miccai2021.org/openaccess/paperlinks/2021/09/01/140Paper0015.html
- Iuga A.I., Carolus H., Höink A.J., et al. Automated detection and segmentation of thoracic lymph nodes from CT using 3D foveal fully convolutional neural networks // BMC Med Imaging. 2021. Vol. 21, N 1. P. 69. doi: 10.1186/s12880-021-00599-z
- Iuga A.I., Lossau T., Caldeira L.L., et al. Automated mapping and N-staging of tho racic lymph nodes in contrast enhanced CT scans of the chest using a fully convolutional neural network // Eur J Radiol. 2021. Vol. 139. P. 109718. doi: 10.1016/j.ejrad.2021.109718
- Zhong Y., Yuan M., Zhang T., et al. Radiomics approach to prediction of occult me diastinal lymph node metastasis of lung adenocarcinoma // AJR Am J Roentgenol. 2018. Vol. 211, N 1. P. 109–113. doi: 10.2214/AJR.17.19074
- Liu Y., Kim J., Balagurunathan Y., et al. Prediction of pathological nodal involve ment by CT-based Radiomic features of the primary tumor in patients with clinically node negative peripheral lung adenocarcinomas // Med Phys. 2018. Vol. 45, N 6. P. 2518–2526. doi: 10.1002/mp.12901
- Cong M., Yao H., Liu H., et al. Development and evaluation of a venous computed tomography radiomics model to predict lymph node metastasis from non small cell lung cancer // Medicine (Baltimore). 2020. Vol. 99, N 18. P. e20074. doi: 10.1097/MD.0000000000020074
- Gu P., Zhao Y.Z., Jiang L.Y., et al. Endobronchial ultrasound guided transbronchial needle aspiration for staging of lung cancer: a systematic review and meta analysis // Eur J Cancer. 2009. Vol. 45, N 8. P. 1389–1396. doi: 10.1016/j.ejca.2008.11.043
- Brown G., Richards C.J., Bourne M.W., et al. Morphologic predictors of lymph node status in rectal cancer with use of high spatial resolution MR imaging with histopathologic compari son // Radiology. 2003. Vol. 227, N 2. P. 371–377. doi: 10.1148/radiol.2272011747
- Som P.M. Lymph nodes of the neck // Radiology. 1987. Vol. 165, N 3. P. 593–600. doi: 10.1148/radiology.165.3.3317494
- Curtin H.D., Ishwaran H., Mancuso A.A., et al. Comparison of CT and MR imaging in staging of neck metastases // Radiology. 1998. Vol. 207, N 1. P. 123–130. doi: 10.1148/radiology.207.1.9530307
- Loch F.N., Asbach P., Haas M., et al. Accuracy of various criteria for lymph node staging in ductal adenocarcinoma of the pancreatic head by computed tomography and magnetic res onance imaging // World J Surg Oncol. 2020. Vol. 18, N 1. P. 213. doi: 10.1186/s12957-020-01951-3
- Elsholtz F.H., Asbach P, Haas M, et al. Introducing the node reporting and data system 1.0 (Node-RADS): a concept for standardized assessment of lymph nodes in cancer. // Eur Radiol. 2021. Vol. 31, N 8. P. 6116–6124. doi: 10.1007/s00330-020-07572-4 Сorrected and republished from: Eur Radiol. 2021. Vol. 31, N 9. P. 7217. doi: 10.1007/s00330-021-07795-z
- Ceylan N., Doğan S., Kocaçelebi K., et al. Contrast enhanced CT versus integrated PET-CT in pre-operative nodal staging of non-small cell lung cancer // Diagn Interv Radiol. 2012. Vol. 18, N 5. P. 435–440. doi: 10.4261/1305-3825.DIR.5100-11.2
- Kamnitsas K., Ledig C., Newcombe V.F., et al. Efficient multi scale 3D CNN with fully connected CRF for accurate brain lesion segmentation // Med Image Anal. 2017. Vol. 36. P. 61–78. doi: 10.1016/j.media.2016.10.004
- Çiçek Ö., Abdulkadir A., Lienkamp S.S., et al. 3D U-net: learning dense volumetric segmentation from sparse annotation. In: Medical Image Computing and Computer Assisted Inter vention (MICCAI 2016), Part II: 19th International Conference; 2016 October 17–21; Athens. P. 424–432.
- Milletari F., Navab N., Ahmadi S.A. V-net: fully convolutional neural networks for volumetric medical image segmentation. In: 2016 Fourth international conference on 3D vision (3DV): proceedings article. 2016 October 25–28; California. P. 565–571. doi: 10.1109/3DV.2016.79
- Van Ginneken B., Armato S.G., de Hoop B., et al. Comparing and combining algo rithms for computer aided detection of pulmonary nodules in computed tomography scans: the AN-ODE09 study // Med Image Anal. 2010. Vol. 14, N 6. P. 707–722. doi: 10.1016/j.media.2010.05.005
- Bakas S., Reyes M., Jakab A., et al. Identifying the best machine learning algorithms for brain tumor segmentation, progression assessment, and overall survival prediction in the BRATS challenge // The international multimodal brain tumor segmentation (BraTS) challenge. 2018. doi: 10.48550/arXiv.1811.02629
- Silva F., Pereira T., Frade J., et al. Pre training autoencoder for lung nodule malignancy assessment using CT images // Applied Sciences. 2020. Vol. 10, N 21. P. 7837. doi: 10.3390/app10217837
- Dubost F., Adams H., Yilmaz P., et al. Weakly supervised object detection with 2D and 3D regression neural networks // Med Image Anal. 2020. Vol. 65. P. 101767. doi: 10.1016/j.media.2020.101767
- Rusch V.W., Asamura H., Watanabe H., et al. The IASLC lung cancer staging project: a proposal for a new international lymph node map in the forthcoming seventh edition of the TNM classification for lung cancer // J Thorac Oncol. 2009. Vol. 4, N 5. P. 568–577. doi: 10.1097/JTO.0b013e3181a0d82e
- Ronneberger O., Fischer P., Brox T. U-net: convolutional networks for biomedical image segmentation. In: Medical Image Computing and Computer Assisted Intervention (MICCAI 2015): 18th International Conference; 2015 May; Munich; Р. 234–241. doi: 10.48550/arXiv.1505.04597
- He K., Zhang X., Ren S., Sun J. Deep residual learning for image recognition. In: Pro ceedings of the IEEE conference on computer vision and pattern recognition; 2016 June 27–30; Las Vegas. P. 770–778. doi: 10.48550/arXiv.1512.03385
- Ioffe S., Szegedy Ch. Batch normalization: accelerating deep network training by reducing internal covariate shift. ArXiv, 2015. doi: 10.48550/arXiv.1502.03167
- Nair V., Hinton G.E. Rectified linear units improve restricted boltzmann machines. In: Conference: proceedings of the 27th International Conference on Machine Learning (ICML-10); 2010 June 21–24; Haifa. Available from: https://icml.cc/Conferences/2010/papers/432.pdf
- Roth H.R., Lu L., Seff A., et al. A new 2.5D representation for lymph node detection using random sets of deep convolutional neural network observations // Med Image Comput Comput Assist Interv. 2014. Vol. 17, N 1. P. 520–527. doi: 10.1007/978-3-319-10404-1_65
- Goncharov M., Pisov M., Shevtsov A., et al. CT-based COVID-19 triage: deep multi-task learning improves joint identification and severity quantification // Med Image Anal. 2021. Vol. 71. P. 102054. doi: 10.1016/j.media.2021.102054
Дополнительные файлы









