Том 5, № 4 (2024)
- Год: 2024
- Статей: 18
- URL: https://journal-vniispk.ru/DD/issue/view/20628
- DOI: https://doi.org/10.17816/DD.54
Оригинальные исследования
Возможности магнитно-резонансной томографии сердца в дифференциальной диагностике кардиомиопатий вследствие амилоидоза лёгких цепей и транстиретинового амилоидоза
Аннотация
Обоснование. Амилоидоз сердца — серьёзное прогрессирующее заболевание с высокой смертностью. Дифференциальная диагностика кардиомиопатий вследствие амилоидоза лёгких цепей (AL-амилоидоз) и транстиретинового амилоидоза (ATTR-амилоидоз) важна для выбора оптимальной тактики лечения.
Целью исследования является оценка возможностей магнитно-резонансной томографии сердца в дифференциальной диагностике кардиомиопатий вследствие AL- и ATTR-амилоидоза.
Материалы и методы. Проведён анализ медицинских данных 25 пациентов с подтверждённым диагнозом кардиомиопатия, разделённых на две группы в зависимости от типа амилоидоза. 1-я группа — кардиомиопатия вследствие AL-амилоидоза, 2-я группа — вследствие ATTR-амилоидоза. Всем пациентам проведена магнитно-резонансная томография сердца с контрастированием. Оценивали объёмные и линейные показатели сердца, функцию желудочков и паттерны позднего накопления гадолиния. Использовали стандартные статистические методы, различия считали значимыми при p <0,05.
Результаты. У пациентов 2-й группы наблюдали более выраженное утолщение стенок миокарда в сравнении с пациентами 1-й группы (межжелудочковая перегородка 18 [17; 18] против 14,5 мм [12,8; 16], p <0,01, задняя стенка левого желудочка 14 [13; 17] против 10,5 мм [10; 12,3], p <0,01). Индексированная масса миокарда левого желудочка во 2-й группе — 110 г/м2 [92; 125], тогда как в 1-й группе данный показатель составил 85 г/м2 [69,3; 91,8], p <0,01). Среди пациентов 2-й группы чаще отмечали позднее накопление гадолиния с трансмуральным паттерном в базальном и среднем нижне-боковых сегментах левого желудочка, в то время как у пациентов 1-й группы — чаще определяли субэндокардиальный паттерн позднего накопления гадолиния в средних передне- и нижне-боковых сегментах (p <0,05). Также у пациентов 2-й группы частота случаев одновременного накопления контрастного препарата в субэндокардиальных слоях межжелудочковой перегородки со стороны левого желудочка и правого желудочка оказалась выше (100% случаев против 50%, p <0,01). Позднее накопление гадолиния в правом желудочке также чаще встречали среди пациентов 2-й группы (100% против 58%, p <0,05), особенно в области межжелудочковой перегородки и нижней стенки (p <0,05). Полуколичественная оценка позднего накопления гадолиния с помощью показателя QALE (The query amyloid late enhancement) показала более обширное накопление контраста у пациентов 2-й группы — 13 [12; 14] против 10,5 баллов [1,75; 12], p <0,01), а количество баллов более 13 предоставило возможность различить кардиомиопатии вследствие AL- и ATTR-амилоидоза с чувствительностью 69% и специфичностью 83%.
Заключение. Магнитно-резонансная томография сердца позволяет выявлять характерные особенности кардиомиопатий вследствие AL- и ATTR-амилоидоза, что может помочь в их дифференциальной диагностике. С целью подтверждения диагностической точности, выявленных паттернов, необходимо продолжение исследований.



Возможности радиомического анализа МРТ-изображений сердца в кино-режиме в определении постинфарктных областей миокарда левого желудочка
Аннотация
Обоснование. Размер и локализация, а также чёткая дифференциация между интактной тканью и областью инфаркта важны для клинической диагностики и прецизионной медицины. В основе данной работы лежит исследование радиомических признаков, которые позволяют дифференцировать участки инфарктной и удалённой от области инфаркта ткани по данным бесконтрастных изображений магнитно-резонансной томографии (МРТ) сердца в кино-режиме.
Цель. Оценка возможностей и информативности радиомического анализа в выявлении постинфарктных областей миокарда левого желудочка у пациентов с ишемической кардиомиопатией (ИКМП) по данным бесконтрастных изображений МРТ сердца в кино-режиме.
Материалы и методы. Мы проанализировали результаты МРТ сердца с контрастированием 33 пациентов, которым провели хирургическое лечение по поводу ИКМП. Текстурный анализ выполнили для 66 участков изображений МРТ сердца в кино-режиме, для каждого из них определяли 105 текстурных характеристик. МРТ сердца проводили по стандартной методике на магнитно-резонансном томографе Vantage Titan (Toshiba) 1,5 Тл. Для текстурного анализа использовали программное обеспечение 3D slicer version 5.2.2, Pyradiomics.
Результаты. В ходе исследования мы построили диаграммы коллинеарности признаков, определили признаки с нулевой важностью и установили важность признаков с помощью алгоритма градиентного бустинга, а также оценили кумулятивную важность признаков в зависимости от их общего количества. С помощью метода выявления признаков с низкой важностью определили параметры с наименьшей значимостью, которые не влияют на указанный общий уровень. Используя метод выявления признаков с единственным значением, мы не нашли соответствующих функций. По результатам анализа сформирована ROC-кривая для логистической регрессии Lasso (Se=57,14%, Sp=71,43%, AUC=0,76). Основным результатом данного исследования является определение радиомических признаков, характеризующих на основе изображений МРТ сердца в кино-режиме участки, соответствующие постинфарктному кардиосклерозу и интактной стенке левого желудочка.
Заключение. Данное исследование показало, что применение радиомического анализа на бесконтрастных изображениях МРТ сердца в кино-режиме — перспективный подход для выявления участков, соответствующих инфаркту миокарда и интактной стенке. Метод потенциально может быть использован для идентификации областей постинфарктного кардиосклероза у пациентов с ИКМП без применения контрастных препаратов.



Оценка производительности программного обеспечения на основе технологии искусственного интеллекта при описании цифровых маммографических исследований
Аннотация
Обоснование. Цифровая скрининговая маммография — это основной инструмент для раннего выявления злокачественных новообразований молочной железы, позволяющий снизить смертность на 20–40%. На сегодняшний день разработано множество сервисов на основе искусственного интеллекта (ИИ), позволяющих автоматизировать анализ таких исследований.
Цель — сравнить результаты оценки цифровых маммографических исследований, выполненной тремя типами ИИ-сервисов в нескольких версиях, с заключениями врачей-рентгенологов.
Материалы и методы. Проведено сравнение бинарных шкал оценки маммографических исследований и нескольких типов и версий ИИ-сервисов по показателям диагностической точности, коэффициенту Мэтьюса и максимальному индексу Юдена.
Результаты. Сравнительный анализ показал, что выбор бинарной шкалы для оценки цифрового маммографического исследования влияет на количество выявляемых случаев патологии и точность результатов ИИ-сервисов. Кроме того, обнаружена зависимость показателей диагностической точности от порогового значения. Наилучшей производительностью обладает ИИ-сервис 1 в версии 3, что подтверждается большинством показателей диагностической точности.
Заключение. Полученные нами результаты могут быть полезны при выборе ИИ-сервисов для интерпретации данных скрининговой маммографии. Настройка ИИ-сервиса методом максимизации индекса Юдена позволяет получать сбалансированные значения чувствительности и специфичности, что не всегда целесообразно с клинической точки зрения.



Нейроэндокринные опухоли желудка и поджелудочной железы: диагностические возможности радиомики, проблемы и пути их решения
Аннотация
Обоснование. В настоящее время радиомика является многообещающим и перспективным инструментом в диагностике и лечении нейроэндокринных новообразований различной локализации. Этот метод часто используют для дифференциальной диагностики нейроэндокринных опухолей желудочно-кишечного тракта с другими новообразованиями данной локализации.
Цель — оценить возможности применения радиомики для дифференциальной диагностики нейроэндокринных опухолей желудка и поджелудочной железы.
Материалы и методы. В исследование включены данные 12 пациентов с морфологически верифицированными новообразованиями желудка (6 — с нейроэндокринной опухолью и 6 — с аденокарциномой) и данные 22 пациентов с морфологически верифицированными новообразованиями поджелудочной железы (11 — с нейроэндокринной опухолью и 11 — с аденокарциномой). Всем пациентам до лечения в Российском научном центре рентгенорадиологии выполнено компьютерно-томографическое (КТ) исследование органов брюшной полости с внутривенным контрастированием. Показатели радиомики рассчитаны в области опухоли желудка и поджелудочной железы, которую сегментировали вручную в нативную фазу КТ-исследования. Обработку результатов и статистический анализ проводили с использованием Microsoft Office Excel и свободной среды разработки программного обеспечения с открытым исходным кодом для языка программирования R — R-Studio.
Результаты. На примерах КТ-исследований продемонстрированы типичные и нетипичные визуальные признаки нейроэндокринных опухолей желудка и поджелудочной железы, особенности контрастирования, локализации и структуры новообразований. Выявлено 15 показателей радиомики, которые статистически значимо различаются между нейроэндокринной опухолью желудка и аденокарциномой желудка. В случае поджелудочной железы нейроэндокринные опухоли статистически значимо отличались от аденокарцином по 14 показателям радиомики.
Заключение. Нейроэндокринные опухоли желудка и поджелудочной железы — редкие новообразования, которые в большинстве случаев не проявляют себя клинически и трудно визуализируются из-за малых размеров и особенностей контрастирования. Текстурный анализ может стать перспективным подходом для дифференциальной диагностики нейроэндокринных опухолей желудочно-кишечного тракта с другими новообразованями данной локализации, особенно с учётом сложности взятия биопсии.



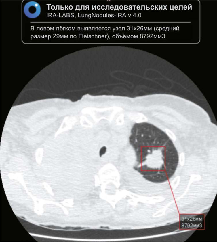
Выявление новых случаев рака лёгкого с помощью искусственного интеллекта: клиническая и экономическая оценка ретроспективного анализа результатов компьютерной томографии через 2 года после пандемии COVID-19
Аннотация
Обоснование. Компьютерная томография органов грудной клетки — основной метод диагностики изменений лёгочной ткани, вызванных инфекцией COVID-19. Так, с 2020 года в Красноярском крае увеличилась частота применения данного исследования. Тем не менее заболеваемость раком лёгкого снизилась на 5,2%. Сложившаяся ситуация вызвала опасения в отношении пропуска рентгенологических изменений, характерных для рака лёгкого, и стимулировала поиск новых диагностических методов, включая искусственный интеллект для анализа данных.
Цель — оценка возможности использования алгоритма искусственного интеллекта, направленного на поиск лёгочных узлов по данным компьютерной томографии органов грудной клетки, полученным в период пандемии COVID-19, для выявления рака лёгкого.
Материалы и методы. В ретроспективное исследование вошли результаты компьютерной томографии органов грудной клетки пациентов из Красноярского края с диагнозом COVID-19 из PACS-архива, выполненные в период с 01.11.2020 по 28.02.2021. Интервал времени между проведёнными компьютерными томографиями и применением алгоритма искусственного интеллекта составил от двух лет и одного месяца до двух лет и пяти месяцев. Использовали алгоритм искусственного интеллекта Chest-IRA. Он выявлял лёгочные узлы объёмом более 100 мм3. Рентгенологи разделили результаты на три группы в зависимости от вероятности рака лёгкого. Оценка экономической выгоды применения алгоритма учитывала затраты на заработную плату и экономию на лечении ранних стадий рака лёгкого, влияющую на валовой региональный продукт.
Результаты. Из 10 500 результатов компьютерной томографии, алгоритм искусственного интеллекта выявил узловые образования в 484 случаях. Определены 192 пациента с высокой вероятностью рака лёгкого, 103 — без признаков и 60 — с неубедительными признаками. 112 пациентов с высокой и средней вероятностью рака лёгкого не обращались за медицинской помощью. Применение искусственного интеллекта позволило подтвердить 100 (28,2%) гистологически верифицированных случаев рака лёгкого, при этом I–II стадия выявлена в 35%.
Использование искусственного интеллекта вместо рентгенологов сэкономило бы 25 мес. и 4 дня работы — 2 430 тыс. рублей. Ожидаемая экономия бюджета в связи с выявлением рака лёгкого на ранней стадии варьирует от 10 600 тыс. до 12 500 тыс. рублей на каждые 10 500 компьютерных томографий. Общий экономический эффект за пять лет — от 259 400 тыс. до 305 100 тыс. рублей.
Заключение. Использование искусственного интеллекта для анализа результатов компьютерной томографии органов грудной клетки демонстрирует высокую эффективность в отношении выявления узловых образований лёгких, в том числе на фоне COVID-19, что подтверждает перспективы его применения для раннего обнаружения случайных лёгочных узлов, которые могли бы быть пропущены.



Удалённое наблюдение за пациентами с ревматоидным артритом с применением платформы на базе персонального мессенджера
Аннотация
Обоснование. Дистанционные медицинские технологии — перспективный способ наблюдения за пациентами в ходе диагностики заболевания, лечения и последующей реабилитации. В настоящей статье авторы рассматривают интеграцию в клиническую практику и эффективность цифрового инструмента для осуществления удалённого наблюдения и контроля лечения пациентов с ревматоидным артритом.
Цель — оценка безопасности, эффективности и технологических особенностей наблюдения за пациентами с ревматоидным артритом с помощью платформы для удалённого мониторинга.
Материалы и методы. В проспективное нерандомизированное контролируемое исследование включены пациенты старше 18 лет с ревматоидным артритом с высокой и умеренной степенью активности, выписанные из стационара для амбулаторного наблюдения. Пациенты разделены на две группы: удалённого и очного наблюдения. Данные для удалённой оценки состояния пациентов получены путём анкетирования при помощи программного комплекса для наблюдения за пациентами на основе персонального мессенджера «Телемедбот». Также авторы использовали опросник HAQ для оценки функциональной способности в повседневной жизни у пациентов с ревматоидным артритом; европейский опросник качества жизни EQ-5D; вопросы для оценки приверженности пациентов рекомендациям, длительности утренней скованности, числа болезненных и припухших суставов; визуальную аналоговую шкалу для общей оценки заболевания. Через 6 мес. в обеих группах проведена оценка эффективности лечения ревматоидного артрита по индексу DAS28.
Результаты. 30 пациентов использовали программу дистанционного наблюдения 6 мес. Группа очного наблюдения также состояла из 30 человек. Через 6 мес. среди пациентов, использующих персональный мессенджер «Телемедбот», низкая активность ревматоидного артрита и ремиссия достигались чаще, чем во второй группе (р=0,049). В группе удалённого наблюдения ремиссии и низкой активности заболевания достигли 9 (30,0%) и 11 (36,7%) пациентов против 3 (10,0%) и 8 (26,7%) в группе очного контроля. Таким образом, в группе дистанционного наблюдения у 20 (66,7%) человек удаётся контролировать заболевание, в то время как в группе очного наблюдения это удаётся сделать лишь у 11 (36,7%).
Заключение. Удалённое наблюдение с помощью мессенджера «Телемедбот» можно считать потенциальным инструментом повышения доступности медицинской помощи и эффективности лечения ревматоидного артрита.



Опыт применения методов радиомики и дозиомики для нахождения предикторов лучевых повреждений лёгких
Аннотация
Обоснование. Радиомика — это технология извлечения, анализа и интерпретации количественных характеристик из цифровых медицинских изображений, основанная на машинном обучении. В последние годы в литературе всё чаще встречается термин «дозиомика», обозначающий новое направление в радиомике. Дозиомика — это метод текстурного анализа планов распределения дозы облучения при лучевой терапии. Бóльшая часть опубликованных исследований в области дозиомики посвящена её применению в прогнозировании лучевого повреждения лёгких.
Цель — выявление предикторов (биомаркёров) лучевых повреждений лёгких с помощью текстурного анализа (методами радиомики и дозиомики) изображений лёгких, а также мягких тканей грудной клетки, полученных с помощью компьютерной томографии.
Материалы и методы. В исследовании использовали данные 36 женщин с раком молочной железы, прошедших послеоперационный курс конформной лучевой терапии. Ретроспективно пациенток разделили на две группы по степени постлучевых изменений лёгких. Результаты компьютерной томографии всех пациенток, полученные на этапе планирования лучевой терапии, и планы распределения доз облучения анализировали с помощью программного обеспечения 3D Slicer с функцией выгрузки показателей радиомики и дозиомики из областей интереса. В качестве областей интереса выбирали область мягких тканей грудной клетки и области лёгкого на стороне облучения, дозовая нагрузка на которые превышала 3 и 10 Гр.
Результаты. В первую группу включили 13 пациенток с минимальными постлучевыми изменениями в лёгких, во вторую группу — 23 пациентки с постлучевым пневмофиброзом. В области лёгкого на стороне облучения с дозовой нагрузкой более 3 Гр статистически значимые различия между группами пациенток получены по трём показателям радиомики и одному показателю дозиомики. В области лёгкого на стороне облучения с дозовой нагрузкой более 10 Гр статистически значимые различия получены по 12 показателям радиомики и 1 показателю дозиомики. В области мягких тканей грудной клетки на стороне облучения значимые различия получены по 18 показателям радиомики и 4 показателям дозиомики.
Заключение. В результате выполненного исследования получен ряд показателей радиомики и дозиомики, статистически различающихся у пациенток с минимальными постлучевыми изменениями и постлучевым пневмофиброзом лёгких после проведения лучевой терапии по поводу рака молочной железы. Предикторы (биомаркёры), выявленные нами на основе текстурного анализа, можно использовать для прогнозирования постлучевых повреждений лёгких и выявления пациентов с более высоким риском их развития.



Технические отчеты
Оценка вероятности метастатического поражения лимфатических узлов средостения у пациентов с немелкоклеточным раком лёгкого при использовании свёрточных нейронных сетей для интерпретации данных компьютерной томографии органов грудной клетки
Аннотация
Обоснование. Рак лёгкого — второй по распространённости тип рака во всём мире. На данное заболевание приходится приблизительно 20% всех случаев смерти от рака, а пятилетняя выживаемостью на поздних стадиях — менее 10%. Для стадирования немелкоклеточного рака лёгкого, характеризующегося высокой распространённостью, в новейших клинических рекомендациях предлагают использовать классификацию TNM (8-е издание). Это подчёркивает значимость оценки поражения лимфатических узлов средостения. Неинвазивные методы обследования в целом обеспечивают точную оценку, однако часто обладают недостаточной чувствительностью, в то время как инвазивные — могут быть противопоказаны отдельным пациентам. Благодаря совершенствованию технологий глубокого обучения появилась возможность преодолеть эти сложности. Тем не менее в большинстве исследований по данному вопросу основное внимание уделяют разработке алгоритмов, а не клинической значимости результатов. Кроме того, ни в одном из таких исследований не оценивают поражение отдельных лимфатических узлов, что ограничивает возможности комплексного анализа и интерпретацию результатов, а также препятствует их эффективной валидации в клинической практике.
Цель — разработать валидированный алгоритм, обученный на внутренних данных, для сегментации отдельных лимфатических узлов средостения по данным компьютерной томографии органов грудной клетки, а также оценить вероятность их метастатического поражения.
Материалы и методы. Выполнение сегментации групп лимфатических узлов в соответствии с рекомендациями Международной ассоциации по изучению рака лёгкого, чтобы получить ограничивающий прямоугольник для области средостения с целью последующей обработки данных. Затем изображение кадрируют при использовании этого ограничивающего прямоугольника и обрабатывают с помощью второй сети для выявления всех визуализируемых лимфатических узлов и генерации масок. На заключительном этапе выделяют каждый визуализируемый лимфатический узел, применяют соответствующую маску и оценивают с использованием сети прямого распространения, чтобы определить вероятность метастатического поражения.
Результаты. В данной последовательности действий средний отклик и значение Dice Score объекта составили 0,74±0,01 и 0,53±0,26 соответственно для задачи клинически значимой сегментации лимфатических узлов. Кроме того, значение площади под ROC-кривой для прогнозирования степени поражения регионарных лимфатических узлов составило 0,73, что превосходит традиционные критерии, основанные на размере.
Заключение. Предложенный алгоритм обеспечивает оптимизацию лечения пациентов без увеличения внутригрудных лимфатических узлов за счёт новых алгоритмов исследований, что повышает качество медицинского обслуживания пациентов с онкологическими заболеваниями.



Обзоры
Трудности и перспективы применения текстурного анализа компьютерно-томографических и магнитно-резонансных изображений в диагностике рака мочевого пузыря
Аннотация
Радиомика и текстурный анализ — новый шаг в изучении цифровых медицинских изображений, основанный на использовании специализированного программного обеспечения и количественной оценки невидимых глазу показателей. Извлекаемые путём математических преобразований текстурные показатели коррелируют с морфологическими, молекулярными и генотипическими характеристиками исследуемой области.
В настоящей статье проведён обзор научных исследований, посвящённых возможностям и трудностям применения текстурного анализа в диагностике рака мочевого пузыря. Авторами описана практическая значимость данного метода, рассмотрены сложности и перспективы его использования. С помощью поисковых систем PubMed и Google Scholar по ключевым словам отобраны 40 публикаций, изданных за период с 2016 по 2024 гг.
Результаты многочисленных исследований демонстрируют высокую точность радиомики в местном стадировании рака мочевого пузыря, оценке морфологической картины опухоли и прогнозировании отдалённых клинических исходов.
Таким образом, текстурный анализ медицинских изображений способен предоставить дополнительную информацию в диагностике рака мочевого пузыря в неоднозначных клинических случаях. Сегодня стандартизация метода является одной из ключевых задач для ускорения внедрения радиомического анализа в клиническую практику.



Дистанционное наблюдение за состоянием пациентов с хронической сердечной недостаточностью: неинвазивный подход
Аннотация
Дистанционное наблюдение за состоянием здоровья пациентов активно используют в последние годы, в том числе у пациентов с хронической сердечной недостаточностью. В отличие от инвазивных методов, неинвазивные не сопряжены с операционными рисками и предоставляют широкие возможности для ведения пациентов: телемониторинг, виртуальные визиты, предварительная сортировка на пути в приёмное отделение, внутригоспитальная телемедицина, телемедицинская реабилитация, психологическая поддержка и многое другое. Ранее дистанционое наблюдение осуществляли с привлечением мультидисциплинарной команды из медработников разных специальностей, что обеспечивало высокую эффективность, а попытки внедрения современных технологий для снижения участия людей часто оказывались безуспешными. Однако пандемия COVID-19 подтолкнула к радикальному изменению всех электронных и телемедицинских технологий в здравоохранении. На сегодняшний день существует огромное разнообразие методов и технологий дистанционного наблюдения, но из-за отсутствия единых стандартов, несовершенства законодательства, региональных, социальных и экономических различий в доступности этих технологий всё ещё нельзя однозначно судить об их эффективности. Тем не менее в 2021 году дистанционное наблюдение включили в клинические рекомендации Европейского общества кардиологов по диагностике и лечению острой и хронической сердечной недостаточности (IIb). Данный обзор посвящён истории развития современных методов дистанционного наблюдения, а также проблемам, которые они призваны решить с целью повышения эффективности амбулаторного наблюдения за состоянием здоровья пациентов с хронической сердечной недостаточностью.



Цифровой стетоскоп — новая эра аускультации
Аннотация
В статье представлен обзор современных электронных и цифровых стетоскопов. Проведён анализ публикаций за последние 10 лет с использованием поисковых систем eLIBRARY.ru, PubMed, Google Scholar по ключевым словам: «аускультация», «электронный стетоскоп», «цифровой стетоскоп», «телемедицина». Рассмотрены новые возможности аускультации при использовании цифровых стетоскопов. Даны краткие характеристики изделий наиболее востребованных на рынке производителей. Повышение функционала и универсальности цифрового стетоскопа (возможность анализировать звуки сердца, лёгких, кишечника и других органов), а также улучшение шумоподавления и фильтрации полученного звука позволят сделать цифровые стетоскопы ещё более привлекательными для использования. По мере решения этих задач цифровой стетоскоп определённо станет незаменимым инструментом в диагностике, мониторинге и лечении заболеваний, а также самоконтроле пациентов. Перспективным направлением использования современных моделей цифровых стетоскопов является телемониторинг пациентов с заболеваниями сердечно-сосудистой и дыхательной систем. Особенно важна оценка аускультативной картины пациентов в динамике, при длительном наблюдении, что может способствовать раннему выявлению осложнений и декомпенсаций различных хронических неинфекционных заболеваний, например хронической обструктивной болезни лёгких, бронхиальной астмы, инфаркта миокарда и т.д.



Возможности применения технологий виртуальной и дополненной реальности в современной кардиологии и кардиохирургии
Аннотация
Технологические инновации произвели революцию в медицинской практике, особенно в области кардиохирургии, где сложный характер вмешательств требует точности и предусмотрительности. Использование виртуальной и дополненной реальности в этой области открывает огромные перспективы для улучшения предоперационного планирования, повышения качества медицинского образования и, в конечном счёте, улучшения результатов лечения пациентов.
В данном обзоре проанализирована литература, посвящённая роли виртуальной и дополненной реальности в современной кардиологии, а также обсуждаются возможные направления развития данной области.
В результате поиска извлечено 3858 публикаций из PubMed/MEDLINE, 69 публикаций из eLibrary и 1115 публикаций, найденных с помощью Google Scholar. Поисковые запросы включали следующие ключевые слова и их сочетания: виртуальная реальность; дополненная реальность; кардиология; кардиохирургия; virtual reality; augmented reality; cardiology; cardiac surgery. Временной интервал поиска: с момента основания соответствующих баз данных по май 2024 года.
Современная кардиологическая помощь включает в себя всё более сложные процедуры, требующие высокого уровня квалификации. Виртуальная реальность становится мощным инструментом как для предпроцедурного планирования, так и для образовательных мероприятий. Она открывает новые возможности для обучения и подготовки специалистов в области кардиологии. С её помощью можно создавать реалистичные симуляции различных ситуаций, с которыми врачи могут столкнуться в своей работе. Это позволяет обучающимся получить практический опыт без риска для реальных пациентов. Интеграция виртуальной реальности в кардиологическую практику имеет большой потенциал, однако для этого необходимо решить ряд проблем. Следует разработать стандарты безопасности и эффективности использования виртуальной реальности в медицинских целях. Также необходимо провести дополнительные исследования, чтобы оценить долгосрочные последствия её использования для здоровья пациентов.



Сравнительный анализ модификаций нейросетевых архитектур U-Net в задаче сегментации медицинских изображений
Аннотация
Методы обработки данных с использованием нейронных сетей завоёвывают всё большую популярность в области медицинской диагностики. Наиболее часто их применяют при исследовании медицинских изображений органов человека с использованием компьютерной и магнитно-резонансной томографии, ультразвуковых и иных средств неинвазивных исследований. Диагностирование патологии в таком случае сводится к решению задачи сегментации медицинского изображения, то есть поиска групп (областей) пикселов, характеризующих некоторые объекты на снимке. Один из наиболее успешных методов решения данной задачи — разработанная в 2015 году нейросетевая архитектура U-Net. В настоящем обзоре авторы проанализировали разнообразные модификации классической архитектуры U-Net. Рассмотренные работы разделены на несколько ключевых направлений: модификации кодировщика и декодировщика; использование блоков внимания; комбинирование с элементами других архитектур; методы внедрения дополнительных признаков; трансферное обучение и подходы для обработки малых наборов реальных данных. Изучены различные обучающие наборы, для которых приведены лучшие достигнутые в литературе значения метрик (показатель сходства Dice; пересечение над объединением Intersection over Union; общая точность и др.). Также создана сводная таблица с указанием типов анализируемых изображений и выявляемых патологий на них. Обозначены перспективные направления дальнейших модификаций для повышения качества решения задач сегментации. Результаты могут быть полезны в области выявления заболеваний, прежде всего, онкологических. Представленные алгоритмы могут стать частью профессиональных медицинских интеллектуальных ассистентов.



Возможности лучевых методов диагностики метастазов в кости кастрационно-резистентного рака предстательной железы (обзор литературы)
Аннотация
Метастатический кастрационно-резистентный рак предстательной железы (мКРРПЖ) — это прогрессирование опухолевого процесса при формировании невосприимчивости к андроген-депривационной терапии. Частота появления метастазов в костях у таких пациентов достигает 90%. В диагностике мКРРПЖ широко используют лучевые методы исследований. Компьютерная томография и магнитно-резонансная томография обладают преимуществами в анатомической визуализации, однако имеют ограничения в оценке эффективности лечения заболевания. Сцинтиграфию применяют для скрининга метастатического поражения костей скелета, но при этом затруднён анализ прогрессирования заболевания. Позитронно-эмиссионную томографию (ПЭТ), совмещённую с компьютерной томографией, и однофотонную эмиссионную компьютерную томографию используют для раннего выявления местного или системного распространения рака предстательной железы. Информация о количестве поглощённого радиофармпрепарата (РФП) с помощью ПЭТ-визуализации простатоспецифичного мембранного антигена используют для прогнозирования эффективности противоопухолевой терапии. С внедрением в практическую деятельность РФП (177Lu-PSMA) открылась перспектива проведения радионуклидной терапии с одновременным определением её эффективности методами гибридной визуализации. Возможности методов лучевой диагностики метастазов в кости представляют особый интерес для изучения и систематизации получаемых данных и разработки показаний для проведения радиолигандной терапии и анализа её эффективности.
Опубликованные данные свидетельствуют о том, что лучевые методы диагностики мКРРПЖ обладают различной чувствительностью и специфичностью, имеют свои преимущества и недостатки, что говорит о необходимости комплексного подхода в их использовании.
Разработка и развитие методик количественной оценки эффективности лечения, выявление прогностических маркёров позволит грамотно выбрать необходимую тактику лечения и облегчит подбор РФП, что приведёт к увеличению общей выживаемости.



Ультразвуковое исследование в программах экстракорпорального оплодотворения
Аннотация
В настоящее время всё больше внимания уделяют ценности ультразвукового исследования как неотъемлемой части программ экстракорпорального оплодотворения, чем обусловлена актуальность темы данного обзора. В представленном обзоре научной литературы, основанном на самых значимых исследованиях последних лет, сделана попытка ответить на дискуссионный вопрос о выборе ведущего метода оценки овариального резерва и прогнозирования результатов программ экстракорпорального оплодотворения. В работе проведён анализ преимуществ и недостатков методов двухмерного и трёхмерного трансвагинального ультразвукового исследования при подсчёте количества фолликулов яичников. Приведены ультразвуковые характеристики эндометрия и показатели кровотока в маточных артериях, являющиеся возможными предикторами результатов программ экстракорпорального оплодотворения. Представлены современные возможности трансабдоминальной аспирации ооцитов в программах экстракорпорального оплодотворения. В результате анализа данных литературы сделан вывод о высокой информативности ультразвукового исследования в программах экстракорпорального оплодотворения.



Клинические случаи и серии клинических случаев
Магнитно-резонансная томография в диагностике серозной аденокарциномы фаллопиевых труб: клинический случай
Аннотация
Серозная аденокарцинома фаллопиевых труб — крайне редкая и сложная для диагностики форма злокачественных новообразований женской репродуктивной системы. Данная патология часто протекает бессимптомно или сопровождается неспецифической клинической картиной, включающей серозно-кровянистые выделения из влагалища, коликообразную боль в нижней части живота и таза. Эти симптомы известны в литературе как триада Лацко и считаются патогномоничными для рака маточной трубы, однако их сочетание наблюдается менее чем у 15% больных. Низкая частота встречаемости и отсутствие патогномоничной клинической картины приводят к высокому числу диагностических ошибок либо к выявлению заболевания уже в запущенной стадии, что существенно ухудшает прогноз для пациента. Точный диагноз на предоперационном этапе устанавливается всего лишь в 4% случаев. В данном клиническом наблюдении приводится описание случая серозной аденокарциномы фаллопиевых труб со всеми проявлениями триады Лацко и МР-картины, позволившей заподозрить наличие у пациентки серозной аденокарциномы фаллопиевых труб на предоперационном этапе.



Роль компьютерной томографии в дифференциальной диагностике интракардиального объёмного образования в области митрального клапана: серия клинических случаев
Аннотация
Дифференциальная диагностика интракардиального объёмного образования в области кольца митрального клапана, выявленного при проведении эхокардиографии, может быть непростой задачей. Её решение обычно требует мультимодального подхода. Очень часто природа такого образования связана с подклапанным кальцинозом митрального клапана. Наибольшую трудность в диагностике представляет достаточно редкий его вариант — казеозная форма. На примере представленной серии клинических случаев подчёркивается важность и клиническая значимость компьютерной томографии для выявления и характеристики подклапанного кальциноза кольца митрального клапана при неоднозначных результатах других методов диагностики, в частности эхокардиографии. Данная работа нацелена на повышение информированности специалистов о классических признаках казеозной формы подклапанного кальциноза кольца митрального клапана при визуализации в различных модальностях. Особое внимание уделяется построению дифференциально-диагностического ряда, выделению характеристик, позволяющих отличить подклапанный кальциноз кольца митрального клапана от других патологических состояний в данной локализации. Осведомлённость врачей о существовании такого рода изменений в области митрального клапана необходима для прогнозирования возможных осложнений, связанных с ней, и планирования тактики лечения, что поможет в некоторых случаях избежать неоправданных хирургических вмешательств.



Гипоплазия нижней полой вены, сопровождающаяся гипертрофией непарной и полунепарной вен и образованием сети коллатеральных вен в брюшной полости: клинический случай
Аннотация
Гипоплазия нижней полой вены — это редкая врождённая сосудистая аномалия, которая отличается разнообразием форм. В некоторых случаях нижняя полая вена прерывается. Именно поэтому поиск описания определённых анатомических вариантов данной аномалии в литературе — это достаточно трудная задача. В настоящей статье представлен уникальный случай бессимптомной гипоплазии инфраренального сегмента нижней полой вены, сопровождающейся гипертрофией непарной и полунепарной вен, а также формированием сети коллатеральных вен на передней брюшной стенке. Сосудистая аномалия выявлена случайно у мужчины 75 лет. Помимо описания клинического случая, в статье кратко охарактеризованы сопутствующие изменения венозной системы брюшной полости, особенно выраженные с правой стороны, а также изменения нижней полой вены и системы непарной вены. В работе также приведено обоснование важности проведения визуализационных исследований для выявления сосудистых аномалий. В представленном клиническом случае визуализация выполнена с помощью компьютерной томографии с многофазным контрастированием, что позволило точно определить наличие сложной сосудистой аномалии. У пациента ранее никогда не возникало симптомов, указывающих на наличие данной аномалии, а проявлявшиеся симптомы, повидимому, не были с ней связаны, поэтому пациенту рекомендовано периодическое наблюдение.


