Гипоплазия нижней полой вены, сопровождающаяся гипертрофией непарной и полунепарной вен и образованием сети коллатеральных вен в брюшной полости: клинический случай
- Авторы: Montatore M.1, Muscatella G.1, Masino F.1, Ricatti G.2, Balbino M.1, Gifuni R.1, Guglielmi G.1,2,3
-
Учреждения:
- Foggia University School of Medicine
- «Monsignor Raffaele Dimiccoli» Hospital
- IRCCS Casa Sollievo della Sofferenza Hospital
- Выпуск: Том 5, № 4 (2024)
- Страницы: 902-910
- Раздел: Клинические случаи и серии клинических случаев
- URL: https://journal-vniispk.ru/DD/article/view/309845
- DOI: https://doi.org/10.17816/DD630215
- ID: 309845
Цитировать
Аннотация
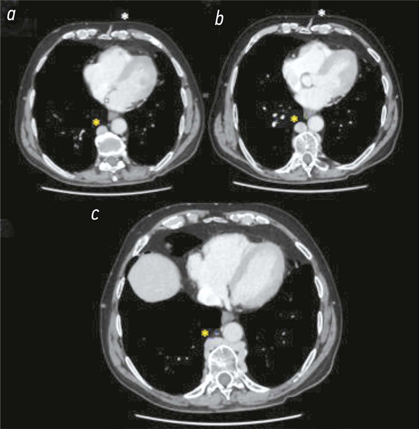
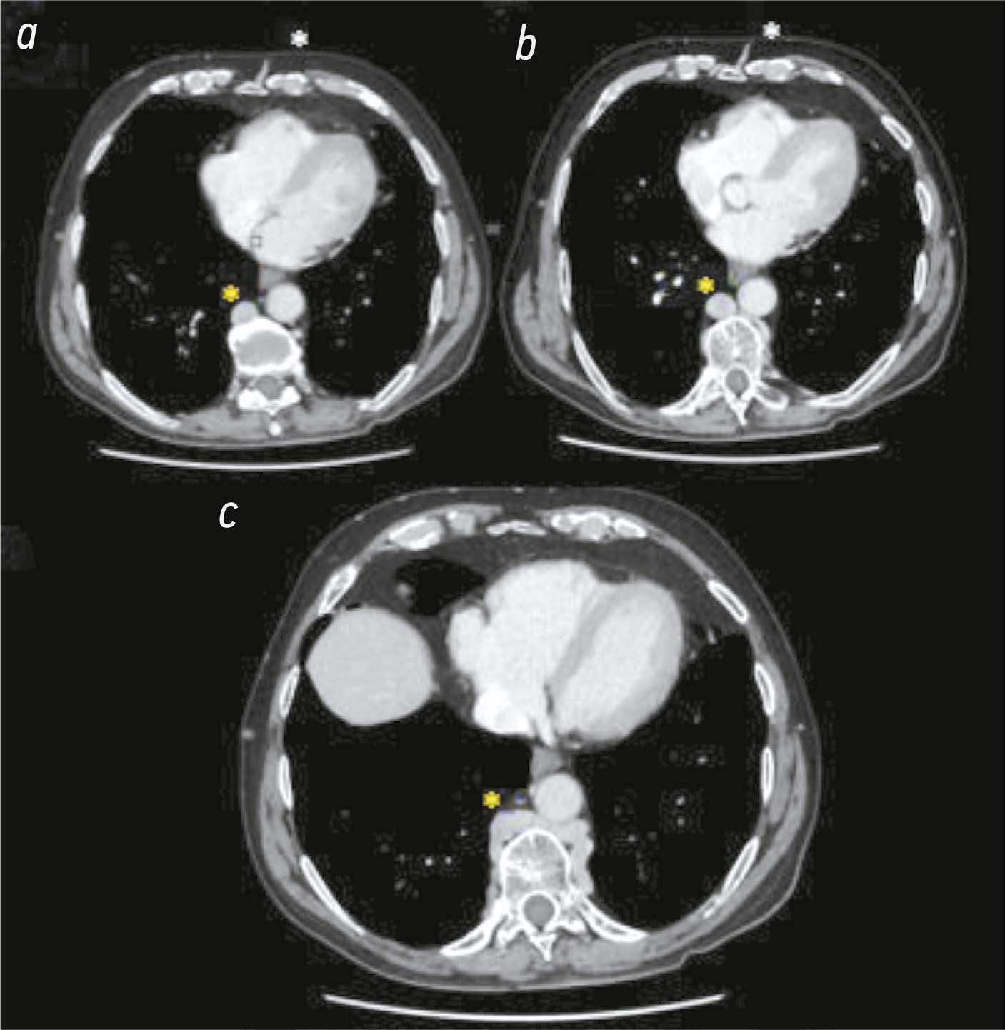
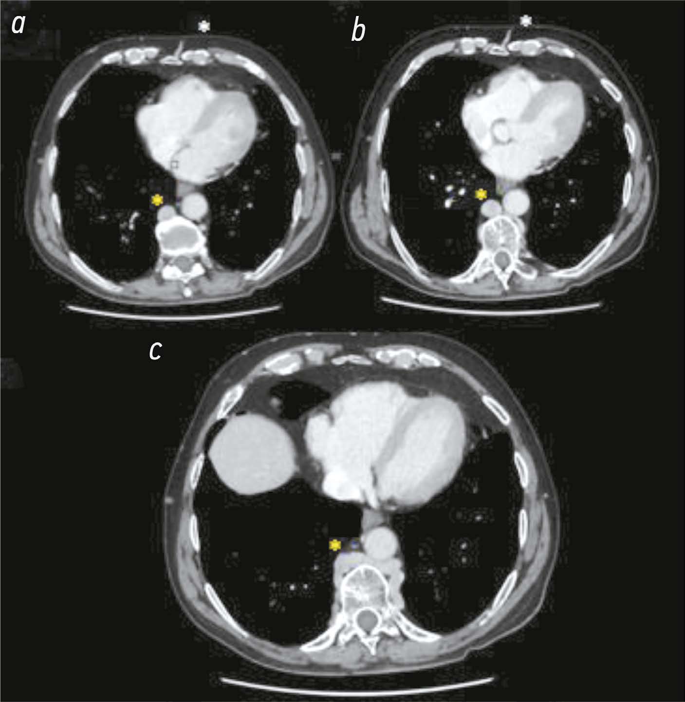
Гипоплазия нижней полой вены — это редкая врождённая сосудистая аномалия, которая отличается разнообразием форм. В некоторых случаях нижняя полая вена прерывается. Именно поэтому поиск описания определённых анатомических вариантов данной аномалии в литературе — это достаточно трудная задача. В настоящей статье представлен уникальный случай бессимптомной гипоплазии инфраренального сегмента нижней полой вены, сопровождающейся гипертрофией непарной и полунепарной вен, а также формированием сети коллатеральных вен на передней брюшной стенке. Сосудистая аномалия выявлена случайно у мужчины 75 лет. Помимо описания клинического случая, в статье кратко охарактеризованы сопутствующие изменения венозной системы брюшной полости, особенно выраженные с правой стороны, а также изменения нижней полой вены и системы непарной вены. В работе также приведено обоснование важности проведения визуализационных исследований для выявления сосудистых аномалий. В представленном клиническом случае визуализация выполнена с помощью компьютерной томографии с многофазным контрастированием, что позволило точно определить наличие сложной сосудистой аномалии. У пациента ранее никогда не возникало симптомов, указывающих на наличие данной аномалии, а проявлявшиеся симптомы, повидимому, не были с ней связаны, поэтому пациенту рекомендовано периодическое наблюдение.
Полный текст
Открыть статью на сайте журналаОб авторах
Manuela Montatore
Foggia University School of Medicine
Автор, ответственный за переписку.
Email: manuela.montatore@unifg.it
ORCID iD: 0009-0002-1526-5047
MD
Италия, ФоджаGianmichele Muscatella
Foggia University School of Medicine
Email: muscatella94@gmail.com
ORCID iD: 0009-0004-3535-5802
MD, Department of Clinical and Experimental Medicine
Италия, ФоджаFederica Masino
Foggia University School of Medicine
Email: federicamasino@gmail.com
ORCID iD: 0009-0004-4289-3289
Department of Clinical and Experimental Medicine, MD
Италия, ФоджаGiovanni Ricatti
«Monsignor Raffaele Dimiccoli» Hospital
Email: g.ricatti@live.com
ORCID iD: 0009-0006-7620-1011
MD
Италия, БарелеттаMarina Balbino
Foggia University School of Medicine
Email: marinabalbino93@gmail.com
ORCID iD: 0009-0009-2808-5708
MD, Department of Clinical and Experimental Medicine
Италия, ФоджаRossella Gifuni
Foggia University School of Medicine
Email: rossella.gifuni@unifg.it
ORCID iD: 0009-0009-9679-3861
MD, Department of Clinical and Experimental Medicine
Италия, ФоджаGiuseppe Guglielmi
Foggia University School of Medicine; «Monsignor Raffaele Dimiccoli» Hospital; IRCCS Casa Sollievo della Sofferenza Hospital
Email: giuseppe.guglielmi@unifg.it
ORCID iD: 0000-0002-4325-8330
профессор
Италия, Фоджа; Барелетта; Сан Джованни РотондоСписок литературы
- Koudounas G., Giannopoulos S., Volteas P., Virvilis D. A unique case of hypoplastic inferior vena cava leading to bilateral iliofemoral venous outflow obstruction and review of literature // J Vasc Surg Cases Innov Tech. 2022. Vol 8, N 4. P. 842–849. doi: 10.1016/j.jvscit.2022.10.010
- Ghandour A., Partovi S., Karuppasamy K., Rajiah P. Congenital anomalies of the IVC–embryological perspective and clinical relevance // Cardiovasc Diagn Ther. 2016. Vol 6, N 6. P. 482–492. doi: 10.21037/cdt.2016.11.18
- Li S.J., Lee J., Hall J., Sutherland T.R. The inferior vena cava: anatomical variants and acquired pathologies // Insights Imaging. 2021. Vol 12, N 1. ID: 123. doi: 10.1186/s13244-021-01066-7
- Masino F., Muscatella G., Montatore M., et al. A remarkable case report of an interrupted inferior vena cava with hemiazygos and transhepatic continuation // Acta Biomed. 2023. Vol 94, N 5. ID: e2023238. doi: 10.23750/abm.v94i5.15085
- Vignesh S., Bhat T.A. Unique Medley of Cardinal Veins: Duplicated Superior and Inferior Venae Cavae With Left Renal Agenesis and Hemiazygos Continuation of Left Inferior Vena Cava With Drainage Into Left Atrium // Vasc Endovascular Surg. 2022. Vol. 56, N 3. P. 330–334. doi: 10.1177/15385744211051493
- Liu Y., Guo D., Li J., et al. Radiological features of azygos and hemiazygos continuation of inferior vena cava: A case report // Medicine (Baltimore). 2018. Vol. 97, N 17. ID: e0546. doi: 10.1097/MD.0000000000010546
- Chen S. J., Wu M. H., Wang J. K. Clinical implications of congenital interruption of inferior vena cava // J Formos Med Assoc. 2022. Vol. 121, N 10. P. 1938–1944. doi: 10.1016/j.jfma.2022.01.021
- Morosetti D., Picchi E., Calcagni A., et al. Anomalous development of the inferior vena cava: Case reports of agenesis and hypoplasia // Radiol Case Rep. 2018. Vol. 13, N 4. P. 895–903. doi: 10.1016/j.radcr.2018.04.018
- Sneed D., Hamdallah I., Sardi A. Absence of the Retrohepatic Inferior Vena Cava: What the Surgeon Should Know // Am Surg. 2005. Vol. 71, N 6. P. 502-504. doi: 10.1177/00031348050710061
- Sahin H., Pekcevik Y., Aslaner R. Double Inferior Vena Cava (IVC) With Intrahepatic Interruption, Hemiazygos Vein Continuation, and Intrahepatic Venous Shunt // Vasc Endovascular Surg. 2017. Vol. 51, N 1. P. 38–42. doi: 10.1177/1538574416687734
- Demos T.C., Posniak H.V., Pierce K.L., et al. Venous anomalies of the thorax // AJR Am J Roentgenol. 2004. Vol. 182, N 5. P. 1139–1150. doi: 10.2214/ajr.182.5.1821139
- Koc Z., Oguzkurt L. Interruption or congenital stenosis of the inferior vena cava: prevalence, imaging, and clinical findings // Eur J Radiol. 2007. Vol. 62, N 2. P. 257–266. doi: 10.1016/j.ejrad.2006.11.028
- Mandato Y., Pecoraro C., Gagliardi G., Tecame M. Azygos and hemiazygos continuation: An occasional finding in emergency department // Radiol Case Rep. 2019. Vol. 14, N 9. P. 1063–1068. doi: 10.1016/j.radcr.2019.06.003
- Holemans J.A. Azygos, not azygous // AJR Am J Roentgenol. 2001. Vol. 176, N 6. P. 1602–1602. doi: 10.2214/ajr.176.6.1761602b
Дополнительные файлы






