Прогнозирование эффективности неоадъювантной химиолучевой терапии у больных раком прямой кишки на основе текстурного анализа Т2-взвешенного магнитно-резонансного изображения опухоли, полученного при первичном стадировании
- Авторы: Дайнеко Я.А.1, Березовская Т.П.1, Мирзеабасов О.А.2, Старков С.О.2, Мялина С.А.1, Невольских А.А.1, Иванов С.А.1,3, Каприн А.Д.3,4,5
-
Учреждения:
- Медицинский радиологический научный центр имени А.Ф. Цыба ― филиал ФГБУ «Национальный медицинский исследовательский центр радиологии»
- Обнинский институт атомной энергетики — филиал ФГАОУ ВПО «Национальный исследовательский ядерный университет МИФИ»
- Российский университет дружбы народов имени Патриса Лумумбы
- Московский научно-исследовательский онкологический институт имени П.А. Герцена ― филиал ФГБУ «Национальный медицинский исследовательский центр радиологии»
- Национальный медицинский исследовательский центр радиологии
- Выпуск: Том 5, № 3 (2024)
- Страницы: 421-435
- Раздел: Оригинальные исследования
- URL: https://journal-vniispk.ru/DD/article/view/310028
- DOI: https://doi.org/10.17816/DD628304
- ID: 310028
Цитировать
Полный текст
Аннотация
Обоснование. В последнее время прилагаются значительные усилия по поиску потенциальных неинвазивных биомаркёров для прогнозирования ответа местно распространённого рака прямой кишки на неоадъювантную химиолучевую терапию.
Цель исследования ― оценить текстурные характеристики местно распространённого рака прямой кишки на первичном Т2-взвешенном изображении (Т2-ВИ) в качестве потенциального фактора прогноза эффективности стандартной неоадъювантной химиолучевой терапии и разработать на их основе систему прогнозирования эффективности такого лечения.
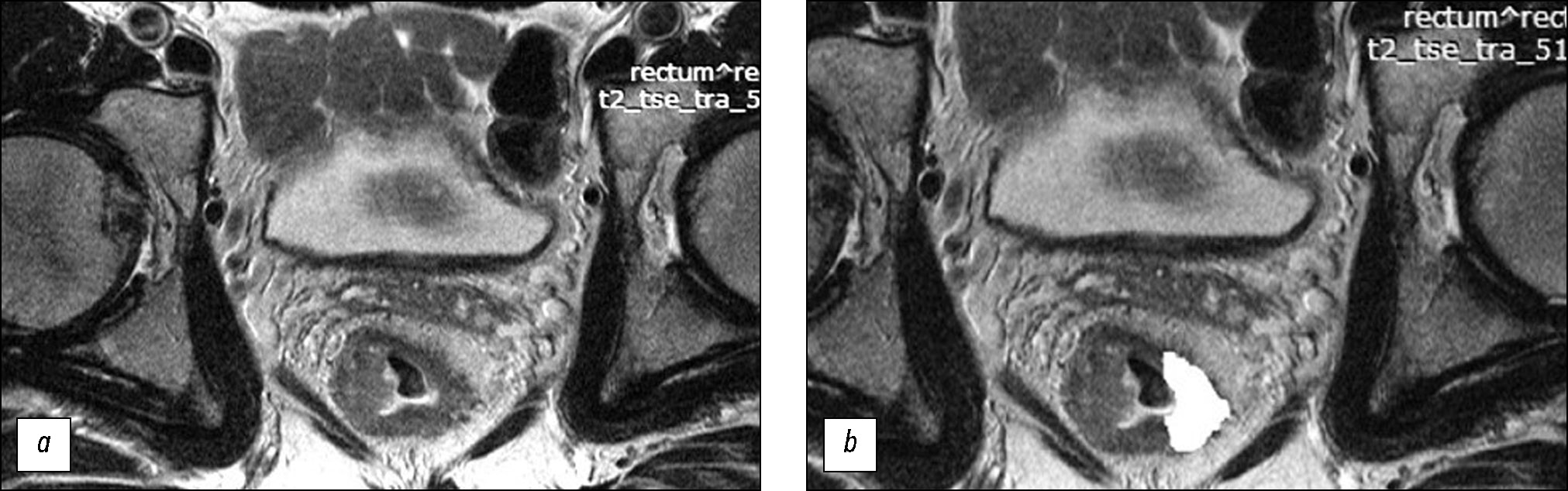
Материалы и методы. Включённые в ретроспективное исследование пациенты с местно распространённым раком прямой кишки, получившие комбинированное лечение с неоадъювантной химиолучевой терапией (n=82), были разделены на обучающую (n=58) и контрольную (n=24) выборку. Для текстурного анализа использовали первичное Т2-ВИ высокого разрешения на уровне центра опухоли, ориентированное перпендикулярно стенке кишки. Текстурный анализ выполняли статистическим методом второго порядка на основе матрицы совместной встречаемости уровней серого (GLCM) с помощью компьютерной программы MAZDAver. 4.6 с расчётом 11 параметров текстуры. После морфологической оценки операционных препаратов в обучающей выборке выявлены достоверно различающиеся параметры текстурного анализа для групп пациентов, ответивших (группа хорошего прогноза) и не ответивших (группа плохого прогноза) на лечение, на основе чего создана балльная система оценки эффективности неоадъювантной химиолучевой терапии. Система протестирована на контрольной выборке с определением параметров диагностической эффективности.
Результаты. Группы хорошего и плохого прогноза в обучающей выборке достоверно различались по пяти параметрам текстуры, для которых найдены точки разделения: AngScMom (р=0,021), SumofSqs (р=0,003), SumEntrp (р=0,003), Entropy (р=0,038) и SumVarnc (р=0,015), из них исключены при создании балльной системы Entropy ,как имеющий сильную прямую корреляционную связь с SumEntrp и наименьшую AUC, и SumofSqs из-за низкой воспроизводимости. Диагностическая эффективность балльной системы прогнозирования ответа имела чувствительность, специфичность, прогностичность положительного и прогностичность отрицательного результата 72; 69; 70 и 71% для обучающей и 80; 64; 62 и 82% для контрольной выборки соответственно. Площадь под ROC-кривой для обучающей выборки составила 0,77, для контрольной ― 0,72.
Заключение. Текстурный анализ первичного Т2-ВИ опухоли у больных местно распространённым раком прямой кишки позволил спрогнозировать эффективность неоадъювантной химиолучевой терапии с умеренной диагностической эффективностью, что свидетельствует о перспективности дальнейших исследований в этом направлении.
Полный текст
Открыть статью на сайте журналаОб авторах
Яна Александровна Дайнеко
Медицинский радиологический научный центр имени А.Ф. Цыба ― филиал ФГБУ «Национальный медицинский исследовательский центр радиологии»
Автор, ответственный за переписку.
Email: vorobeyana@gmail.com
ORCID iD: 0000-0002-4524-0839
SPIN-код: 1841-7759
канд. мед. наук
Россия, ОбнинскТатьяна Павловна Березовская
Медицинский радиологический научный центр имени А.Ф. Цыба ― филиал ФГБУ «Национальный медицинский исследовательский центр радиологии»
Email: tberezovska@yahoo.com
ORCID iD: 0000-0002-3549-4499
SPIN-код: 5837-3465
д-р мед. наук, профессор
Россия, ОбнинскОлег Ахмедбекович Мирзеабасов
Обнинский институт атомной энергетики — филиал ФГАОУ ВПО «Национальный исследовательский ядерный университет МИФИ»
Email: oami@yandex.ru
ORCID iD: 0000-0001-5587-2795
SPIN-код: 3820-4320
доцент
Россия, ОбнинскСергей Олегович Старков
Обнинский институт атомной энергетики — филиал ФГАОУ ВПО «Национальный исследовательский ядерный университет МИФИ»
Email: sergeystarkov56@mail.ru
ORCID iD: 0000-0002-0420-7856
д-р физ.-мат. наук, профессор
Россия, ОбнинскСофия Анатольевна Мялина
Медицинский радиологический научный центр имени А.Ф. Цыба ― филиал ФГБУ «Национальный медицинский исследовательский центр радиологии»
Email: samyalina@mail.ru
ORCID iD: 0000-0001-6686-5419
SPIN-код: 9668-3834
Россия, Обнинск
Алексей Алексеевич Невольских
Медицинский радиологический научный центр имени А.Ф. Цыба ― филиал ФГБУ «Национальный медицинский исследовательский центр радиологии»
Email: editor@omnidoctor.ru
ORCID iD: 0000-0001-5961-2958
SPIN-код: 3787-6139
д-р мед. наук
Россия, ОбнинскСергей Анатольевич Иванов
Медицинский радиологический научный центр имени А.Ф. Цыба ― филиал ФГБУ «Национальный медицинский исследовательский центр радиологии»; Российский университет дружбы народов имени Патриса Лумумбы
Email: oncourolog@gmail.com
ORCID iD: 0000-0001-7689-6032
SPIN-код: 4264-5167
д-р мед. наук, профессор, чл.-корр. РАН
Россия, Обнинск; МоскваАндрей Дмитриевич Каприн
Российский университет дружбы народов имени Патриса Лумумбы; Московский научно-исследовательский онкологический институт имени П.А. Герцена ― филиал ФГБУ «Национальный медицинский исследовательский центр радиологии»; Национальный медицинский исследовательский центр радиологии
Email: contact@nmicr.ru
ORCID iD: 0000-0001-8784-8415
SPIN-код: 1759-8101
д-р мед. наук, профессор, академик РАН
Россия, Москва; Москва; МоскваСписок литературы
- Бердов Б.А., Ерыгин Д.В., Невольских А.А., и др. Междисциплинарный подход в лечении рака прямой кишки // Поволжский онкологический вестник. 2015. № 4. С. 21–28. EDN: UKTSNJ
- Майстренко Н.А., Галкин В.Н., Ерыгин Д.В., Сазонов А.А. Неоадъювантная химиолучевая терапия в комбинированном лечении больных раком прямой кишки // Вестник хирургии им. И.И. Грекова. 2017. Т. 176, № 4. С. 31–38. EDN: ZDQHMV doi: 10.24884/0042-4625-2017-176-4-31-38
- Бердов Б.А., Ерыгин Д.В., Невольских А.А., и др. Неоадъювантная терапия местно-распространенного рака прямой кишки // Онкология. Журнал им. П.А. Герцена. 2018. Т. 3, № 7. С. 9–15.EDN: XSLIJN doi: 10.17116/onkolog2018739
- Maas M., Nelemans P.J., Valentini V., et al. Long-term outcome in patients with a pathological complete response after chemoradiation for rectal cancer: A pooled analysis of individual patient data // Lancet Oncol.2010. Vol. 11, N 9. P. 835–844. doi: 10.1016/S1470-2045(10)70172-8
- Petresc B., Lebovici A., Caraiani C., et al. Pre-treatment T2-WI based radiomics features for prediction of locally advanced rectal cancer non-response to neoadjuvant chemoradiotherapy: A preliminary study // Cancers (Basel). 2020. Vol. 12, N 7. P. 1894. doi: 10.3390/cancers12071894
- Huh J.W., Kim H.C., Kim S.H., et al. Tumor regression grade as a clinically useful outcome predictor in patients with rectal cancer after preoperative chemoradiotherapy // Surgery. 2019. Vol. 165, N 3. P. 579–585. doi: 10.1016/j.surg.2018.08.026
- Lambin P., Leijenaar R.T., Deist T.M., et al. Radiomics: The bridge between medical imaging and personalized medicine // Nat Rev Clin Oncol.2017. Vol. 14, N 12. P. 749–762. doi: 10.1038/nrclinonc.2017.141
- Mayerhoefer M.E., Materka A., Langs G., et al. Introduction to radiomics // J Nucl Med. 2020. Vol. 61, N 4. P. 488–495. doi: 10.2967/jnumed.118.222893
- Papanikolaou N., Matos C., Koh D.M. How to develop a meaningful radiomic signature for clinical use in oncologic patients // Cancer Imaging. 2020. Vol. 20, N 1. P. 33. EDN: ROFXND doi: 10.1186/s40644-020-00311-4
- Schick U., Lucia F., Dissaux G., et al. MRI-derived radiomics: Methodology and clinical applications in the field of pelvic oncology // Br J Radiol. 2019. Vol. 92,N 1104. P. 20190105. doi: 10.1259/bjr.20190105
- Березовская Т.П., Дайнеко Я.А., Невольских А.А., и др. Система оценки эффективности неоадъювантной химиолучевой терапии у больных раком прямой кишки на основе текстурного анализа посттерапевтического Т2-взвешенного магнитно-резонансного изображения опухоли // Российский электронный журнал лучевой диагностики. 2020. Т. 10, № 3. С. 92–101.EDN: DCXHXG doi: 10.21569/2222-7415-2020-10-3-92-101
- Lubner M.G., Smith A.D., Sandrasegaran K., et al. CT Texture analysis: Definitions, applications, biologic correlates, and challenges // Radiographics. 2017. Vol. 37, N 5. P. 1483–1503. doi: 10.1148/rg.2017170056
- Rogers W., Thulasi Seetha S., Refaee T.A., et al. Radiomics: From qualitative to quantitative imaging // Br J Radiol.2020. Vol. 93, N 1108. P. 20190948. doi: 10.1259/bjr.20190948
- Capobianco E., Dominietto M. From medical imaging to radiomics: Role of data science for advancing precision health // J Pers Med. 2020. Vol. 10, N 1. P. 15. doi: 10.3390/jpm10010015
- Dagogo-Jack I., Shaw A.T. Tumour heterogeneity and resistance to cancer therapies // Nat Rev Clin Oncol. 2018. Vol. 15, N 2. P. 81–94. doi: 10.1038/nrclinonc.2017.166
- Лушников Е.Ф. Лечебный патоморфоз опухолей // Краевский Н.А., Смолянников А.В., Саркисов Д.С., ред. Патологоанатомическая диагностика опухолей человека. Москва: Медицина, 1993.
- Miranda J., Horvat N., Assuncao A.N., et al. MRI-based radiomic score increased mrTRG accuracy in predicting rectal cancer response to neoadjuvant therapy // AbdomRadiol (NY). 2023. Vol. 48, N 6. P. 1911–1920. EDN: IYPGFF doi: 10.1007/s00261-023-03898-x
- Wen L., Liu J., Hu P., et al. MRI-based radiomic models outperform radiologists in predicting pathological complete response to neoadjuvant chemoradiotherapy in locally advanced rectal cancer // AcadRadiol. 2023. Vol. 30, Suppl. 1. P. S176–S184. EDN: TYUIWX doi: 10.1016/j.acra.2022.12.037
- Tomaszewski M.R., Dominguez-Viqueira W., Ortiz A., et al. Heterogeneity analysis of MRI T2 maps for measurement of early tumor response to radiotherapy // NMR Biomed. 2021. Vol. 34, N 3. P. e4454 EDN: NWLELG doi: 10.1002/nbm.4454
- Stanzione A., Verde F., Romeo V., et al. Radiomics and machine learning applications in rectal cancer: Current update and future perspectives // World J Gastroenterol. 2021. Vol. 27, N 32. P. 5306–5321. doi: 10.3748/wjg.v27.i32.5306
- Cui Y., Yang X., Shi Z., et al. Radiomics analysis of multiparametric MRI for prediction of pathological complete response to neoadjuvant chemoradiotherapy in locally advanced rectal cancer // Eur Radiol. 2019. Vol. 29, N 3. P. 1211–1220. EDN: ATAEHX doi: 10.1007/s00330-018-5683-9
- Huang H., Han L., Guo J., et al. Multiphase and multiparameter MRI-based radiomics for prediction of tumor response to neoadjuvant therapy in locally advanced rectal cancer // Radiat Oncol. 2023. Vol. 18, N 1. P. 179. EDN: ICLFRG doi: 10.1186/s13014-023-02368-4
- Zhou X., Yu Y., Feng Y., et al. Attention mechanism based multi-sequence MRI fusion improves prediction of response to neoadjuvant chemoradiotherapy in locally advanced rectal cancer // Radiat Oncol. 2023. Vol. 18, N 1. P. 175. EDN: DIHCZQ doi: 10.1186/s13014-023-02352-y
- Santini D., Danti G., Bicci E., et al. Radiomic features are predictive of response in rectal cancer undergoing therapy // Diagnostics. 2023. Vol. 13, N 15. P. 2573. EDN: CWBCMS doi: 10.3390/diagnostics13152573
- Giannini V., Mazzetti S., Bertotto I., et al. Predicting locally advanced rectal cancer response to neoadjuvant therapy with 18F-FDG PET and MRI radiomics features // Eur J Nucl Med Mol Imaging. 2019. Vol. 46, N 4. P. 878–888. EDN: PVETLQ doi: 10.1007/s00259-018-4250-6
- Гележе П.Б., Блохин И.А., Семёнов С.С., Caruso D. Радиомика магнитно-резонансной томографии при раке предстательной железы: что известно в настоящее время? // Digital Diagnostics. 2021. Т. 2, № 4. С. 441−452. EDN: FFFGWI doi: 10.17816/DD70170
- Tibermacine H., Rouanet P., Sbarra M., et al. GRECCAR Study Group. Radiomics modelling in rectal cancer to predict disease-free survival: Evaluation of different approaches // Br J Surg. 2021. Vol. 108, N 10. P. 1243–1250. doi: 10.1093/bjs/znab191
- Miranda J., Wang L., Wu X., et al. MRI-based pre-Radiomics and delta-Radiomics models accurately predict the post-treatment response of rectal adenocarcinoma to neoadjuvant chemoradiotherapy // Front Oncol. 2023. N 13. P. 1133008.EDN: XYMVTJ doi: 10.3389/fonc.2023.1133008
- Haralick R.M. Statistical and structural approaches to texture // IEEE. 1979. Vol. 67, N 5, P. 768–804. doi: 10.1109/PROC.1979.11328
- Mayerhoefer M.E., Szomolanyi P., Jirak D., et al. Effects of MRI acquisition parameter variations and protocol heterogeneity on the results of texture analysis and pattern discrimination: An application-oriented study // Med Phys. 2009. Vol. 36, N 4. 1236–1243. doi: 10.1118/1.3081408
- Shayesteh S., Nazari M., Salahshour A., et al. Treatment response prediction using MRI-based pre-, post-, and delta-radiomic features and machine learning algorithms in colorectal cancer // Med Phys. 2021. Vol. 48, N 7. P. 3691–3701. doi: 10.1002/mp.14896
- Song M., Li S., Wang H., et al. MRI radiomics independent of clinical baseline characteristics and neoadjuvant treatment modalities predicts response to neoadjuvant therapy in rectal cancer // Br J Cancer. 2022. Vol. 127, N 2. P. 249–257. EDN: BCDXXD doi: 10.1038/s41416-022-01786-7
- Yardimci A.H., Kocak B., Sel I., et al. Radiomics of locally advanced rectal cancer: Machine learning-based prediction of response to neoadjuvant chemoradiotherapy using pre-treatment sagittal T2-weighted MRI // JPN J Radiol. 2023. Vol. 41, N 1. P. 71–82. EDN: PSFYUW doi: 10.1007/s11604-022-01325-7
Дополнительные файлы








