Radiologic diagnostics in complex estimation of the features of neuroplasticity in preterm newborns with extremely low birth weight
- Authors: Melashenko T.V.1, Tashilkin A.I.1, Narkevich T.A.1, Pozdnyakov A.V.1, Krasnogorskaya O.L.1, Nasyrov R.A.1, Ivanov D.O.1, Lvov V.S.1
-
Affiliations:
- St. Petersburg State Pediatric Medical University, Ministry of Healthcare of the Russian Federation
- Issue: Vol 9, No 6 (2018)
- Pages: 21-28
- Section: Articles
- URL: https://journal-vniispk.ru/pediatr/article/view/11220
- DOI: https://doi.org/10.17816/PED9621-28
- ID: 11220
Cite item
Abstract
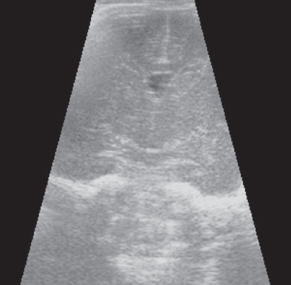
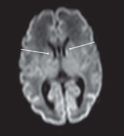
Patterns of neuroplasticity and cerebral maturation in preterm neonate can be assessed by MRI and cranial ultrasound. The score system of brain maturation includes the account of germinal matrix (GM) regression by MRI. The GM regression can be considered as pattern of neuroplasticity. There have been investigated the changes of neuroplasticity pattern or GM regression in preterm neonates with extremely low birth weight (ELBW) without intragerminal/intraventricular hemorrhages (n = 21). It is believe that the main causes of impair of GM are the intragerminal hemorrhages and hypoxia. The methods of study were cranial ultrasound (CU) and MRI. The measurement of GM was carried out by CU in anterior horn of the lateral ventricles of neonates in the study group (25-29 weeks). It was detected the GM regression in preterm neonates with increasing age, and complete GM regression to 30 week. MRI has been performed in 15 neonates from the study group on 27-38 weeks age with using the common pulse sequences – T1 WI, T2 WI and Flair. GM was detected by MRI up to 34 weeks inclusive by using the additional pulse sequence – DWI. By using common pulse sequences the GM was visualized up to 32 weeks age. Furthermore there has been pathological examination of GM in anterior horn of lateral ventricle in dead neonates from the study group (n = 3). We revealed the thickness reduction of GM in the lateral ventricles with increasing age of the dead neonates. Also we identified the delay of the GM reduction in two dead neonates 36-38 weeks age (post conceptual age) what may indicate the disorder of neuroplasticity in those preterm neonates. The performed study showed the capability of CU and MRI in examination of neuroplasticity in preterm neonates.
Full Text
##article.viewOnOriginalSite##About the authors
Tat'yana V. Melashenko
St. Petersburg State Pediatric Medical University, Ministry of Healthcare of the Russian Federation
Author for correspondence.
Email: Radiology@mail.ru
MD, PhD, Neurologist of Neonatal Intensive Care Unit
Russian Federation, Saint PetersburgAlexey I. Tashilkin
St. Petersburg State Pediatric Medical University, Ministry of Healthcare of the Russian Federation
Email: Radiology@mail.ru
Assistant of the Department of Medical Biophysics, radiologist of the Department of Radiology
Russian Federation, Saint PetersburgTatiana A. Narkevich
St. Petersburg State Pediatric Medical University, Ministry of Healthcare of the Russian Federation
Email: Radiology@mail.ru
Assistant, Department of Pathological Anatomy with the Course of Forensic Medicine
Russian Federation, Saint PetersburgAleksandr V. Pozdnyakov
St. Petersburg State Pediatric Medical University, Ministry of Healthcare of the Russian Federation
Email: Radiology@mail.ru
MD, PhD, Dr Med Sci, Professor, Head of Department of Radiology, Head of the Department of Medical Biophysics
Russian Federation, Saint PetersburgOlga L. Krasnogorskaya
St. Petersburg State Pediatric Medical University, Ministry of Healthcare of the Russian Federation
Email: Radiology@mail.ru
MD, PhD, Associate Professor of the Department of Pathological Anatomy with the Course of Forensic Medicine
Russian Federation, Saint PetersburgRuslan A. Nasyrov
St. Petersburg State Pediatric Medical University, Ministry of Healthcare of the Russian Federation
Email: Radiology@mail.ru
MD, PhD, Dr Med Sci, Professor, Head of the Department of Pathological Anatomy with the Course of Forensic Medicine
Russian Federation, Saint PetersburgDmitry O. Ivanov
St. Petersburg State Pediatric Medical University, Ministry of Healthcare of the Russian Federation
Email: Radiology@mail.ru
MD, PhD, Dr Med Sci, Professor, Rector
Russian Federation, Saint PetersburgViktor S. Lvov
St. Petersburg State Pediatric Medical University, Ministry of Healthcare of the Russian Federation
Email: viktorlvov@list.ru
Postgraduate Student of the Department of Medical Biophysics
Russian Federation, Saint PetersburgReferences
- Гусев У.И., Камчатнов П.Р. Пластичность нервной системы // Журнал неврологии и психиатрии им. С.С. Корсакова. - 2004. - № 3. - С. 73-79. [Gusev UI, Kamchatnov PR. Plastichnost’ nervnoj sistemy. Zhurnal nevrologii i psihiatrii im. S.S. Korsakova. 2004;(3):73-79. (In Russ.)]
- Buch K, Podhaizer D, Tsai A, et al. Residual Germinal Matrix Tissue Detected on High- Resolution Ultrasound in Very Premature Neonates. In: Proceedings of the EPOS Congress: ECR2015; 4-8 Mar 2015. Vienna; 2015.
- Childs AM, Ramenghi LA, Cornette L, et al. Cerebral maturation in premature infants: quantitative assessment using MR imaging. AJNR Am J Neuroradiol. 2001;22(8):1577-1582.
- Counsell SJ, Kennea NL, Herlihy AH, et al. T2 relaxation values in the developing preterm brain. AJNR Am J Neuroradiol. 2003;24(8):1654-1660.
- Counsell SJ. Magnetic resonance imaging of preterm brain injury. Arch Dis Child Fetal Neonatal Ed. 2003;88(4):269F-274. doi: 10.1136/fn.88.4.F269.
- Deipolyi AR, Mukherjee P, Gill K, et al. Comparing microstructural and macrostructural development of the cerebral cortex in premature newborns: diffusion tensor imaging versus cortical gyration. Neuroimage. 2005;27(3):579-86. doi: 10.1016/j.neuroimage.2005.04.027.
- El-Dib M, Massaro AN, Bulas D, Aly H. Neuroimaging and neurodevelopmental outcome of premature infants. Am J Perinatol. 2010;27(10):803-818. doi: 10.1055/s-0030-1254550.
- Helwich E, Bekiesinska-Figatowska M, Bokiniec R. Recommendations regarding imaging of the central nervous system in fetuses and neonates. J Ultrason. 2014;14(57):203-216. doi: 10.15557/JoU.2014.0020.
- Herculano-Houzel S. Not all brains are made the same: new views on brain scaling in evolution. Brain Behav Evol. 2011;78(1):22-36. doi: 10.1159/000327318.
- Lewitus E, Kelava I, Huttner WB. Conical expansion of the outer subventricular zone and the role of neocortical folding in evolution and development. Front Hum Neurosci. 2013;7:424. doi: 10.3389/fnhum.2013.00424.
- Matsumoto JA, Gaskin CM, Kreitel KO, et al. MRI atlas Pediatric Brain Maturation and Anatomy. Oxford: Oxford University Press; 2015.
- Prager A, Roychowdhury S. Magnetic resonance imaging of the neonatal brain. Indian J Pediatr. 2007;74(2):173-84. doi: 10.1007/s12098-007-0012-3.
- Shi Y, Kirwan P, Smith J, et al. Human cerebral cortex development from pluripotent stem cells to functional excitatory synapses. Nat Neurosci. 2012;15(3):477-86, S471. doi: 10.1038/nn.3041.
- Vainak N, Calin AM, Fufezan O, et al. Neonatal brain ultrasound - a practical guide for the young Radiologist. In: Proceedings of the EPOS Congress: ECR2014; 6-10 Mar 2014, Vienna. doi: 10.1594/ecr2014/C-0527.
- Intracranial hemorrhage: germinal matrix-intraventricular hemorrhage. In: Neurology of the Newborn. 5th ed. Ed. by J.J. Volpe. Philadelphia: Saunders Elsevier; 2008. P. 517-528.
Supplementary files











