Нейроэндокринные опухоли желудка и поджелудочной железы: диагностические возможности радиомики, проблемы и пути их решения
- Авторы: Нуднов Н.В.1,2,3, Шахвалиева Э.С.1, Карелидзе Д.Г.1, Борисов А.А.1, Иванников М.Е.1
-
Учреждения:
- Российский научный центр рентгенорадиологии
- Российская медицинская академия непрерывного профессионального образования
- Российский университет дружбы народов имени Патриса Лумумбы
- Выпуск: Том 5, № 4 (2024)
- Страницы: 712-724
- Раздел: Оригинальные исследования
- URL: https://journal-vniispk.ru/DD/article/view/309831
- DOI: https://doi.org/10.17816/DD629345
- ID: 309831
Цитировать
Аннотация
Обоснование. В настоящее время радиомика является многообещающим и перспективным инструментом в диагностике и лечении нейроэндокринных новообразований различной локализации. Этот метод часто используют для дифференциальной диагностики нейроэндокринных опухолей желудочно-кишечного тракта с другими новообразованиями данной локализации.
Цель — оценить возможности применения радиомики для дифференциальной диагностики нейроэндокринных опухолей желудка и поджелудочной железы.
Материалы и методы. В исследование включены данные 12 пациентов с морфологически верифицированными новообразованиями желудка (6 — с нейроэндокринной опухолью и 6 — с аденокарциномой) и данные 22 пациентов с морфологически верифицированными новообразованиями поджелудочной железы (11 — с нейроэндокринной опухолью и 11 — с аденокарциномой). Всем пациентам до лечения в Российском научном центре рентгенорадиологии выполнено компьютерно-томографическое (КТ) исследование органов брюшной полости с внутривенным контрастированием. Показатели радиомики рассчитаны в области опухоли желудка и поджелудочной железы, которую сегментировали вручную в нативную фазу КТ-исследования. Обработку результатов и статистический анализ проводили с использованием Microsoft Office Excel и свободной среды разработки программного обеспечения с открытым исходным кодом для языка программирования R — R-Studio.
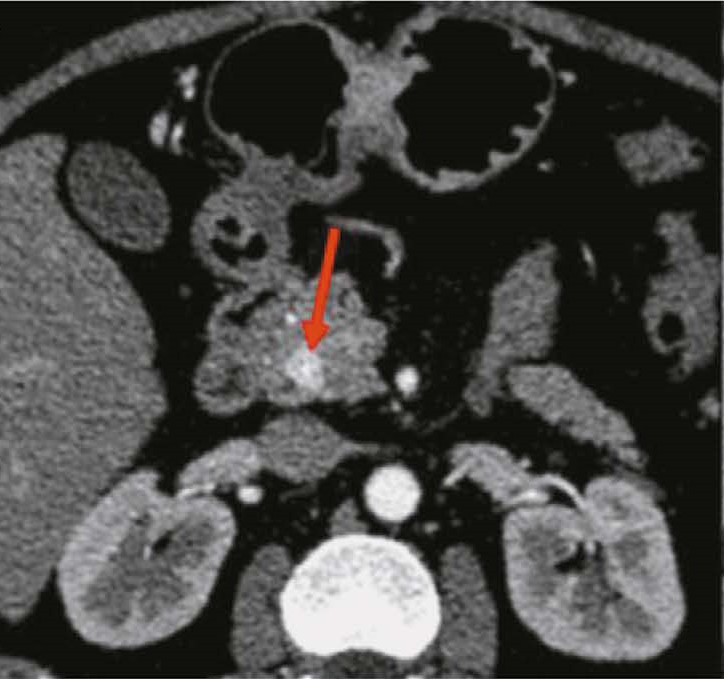
Результаты. На примерах КТ-исследований продемонстрированы типичные и нетипичные визуальные признаки нейроэндокринных опухолей желудка и поджелудочной железы, особенности контрастирования, локализации и структуры новообразований. Выявлено 15 показателей радиомики, которые статистически значимо различаются между нейроэндокринной опухолью желудка и аденокарциномой желудка. В случае поджелудочной железы нейроэндокринные опухоли статистически значимо отличались от аденокарцином по 14 показателям радиомики.
Заключение. Нейроэндокринные опухоли желудка и поджелудочной железы — редкие новообразования, которые в большинстве случаев не проявляют себя клинически и трудно визуализируются из-за малых размеров и особенностей контрастирования. Текстурный анализ может стать перспективным подходом для дифференциальной диагностики нейроэндокринных опухолей желудочно-кишечного тракта с другими новообразованями данной локализации, особенно с учётом сложности взятия биопсии.
Полный текст
Открыть статью на сайте журналаОб авторах
Николай Васильевич Нуднов
Российский научный центр рентгенорадиологии; Российская медицинская академия непрерывного профессионального образования; Российский университет дружбы народов имени Патриса Лумумбы
Автор, ответственный за переписку.
Email: nudnov@rncrr.ru
ORCID iD: 0000-0001-5994-0468
SPIN-код: 3018-2527
д-р мед. наук, профессор
Россия, Москва; Москва; МоскваЭлина Саид-Аминовна Шахвалиева
Российский научный центр рентгенорадиологии
Email: shelina9558@gmail.com
ORCID iD: 0009-0000-7535-8523
Россия, Москва
Давид Георгиевич Карелидзе
Российский научный центр рентгенорадиологии
Email: david_ka@mail.ru
ORCID iD: 0009-0002-0375-1291
Россия, Москва
Александр Александрович Борисов
Российский научный центр рентгенорадиологии
Email: aleksandrborisov10650@gmail.com
ORCID iD: 0000-0003-4036-5883
SPIN-код: 4294-4736
Россия, Москва
Михаил Евгеньевич Иванников
Российский научный центр рентгенорадиологии
Email: ivannikovmichail@gmail.com
ORCID iD: 0009-0007-0407-0953
SPIN-код: 3419-2977
Россия, Москва
Список литературы
- Shah M.H., Goldner W.S., Benson A.B., et al. Neuroendocrine and Adrenal Tumors, Version 2.2021, NCCN Clinical Practice Guidelines in Oncology // J Natl Compr Canc Netw. 2021. Vol. 19, N 7. P. 839–868. doi: 10.6004/jnccn.2021.0032
- Меньшиков К.В., Султанбаев А.В., Мусин Ш.И., и др. Нейроэндокринные опухоли. Обзор литературы // Креативная хирургия и онкология. 2021. Т. 11, № 2. С. 174–182. EDN: RTJQRK doi: 10.24060/2076-3093-2021-11-2-174-182
- Алекберзаде А.В., Крылов Н.Н., Липницкий Е.М., и др. Нейроэндокринные опухоли желудка // Хирургия. Журнал им. Н.И. Пирогова. 2019. № 12. С. 111–120. EDN: RIRQGH doi: 10.17116/hirurgia2019121111
- Клинические рекомендации «Нейроэндокринные опухоли» [интернет]. Министерство здравоохранения Российской Федерации. 2020– Режим доступа: https://cr.minzdrav.gov.ru/schema/610_1 Дата обращения: 04.03.2024.
- Dasari A., Shen C., Halperin D., et al. Trends in the Incidence, Prevalence, and Survival Outcomes in Patients With Neuroendocrine Tumors in the United States // JAMA Oncol. 2017. Vol. 3, N. 10. P. 1335–1342. doi: 10.1001/jamaoncol.2017.0589
- Методические рекомендации «Нейроэндокринные опухоли поджелудочной железы» [интернет]. Департамент здравоохранения города Москвы. 2019– Режим доступа: https://niioz.ru/upload/iblock/4ee/4ee9895614aa276f538069caee698fce.pdf Дата обращения: 04.03.2024
- Halfdanarson T.R., Rabe K.G., Rubin J., Petersen G.M. Pancreatic neuroendocrine tumors (PNETs): incidence, prognosis and recent trend toward improved survival // Ann Oncol. 2008. Vol. 19, N. 10. P. 1727–1733. doi: 10.1093/annonc/mdn351
- Loosen S.H., Kostev K., Jann H., et al. Distribution of gastrointestinal neuroendocrine tumors in Europe: results from a retrospective cross-sectional study // J Cancer Res Clin Oncol. 2023. Vol. 149, N. 4. P. 1411–1416. doi: 10.1007/s00432-022-04003-3
- Черноусов А.Ф., Егоров А.В., Мусаев Г.Х., и др. Нейроэндокринные опухоли поджелудочной железы: 30-летний опыт клиники факультетской хирургии им. Н.Н. Бурденко // Хирургия. Журнал им. Н.И. Пирогова. 2013. № 7. С. 13–19. EDN: QYSJLV
- Dias A.R., Azevedo B.C., Alban L.B.V., et al. Gastric neuroendocrine tumor: review and update // Arq Bras Cir Dig. 2017. Vol. 30, N. 2. P. 150–154. doi: 10.1590/0102-6720201700020016
- Sundin A., Vullierme M.P., Kaltsas G., Plöckinger U. ENETS Consensus Guidelines for the Standards of Care in Neuroendocrine Tumors: radiological examinations // Neuroendocrinology. 2009. Vol. 90, N. 2. P. 167–183. doi: 10.1159/000184855
- Radiographia.info [интернет]. Эндокринные опухоли поджелудочной железы Режим доступа: https://radiographia.info/article/endokrinnye opuholi podzheludochnoy zhelezy Дата обращения: 04.03.2024
- Груздев И.С. Применение текстурного анализа в дифференциальном диагнозе и прогнозе при хирургическом лечении гиперваскулярных образований поджелудочной железы: диссертация на соискание учёной степени кандидата медицинских наук. Москва, 2022. Режим доступа: https://www.rncrr.ru/nauka/dissertatsionnyy-sovet/obyavleniya-o-zashchitakh/upload%202023/Груздев_диссертация.pdf Дата обращения: 04.03.2024 EDN: BKPRVN
- Lewis R.B., Lattin Jr G.E., Paal E. Pancreatic endocrine tumors: radiologic clinicopathologic correlation. Radiographics. 2010. Vol. 30, N. 6. P. 1445–1464. doi: 10.1148/rg.306105523
- Raman S.P., Hruban R.H., Cameron J.L., et al. Pancreatic imaging mimics: part 2, pancreatic neuroendocrine tumors and their mimics // AJR Am J Roentgenol. 2012. Vol. 199, N. 2. P. 309–318. doi: 10.2214/AJR.12.8627
- Sahani D.V., Bonaffini P.A., Fernández Del Castillo C., Blake M.A. Gastroenteropancreatic neuroendocrine tumors: role of imaging in diagnosis and management // Radiology. 2013. Vol. 266, N 1. P. 38–61. doi: 10.1148/radiol.12112512
- Ganeshan D., Bhosale P., Yang T., Kundra V. Imaging features of carcinoid tumors of the gastrointestinal tract // AJR Am J Roentgenol. 2013. Vol. 201, N. 4. P. 773–786. doi: 10.2214/AJR.12.9758
- Михайлов И.В., Беляковский В.Н., Кудряшов В.А., и др. Биопсия опухолей поджелудочной железы перед резекцией: за и против // Проблемы здоровья и экологии. 2021. Т. 18, № 1. С. 62–69. EDN: ECTEZT doi: 10.51523/2708-6011.2021-18-1-9
- Staal F.C.R., Aalbersberg E.A., van der Velden D., et al. GEP NET radiomics: a systematic review and radiomics quality score assessment // Eur Radiol. 2022. Vol. 32, N. 10. P. 7278–7294. doi: 10.1007/s00330-022-08996-w
- van Griethuysen J.J.M., Fedorov A., Parmar C., et al. Computational Radiomics System to Decode the Radiographic Phenotype // Cancer Res. 2017. Vol. 77, N. 21. P. e104–e107. doi: 10.1158/0008-5472.CAN-17-0339
- Wang X., Qiu J.J., Tan C.L., et al. Development and Validation of a Novel Radiomics Based Nomogram With Machine Learning to Preoperatively Predict Histologic Grade in Pancreatic Neuroendocrine Tumors // Front Oncol. 2022. Vol. 1. ID: 843376. doi: 10.3389/fonc.2022.843376
- Dong Y., Yang D.H., Tian X.F., et al. Pancreatic neuroendocrine tumor: prediction of tumor grades by radiomics models based on ultrasound images // Br J Radiol. 2023. Vol. 96, N. 1149. ID: 20220783. doi: 10.1259/bjr.20220783
- Ye J.Y., Fang P., Peng Z.P., et al. A radiomics based interpretable model to predict the pathological grade of pancreatic neuroendocrine tumors. // Eur Radiol. 2024. Vol 34, N 3. P. 1994–2005. doi: 10.1007/s00330-023-10186-1
- Chiti G., Grazzini G., Cozzi D., et al. Imaging of Pancreatic Neuroendocrine Neoplasms // Int J Environ Res Public Health. 2021. Vol. 18, N. 17. ID: 8895. doi: 10.3390/ijerph18178895
- Liang W., Yang P., Huang R., et al. A Combined Nomogram Model to Preoperatively Predict Histologic Grade in Pancreatic Neuroendocrine Tumors // Clin Cancer Res. 2019. Vol. 25, N. 2. P. 584–594. doi: 10.1158/1078-0432.CCR-18-1305
- Wang R., Liu H., Liang P., et al. Radiomics analysis of CT imaging for differentiating gastric neuroendocrine carcinomas from gastric adenocarcinomas // Eur J Radiol. 2021. Vol. 138. ID: 109662. doi: 10.1016/j.ejrad.2021.109662
- Han X., Yang J., Luo J., et al. Application of CT-Based Radiomics in Discriminating Pancreatic Cystadenomas From Pancreatic Neuroendocrine Tumors Using Machine Learning Methods // Front Oncol. 2021. Vol. 11. ID: 606677. doi: 10.3389/fonc.2021.606677
- Shi Y.J., Zhu H.T., Liu Y.L., et al. Radiomics Analysis Based on Diffusion Kurtosis Imaging and T2 Weighted Imaging for Differentiation of Pancreatic Neuroendocrine Tumors From Solid Pseudopapillary Tumors // Front Oncol. 2020. Vol. 10. ID: 1624. doi: 10.3389/fonc.2020.01624
- Li X., Zhu H., Qian X., et al. MRI Texture Analysis for Differentiating Nonfunctional Pancreatic Neuroendocrine Neoplasms From Solid Pseudopapillary Neoplasms of the Pancreas // Acad Radiol. 2020. Vol. 27, N. 6. P. 815–823. doi: 10.1016/j.acra.2019.07.012
- He M., Liu Z., Lin Y., et al. Differentiation of atypical non functional pancreatic neuroendocrine tumor and pancreatic ductal adenocarcinoma using CT based radiomics // Eur J Radiol. 2019. Vol.117. P. 102–111. doi: 10.1016/j.ejrad.2019.05.024
- An P., Zhang J., Li M., et al. Clinical Data-CT Radiomics Based Model for Predicting Prognosis of Patients with Gastrointestinal Pancreatic Neuroendocrine Neoplasms (GP-NENs) // Comput Math Methods Med. 2022. Vol. 2022. ID: 4186305. doi: 10.1155/2022/4186305
- Song C., Wang M., Luo Y., et al. Predicting the recurrence risk of pancreatic neuroendocrine neoplasms after radical resection using deep learning radiomics with preoperative computed tomography images // Ann Transl Med. 2021. Vol. 9, N. 10. ID: 833. doi: 10.21037/atm-21-25
- Caruso D., Polici M., Rinzivillo M., et al. CT-based radiomics for prediction of therapeutic response to Everolimus in metastatic neuroendocrine tumors // Radiol Med. 2022. Vol. 127, N. 7. P. 691–701. doi: 10.1007/s11547-022-01506-4
Дополнительные файлы






