Опыт применения методов радиомики и дозиомики для нахождения предикторов лучевых повреждений лёгких
- Авторы: Нуднов Н.В.1,2,3, Сотников В.М.1, Иванников М.Е.1, Шахвалиева Э.С.1, Борисов А.А.1, Леденев В.В.4, Смыслов А.Ю.1, Ананьина А.В.1
-
Учреждения:
- Российский научный центр рентгенорадиологии
- Российская медицинская академия непрерывного профессионального образования
- Российский университет дружбы народов имени Патриса Лумумбы
- Центральный клинический военный госпиталь
- Выпуск: Том 5, № 4 (2024)
- Страницы: 752-764
- Раздел: Оригинальные исследования
- URL: https://journal-vniispk.ru/DD/article/view/309834
- DOI: https://doi.org/10.17816/DD629352
- ID: 309834
Цитировать
Аннотация
Обоснование. Радиомика — это технология извлечения, анализа и интерпретации количественных характеристик из цифровых медицинских изображений, основанная на машинном обучении. В последние годы в литературе всё чаще встречается термин «дозиомика», обозначающий новое направление в радиомике. Дозиомика — это метод текстурного анализа планов распределения дозы облучения при лучевой терапии. Бóльшая часть опубликованных исследований в области дозиомики посвящена её применению в прогнозировании лучевого повреждения лёгких.
Цель — выявление предикторов (биомаркёров) лучевых повреждений лёгких с помощью текстурного анализа (методами радиомики и дозиомики) изображений лёгких, а также мягких тканей грудной клетки, полученных с помощью компьютерной томографии.
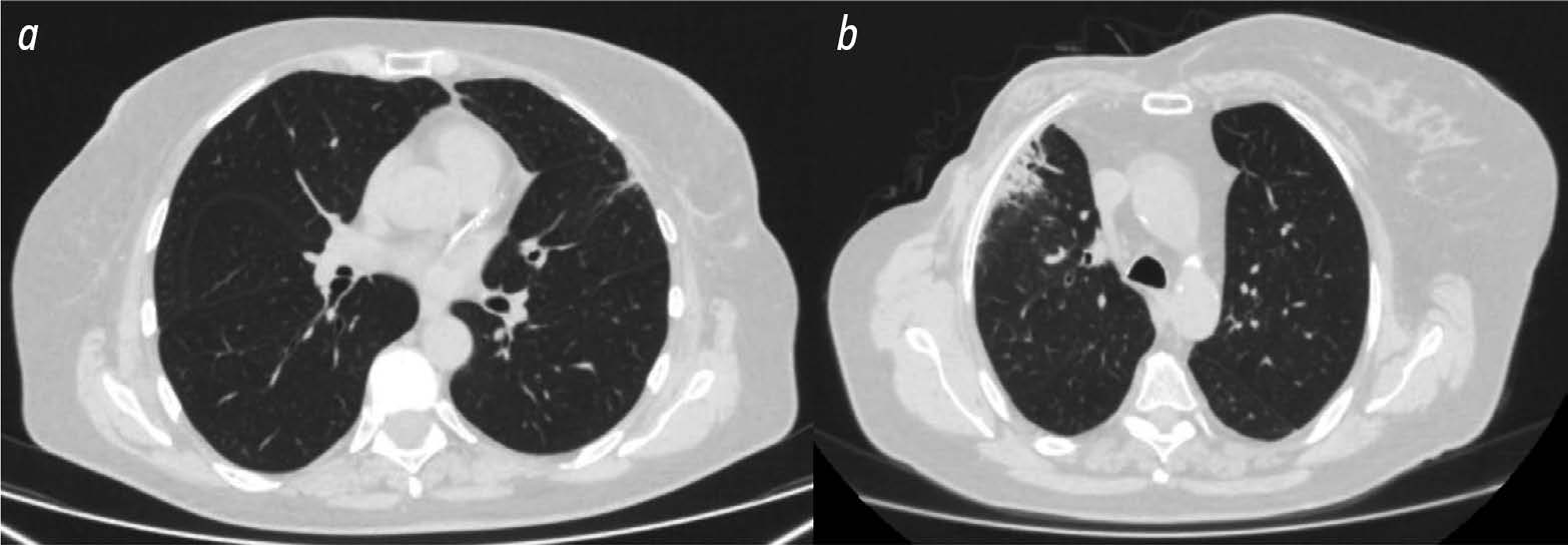
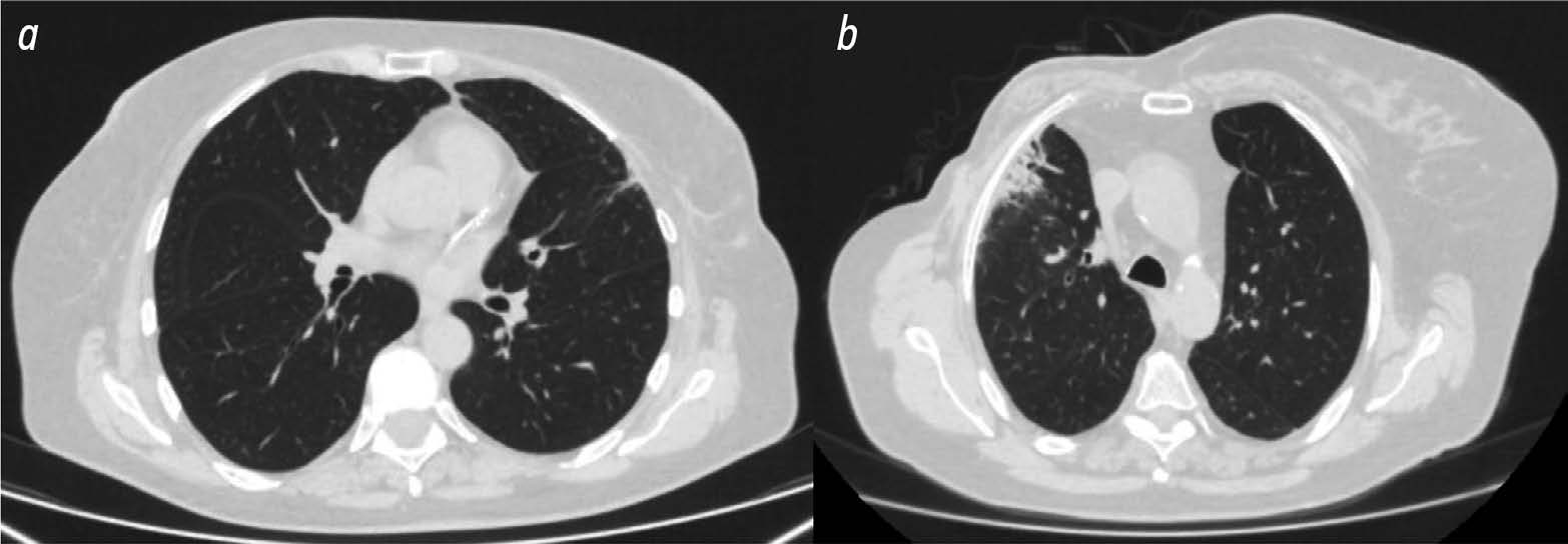
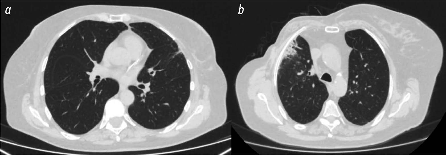
Материалы и методы. В исследовании использовали данные 36 женщин с раком молочной железы, прошедших послеоперационный курс конформной лучевой терапии. Ретроспективно пациенток разделили на две группы по степени постлучевых изменений лёгких. Результаты компьютерной томографии всех пациенток, полученные на этапе планирования лучевой терапии, и планы распределения доз облучения анализировали с помощью программного обеспечения 3D Slicer с функцией выгрузки показателей радиомики и дозиомики из областей интереса. В качестве областей интереса выбирали область мягких тканей грудной клетки и области лёгкого на стороне облучения, дозовая нагрузка на которые превышала 3 и 10 Гр.
Результаты. В первую группу включили 13 пациенток с минимальными постлучевыми изменениями в лёгких, во вторую группу — 23 пациентки с постлучевым пневмофиброзом. В области лёгкого на стороне облучения с дозовой нагрузкой более 3 Гр статистически значимые различия между группами пациенток получены по трём показателям радиомики и одному показателю дозиомики. В области лёгкого на стороне облучения с дозовой нагрузкой более 10 Гр статистически значимые различия получены по 12 показателям радиомики и 1 показателю дозиомики. В области мягких тканей грудной клетки на стороне облучения значимые различия получены по 18 показателям радиомики и 4 показателям дозиомики.
Заключение. В результате выполненного исследования получен ряд показателей радиомики и дозиомики, статистически различающихся у пациенток с минимальными постлучевыми изменениями и постлучевым пневмофиброзом лёгких после проведения лучевой терапии по поводу рака молочной железы. Предикторы (биомаркёры), выявленные нами на основе текстурного анализа, можно использовать для прогнозирования постлучевых повреждений лёгких и выявления пациентов с более высоким риском их развития.
Ключевые слова
Полный текст
Открыть статью на сайте журналаОб авторах
Николай Васильевич Нуднов
Российский научный центр рентгенорадиологии; Российская медицинская академия непрерывного профессионального образования; Российский университет дружбы народов имени Патриса Лумумбы
Автор, ответственный за переписку.
Email: nudnov@rncrr.ru
ORCID iD: 0000-0001-5994-0468
SPIN-код: 3018-2527
д-р мед. наук, профессор
Россия, Москва; Москва; МоскваВладимир Михайлович Сотников
Российский научный центр рентгенорадиологии
Email: vmsotnikov@mail.ru
ORCID iD: 0000-0003-0498-314X
SPIN-код: 3845-0154
д-р мед. наук, профессор
Россия, МоскваМихаил Евгеньевич Иванников
Российский научный центр рентгенорадиологии
Email: ivannikovmichail@gmail.com
ORCID iD: 0009-0007-0407-0953
SPIN-код: 3419-2977
врач
Россия, МоскваЭлина Саид-Аминовна Шахвалиева
Российский научный центр рентгенорадиологии
Email: shelina9558@gmail.com
ORCID iD: 0009-0000-7535-8523
врач
Россия, МоскваАлександр Александрович Борисов
Российский научный центр рентгенорадиологии
Email: aleksandrborisov10650@gmail.com
ORCID iD: 0000-0003-4036-5883
SPIN-код: 4294-4736
врач
Россия, МоскваВасилий Владимирович Леденев
Центральный клинический военный госпиталь
Email: Ledenevvv007@gmail.com
ORCID iD: 0000-0002-2856-2107
SPIN-код: 2791-0329
к.м.н.
Россия, МоскваАлексей Юрьевич Смыслов
Российский научный центр рентгенорадиологии
Email: smyslov.ay@gmail.com
ORCID iD: 0000-0002-6409-6756
SPIN-код: 9341-0037
канд. техн. наук
Россия, МоскваАлина Валентиновна Ананьина
Российский научный центр рентгенорадиологии
Email: vastruhina.a.v@yandex.ru
ORCID iD: 0009-0002-4562-9729
SPIN-код: 9699-7690
Россия, Москва
Список литературы
- Хмелевский Е.В., Каприн А.Д. Состояние радиотерапевтической службы России: сравнительный анализ и перспективы развития // Онкология. Журнал им. П.А. Герцена. 2017. Т. 6, № 4. С. 38–41. EDN: ZFCHGJ doi: 10.17116/onkolog20176438-41
- Kuipers M.E., van Doorn Wink K.C.J., Hiemstra P.S., Slats A.M. Predicting radiation induced lung injury in lung cancer patients — challenges and opportunities: Predicting radiation induced lung injury // Int J Radiat Oncol Biol Phys. 2023. Vol. 118, N 3. P. 639–649. doi: 10.1016/j.ijrobp.2023.10.044
- Mayerhoefer M.E., Materka A., Langs G., et al. Introduction to Radiomics // J Nucl Med. 2020. Vol. 61, N 4. P. 488–495. doi: 10.2967/jnumed.118.222893
- Radiomic Features: pyradiomics v3.0.1.post15+g2791e23 documentation [Internet]. [дата обращения: 25.11.2023]. Режим доступа: https://pyradiomics.readthedocs.io/en/latest/features.html#
- Avanzo M., Stancanello J., Pirrone G., et al. Radiomics and deep learning in lung cancer // Strahlenther Onkol. 2020. Vol. 196, N 10. P. 879–887. doi: 10.1007/s00066-020-01625-9
- Gabryś H.S., Buettner F., Sterzing F., et al. Design and selection of machine learning methods using radiomics and dosiomics for normal tissue complication probability modeling of xerostomia // Front Oncol. 2018. Vol. 8. ID 35. doi: 10.3389/fonc.2018.00035
- Солодкий В.А., Нуднов Н.В., Иванников М.Е., и др. Дозиомика в анализе медицинских изображений и перспективы её использования в клинической практике // Digital Diagnostics. 2023. Т. 4, № 3. C. 340–355. EDN: EQRWGJ doi: 10.17816/DD420053
- Arroyo Hernández M., Maldonado F., Lozano-Ruiz F., et al. Radiation induced lung injury: Current evidence // BMC Pulm Med. 2021. Vol. 21, N 1. ID 9. doi: 10.1186/s12890-020-01376-4
- Rahi M.S., Parekh J., Pednekar P., et al. Radiation Induced Lung Injury — Current Perspectives and Management // Clin Pract. 2021. Vol. 11, N 3. P. 410–429. doi: 10.3390/clinpract11030056
- Yan Y., Fu J., Kowalchuk R.O., et al. Exploration of radiation induced lung injury, from mechanism to treatment: a narrative review // Transl Lung Cancer Res. 2022. Vol. 11, N 2. P. 307–322. doi: 10.21037/tlcr-22-108
- Гладилина И.А., Шабанов М.А., Кравец О.А., и др. Постлучевые повреждения лёгких // Онкологический журнал: лучевая диагностика, лучевая терапия. 2020. Т. 3, № 2. С. 9–18. EDN: SKOAAY doi: 10.37174/2587-7593-2020-3-2-9-18
- Нуднов Н.В., Сотников В.М., Леденёв В.В., Барышникова Д.В. Возможности качественной оценки лучевых повреждений лёгких методом компьютерной томографии // Медицинская визуализация. 2016. № 1. С. 39–46. EDN: VWOIIB
- Леденёв В.В. Методика количественной оценки лучевых повреждений лёгких у онкологических пациентов по данным рентгеновской компьютерной томографии: диссертация на соискание учёной степени канд. мед. наук. Москва, 2023. 133 с. Режим доступа: https://www.rncrr.ru/nauka/dissertatsionnyysovet/obyavleniyaozashchitakh/upload%202023/Леденев_Диссертация.pdf Дата обращения: 25.11.2023. EDN: YBWROM
- Zhou C., Yu J. Chinese expert consensus on diagnosis and treatment of radiation pneumonitis // Prec Radiat Oncol. 2022. Vol. 6, N 3. P. 262–271. doi: 10.1002/pro6.1169
- Konkol M., Śniatała P., Milecki P. Radiation induced lung injury — what do we know in the era of modern radiotherapy? // Rep Pract Oncol Radiother. 2022. Vol. 27, N 3. P. 552–565. doi: 10.5603/RPOR.a2022.0046
- Шаймуратов Р.И. Радиационно индуцированные поражения лёгких. Современное состояние проблемы // Вестник современной клинической медицины. 2020. Т. 13, № 3. С. 63–73. EDN: BIZZHU doi: 10.20969/VSKM.2020.13(3).63-73
- 3D Slicer image computing platform [Internet]. [дата обращения: 25.11.2023]. Режим доступа: https://www.slicer.org/
- Wang L., Gao Z., Li C., et al. Computed Tomography Based Delta Radiomics Analysis for Discriminating Radiation Pneumonitis in Patients With Esophageal Cancer After Radiation Therapy // Int J Radiat Oncol Biol Phys. 2021. Vol. 111, N 2. P. 443–455. doi: 10.1016/j.ijrobp.2021.04.047
- Begosh Mayne D., Kumar S.S., Toffel S., et al. The dose response characteristics of four NTCP models: using a novel CT-based radiomic method to quantify radiation induced lung density changes // Sci Rep. 2020. Vol. 10, N 1. ID 10559. doi: 10.1038/s41598-020-67499-0
- Korpela E., Liu S.K. Endothelial perturbations and therapeutic strategies in normal tissue radiation damage // Radiat Oncol. 2014. Vol. 9. ID 266. doi: 10.1186/s13014-014-0266-7
- Zhao L., Sheldon K., Chen M., et al. The predictive role of plasma TGF-beta1 during radiation therapy for radiation induced lung toxicity deserves further study in patients with non small cell lung cancer // Lung Cancer. 2008. Vol. 59, N 2. P. 232–239. doi: 10.1016/j.lungcan.2007.08.010
- Chen S., Zhou S., Zhang J., et al. A neural network model to predict lung radiation induced pneumonitis // Med Phys. 2007. Vol. 34, N 9. P. 3420–3427. doi: 10.1118/1.2759601
- Jain V., Berman A.T. Radiation Pneumonitis: Old Problem, New Tricks // Cancers (Basel). 2018. Vol. 10, N 7. ID 222. doi: 10.3390/cancers10070222
- Huang Y., Feng A., Lin Y., et al. Radiation pneumonitis prediction after stereotactic body radiation therapy based on 3D dose distribution: Dosiomics and/or deep learning based radiomics features // Radiat Oncol. 2022. Vol. 17, N 1. ID 188. doi: 10.1186/s13014-022-02154-8
- Zhang Z., Wang Z., Yan M., et al. Radiomics and dosiomics signature from whole lung predicts radiation pneumonitis: A model development study with prospective external validation and decision curve analysis // Int J Radiat Oncol Biol Phys. 2023. Vol. 115, N 3. P. 746–758. doi: 10.1016/j.ijrobp.2022.08.047
- Puttanawarut C., Sirirutbunkajorn N., Khachonkham S., et al. Biological dosiomic features for the prediction of radiation pneumonitis in esophageal cancer patients // Radiat Oncol. 2021. Vol. 16, N 1. ID 220. doi: 10.1186/s13014-021-01950-y
- Liang B., Yan H., Tian Y., et al. Dosiomics: Extracting 3D spatial features from dose distribution to predict incidence of radiation pneumonitis // Front Oncol. 2019. Vol. 9. ID 269. doi: 10.3389/fonc.2019.00269
- Liang B., Tian Y., Chen X., et al. Prediction of radiation pneumonitis with dose distribution: A convolutional neural network (CNN) based model // Front Oncol. 2020. Vol. 9. ID 1500. doi: 10.3389/fonc.2019.01500
- Adachi T., Nakamura M., Shintani T., et al. Multi institutional dose segmented dosiomic analysis for predicting radiation pneumonitis after lung stereotactic body radiation therapy // Med Phys. 2021. Vol. 48, N 4. P. 1781–1791. doi: 10.1002/mp.14769
- Zheng X., Guo W., Wang Y., et al. Multi omics to predict acute radiation esophagitis in patients with lung cancer treated with intensity modulated radiation therapy // Eur J Med Res. 2023. Vol. 28, N 1. ID 126. doi: 10.1186/s40001-023-01041-6
Дополнительные файлы



